Viêm đại tràng màng giả là gì? Cách điều trị
Viêm đại tràng màng giả là gì? Đây là bệnh đại tràng đặc biệt thường gắn liền với việc sử dụng kháng sinh và phá vỡ hệ vi khuẩn đường ruột. Bệnh còn được gọi là viêm đại tràng Clostridium difficile.
1. Viêm đại tràng màng giả là gì?
Viêm đại tràng màng giả là gì? Viêm đại tràng màng giả hay viêm đại tràng Clostridium difficile là bệnh viêm ở đại tràng. Do sự sản sinh quá mức của vi khuẩn C. difficile thường liên quan tới điều trị kháng sinh. Nhiễm khuẩn C. difficile thường gặp ở bệnh nhân trên 65 tuổi đã có quá trình điều trị và nằm viện trước đó.
Vi khuẩn C. difficile là vi khuẩn kỵ khí, có nha bào nên có sức đề kháng rất tốt khi ở trong đường tiêu hóa. Loại vi khuẩn này sản sinh ra độc tố gây độc tế bào gây viêm. Khi niêm mạc đại tràng viêm do độc tố sẽ tăng bài tiết tạo thành lớp giả mạc màu trắng. Giả mạc này mềm nên dễ bong. Khi lớp giả mạc bong ra sẽ để lại viêm, loét và chảy máu niêm mạc.
Viêm đại tràng màng giả do vi khuẩn gây ra
2. Triệu chứng viêm đại tràng màng giả là gì?
– Tiêu chảy
– Đau bụng, đau quặn hoặc đau thực thể khi ấn.
– Phân nhầy hoặc có mủ
– Sốt
– Buồn nôn, nôn
– Mất nước
Các triệu chứng của viêm đại tràng màng giả có thể xuất hiện rất sớm, ngay sau khi dùng thuốc kháng sinh 1-2 ngày. Tuy nhiên cũng có nhiều trường hợp sau khi kết thúc dùng kháng sinh rất lâu lên tới hàng tháng hoặc hàng năm mới khởi phát. Nếu xuất hiện tiêu chảy khi đang hoặc đã dùng kháng sinh thì người bệnh nên đi khám càng sớm càng tốt. Tiêu chảy ở mức độ nặng kèm sốt, đau quặn, phân có nhầy là những dấu hiệu khá rõ ràng của bệnh.
3. Nguyên nhân viêm đại tràng màng giả là gì?
Nguyên nhân gây viêm đại tràng màng giả là do kháng sinh. Hầu như mọi loại kháng sinh đều có khả năng gây nên bệnh này, kể cả những loại kháng sinh dùng để điều trị viêm đại tràng màng giả.
Ngoài ra, ở người bệnh ung thư, quá trình hóa trị đôi khi có thể phá hoại vi khuẩn trong đường ruột và kích hoạt viêm đại tràng giả mạc. Bệnh cũng có thể phát triển ở những người có bệnh ảnh hưởng đến đại tràng như bệnh Crohn hay viêm loét đại tràng.
Viêm đại tràng màng giả có thể gây nguy hiểm nếu không được điều trị
4. Biến chứng viêm đại tràng màng giả là gì?
Ngay cả khi được chẩn đoán và điều trị kịp thời thì bệnh viêm đại tràng màng giả cũng có nguy cơ đe dọa tính mạng người bệnh. Biến chứng xảy ra bao gồm:
– Mất nước: Tiêu chảy độ nặng dẫn tới mất nước và điện giải nặng. Điều này khiến cơ thể khó hoạt động bình thường, dẫn tới tụt huyết áp nguy hiểm.
– Suy thận: Trong một số trường hợp, mất nước có thể diễn tiến nhanh gây suy giảm chức năng thận.
– Phình đại tràng nhiễm độc: Đại tràng không có nhu động để đẩy hơi và phân xuống. Khiến chúng ứ lại và làm giãn phình đại tràng. Nếu không điều trị có thể dẫn đến vỡ đại tràng, nhiễm khuẩn khoang ổ bụng. Phình đại tràng và phình đã vỡ là cấp cứu ngoại khoa. Cần can thiệp phẫu thuật vì có thể đe dọa tính mạng người bệnh.
– Thủng đại tràng: Đây là biến chứng hiếm gặp và do tổn thương lan rộng của đại tràng hoặc phình đại tràng nhiễm độc. Thủng đại tràng khiến vi khuẩn từ lòng đại tràng xâm nhập vào ổ bụng gây viêm phúc mạng.
– Tử vong: Nhiễm khuẩn C. difficile dù nhẹ hay trung bình không được điều trị kịp thời cũng có thể dẫn tới tử vong.
Viêm đại tràng màng giả có khả năng tái phát. Có thể sau vài ngày hoặc nhiều tuần kể từ khi điều trị thành công.
5. Chẩn đoán viêm đại tràng giả mạc
Các phương pháp thường được sử dụng để chẩn đoán viêm đại tràng màng giả và xác định biến chứng bao gồm:
5.1. Chẩn đoán viêm đại tràng màng giả là gì? – Xét nghiệm máu
Chỉ ra chỉ số cao bất thường của các tế bào máu trắng (bạch cầu) từ đó xác định có bệnh viêm đại tràng màng giả hay không.
5.2. Xét nghiệm mẫu phân
Phát hiện vi khuẩn C. difficile lây nhiễm trong đại tràng qua mẫu phân.
5.3. Chẩn đoán viêm đại tràng màng giả là gì? – Nội soi đại tràng
Bác sĩ sử dụng một ống có gắn máy ảnh thu nhỏ ở đầu để kiểm tra bên trong ruột già. Từ đó quan sát các dấu hiệu của viêm đại tràng giả mạc qua hình ảnh thu được, Xem có những mảng màu vàng (tổn thương niêm mạc) và vết sưng hay không.
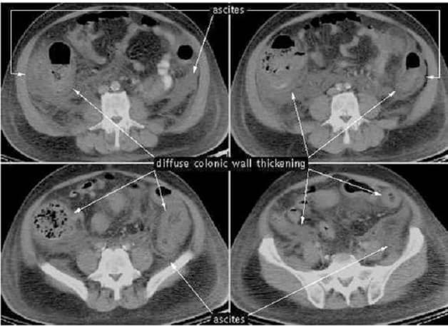
5.4. Xét nghiệm bằng hình ảnh
Nếu xuất hiện các triệu chứng nghiêm trọng, bác sĩ có thể tiến hành chụp X-quang hoặc quét CT bụng để tìm các biến chứng. Biến chứng của viêm đại tràng màng giả gồm phình đại tràng hoặc vỡ ruột.
Có nhiều cách để chẩn đoán viêm đại tràng màng giả
6. Phương pháp trị viêm đại tràng màng giả
– Ngưng sử dụng thuốc kháng sinh hiện tại hoặc thuốc điều trị gây ra các triệu chứng. Cách này có khả năng giải quyết tình trạng bệnh như tiêu chảy.
– Sử dụng thuốc kháng sinh có hiệu quả chống lại khuẩn C. difficile. Thuốc kháng sinh được dùng qua các đường khác nhau như uống hoặc tiêm tĩnh mạch. Điều trị bằng kháng sinh khác để tiêu diệt C. difficile cho phép vi khuẩn bình thường phát triển trở lại, phục hồi sự cân bằng hệ vi sinh trong đại tràng.
– Cấy ghép vi sinh vật trong phân: Được thực hiện trong các trường hợp bệnh nghiêm trọng. Cấy ghép phân từ phân của người hiến tặng khỏe mạnh để khôi phục sự cân bằng của vi khuẩn trong ruột già. Bác sĩ sẽ kết hợp điều trị kháng sinh cùng với cấy ghép phân.
– Phẫu thuật: Khi xảy ra phình đại tràng, thủng đại tràng.
- Cách phòng ngừa viêm đại tràng màng giả
– Uống nhiều nước: Uống nhiều nước có lợi cho đại tràng. Nên tránh đồ uống có cồn, cafein, đường…
– Chọn thức ăn mềm, dễ tiêu hóa: Gồm các thực phẩm như táo, chuối và gạo.
– Tránh thực phẩm giàu chất xơ: Đậu, các loại hạt và rau quả. Nếu như các triệu chứng được cải thiện, có thể thêm dần chất xơ lại vào khẩu phần ăn.
– Chia thành nhiều bữa nhỏ trong ngày.
– Tránh thực phẩm gây dị ứng, chất béo, nhiều gia vị, thực phẩm chiên… vì đều khiến triệu chứng bệnh nặng hơn.
Trên đây là thông tin chi tiết viêm đại tràng màng giả là gì, nguyên nhân và cách chữa trị. Khi gặp các triệu chứng của bệnh, người bệnh cần đến ngay cơ sở y tế uy tín để được thăm khám và chữa trị.






















