Quy trình chụp CT sọ não ra sao? Đọc kết quả như thế nào?
Chụp CT sọ não là một trong những kỹ thuật chẩn đoán hình ảnh giúp đánh giá tình trạng tổn thương gặp phải ở sọ não như: u não, teo não, máu tụ, áp xe… Thông qua kết quả chụp CT não, bác sẽ có thể xác định được chính xác nguyên nhân gây bệnh và đưa ra phương pháp điều trị phù hợp.
1. Chụp CT sọ não là gì?
Chụp CT sọ não hay chụp cắt lớp vi tính sọ não là phương pháp chỉ định cận lâm sàng nhằm kiểm tra các bất thường gặp phải ở vùng đầu và mặt. Những bất thường này có thể do chấn thương hoặc không do chấn thương như đau đầu, yếu liệt, chóng mặt…hoặc không rõ nguyên nhân.
Kỹ thuật chụp cắt lớp vi tính sọ não sử dụng tia X quét tia từ cằm tới đỉnh đầu người bệnh để xác định hình ảnh chi tiết trong sọ não. Với máy chụp CT, hình ảnh được thể hiện ở nhiều góc chụp khác nhau, mỗi góc chụp sẽ cho ra hình ảnh lát cắt nhỏ ở vùng đầu và mặt. Dữ liệu được lưu trữ có thể dựng ra các hình ảnh 2D, 3D.
Chụp cắt lớp vi tính sọ não được ứng dụng phổ biến hiện nay trong việc đánh giá tổn thương sọ não
2. Khi nào người bệnh được chỉ định chụp CT sọ não?
Chụp cắt lớp vi tính sọ não được bác sĩ chỉ định thực hiện để chẩn đoán hoặc theo dõi các bệnh lý:
– Chấn thương vùng đầu hoặc mặt: chấn thương sọ não, đa chấn thương…
– Người bị dị tật bẩm sinh ở vùng đầu hoặc não
– Viêm màng não, viêm não, nhiễm trùng não, áp xe não hoặc lao màng não.
– Xuất hiện khối u não
– Nghi ngờ bị não úng thủy (xuất hiện dịch lỏng tích tụ trong não)
– Chảy máu não, đột quỵ
– Người bị tai biến mạch máu não với các dấu hiệu thần kinh khu trú như: liệt mặt, liệt nửa người, thất ngôn…
– Xuất hiện các dấu hiệu thần kinh như: động kinh, co giật, chóng mặt, đau nửa đầu…
– Người mắc các hội chứng tăng áp lực nội sọ với các triệu chứng điển hình như buồn nôn, đau đầu, ngất xỉu…
– Đánh giá dị dạng mạch não như: phình mạch, thông động tĩnh…
3. Quy trình chụp
3.1 Trước khi chụp CT sọ não
– Người bệnh nên chú ý tháo bỏ tất cả các loại vật dụng bằng kim loại trên cơ thể để không gây nhiễu khi chụp.
– Người bệnh cần thông báo với nhân viên hoặc các kỹ thuật viên y tế nếu mắc một trong các bệnh lý nền như: hen suyễn, đái tháo đường, tim mạch, bệnh lý thận, dị ứng thuốc…
– Báo với nhân viên y tế nếu người bệnh đang có thai hoặc nghi ngờ có thai.
– Người bệnh hoặc người nhà cần ký cam kết trong trường hợp bệnh nhân cần tiêm thuốc cản quang trước khi chụp.
– Nên nhịn ăn trước khi tiêm cản quang trong khoảng 4-6 tiếng và uống nước với lượng vừa phải trước khi chụp 2 tiếng.
Nhân viên y tế hướng dẫn, hỗ trợ bệnh nhân một vài lưu ý trước khi thực hiện chụp cắt lớp vi tính sọ não
3.2 Trong khi chụp CT sọ não
– Người bệnh cần tuân thủ các tư thế theo hướng dẫn của kỹ thuật viên tại phòng chụp như nằm ngửa trên bàn hay một số tư thế đặc biệt khác để phục vụ cho việc chẩn đoán.
– Người bệnh cần nằm yên trong suốt quá trình chụp cắt lớp vi tính sọ não.
– Thời gian chụp trung bình từ 3-5 phút, tuy nhiên một số trường hợp cần kéo dài hơn để xác định chính xác các vùng tổn thương sọ não,-
– Việc tiêm thuốc cản quang sẽ khiến người bệnh có cảm giác nóng rát dọc theo cánh tay hoặc nóng trên mặt. Do đó, người bệnh nên cố gắng giữ nguyên cơ thể, tránh cử động để có hình ảnh tốt nhất.
3.3 Sau khi chụp CT sọ não
– Đối với trường hợp không tiêm thuốc cản quang, người bệnh có thể hoạt động bình thường ngay sau khi chụp. Còn đối với người bệnh cần tiêm thuốc, cần uống nhiều nước sau khi chụp để làm tăng quá trình đào thải thuốc ra khỏi cơ thể.
– Sau khi chụp nếu thấy xuất hiện các triệu chứng bất thường như chóng mặt, buồn nôn, nôn, đỏ da, ngứa ngáy, khó thở, sốt… cần thông báo ngay với nhân viên y tế để được hỗ trợ và thăm khám kịp thời.
4. Đọc kết quả chụp cắt lớp vi tính sọ não
Kết quả hình ảnh sọ não thường sẽ được trả sau khoảng 20-30 phút sau khi thực hiện chụp CT. Các kết quả này sẽ được gửi tới bác sĩ khám và điều trị bệnh để sử dụng chẩn đoán tình trạng bệnh. Trước đó, người bệnh cũng có thể nhận biết kết quả chụp qua một số dấu hiệu sau:
4.1 Kết quả chụp cắt lớp vi tính sọ não tốt
Hình ảnh chụp sọ não bình thường, đánh giá qua các yếu tố sau:
– Mô não: Thành phần chất xám và chất trắng ở 2 bán cầu thấy rõ, có vị trí và tỷ trọng bình thường.
– Hệ thống các não thất: Tỷ trọng thấp hơn mô não, các khu vực não thất III, IV và não thất bên đều bình thường.
– Tiểu não: Tiểu não và thùy nhộng đều thấy rõ và nằm ở giữa 2 bán cầu.
– Các nốt vôi hóa ở não: Thấy rõ các nốt vôi hóa liềm đại não, vôi hóa của các tuyến tùng, đám rối mạch mạc, hạch đáy. Tuy nhiên, cũng có một số trường hợp có thể không thấy rõ vôi hóa ở tuyến tùng và đám rối mạch mạc.
– Hệ thống các bể não: thấy rõ các bể não có chứa dịch não tủy và chứa tỷ trọng thấp.
– Rãnh cuộn não: tạo thành các đường ngoằn ngoèo, nhất là tại các lớp cắt đi qua vùng đỉnh.
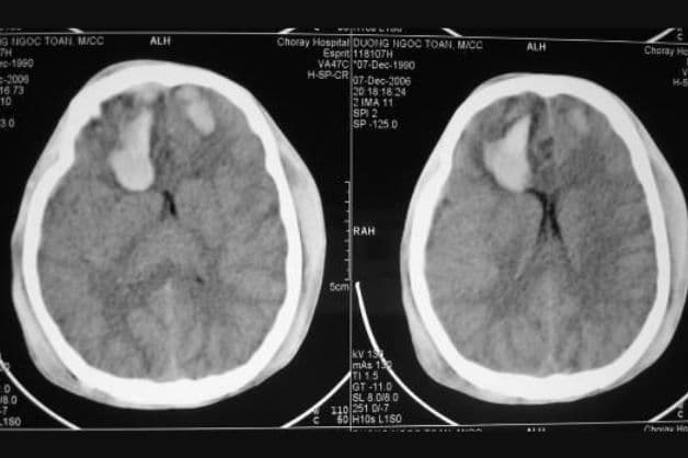
4.2 Kết quả chụp cắt lớp vi tính sọ não bất thường
Một số dấu hiệu bất thường nghi ngờ bệnh lý nếu trên hình ảnh chụp CT xuất hiện:
– Khối choán chỗ trong sọ não: Khối choán chỗ có thể xuất hiện bằng cách thay đổi tỷ trọng hoặc tạo thành các hiệu ứng bên trong sọ não. Khi có các dấu hiệu này, người bệnh có thể gặp các vấn đề về u não, ổ xuất huyết não, phù não, ổ áp xe hoặc khối máu tụ nội sọ.
– Thay đổi tỷ trọng mô não: vùng tăng tỷ trọng (đám xuất huyết, ổ máu tụ hoặc dạng u não), vùng giảm tỷ trọng (áp xe não, nhồi máu não hoặc di căn ung thư), nốt vôi hóa (u não, u thần kinh đệm hoặc sán não), đồng tỷ trọng.
– Tổn thương xương hộp sọ và xương mặt: Có dấu hiệu của việc rạn, lún hoặc tiêu, khuyết xương sọ. Nếu gặp tình trạng tổn thương khối xương mặt, có thể thấy rõ các đường gãy, mảnh xương rời nhau và tình trạng lệch chuyển giữa các xương.
Hình ảnh tổn thương não ở bệnh nhân sau khi thực hiện chụp cắt lớp vi tính sọ não
Chụp CT sọ não là kỹ thuật chẩn đoán hình ảnh được ứng dụng rộng rãi trong khám chữa bệnh lâm sàng để phát hiện các bất thường ở não bộ. Khi xuất hiện các biểu hiện đáng nghi ngờ, người bệnh nên chủ động thăm khám các bác sĩ chuyên khoa thần kinh sọ não. Đồng thời lựa chọn các cơ sở y tế có hệ thống máy móc, trang thiết bị y tế hiện đại giúp quá trình thăm khám thuận lợi và có căn cứ chẩn đoán kết quả chính xác nhất.





















