Hình ảnh ung thư mô mềm biến chứng nguy hiểm
Ung thư mô mềm hay còn gọi là sacôm mô mềm là ung thư của mô liên kết. Đây là bệnh hiếm gặp và chiếm 1,5% trong tất cả các loại ung thư. Các hình ảnh ung thư mô mềm trong bài viết dưới đây sẽ giúp độc giả hiểu rõ hơn về căn bệnh này.

Ung thư mô mềm là loại ung thư ác tính có nguồn gốc từ các mô mềm của cơ thể như mô mỡ, mô xơ, dây thần kinh, mạch máu… Bệnh có thể xuất hiện ở bất cứ vị trí nào trong cơ thể nhưng chủ yếu xuất phát từ tay và chân.

Ung thư mô mềm không phổ biến nhưng lại nguy hiểm do khó chẩn đoán, phát hiện sớm. Bệnh gặp nhiều ở nam giới hơn nữ giới. Trẻ em và người lớn đều có nguy cơ mắc bệnh.

Tiếp xúc với hóa chất là một trong những yếu tố làm tăng nguy cơ mắc ung thư mô mềm.

Hình ảnh ung thư mô mềm báo hiệu sớm là sự xuất hiện của một khối u ở bất cứ vị trí nào trên cơ thể.

Người bệnh bị ung thư mô mềm còn có triệu chứng đau bụng, sút cân, mệt mỏi…

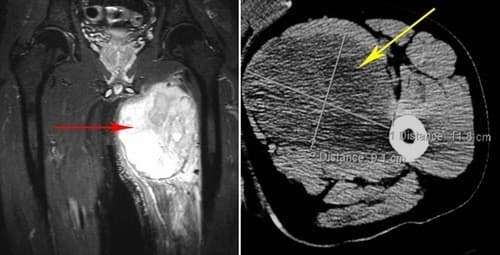
Để quan sát các hình ảnh ung thư mô mềm người bệnh cần tiến hành chụp CT hoặc chụp MRI. Những phương pháp chẩn đoán này còn giúp xác định vị trí, kích thước và mức độ xâm lấn của bệnh.

Tùy vào tình trạng sức khỏe, giai đoạn bệnh cụ thể của mỗi người, bác sĩ có thể chỉ định phẫu thuật, hóa trị hoặc xạ trị. Nếu được điều trị kịp thời, đúng phương pháp ngay từ giai đoạn sớm sẽ giúp loại bỏ hình ảnh ung thư mô mềm. Điều trị sớm làm tăng cơ hội chữa khỏi bệnh.
Để tìm hiểu thêm thông tin về bệnh ung thư mô mềm hoặc đặt lịch tầm soát, điều trị bệnh bệnh, vui lòng liên hệ tổng đài 1900 55 88 92 hoặc hotline 0936 388 288 để được tư vấn kỹ lưỡng.















