Xuất huyết dịch kính sau chấn thương – Nguyên nhân và điều trị
Xuất huyết dịch kính sau chấn thương là một tình trạng nghiêm trọng ảnh hưởng đến mắt, thường xảy ra sau các va chạm mạnh hoặc tai nạn. Dịch kính, một chất gel trong suốt nằm ở phần sau của mắt, có thể bị xuất huyết khi các mạch máu trong mắt bị tổn thương, dẫn đến máu tích tụ và làm mờ tầm nhìn. Tình trạng này không chỉ gây khó khăn trong sinh hoạt hàng ngày mà còn tiềm ẩn nguy cơ biến chứng lâu dài nếu không được xử lý kịp thời. Trong bối cảnh cuộc sống hiện đại với nhiều hoạt động tiềm ẩn nguy cơ chấn thương, việc hiểu rõ về xuất huyết dịch kính, từ nguyên nhân, triệu chứng đến cách điều trị, là vô cùng cần thiết để bảo vệ sức khỏe đôi mắt.
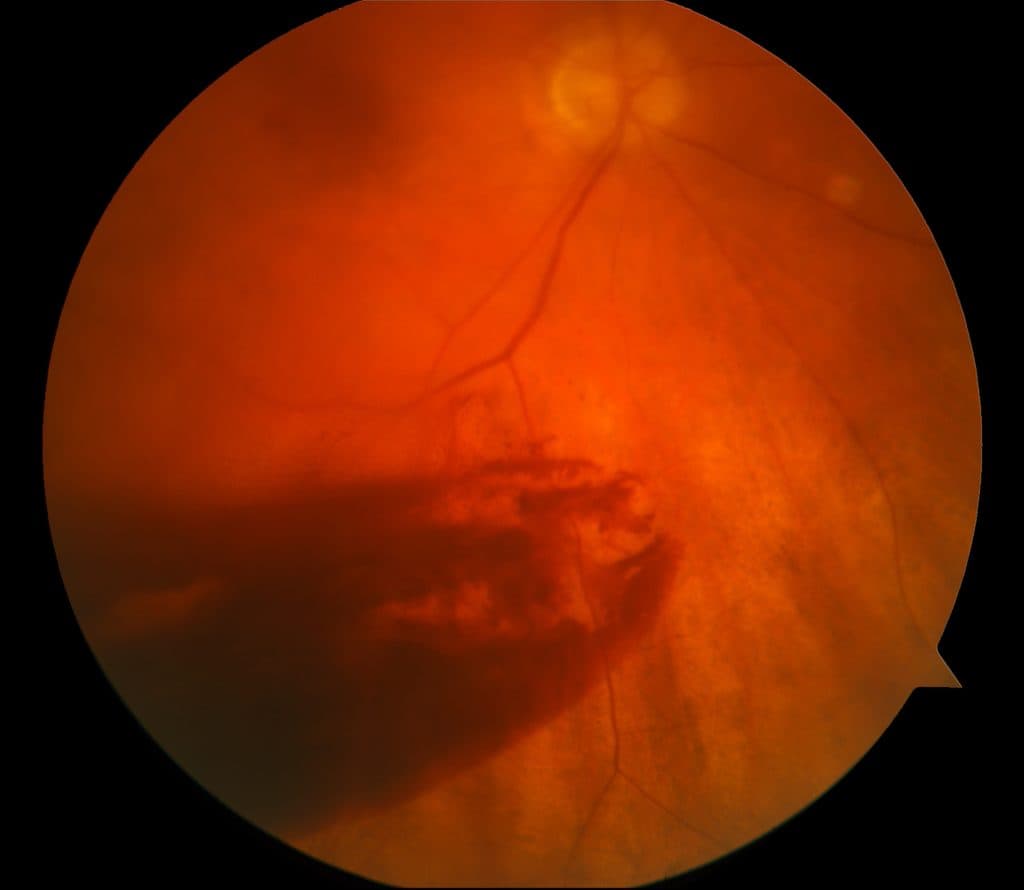
1. Khái niệm xuất huyết dịch kính sau chấn thương
Xuất huyết dịch kính là tình trạng máu tràn vào khoang dịch kính, một khu vực chứa chất gel trong suốt nằm giữa thủy tinh thể và võng mạc. Dịch kính đóng vai trò quan trọng trong việc duy trì cấu trúc của mắt và hỗ trợ ánh sáng đi qua để tạo hình ảnh trên võng mạc. Khi xảy ra chấn thương, các mạch máu trong mắt, đặc biệt là ở võng mạc hoặc các cấu trúc lân cận, có thể bị vỡ, gây ra hiện tượng xuất huyết. Máu tích tụ trong dịch kính làm cản trở ánh sáng, dẫn đến giảm thị lực hoặc nhìn mờ.

Tình trạng này thường gặp ở những người bị va đập mạnh vào đầu hoặc mắt, chẳng hạn như trong các tai nạn giao thông, chơi thể thao, hoặc ngã. Mặc dù xuất huyết dịch kính có thể tự cải thiện trong một số trường hợp nhẹ, nhưng các trường hợp nghiêm trọng hơn đòi hỏi sự can thiệp y tế để tránh tổn thương vĩnh viễn cho mắt.
2. Nguyên nhân xuất huyết dịch kính
Nguyên nhân chính của xuất huyết dịch kính sau va chạm là do tác động cơ học mạnh lên mắt hoặc vùng đầu. Các va chạm trực tiếp, như bị đánh vào mắt hoặc đầu va đập trong tai nạn, có thể làm vỡ các mạch máu nhỏ trong võng mạc hoặc các cấu trúc lân cận. Những môn thể thao có nguy cơ cao như quyền anh, bóng đá, hoặc bóng rổ cũng là nguyên nhân phổ biến, đặc biệt nếu người chơi không sử dụng thiết bị bảo hộ.
Ngoài chấn thương trực tiếp, một số yếu tố khác cũng có thể làm tăng nguy cơ xuất huyết dịch kính. Ví dụ, những người mắc các bệnh lý nền như tăng huyết áp, tiểu đường, hoặc rối loạn đông máu có thể dễ bị xuất huyết hơn khi gặp chấn thương. Các bệnh lý này làm suy yếu thành mạch máu, khiến chúng dễ vỡ hơn dưới áp lực. Ngoài ra, sử dụng thuốc làm loãng máu như aspirin hoặc warfarin cũng có thể làm tăng nguy cơ xuất huyết khi mắt bị tác động.
Lối sống và điều kiện làm việc cũng có ảnh hưởng đáng kể. Những người làm việc trong các ngành nghề như xây dựng, cơ khí, hoặc thường xuyên tiếp xúc với các vật thể sắc nhọn mà không có biện pháp bảo vệ mắt đều có nguy cơ cao gặp phải tình trạng này. Do đó, việc nhận thức và phòng ngừa các yếu tố nguy cơ là rất quan trọng để giảm thiểu khả năng xảy ra xuất huyết dịch kính.
3. Triệu chứng nhận biết xuất huyết dịch kính
Triệu chứng của xuất huyết dịch kính sau chấn thương thường xuất hiện ngay sau khi xảy ra va chạm, mặc dù ở một số trường hợp, các dấu hiệu có thể xuất hiện muộn hơn. Một trong những triệu chứng phổ biến nhất là giảm thị lực đột ngột hoặc nhìn mờ, giống như có một lớp sương mù che phủ trước mắt. Người bệnh cũng có thể thấy các đốm đen, vệt sáng, hoặc các hình dạng trôi nổi trong tầm nhìn, thường được gọi là “ruồi bay”.

Ngoài ra, một số người có thể cảm nhận được áp lực hoặc đau nhẹ trong mắt, đặc biệt nếu chấn thương gây tổn thương các cấu trúc khác như giác mạc hoặc mống mắt. Trong các trường hợp nghiêm trọng, người bệnh có thể mất hoàn toàn thị lực ở mắt bị ảnh hưởng hoặc cảm thấy nhạy cảm với ánh sáng. Những triệu chứng này có thể trở nên nghiêm trọng hơn nếu không được điều trị kịp thời, dẫn đến nguy cơ tổn thương võng mạc hoặc tăng nhãn áp.
Việc nhận biết sớm các triệu chứng này là yếu tố then chốt để đảm bảo chẩn đoán và điều trị hiệu quả. Nếu bạn gặp bất kỳ dấu hiệu bất thường nào sau chấn thương, hãy đến gặp bác sĩ chuyên khoa mắt ngay lập tức để được kiểm tra và xử lý.
4. Cách điều trị xuất huyết dịch kính sau chấn thương
4.1.Quan sát và nghỉ ngơi sau xuất huyết dịch kính sau chấn thương
Trong các trường hợp xuất huyết dịch kính nhẹ, bác sĩ có thể đề xuất phương pháp theo dõi và nghỉ ngơi. Điều này có nghĩa là người bệnh cần hạn chế các hoạt động mạnh, tránh cúi đầu hoặc nâng vật nặng, và giữ đầu ở tư thế cao khi ngủ để giảm áp lực lên mắt. Máu trong dịch kính có thể tự tiêu dần theo thời gian, đặc biệt nếu lượng máu ít và không có tổn thương nghiêm trọng ở các cấu trúc khác của mắt.
Trong giai đoạn này, việc tuân thủ hướng dẫn của bác sĩ là rất quan trọng. Người bệnh nên tránh dụi mắt hoặc tiếp xúc với các tác nhân gây kích ứng như khói bụi, ánh sáng mạnh. Bác sĩ cũng có thể yêu cầu tái khám định kỳ để theo dõi quá trình phục hồi và đảm bảo không có biến chứng phát sinh.
4.2. Xuất huyết dịch kính sau chấn thương bằng can thiệp y tế và phẫu thuật
Trong các trường hợp xuất huyết dịch kính nặng hoặc không tự cải thiện, các phương pháp điều trị ngoại khoa và can thiệp y tế có thể được áp dụng. Một trong những phương pháp phổ biến nhất là phẫu thuật cắt dịch kính (vitrectomy). Trong phẫu thuật này, bác sĩ sẽ loại bỏ dịch kính chứa máu và thay thế bằng một dung dịch đặc biệt để duy trì áp suất trong mắt. Phương pháp này thường được áp dụng khi xuất huyết gây cản trở nghiêm trọng đến thị lực hoặc có nguy cơ tổn thương võng mạc.

Ngoài ra, trong một số trường hợp, bác sĩ có thể sử dụng laser hoặc tiêm thuốc vào khoang dịch kính để kiểm soát xuất huyết hoặc điều trị các tổn thương liên quan, chẳng hạn như rách võng mạc. Các loại thuốc như corticosteroid hoặc thuốc chống tăng sinh mạch máu có thể được sử dụng để giảm viêm và ngăn ngừa xuất huyết tái phát.
Phương pháp điều trị được chọn dựa trên mức độ nặng nhẹ của tình trạng xuất huyết, tình trạng sức khỏe tổng thể của bệnh nhân, và các tổn thương đi kèm. Do đó, cần có sự đánh giá kỹ lưỡng từ bác sĩ chuyên khoa để đưa ra phác đồ điều trị phù hợp.
Xuất huyết dịch kính sau chấn thương là một tình trạng nghiêm trọng nhưng có thể được kiểm soát hiệu quả nếu được phát hiện và điều trị kịp thời. Nắm rõ nguyên nhân, phát hiện sớm các dấu hiệu và thực hiện các phương pháp điều trị thích hợp là yếu tố then chốt để bảo vệ đôi mắt và tránh những biến chứng không mong muốn.

















