Siêu âm tuyến giáp có phát hiện ung thư?
Siêu âm tuyến giáp có phát hiện ung thư không là câu hỏi được rất nhiều người quan tâm khi xuất hiện các dấu hiệu bất thường ở vùng cổ hoặc tình cờ phát hiện nhân giáp. Trên thực tế, phương pháp chẩn đoán hình ảnh này giúp bác sĩ đánh giá hình dạng, kích thước và tính chất của các tổn thương tuyến giáp, từ đó sớm nhận diện những dấu hiệu nghi ngờ ác tính để có hướng theo dõi và điều trị kịp thời.
1. Siêu âm tuyến giáp có phát hiện ung thư không?
Siêu âm tuyến giáp có phát hiện ung thư không là thắc mắc rất thường gặp. Thực tế, siêu âm tuyến giáp là phương tiện quan trọng giúp phát hiện các bất thường tại tuyến giáp, nhưng không đủ để chẩn đoán xác định ung thư.
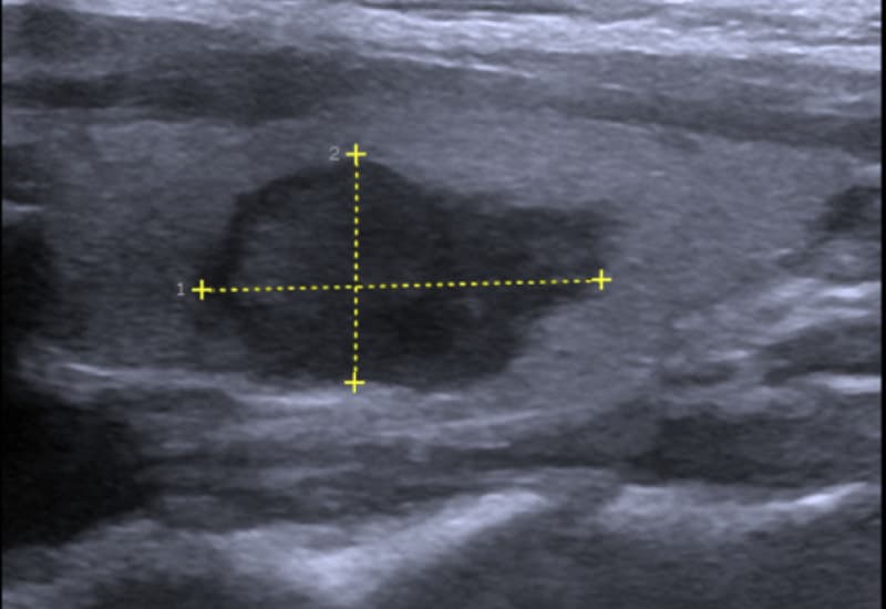
Với thắc mắc “siêu âm có phát hiện được u tuyến giáp không?” thì câu trả lời là có. Qua hình ảnh siêu âm, bác sĩ có thể nhận diện các khối u, nhân giáp hoặc nang giáp, đồng thời đánh giá đặc điểm của chúng như kích thước, vị trí, cấu trúc rắn hay nang, bờ đều hay không đều, mức độ xâm lấn mô xung quanh và hạch bạch huyết vùng cổ. Những yếu tố này giúp định hướng nguy cơ lành tính hay ác tính của khối u.

Tuy nhiên, cần hiểu rõ rằng siêu âm có phát hiện ung thư tuyến giáp không chỉ dừng lại ở mức nghi ngờ và theo dõi. Kết quả siêu âm ung thư tuyến giáp không phải là căn cứ để khẳng định bệnh. Để chẩn đoán chính xác ung thư tuyến giáp, người bệnh bắt buộc phải làm thêm các xét nghiệm chuyên sâu, đặc biệt là chọc hút tế bào hoặc sinh thiết mô bệnh học.
2. Dấu hiệu nghi ngờ ung thư tuyến giáp trên siêu âm
Siêu âm tuyến giáp không chẩn đoán xác định được ung thư tuyến giáp nhưng là xét nghiệm đầu tay để đánh giá ung thư. Các phương pháp chẩn đoán hình ảnh khác như chụp CT, Chụp PET/CT và MRI chỉ được sử dụng khi siêu âm khó đánh giá. Các dấu hiệu nghi ngờ ung thư tuyến giáp trên siêu âm bao gồm:
- Khối giảm âm tối hơn so với mô tuyến giáp bình thường.
- Bờ khối u không đều, có hình răng cưa.
- Hình ảnh taller-than-wide với trục dài vuông góc với bề mặt da.
- Hình ảnh các chấm trắng nhỏ li ti (vi vôi hóa).
- Tăng lưu lượng tuần hoàn tại vùng u trên hình ảnh siêu âm Doppler.
- Hạch cổ to bất thường, giảm âm và mất cấu trúc rốn trung tâm.

3. Phân loại nguy cơ ung thư tuyến giáp qua siêu âm
Dựa trên hình ảnh siêu âm, các nhân tuyến giáp được phân loại theo mức độ nguy cơ ung thư nhằm hỗ trợ bác sĩ quyết định theo dõi hay cần can thiệp thêm (như chọc hút tế bào kim nhỏ – FNA). Hiện nay, các hệ thống phân loại phổ biến nhất là TIRADS và ATA, đều dựa trên những đặc điểm siêu âm điển hình của nhân giáp.
Các hệ thống phân loại nguy cơ ung thư tuyến giáp qua siêu âm đều đánh giá nhân giáp dựa trên:
- Cấu trúc (đặc hay nang);
- Độ hồi âm;
- Hình dạng;
- Bờ nhân;
- Vôi hóa.
Từ đó, nhân giáp được xếp vào các nhóm nguy cơ từ thấp đến cao:
- Nhóm nguy cơ thấp: Nhân có hình dạng đều, bờ nhẵn; Không có dấu hiệu nghi ngờ ác tính. Thường chỉ cần theo dõi định kỳ bằng siêu âm.
- Nhóm nguy cơ trung bình: Nhân có một số đặc điểm bất thường nhẹ trên siêu âm. Chưa xuất hiện các dấu hiệu ác tính rõ ràng. Cân nhắc chọc hút tế bào kim nhỏ tùy theo kích thước và yếu tố nguy cơ của người bệnh.
- Nhóm nguy cơ cao: Nhân có nhiều dấu hiệu nghi ngờ ung thư như: Bờ không đều, vi vôi hóa, hình dạng cao hơn rộng. Nhóm này thường được chỉ định chọc hút tế bào kim nhỏ để xác định bản chất.
3. Siêu âm phát hiện nhân tuyến giáp thì làm gì tiếp theo?
Siêu âm tuyến giáp là phương pháp thăm khám đơn giản, dễ thực hiện, chi phí thấp nhưng mang lại giá trị cao trong việc phát hiện các bất thường ở tuyến giáp. Tuy vậy, đây là kỹ thuật chẩn đoán hình ảnh nên độ chính xác còn phụ thuộc vào tay nghề người thực hiện, chất lượng máy siêu âm và một số yếu tố chủ quan khác.

Khi siêu âm phát hiện có nhân tuyến giáp, người bệnh thường được khuyến nghị thực hiện các bước sau:
- Thăm khám bác sĩ chuyên khoa để được đánh giá lâm sàng và chỉ định thêm các xét nghiệm nhằm xác định rõ bản chất của nhân.
- Tiến hành chọc hút tế bào bằng kim nhỏ (FNA) để sinh thiết nếu nhân có dấu hiệu nghi ngờ ác tính.
- Trong một số trường hợp, bác sĩ có thể chỉ định thêm các phương pháp chẩn đoán hình ảnh như CT, MRI hoặc PET khi hình ảnh siêu âm chưa đủ rõ ràng.
- Làm xét nghiệm máu để kiểm tra chức năng hoạt động của tuyến giáp.
- Nếu người bệnh có tiền sử gia đình mắc bệnh lý tuyến giáp, bác sĩ có thể cân nhắc thêm các xét nghiệm di truyền nhằm loại trừ những dạng nhân tuyến giáp đặc biệt.
Tóm lại, siêu âm tuyến giáp có phát hiện ung thư chủ yếu thông qua việc nhận diện các dấu hiệu nghi ngờ, chứ chưa thể khẳng định chắc chắn bản chất ác tính. Để chẩn đoán chính xác, người bệnh cần kết hợp thêm các xét nghiệm chuyên sâu như chọc hút tế bào bằng kim nhỏ (FNA) và thăm khám chuyên khoa, từ đó xây dựng hướng điều trị phù hợp và hiệu quả nhất.
















