Siêu âm có phát hiện ung thư tuyến tụy không?
Siêu âm có phát hiện ung thư tụy không là thắc mắc của nhiều người khi xuất hiện các dấu hiệu bất thường vùng bụng. Trên thực tế, siêu âm ổ bụng có thể giúp phát hiện những thay đổi về kích thước, cấu trúc tuyến tụy hoặc khối u nghi ngờ. Tuy nhiên, độ chính xác còn phụ thuộc vào giai đoạn bệnh và kỹ thuật thực hiện.
1. Siêu âm có phát hiện được ung thư tụy không?
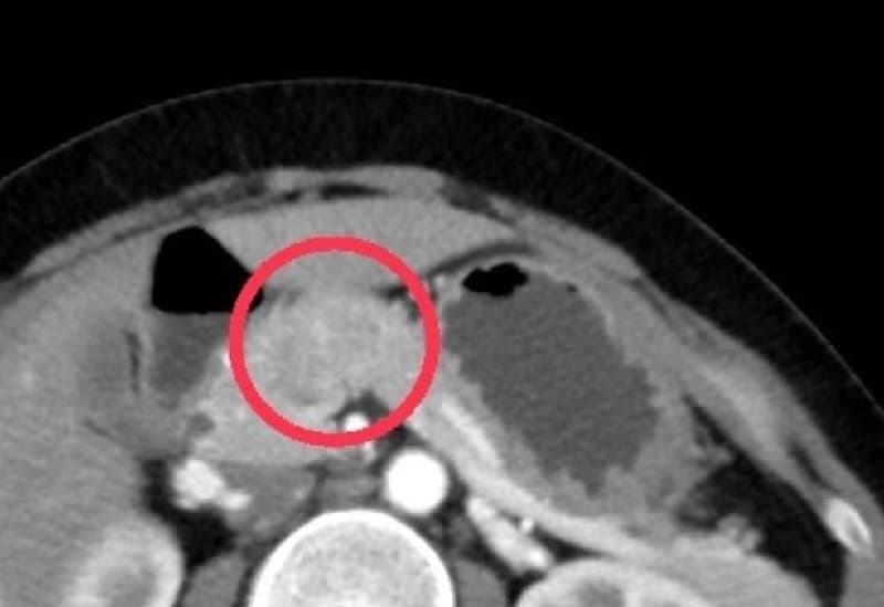
Có, siêu âm có phát hiện ung thư tụy. Siêu âm là một phương tiện chẩn đoán hình ảnh thường được bác sĩ sử dụng khi đánh giá nghi ngờ ung thư tuyến tụy. Kỹ thuật này hoạt động dựa trên sóng âm tần số cao để tái tạo hình ảnh các cơ quan bên trong cơ thể, bao gồm cả tuyến tụy.
Trong quá trình thực hiện, bác sĩ dùng một thiết bị cầm tay gọi là đầu dò siêu âm. Đầu dò phát ra sóng âm truyền qua thành bụng và phản xạ lại khi gặp các cấu trúc mô khác nhau. Các tín hiệu phản hồi này được máy xử lý và chuyển đổi thành hình ảnh hiển thị trên màn hình theo thời gian thực. Nhờ đó, bác sĩ có thể quan sát hình dạng, kích thước tuyến tụy và phát hiện những bất thường như khối u hoặc vùng tổn thương nghi ngờ.
Hiện nay, có hai hình thức siêu âm thường được áp dụng trong chẩn đoán ung thư tuyến tụy:
- Siêu âm ổ bụng: Thực hiện qua thành bụng, giúp khảo sát tổng quát tụy và các cơ quan lân cận.
- Siêu âm nội soi (EUS): Kết hợp đầu dò siêu âm gắn trên ống nội soi đưa qua đường tiêu hóa, cho hình ảnh chi tiết hơn và có thể hỗ trợ sinh thiết khi cần thiết.
- Việc lựa chọn phương pháp nào sẽ tùy thuộc vào tình trạng lâm sàng và chỉ định cụ thể của bác sĩ.

2. Siêu âm giúp phát hiện những dấu hiệu bất thường nào gợi ý ung thư tuyến tụy?
Siêu âm tuyến tụy là công cụ hỗ trợ quan trọng trong quá trình thăm khám và định hướng chẩn đoán ung thư tuyến tụy. Thông qua hình ảnh thu được, bác sĩ có thể phát hiện những bất thường tại cơ quan này ngay từ giai đoạn sớm nghi ngờ.
Cụ thể, siêu âm có thể giúp nhận diện:
- Sự xuất hiện của khối bất thường trong nhu mô tụy
- Tình trạng giãn ống tụy, gợi ý tắc nghẽn do u chèn ép
- Các tổn thương dạng nang hoặc u nang trong tuyến tụy
Dựa vào những dấu hiệu này, bác sĩ sẽ cân nhắc chỉ định thêm các phương tiện chẩn đoán chuyên sâu khác nhằm xác định chính xác bản chất tổn thương.
3. Ưu điểm và hạn chế của siêu âm trong phát hiện ung thư tuyến tụy
3.1. Ưu điểm của siêu âm
- An toàn, ít xâm lấn, chi phí hợp lý
Siêu âm không sử dụng tia bức xạ ion hóa như CT, do đó an toàn khi cần theo dõi nhiều lần. Kỹ thuật này tương đối đơn giản, chi phí thấp và có thể triển khai rộng rãi tại nhiều cơ sở y tế.
- Hiệu quả trong sàng lọc ban đầu
Siêu âm bụng giúp phát hiện các dấu hiệu nghi ngờ như khối giảm âm ở tụy, giãn ống tụy hoặc đường mật, nang giả tụy hay biến chứng của viêm tụy. Đây là bước thăm dò ban đầu hữu ích trước khi chỉ định các kỹ thuật chuyên sâu hơn.
- Siêu âm nội soi (EUS) có độ chính xác cao
EUS cho hình ảnh chi tiết nhờ đầu dò tiếp cận gần tuyến tụy qua đường tiêu hóa. Phương pháp này có khả năng phát hiện các khối u nhỏ dưới 2 cm với độ chính xác rất cao, kể cả những tổn thương mà siêu âm thông thường hoặc CT có thể bỏ sót.
- Hỗ trợ sinh thiết chẩn đoán
Dưới hướng dẫn của EUS, bác sĩ có thể thực hiện chọc hút kim nhỏ (FNA) để lấy mẫu mô làm xét nghiệm mô bệnh học, giúp xác định bản chất lành tính hay ác tính một cách chính xác.
- Thời gian thực hiện nhanh
Kết quả siêu âm có thể có ngay sau khi thực hiện, hỗ trợ kịp thời trong các tình huống cấp cứu liên quan đến tụy.

3.2. Hạn chế của siêu âm
- Bị ảnh hưởng bởi thể trạng và hơi trong ống tiêu hóa
Ở người thừa cân hoặc có nhiều hơi trong dạ dày – ruột, chất lượng hình ảnh có thể giảm do sóng âm bị cản trở.
- Phụ thuộc nhiều vào kinh nghiệm người thực hiện
Độ chính xác của siêu âm chịu tác động lớn từ kỹ năng và kinh nghiệm của bác sĩ.
Khó phát hiện tổn thương nhỏ hoặc nằm sâu (đối với siêu âm bụng):
Các khối u kích thước nhỏ hoặc vị trí sâu phía sau dạ dày có thể khó quan sát bằng siêu âm qua thành bụng.
- Hạn chế trong đánh giá giai đoạn bệnh
So với CT hoặc MRI, siêu âm khó xác định chính xác mức độ xâm lấn mạch máu hoặc tình trạng di căn xa.
- Nguy cơ dương tính giả
Trong một số trường hợp, hình ảnh viêm tụy có thể tương tự khối u tụy, gây khó khăn trong phân biệt và cần thêm xét nghiệm chuyên sâu để xác định.
4. Cần kết hợp siêu âm với các phương pháp nào khác để chẩn đoán ung thư tuyến tụy?
- Mô bệnh học (tiêu chuẩn vàng)
Chẩn đoán xác định ung thư tuyến tụy phải dựa trên kết quả giải phẫu bệnh từ mẫu mô lấy qua sinh thiết hoặc sau phẫu thuật cắt u. Đây là căn cứ quan trọng để khẳng định bản chất ác tính của tổn thương.
- Xét nghiệm máu (CA 19-9)
CA 19-9 là chất chỉ điểm khối u thường được sử dụng trong hỗ trợ tầm soát và theo dõi ung thư tụy. Khoảng 80% người bệnh có nồng độ CA 19-9 tăng cao, tuy nhiên xét nghiệm này không có giá trị chẩn đoán độc lập mà cần phối hợp với các phương pháp khác.
- Chụp cắt lớp vi tính (CT)
CT sử dụng tia X đa lát cắt để tái tạo hình ảnh rõ nét của tụy và các cơ quan lân cận. Phương pháp này không chỉ giúp phát hiện khối u mà còn đánh giá mức độ lan rộng, từ đó xác định khả năng phẫu thuật.
- Chụp cộng hưởng từ
MRI đặc biệt hữu ích trong khảo sát mô mềm, hỗ trợ phát hiện tổn thương tụy và đánh giá di căn gan hoặc phúc mạc.
- Nội soi mật tụy ngược dòng (ERCP)
Bác sĩ đưa ống nội soi mềm qua đường miệng xuống tá tràng để quan sát đường mật – tụy, đồng thời có thể kết hợp lấy mẫu mô khi cần.
- Sinh thiết kim qua da
Dưới hướng dẫn của siêu âm hoặc CT, kim nhỏ được đưa vào khối u để lấy tế bào làm xét nghiệm mô bệnh học, giúp xác định chẩn đoán.
Việc phối hợp nhiều phương pháp sẽ giúp tăng độ chính xác trong phát hiện sớm, chẩn đoán và lựa chọn hướng điều trị phù hợp cho từng bệnh nhân ung thư tụy.

Như vậy, siêu âm có phát hiện ung thư tụy không còn tùy thuộc vào kích thước khối u và mức độ tiến triển của bệnh. Siêu âm là phương tiện sàng lọc ban đầu hữu ích nhưng thường cần kết hợp thêm các phương pháp chẩn đoán chuyên sâu như CT, MRI hoặc xét nghiệm dấu ấn ung thư để đưa ra kết luận chính xác.
Để chủ động phát hiện sớm ung thư tụy cũng như nhiều bệnh lý nguy hiểm khác, người dân nên thực hiện tầm soát định kỳ tại các cơ sở y tế uy tín. Tại Bệnh viện Đa khoa Quốc tế Thu Cúc TCI, các gói khám tầm soát ung thư được xây dựng khoa học, kết hợp đầy đủ siêu âm, chẩn đoán hình ảnh chuyên sâu và xét nghiệm cần thiết, giúp phát hiện bệnh từ giai đoạn sớm – tăng cơ hội điều trị hiệu quả và bảo vệ sức khỏe lâu dài.
















