5 nguyên nhân sụp mí mắt và cách điều trị
Mặc dù sụp mí mắt không gây mù lòa nhưng ảnh hưởng đến chức năng thị giác và gây mất thẩm mỹ. Cùng tìm hiểu nguyên nhân gây sụp mí mắt và cách khắc phục qua bài viết sau đây.
1. Sụp mí mắt là gì?
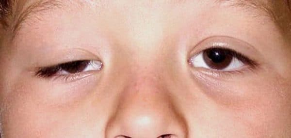
Sụp mí mắt là hiện tượng phần da của mí mắt trên bị sa xuống phần nhãn cầu và thấp hơn so với bình thường hoặc có da thừa nhiều ở mí mắt trên.
Khi các nếp da của mí mắt trên chùng xuống quá so với bờ mi thì có thể khiến tầm nhìn bị hạn chế. Mi có thể bị sụp với các mức độ khác nhau, một bên hoặc cả 2 bên với độ sụp có cân xứng hoặc không cân xứng. Trong một số trường hợp, sụp mí nghiêm trọng có thể làm cản trở tầm nhìn. Sụp mí có thể tự khỏi sau một thời gian nhưng trong một số trường hợp cần phải điều trị để không làm ảnh hưởng tới thị lực.
Theo các chuyên gia về nhãn khoa, một số dấu hiệu nhận biết tình trạng sụp mí mắt có thể điểm ra như sau:
– Mí mắt bị sụp, chảy xệ hoặc chùng xuống ở một hoặc hai bên.
– Tầm nhìn bị ảnh hưởng, khả năng quan sát hay nhìn không rõ.
– Mắt thường xuyên mỏi, xuất hiện tình trạng đau nhức quanh mắt.
– Phải ngửa đầu ra sau mới nhìn thấy được mi mắt phía dưới.
– Tăng tiết nước mắt nhưng trong mắt lại có cảm giác khô.
– Gây mất thẩm mỹ cho khuôn mặt, trông không có sức sống, cảm giác mệt mỏi…
Khi bị sụp mí mắt, mọi người có thể gặp phải một, mốt số hoặc toàn bộ các triệu chứng kể trên. Nếu tình trạng sụp mí kéo dài lâu ngày, mọi người nên tới các cơ sở y tế chuyên khoa mắt để được bác sĩ thăm khám và tư vấn cách khắc phục sớm, giúp giảm thiểu các nguy cơ gây cản trợ thị lực của mắt.
Sụp mí mắt là tình trạng mí mắt trên bị chùng xuống gây cản trở thị lực
2. Nguyên nhân gây sụp mí mắt
Cùng điểm qua những nguyên nhân gây sụp mí mắt sau đây:
Yếu tố bẩm sinh: Có những người bị sụp mí mắt ngay từ khi chào đời. Lúc này, mí trên của 2 bên mắt không đồng đều, bên cao bên thấp, gây ra tình trạng không cân xứng. Càng trưởng thành thì biểu hiện của sụp mí mắt càng rõ, dễ nhận thấy.
Yếu tố tự nhiên: Tình trạng lão hóa khi chuyển sang tuổi già khiến da nhăn nheo, chảy xệ. Một số người gặp tình trạng sụp mí bên cạnh các nếp nhăn hay vết chân chim ở đuôi mắt. Tình trạng này diễn ra phổ biến ở những người cao tuổi hay những người bị thừa cân, béo phì.
Do tổn thương thần kinh gây liệt cơ: Nguyên nhân này liên quan đến các hội chứng như đỉnh hố mắt, hội chứng xoang hang, hội chứng mắt khe dơi,… Các dây thần kinh lúc này bị tổn thương gây ra liệt cơ. Theo thời gian, cơ mi không còn đảm bảo được chức năng của nó dẫn đến tình trạng sụp mí.
Do nhược cơ: Bước vào độ tuổi từ 40 – 60, một số người mắc triệu chứng nhược cơ. Sụp mí mắt là triệu chứng ban đầu của bệnh lý nhược cơ. Nếu trong thời gian 5-10 năm tình trạng bệnh không nặng hơn thì bệnh chỉ dừng lại ở việc sụp mí mắt.
Do tai nạn: Trong một số trường hợp, sụp mí có thể xảy ra sau khi gặp các tai nạn ngoài ý muốn. Các tai nạn này gây chấn thương ở mắt và làm ảnh hưởng đáng kể tới vùng mí mắt như gây sụp mí mắt.
Các nguyên nhân khác: Nguyên nhân gây sụp mí mắt có thể xuất phát từ một số yếu tố khác như: người bị đau mắt hột, người bị u hạch…
3. Khi nào cần phẫu thuật sụp mi mắt?
Đối với việc phẫu thuật sụp mí mắt, bác sĩ cần xem xét kĩ nguyên nhân gây sụp mí mắt là gì. Bên cạnh đó thì việc phẫu thuật còn phụ thuộc vào nhiều yếu tố. Chẳng hạn như sức khỏe người bệnh, mức độ ảnh hưởng của sụp mí…
Trong trường hợp sụp mí mắt ở người lớn tuổi thì nên điều trị sớm. Tuy nhiên có cần phẫu thuật hay không còn tùy thuộc vào mức độ của sụp mí cũng như khả năng hoạt động của cơ nâng mi.
Nếu sụp mí mắt độ lớn và ảnh hưởng đến thị lực thì có thể cân nhắc đến việc phẫu thuật. Khi đó, bác sĩ sẽ tiến hành làm ngắn cơ mi và cắt bỏ một phần cơ vòng mi. Bên cạnh đó, khi phẫu thuật, bác sĩ sẽ cân nhắc để đảm bảo đôi mắt được tự nhiên và tươi tắn để không làm người bệnh tự ti do tiến hành khi thực hiện thẩm mỹ chỉnh sửa.
Phương pháp điều trị sụp mí mắt luôn được áp dụng linh hoạt. Vì vậy, khi phát hiện sụp mí cần đến cơ sở chuyên khoa mắt để được bác sĩ khám tư vấn điều trị.
4. Một số bài tập cải thiện tình trạng sụp mí mắt
Người bị sụp mí mắt hoặc gặp các vấn đề nhẹ về mắt có thể áp dụng những bài tập gợi ý dưới đây:
– Bài tập cho cơ mặt:
Thực hiện nhắm mắt đồng thời rướn lông mày lên hết cỡ. Tiếp đó từ từ hạ chân mày xuống. Đừng quên thả lỏng cơ mặt. Mỗi ngày nên duy trì tập từ 15 đến 20 lần để đạt hiệu quả.
– Bài tập cho cơ mắt:
Tương tự như bài tập cho cơ mặt, bạn cần rướn chân mày lên hết cỡ cho bài tập này. Tuy nhiên, thay vì nhắm mắt thì bạn sẽ nháy mắt 7 lần, tiếp đó nhắm chặt mắt trong 5 giây. Hãy tạo thói quen mỗi ngày thực hiện 10 lần để giúp cơ mắt luôn khỏe mạnh. Đây đồng thời cũng là biện pháp tốt để cải thiện sụp mí.
– Bài tập giúp nâng mí:
Một bài tập đơn giản và khá dễ để thực hiện hằng ngày. Hãy dùng ngón tay trỏ và ngón tay cái vừa ấn vừa xoa hốc mắt. Tiếp đó di chuyển dần xuống phía dưới mắt và vòng ra xung quanh mắt. Thực hiện 5 lần mỗi ngày sẽ giúp nâng mí đáng kể. Việc này cũng có tác dụng lưu thông máu, hạn chế da nhăn nheo, chảy xệ ở vùng mắt.
– Bài tập ở huyệt thái dương:
Làm ấm tay, sử dụng tất cả các ngón tay để tập trung massage vùng trán. Sau đó di chuyển ra hai bên huyệt thái dương và di chuyển xuống gò má. Bài tập này sẽ giúp lưu thông bạch huyết vùng mặt và mắt và giúp cho cơ mặt và cơ mắt được khỏe mạnh hơn.
Luyện tập giúp cải thiện tình trạng sụp mí một cách đáng kể
Hy vọng những thông tin trên đây đã giải đáp cho bạn các kiến thức về nguyên nhân gây sụp mí mắt và cách điều trị. Bạn có nhu cầu khám và điều trị các vấn đề, bệnh lý nhãn khoa hãy tới các cơ sở y tế uy tín, bác sĩ chuyên môn cao để được kiểm tra cũng như chăm sóc sức khỏe đúng cách.

















