Đặc điểm hạch lao trên siêu âm
Hạch lao trên siêu âm là một trong những dấu hiệu quan trọng giúp bác sĩ định hướng chẩn đoán lao hạch ngoại vi ngay từ giai đoạn sớm. Thông qua hình ảnh siêu âm, các đặc điểm như kích thước, cấu trúc bên trong, mức độ hoại tử hay sự tăng sinh mạch máu của hạch có thể được đánh giá khá rõ ràng, từ đó hỗ trợ phân biệt với hạch viêm thông thường hoặc hạch ác tính.
1. Hạch lao là gì?
Hạch lao là tình trạng hạch bạch huyết bị nhiễm vi khuẩn lao (Mycobacterium tuberculosis). Đây là một thể lao ngoài phổi khá phổ biến, thường gặp nhất ở vùng cổ, ngoài ra có thể xuất hiện ở nách hoặc bẹn.
Nguyên nhân là do vi khuẩn lao xâm nhập vào cơ thể, thường qua đường hô hấp. Sau đó, vi khuẩn có thể lan từ vùng họng (qua amidan) đến các hạch lân cận hoặc di chuyển từ một ổ lao ban đầu trong cơ thể theo đường máu hay đường bạch huyết đến hạch.

Các thể hạch lao thường gặp gồm:
- Hạch lao bã đậu: Là thể phổ biến nhất.
- U hạch lao đơn độc: Hạch to, chắc, không đau.
- Hạch lao viêm nhiều nhóm hạch: Thường gặp ở người suy giảm miễn dịch như HIV/AIDS, có thể sưng nhiều nhóm hạch toàn thân.
- Hạch lao phối hợp: Xảy ra cùng lúc với lao phổi, lao màng phổi hoặc các thể lao khác.
Các giai đoạn phát triển:
- Giai đoạn đầu: Hạch sưng, kích thước không đều, còn di động.
- Giai đoạn tiến triển: Hạch dính vào nhau thành mảng hoặc dính vào da, giảm khả năng di động.
- Giai đoạn nhuyễn hóa: Hạch mềm hơn, da có thể tấy đỏ nhưng thường không nóng và không đau.
2. Chỉ định siêu âm hạch lao
Siêu âm hạch lao được bác sĩ chỉ định khi người bệnh có biểu hiện nghi ngờ lao hạch. Thường gặp nhất là tình trạng hạch to ở vùng cổ, nách hoặc bẹn. Hạch thường không đau, mật độ chắc, có thể dính lại thành chuỗi và đôi khi có dấu hiệu hoại tử.
Bên cạnh đó, nếu người bệnh kèm theo các triệu chứng toàn thân như sốt nhẹ về chiều, sụt cân nhanh, mệt mỏi, đổ mồ hôi đêm thì càng có cơ sở để nghĩ đến lao hạch và cần thực hiện hạch lao siêu âm để đánh giá cụ thể.
Siêu âm cũng được chỉ định cho các nhóm nguy cơ cao như:
- Người từng mắc lao phổi hoặc lao xương.
- Người tiếp xúc gần với bệnh nhân lao.
- Người nhiễm HIV hoặc suy giảm miễn dịch.
Thông qua hạch lao trên siêu âm, bác sĩ có thể đánh giá rõ hình thái và cấu trúc hạch. Cụ thể, hình ảnh hạch lao trên siêu âm thường cho thấy hạch tròn hoặc bầu dục, có thể mất cấu trúc xoang hạch bình thường. Một trong những đặc điểm hạch lao trên siêu âm điển hình là vùng giảm âm hoặc trống âm bên trong do hoại tử bã đậu. Ngoài ra, siêu âm còn phát hiện tình trạng hạch dính thành mảng, viêm quanh hạch và phù nề mô mềm xung quanh.

3. Đặc điểm hạch lao trên siêu âm
Khi đánh giá hạch lao trên siêu âm, bác sĩ thường dựa vào hình dạng, cấu trúc bên trong và mức độ viêm xung quanh hạch. Dưới đây là những đặc điểm điển hình, dễ nhận biết:
Hình dạng và kích thước
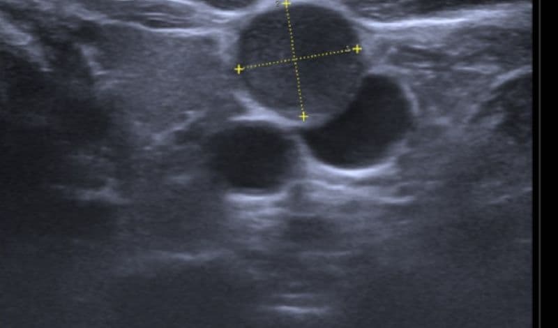
Khi quan sát hạch lao trên siêu âm, bác sĩ thường thấy hạch có kích thước to hơn bình thường, đường kính có thể từ 1cm đến vài cm. Hạch thường có dạng bầu dục hoặc tròn, tuy nhiên kích thước giữa các hạch trong cùng một vùng có thể không đồng đều.
Trong nhiều trường hợp, không chỉ xuất hiện một hạch đơn lẻ mà có thể có nhiều hạch cùng tồn tại, tập trung thành từng cụm ở vùng cổ hoặc thượng đòn. Đây là một trong những biểu hiện sớm gợi ý tình trạng lao hạch.
Mất cấu trúc rốn hạch
Ở hạch bình thường, phần rốn hạch nằm ở trung tâm và có hình ảnh tăng âm rõ ràng trên siêu âm. Tuy nhiên, trong hạch lao siêu âm, cấu trúc này thường không còn nhìn thấy.
Nguyên nhân là do quá trình viêm và hoại tử đã làm thay đổi cấu trúc bên trong hạch, thay thế rốn hạch bằng mô viêm hoặc tổ chức hoại tử. Việc mất rốn hạch được xem là dấu hiệu quan trọng trong đánh giá đặc điểm hạch lao trên siêu âm.
Hoại tử bã đậu (vùng giảm âm hoặc trống âm)
Một đặc trưng nổi bật trong hình ảnh hạch lao trên siêu âm là sự xuất hiện của vùng giảm âm hoặc trống âm ở trung tâm hạch. Những vùng này có thể không đồng nhất, đôi khi gồm nhiều ổ nhỏ nằm sát nhau.
Đây chính là biểu hiện của hoại tử bã đậu – đặc điểm điển hình của bệnh lao. Sự hiện diện của hoại tử trung tâm giúp phân biệt hạch lao với các hạch viêm thông thường.
Vỏ hạch dày và không đều
Quá trình viêm mạn tính khiến vỏ hạch dày lên và trở nên không đều. Trên siêu âm, đường viền hạch có thể không còn mịn và rõ như bình thường.
Ở giai đoạn muộn, khi hạch đã hóa mủ hoặc sắp vỡ, vỏ hạch có thể bị gián đoạn. Đây là dấu hiệu cảnh báo nguy cơ rò mủ ra ngoài da nếu không được điều trị kịp thời.
Hạch dính thành mảng
Một điểm đáng chú ý khác của hạch lao trên siêu âm là các hạch có xu hướng dính vào nhau thay vì nằm tách biệt. Chúng có thể liên kết thành chuỗi hoặc mảng lớn.
Sự kết dính này làm hạch giảm tính di động khi thăm khám lâm sàng. Đây là đặc điểm giúp bác sĩ định hướng đến chẩn đoán lao hạch nhiều hơn so với hạch phản ứng thông thường.
Viêm và phù nề quanh hạch
Không chỉ bản thân hạch bị tổn thương, mô mềm xung quanh cũng có thể bị viêm. Trên siêu âm, vùng quanh hạch có thể tăng âm và ranh giới không rõ do hiện tượng thâm nhiễm.
Biểu hiện này cho thấy quá trình viêm lan rộng tại chỗ và là một phần trong đặc điểm hạch lao trên siêu âm cần được đánh giá kỹ.

Đặc điểm trên siêu âm Doppler
Khi khảo sát bằng Doppler, hạch lao siêu âm thường cho thấy tăng sinh mạch máu ở vùng ngoại vi, tức là tập trung ở vỏ hạch. Trong khi đó, trung tâm hạch lại ít hoặc không có tín hiệu mạch do đã bị hoại tử.
Kiểu phân bố mạch này có giá trị trong việc phân biệt hình ảnh hạch lao trên siêu âm với một số loại hạch ác tính hoặc hạch viêm khác, từ đó hỗ trợ định hướng chẩn đoán và chỉ định chọc hút tế bào bằng kim nhỏ (FNA) khi cần thiết.
Tóm lại, việc phát hiện hạch lao trên siêu âm đóng vai trò quan trọng trong định hướng chẩn đoán sớm và theo dõi đáp ứng điều trị. Dù siêu âm không thể thay thế hoàn toàn các phương pháp xét nghiệm chuyên sâu, nhưng đây là công cụ an toàn, không xâm lấn và mang lại nhiều giá trị trong thực hành lâm sàng. Khi có dấu hiệu nghi ngờ, người bệnh nên thăm khám tại cơ sở y tế uy tín để được đánh giá toàn diện, tránh chủ quan khiến bệnh tiến triển phức tạp hơn.





















