Viêm amidan có nguy hiểm không, giải đáp chi tiết ngay
Viêm Amidan là bệnh lý của đường hô hấp trên phổ biến, gặp cả ở người lớn và trẻ em. Bệnh gây ra những triệu chứng khó chịu và đau đớn cho người bệnh. Vậy viêm Amidan có nguy hiểm không?
1. Viêm Amidan là bệnh lý gì?
Amidan là hai hạch bạch huyết nằm ở hai bên bên dưới cổ họng của bạn. Chức năng của Amidan là bảo vệ và giúp cho cơ thể của bạn không bị nhiễm trùng. Khi một lượng lớn vi khuẩn xâm nhập vào cơ thể nhưng Amidan không phản ứng kịp, hiện tượng viêm nhiễm sẽ xảy ra. Khi đó, Amidan không có nhiệm vụ bảo vệ nữa mà ngược lại sẽ trở thành nơi vi khuẩn tích tụ và gây bệnh. Viêm Amidan bao gồm 2 loại: Viêm Amidan cấp tính và viêm Amidan mạn tính.
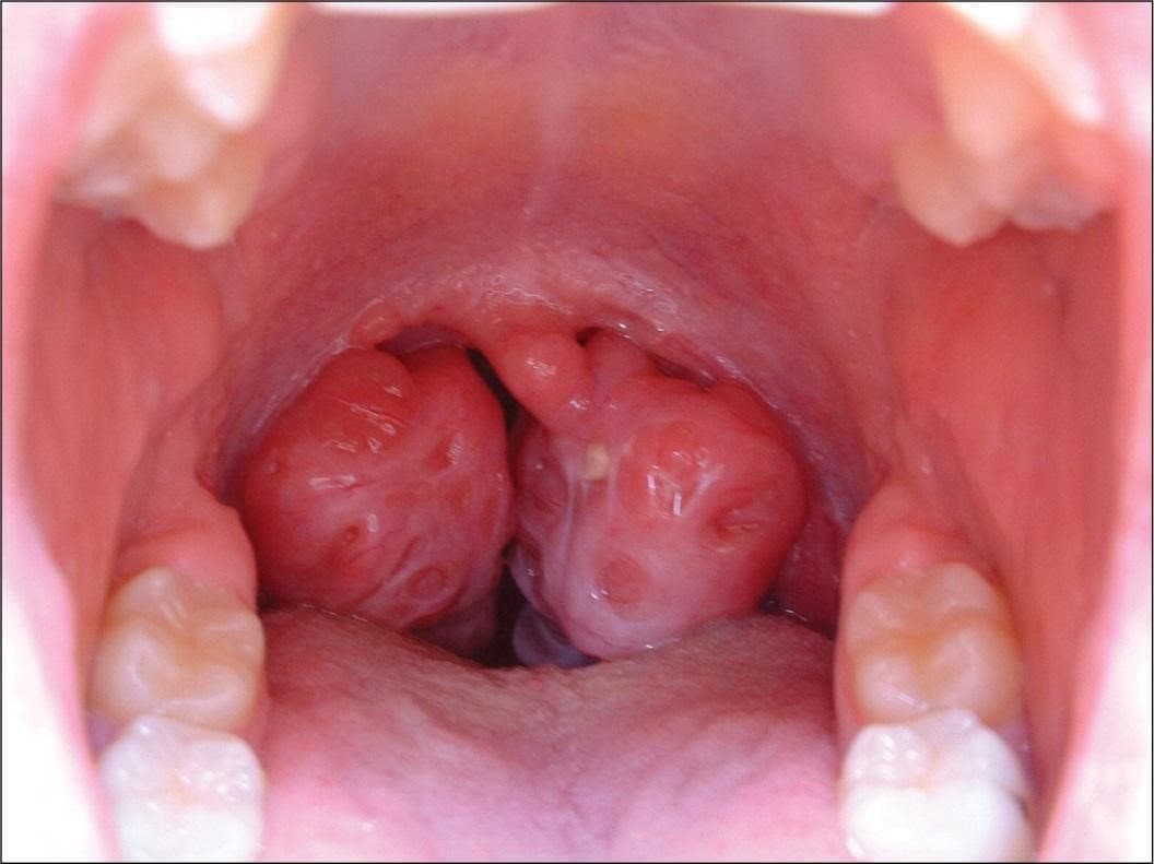
Hình ảnh viêm Amidan phát triển to, trở thành ổ bệnh chứa nhiều vi khuẩn gây hại cho cơ thể
2. Nguyên nhân viêm Amidan
Nguyên nhân gây ra viêm Amidan có thể đến từ 2 yếu tố:
2.1 Do virus
Virus được xác định là nguyên nhân chính gây nên những ổ viêm Amidan. Virus gây cảm lạnh thông thường là nguồn gốc chính gây viêm Amidan, ngoài ra còn một số loại virus khác phải kể đến như: rhinovirus, virus Epstein-Barr, viêm gan A và HIV.
2.2 Do vi khuẩn
Theo thống kê, khoảng 15 – 30% viêm Amidan do vi khuẩn gây nên. Thông thường, vi khuẩn phổ biến nhất gây nên là liên cầu khuẩn nhóm A. Ngoài ra, một số loại vi khuẩn khác có thể kể đến như xoắn khuẩn, tụ cầu, haemophilus influenzae….
3. Triệu chứng của viêm Amidan
3.1 Viêm Amidan cấp tính
Người bị viêm Amidan cấp tính thường có những biểu hiện đặc trưng như:
– Cổ họng bị khô, rát và đau.
– Cơ thể mệt mỏi, đau người, đau đầu và chán ăn.
– Tiểu tiện ít, sẫm màu và khi đi đại tiện thường bị táo bón.
– Rét run, thường từ 38 – 39 độ C.
– Nếu ở trẻ nhỏ, trẻ thường bị chảy mũi, thở khò khè, quấy khóc.
– Miệng hôi.
– Nếu lan xuống thanh quản hay khí quản sẽ gây ho có đờm, giọng khàn đặc.
Sốt cao là một trong những biểu hiện của viêm Amidan vì cơ thể đang sản xuất ra kháng thể để chống lại hiện tượng viêm nhiễm
3.2 Viêm Amidan mạn tính
Viêm Amidan mạn tính sẽ có những biểu hiện của viêm Amidan cấp tính nhưng sẽ có thêm những biểu hiện khác như:
– Khi há miệng quan sát sẽ thấy niêm mạc họng sưng đỏ, khi quan sát sẽ thấy khối Amidan sưng to.
– Khe rãnh Amidan có nổi mủ, đôi khi có những ổ áp xe xung quanh khu vực Amidan.
– Bệnh nhân xuất hiện hạch ở góc hàm.
– Khi ngủ thở khò khè, ngáy to hoặc gặp trường hợp ngưng thở khi ngủ.
4. Viêm Amidan có nguy hiểm không?
Viêm Amidan không phải là bệnh lý quá nguy hiểm nhưng nếu khi có triệu chứng mà không đi thăm khám và điều trị triệt để thì bệnh nhân có thể gặp các biến chứng như:
– Biến chứng tại chỗ: Viêm Amidan sẽ tái đi tái lại nhiều lần trong năm, viêm tấy hoặc bị áp xe quanh amidan. Người bệnh sẽ bị đau họng, khó nói, khó nuốt, hơi thở có mùi hôi, chảy nước bọt…
– Biến chứng kế cận: Viêm Amidan có thể kéo theo những bệnh lý khác trong vùng tai mũi họng như viêm tai giữa, viêm xoang, viêm thanh – phế quản, viêm tấy hạch ở hàm dưới…
– Biến chứng toàn thân: Amidan còn gây ra những biến chứng cho toàn thân như viêm cầu thận, viêm khớp cấp, viêm cơ tim, nhiễm khuẩn huyết….
Chính vì vậy khi có triệu chứng, bạn cần đến ngay các cơ sở y tế uy tín để được thăm khám và từ đó có phác đồ điều trị phù hợp.
5. Khi nào cần phẫu thuật cắt Amidan?
Để kiểm tra xem có cần cắt Amidan không, bạn cần đến các cơ sở y tế uy tín để bác sĩ kiểm tra và đưa ra chỉ định
Theo bác sĩ, không phải trường hợp nào bị viêm Amidan cũng cần phẫu thuật. Ở những trường hợp nhẹ viêm Amidan cấp tính, bác sĩ sẽ chỉ định sử dụng thuốc theo kê đơn để giảm triệu chứng kết hợp với chăm sóc và chế độ ăn uống ở nhà. Chỉ khi bệnh nhân thuộc những trường hợp sau, bác sĩ mới chỉ định thực hiện phẫu thuật:
– Viêm Amidan tái phát 5 – 6 lần/năm và gây nên những biến chứng nặng ảnh hưởng đến sức khoẻ.
– Kích thước Amidan to, gây ảnh hưởng đến đường thở, quá trình ăn uống và chất lượng giấc ngủ của người bệnh.
– Amidan có chứa nhiều hốc mủ, gây nuốt vướng, mùi hôi khó chịu hoặc nghi ngờ là ác tính.
Hiện nay, người bệnh có thể hoàn toàn an tâm thực hiện cắt Amidan tại các cơ sở uy tín với phương pháp tân tiến Plasma Plus. Phương pháp này có nhiều ưu điểm nổi bật như không chảy máu, không đau và không biến chứng. Đặc biệt, người bệnh chỉ cần lưu viện trong vòng 24h và nhanh chóng quay trở lại với công việc.
Hy vọng rằng bài viết của chúng tôi đã cung cấp những thông tin hữu ích để giải đáp thắc mắc “Viêm Amidan có nguy hiểm không” của bạn. Cần lưu ý, khi có triệu chứng của viêm Amidan, bạn cần sớm đến thăm khám với bác sĩ ở các cơ sở y khoa uy tín để được điều trị triệt để và hiệu quả nhé.




















