3 Cách trị đẹn nướu răng hiệu quả, an toàn chuẩn y khoa
Đẹn nướu răng (hay còn gọi là nhiệt miệng ở nướu) là tình trạng thường gặp khiến người bệnh đau rát, khó ăn uống và ảnh hưởng đến sinh hoạt hàng ngày. Việc hiểu rõ cách trị đẹn nướu răng đúng cách sẽ giúp bạn nhanh chóng đỡ khó chịu, tránh tái phát và bảo vệ sức khỏe răng miệng. Trong bài viết này, cùng khám phá nguyên nhân, dấu hiệu nhận biết và các phương pháp điều trị phù hợp – từ chăm sóc tại nhà đến khi nào cần gặp bác sĩ.
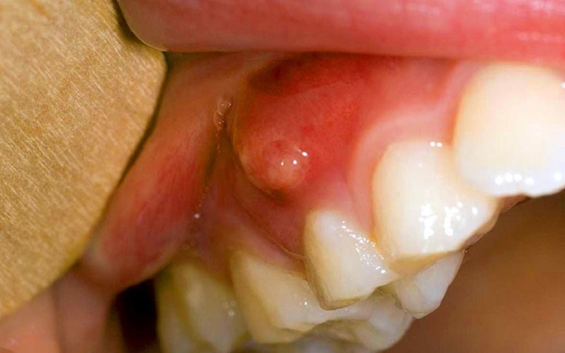
1. Dấu hiệu nhận biết và các loại đẹn nướu răng thường gặp
Đẹn nướu răng là một dạng của loét áp-tơ (nhiệt miệng) xuất hiện ở vùng nướu. Việc hiểu rõ loại đẹn đang mắc phải là bước đầu tiên để áp dụng cách trị đẹn nướu răng kịp thời.
1.1. Phân loại 3 dạng đẹn nướu phổ biến và thời gian lành bệnh
– Đẹn nhỏ: Chiếm phần lớn các trường hợp. Vết loét nông, kích thước nhỏ, đường kính thường dưới 1 cm. Thường chỉ xuất hiện một vài vết.
Thời gian lành: Tự khỏi hoàn toàn trong vòng 7 đến 10 ngày và thường không để lại bất kỳ vết sẹo nào.
– Đẹn lớn: Vết loét sâu, kích thước lớn (đôi khi trên 1 cm). Gây đau đớn dữ dội hơn và dai dẳng hơn nhiều so với đẹn nhỏ.
Thời gian lành: Quá trình lành vết thương có thể kéo dài hàng tuần, thậm chí hàng tháng, và có khả năng để lại sẹo trên niêm mạc nướu.
– Đẹn dạng Herpetiform: Biểu hiện bằng nhiều vết loét nhỏ li ti (có thể lên đến 100 vết) xuất hiện cùng lúc, sau đó có xu hướng hợp nhất lại thành một vùng loét lớn, gây khó khăn trong chẩn đoán.
1.2. Dấu hiệu nhận dạng và triệu chứng đau rát điển hình
– Quá trình hình thành: Ban đầu, khu vực nướu bị đẹn chỉ là một đốm đỏ nhỏ, hơi sưng. Sau vài giờ, vết loét chính thức hình thành.
– Hình thái vết loét: Vết loét có hình tròn hoặc bầu dục. Đặc trưng là phần trung tâm có màu trắng hoặc vàng nhạt (do mô hoại tử), được bao quanh bởi một viền đỏ tươi rõ ràng.

– Cường độ đau: Cảm giác đau rát tăng lên cực điểm khi nướu tiếp xúc với thức ăn, đặc biệt là đồ cay, nóng, mặn, hoặc chua. Điều này khiến người bệnh, nhất là trẻ em, khó khăn trong việc ăn uống, dẫn đến tâm lý biếng ăn và mệt mỏi.
2. 5 yếu tố gây nên đẹn nướu răng và cơ chế tái phát
Để tìm ra cách trị đẹn nướu răng triệt để, phải xác định được gốc rễ vấn đề. Đẹn nướu thường là kết quả của sự tác động đa chiều.
2.1. Yếu tố dinh dưỡng và cơ chế suy giảm miễn dịch
– Thiếu hụt vi chất: Đây là nguyên nhân hàng đầu. Khi cơ thể thiếu các vi chất quan trọng cho quá trình tạo máu và tái tạo tế bào như Vitamin B12, Axit Folic (B9), Sắt, và Kẽm, niêm mạc miệng trở nên yếu ớt và dễ hình thành loét.
– Hệ miễn dịch yếu: Căng thẳng tinh thần, thiếu ngủ, hoặc tình trạng suy nhược cơ thể làm giảm khả năng đề kháng. Hệ miễn dịch không đủ mạnh để ngăn chặn các tác nhân kích thích từ môi trường miệng, khiến đẹn nướu bùng phát và lâu lành.
2.2. Tổn thương vật lý, vệ sinh răng miệng và kích ứng hóa học
– Tổn thương cơ học: Bất cứ hành động nào gây chấn thương lặp đi lặp lại như chải răng quá mạnh, cắn vào nướu, hay sự cọ xát từ các thiết bị nha khoa (mắc cài, cạnh răng sắc nhọn, răng giả không vừa) đều có thể tạo ra vết thương tiền đề cho đẹn nướu.
– Chất tẩy rửa: Chất tạo bọt có trong kem đánh răng, mặc dù an toàn với hầu hết mọi người, nhưng ở những người có niêm mạc nhạy cảm, nó có thể gây khô niêm mạc và kích thích hình thành loét.
2.3. Vai trò của hormone, di truyền và stress
– Yếu tố nội tiết: Phụ nữ thường dễ bị đẹn nướu hơn nam giới, đặc biệt là trong giai đoạn có sự thay đổi nội tiết tố (trước hoặc trong chu kỳ kinh nguyệt, thời kỳ mang thai, mãn kinh).
– Di truyền: Nếu trong gia đình có người thường xuyên bị đẹn miệng tái phát, yếu tố di truyền khiến các thành viên khác cũng có nguy cơ cao hơn.
– Căng thẳng thần kinh: Stress là yếu tố kích hoạt mạnh mẽ loét áp-tơ, làm suy yếu hàng rào bảo vệ của cơ thể.
2.4. Phản ứng với thực phẩm và thói quen ăn uống sai lầm
– Thực phẩm kích thích: Thói quen ăn nhiều đồ cay, nóng, nhiều dầu mỡ, hoặc các thực phẩm có tính axit cao (cam, chanh, cà chua, dứa) có thể kích ứng niêm mạc nướu, gây loét và làm vết loét khó lành hơn.
– Phản ứng dị ứng: Một số người có phản ứng nhạy cảm (dị ứng nhẹ) với một số loại thực phẩm như phô mai, cà phê, sô-cô-la, gây ra đẹn nướu.
2.5. Các bệnh lý nền và nhiễm trùng phức tạp
– Bệnh lý tiêu hóa/Tự miễn: Sự tái đi tái lại của đẹn nướu có thể là biểu hiện ngoài miệng của các bệnh lý hệ thống như bệnh Crohn, viêm loét đại tràng (Colitis) hoặc các rối loạn về máu.
– Bội nhiễm: Vết loét hở tạo điều kiện cho vi khuẩn và nấm (như Candida) trong môi trường miệng xâm nhập, gây ra nhiễm trùng thứ cấp, làm chậm quá trình lành vết thương và gây đau dai dẳng.
3. Cách trị đẹn nướu răng hiệu quả tại nhà chuẩn y khoa
Cách trị đẹn nướu răng hiệu quả nhất là kết hợp kiểm soát cơn đau tại chỗ, giảm viêm, và xử lý nguyên nhân gốc rễ.
3.1. Các biện pháp hỗ trợ tại nhà và vệ sinh kháng khuẩn
– Vệ sinh bằng nước muối: Cần thực hiện súc miệng bằng nước muối sinh lý ấm 2-3 lần/ngày. Nước muối giúp làm sạch vết loét, giảm nguy cơ nhiễm trùng và làm dịu niêm mạc.

– Mật ong: Bôi một lượng nhỏ mật ong nguyên chất lên vết đẹn vì mật ong có tính kháng khuẩn và làm dịu nhẹ.
– Lá trầu không/Lá bàng: Súc miệng bằng nước sắc từ lá trầu không hoặc lá bàng non đã được đun sôi và để nguội, được dùng như biện pháp hỗ trợ sát khuẩn và làm se niêm mạc.
3.2. Điều trị bằng thuốc bôi và thuốc uống chuyên dụng
– Các loại thuốc bôi ngoài da chính là giải pháp được áp dụng rộng rãi nhất trong việc xử lý đẹn nướu răng. Các loại gel/kem bôi thường chứa:
Corticosteroid: Giảm phản ứng viêm mạnh mẽ, giúp vết loét mau xẹp và lành.
Chất gây tê (Lidocaine/Benzocaine): Giảm đau tức thời, giúp bệnh nhân ăn uống dễ dàng hơn.
– Thuốc uống bổ sung: Nếu xét nghiệm cho thấy thiếu hụt dinh dưỡng, bác sĩ sẽ chỉ định bổ sung Vitamin B tổng hợp, Axit Folic, Sắt và Kẽm liều cao để thúc đẩy quá trình tái tạo niêm mạc từ bên trong.
– Súc miệng điều trị: Sử dụng dung dịch súc miệng chứa Chlorhexidine (có tính sát khuẩn mạnh) theo hướng dẫn của nha sĩ nếu có nguy cơ nhiễm trùng hoặc loét tái phát nhiều lần.
3.3. Thay đổi chế độ dinh dưỡng và lối sống để hỗ trợ phục hồi
– Chế độ ăn kiêng khem: Tuyệt đối tránh các thực phẩm có tính kích thích như đồ cay, nóng, chua, mặn, và các thực phẩm cứng để giảm thiểu tối đa tổn thương cho vết đẹn.
– Thức ăn làm dịu: Ưu tiên các thực phẩm mềm, nguội, giàu dinh dưỡng, và dễ tiêu hóa (súp, cháo, sinh tố, sữa chua) để đảm bảo năng lượng và dinh dưỡng cho cơ thể.
– Quản lý stress: Giảm căng thẳng bằng cách ngủ đủ 7-8 giờ/đêm, tập thể dục nhẹ nhàng hoặc thiền định để củng cố hệ miễn dịch, yếu tố then chốt giúp cách trị đẹn nướu răng thành công.
4. Cách phòng ngừa đẹn nướu răng tái phát
Phòng ngừa tái phát là mục tiêu lâu dài sau khi đã áp dụng cách trị đẹn nướu răng thành công.
– Vệ sinh răng miệng tối ưu: Chải răng nhẹ nhàng với bàn chải có lông mềm, thường xuyên thay bàn chải (mỗi 3 tháng). Sử dụng chỉ nha khoa để loại bỏ mảng bám mà không gây tổn thương nướu.
– Khám nha khoa định kỳ: Kiểm tra $6$ tháng/lần là cần thiết để nha sĩ phát hiện và xử lý sớm các yếu tố cơ học gây kích ứng như cạnh răng sắc hoặc thiết bị chỉnh nha không vừa vặn.
– Khi nào cần gặp bác sĩ?
Nếu vết đẹn nướu kéo dài hơn 2 tuần mà không có dấu hiệu cải thiện.

Nếu loét xuất hiện kèm sốt, sưng hạch cổ, hoặc loét tái phát liên tục, cần thăm khám chuyên khoa ngay lập tức để loại trừ các bệnh lý nghiêm trọng hơn.
Tình trạng đẹn nướu răng thường không nguy hiểm nhưng gây nhiều khó chịu, ảnh hưởng đến ăn uống và giao tiếp hàng ngày. Việc áp dụng đúng cách trị đẹn nướu răng – kết hợp vệ sinh răng miệng khoa học, chế độ dinh dưỡng lành mạnh và hạn chế tác nhân kích thích – sẽ giúp vết loét nhanh lành và ngăn tái phát. Tuy nhiên, nếu đẹn nướu kéo dài trên 2 tuần, tái phát thường xuyên hoặc có dấu hiệu sưng đau, chảy máu, bạn nên đến cơ sở nha khoa uy tín để được bác sĩ thăm khám, tìm nguyên nhân chính xác và điều trị dứt điểm.

















