Mất ngủ đau đầu buồn nôn coi chừng u màng não
U màng não thường có diễn biến khó lường. Bệnh có thể biểu hiện triệu chứng ra bên ngoài như mất ngủ đau đầu buồn nôn. Nhưng cũng có nhiều trường hợp không biểu hiện triệu chứng gì, cho đến khi khối u to gây chèn ép vào cấu trúc não hoặc dây thần kinh sọ.
1. Mất ngủ đau đầu buồn nôn dấu hiệu quan trọng cảnh báo u màng não
1.1 Mất ngủ đau đầu buồn nôn đi khám phát hiện u màng não kích thước lớn
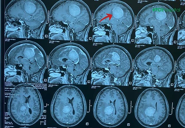
Bệnh nhân Đ.T.V (nữ, 47 tuổi) đã đến Hệ thống Y tế Thu Cúc TCI thăm khám với biểu hiện: đau đầu kéo dài khoảng 2 tháng, cơn đau âm ỉ, giật từng cơn dưới da, đau tăng về đêm, buồn nôn, giảm trí nhớ. Sau khi khám với bác sĩ chuyên khoa Nội thần kinh của TCI và chỉ định chụp cộng hưởng từ MRI não (sọ não, mạch não) thì phát hiện chị V. có khối u màng não kích thước lớn “to như quả trứng” “núp” trong não bệnh nhân.
– Khối u có kích thước ~ 48x46x44mm.
– Quầng phù não quanh tổn thương tương đối rộng, đè đẩy đường giữa cùng hệ thống não thất sang bên trái ~9,5mm, đè đẩy thân thể chai xuống dưới.
– Sau tiêm thuốc đối quang từ, khối ngấm thuốc mạnh và tương đối đồng nhất.
Các bác sĩ đã có tư vấn thích hợp cho người bệnh để can thiệp kịp thời, điều trị hiệu quả, ngăn ngừa biến chứng nguy hiểm xảy ra.
Ngoài biểu hiện mất ngủ đau đầu buồn nôn, người bị u màng não có thể gặp phải một số biểu hiện khác như giảm thị lực, giảm thính lực, yếu hoặc liệt dần, co giật,…
U màng não các dấu hiệu ban đầu thường mờ nhạt, không rõ ràng đến khi khối u to gây chèn ép nhiều tế bào não thì các triệu chứng sẽ rầm rộ hơn.
1.2 U màng não biểu hiện nhiều triệu chứng không chỉ mất ngủ đau đầu buồn nôn
Như một trường hợp khác, chị N.T.T.D (42 tuổi) đến Thu Cúc TCI khám với triệu chứng: đau mỏi chân tay, cảm giác nghẹt thở, đau nửa đầu trái, tê nửa người trái, ù tai. Sau khi thăm khám với bác sĩ chuyên khoa Nội thần kinh của TCI, chị D được chỉ định chụp cộng hưởng từ não (sọ não, mạch não) để kiểm tra. Kết quả chụp MRI sọ não phát hiện u màng não dốc nền xoang bướm bên phải.
Khi u màng não phát triển gây áp lực nội sọ. Khi tổn thương thần kinh sọ người bệnh không ngửi được mùi vị, nhìn mờ, mất thị lực một phần hoặc toàn bộ, nhìn đôi, lác, ù tai, giảm thính lực, điếc, tê bì mặt, yếu hoặc liệt tăng dần, co giật. Ngoài ra, còn có một số dấu hiệu khác như thay đổi tính cách, hành vi, giảm trí nhớ bên cạnh các triệu chứng điển hình là mất ngủ đau đầu buồn nôn.
Hình ảnh u màng não dốc nền xoang bướm bên phải trên phim chụp MRI của bệnh nhân N.T.T.D tại Thu Cúc TCI.
2. U màng não thường gặp ở đối tượng nào?
U màng não là khối u phát triển từ lớp màng nhện của màng não. Chiếm khoảng 15% trong số các loại u não. Đây là bệnh lý thuộc hệ thần kinh trung ương, có thể gặp ở mọi lứa tuổi và giới tính nhưng xuất hiện ở người lớn nhiều hơn trẻ em và tỷ lệ nữ nhiều hơn nam.
Hầu hết u màng não phát triển chậm và lành tính nhưng cũng có một số có thể trở thành ác tính (ung thư). Theo hiệp hội ung thư lâm sàng Mỹ, u màng não chiếm khoảng 39% các loại u não nguyên phát được chẩn đoán. Khoảng 37.000 người được chẩn đoán mỗi năm mắc u màng não. Điều này cho thấy đây là loại u não phổ biến.
Theo nghiên cứu khác đã chỉ ra có một số yếu tố nguy cơ khiến những đối tượng sau có tỷ lệ bị u màng não cao hơn người thường, đó là:
2.1 Di truyền
Các nhà khoa học cho rằng yếu tố di chuyền có thể ảnh hưởng đến khả năng một người bị u màng não. Cha mẹ có thể di truyền các đột biến u màng cho con. Yếu tố di truyền làm tăng nguy cơ bị u màng não, đặc biệt là nếu đột biến ở nhiễm sắc thể số 22, các rối loạn hiếm gặp như chứng Von Hippel-Lindau, hội chứng Turcot, hội chứng Li-Fraumeni…
2.2 Tiếp xúc phóng xạ, xạ trị
Người phải tiếp xúc với phóng xạ cao, từng trải qua xạ trị để điều trị ung thư não, từng điều trị bằng bức xạ thời thơ ấu, …
2.3 Tuổi cao, giới tính
Theo nghiên cứu đã chỉ ra rằng khối u màng não đều có thụ thể giới tính hormone giới tính, dẫn đến tỷ lệ bị u màng xảy có sự khác nhau ở hai giới cụ thể là tỷ lệ u màng não ở nữ nhiều hơn nam. Và hiếm gặp ở trẻ em, tỷ lệ bị u màng não cũng tăng dần theo tuổi tác.
2.4 Các yếu tố khác
Dư cân béo phì, tiền sử u xơ tử cung có thể làm tăng nguy cơ u màng não ở phụ nữ lớn tuổi.
Hiện nay các nhà khoa học chưa thể kết luận được việc sử dụng điện thoại di động, cũng như các thiết bị không dây khác liệu có phải là một trong những yếu tố gây u màng não hay không.
Phụ nữ có tỷ lệ đau đầu, mất ngủ và u màng não nhiều hơn nam giới.
3. Chẩn đoán u màng não bằng cách nào?
Hiện nay, để chẩn đoán u màng não thì chụp cộng hưởng từ sọ não (chụp MRI sọ não) được ưu tiên sử dụng khi chẩn đoán cận lâm sàng với những người có triệu chứng nghi ngờ u màng não.
Phương pháp này có thể chẩn đoán nhanh chóng và chính xác về vị trí, kích thước khối u màng não. Chụp MRI não an toàn cho các đối tượng kể cả người già, trẻ nhỏ, người đang mắc bệnh lý các bệnh lý ở não.
Ngoài ra, chụp cắt lớp vi tính sọ não có tiêm thuốc cản quang cũng là một trong những phương pháp giúp xác định khối u màng não.














