Alzheimer là gì và bệnh có triệu chứng như thế nào?
Bệnh Alzheimer thường bị nhầm tưởng là bị suy giảm trí nhớ đơn thuần. Tuy nhiên alzheimer còn ảnh hưởng lớn đến não, gây mất chức năng nhận thức, suy giảm khả năng tư duy. Vậy Alzheimer là gì, triệu chứng của bệnh và phương pháp điều trị như thế nào, cùng tìm hiểu bài viết dưới đây.
1. Alzheimer là gì, có mấy giai đoạn tiến triển?
1.1. Alzheimer là gì, có giống với suy giảm trí nhớ không?
Alzheimer là bệnh gây chứng giảm trí nhớ ở người già, mất chức năng nhận thức, suy giảm khả năng biểu đạt ngôn ngữ. Nguyên nhân xuất phát từ sự hao mòn các nơ ron thần kinh và synap trong vỏ não và một số vùng dưới vỏ.
Nhiều người thường nhầm lẫn bệnh alzheimer và hiện tượng suy giảm trí nhớ thông thường ở người già. Trên thực tế, khi hiểu rõ bệnh alzheimer là gì, bạn sẽ hiểu đây là 2 tình trạng hoàn toàn khác nhau. Alzheimer không chỉ gây mất trí nhớ, giảm khả năng tập trung. Bệnh còn làm ảnh hưởng nghiêm trọng tới vấn đề ngôn ngữ, không kiểm soát được hành vi và mất phương hướng về không gian, thời gian ngoài ra còn thay đổi tâm trạng.
Việc nhầm lẫn bệnh alzheimer và suy giảm trí nhớ thông thường vô cùng tai hại. Vì khi đó người bệnh sẽ bị trì hoãn việc điều trị và kéo theo nhiều di chứng nguy hiểm tới tính mạng.
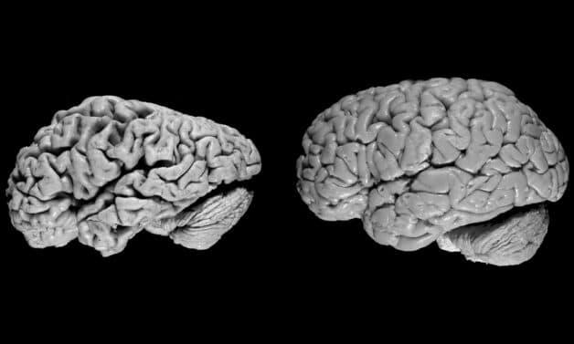
Hình ảnh so sánh não bình thường và não của người bị alzheimer
1.2. Các giai đoạn tiến triển của bệnh Alzheimer
– Giai đoạn đầu tiên – giai đoạn trước khi mất trí nhớ:
Người bệnh cảm thấy khó khăn trong việc ghi nhớ các sự kiện mới xảy ra, không thể tiếp nhận thêm các thông tin mới.
Giảm sự tập trung, lơ đãng với mọi việc.
Suy giảm khả năng lên kế hoạch và suy nghĩ các vấn đề trừu tượng.
Suy giảm nhận thức ở mức độ nhẹ, chưa ảnh hưởng nhiều đến cuộc sống.
– Giai đoạn nhẹ
Suy giảm trí nhớ tăng dần, khó học hỏi thêm được điều mới.
Bắt đầu quên một số việc đã xảy ra trong quá khứ, quên cách dùng một đồ dùng.
Bắt đầu khó diễn đạt hết một câu từ, vốn từ bị giảm.
– Giai đoạn khá nặng
Người bệnh không thể thực hiện các hoạt động sinh hoạt hàng ngày, luôn cần có sự hỗ trợ từ người thân.
Giảm khả năng vận động rõ ràng, người bệnh dễ bị té ngã.
Suy giảm trí nhớ nghiêm trọng, có thể không nhận ra được người thân.
Thay đổi hành vi, tính cách: thường đi lang thang, thường xuyên khó chịu, cáu kỉnh, trở nên hung hăng và phản đối sự chăm sóc của mọi người.
– Giai đoạn nặng
Mất hẳn khả năng sinh hoạt hàng ngày, cần nhờ sự chăm sóc hoàn toàn từ người thân.
Khả năng ngôn ngữ suy giảm nghiêm trọng, chỉ nói được những từ đơn giản. Có những trường hợp chỉ nói được các từ đơn và cuối cùng là mất hoàn toàn ngôn ngữ.
Luôn trong trạng thái lơ đãng, thiếu sức sống, mệt mỏi.
Một số trường hợp bị liệt giường, mất khả năng tự ăn uống, luôn cần có sự chăm sóc từ người nhà.
Tệ nhất là bệnh Alzheimer gây tử vong do các nguyên nhân như: nhiễm trùng do vết loét, viêm phổi, thiếu dinh dưỡng …
Bệnh alzheimer không chỉ khiến người bệnh mất trí nhớ mà còn gây ra nhiều biến chứng khác
2. Nguyên nhân và các biến chứng của bệnh Alzheimer
2.1. Nguyên nhân gây ra bệnh Alzheimer bao gồm những gì?
Bệnh Alzheimer là gì, vẫn là một bí ẩn với nhà khoa học, bác sĩ vì chưa có nghiên cứu nào xác định chính xác được nguyên nhân của bệnh. Tuy nhiên một số nghiên cứu đã đưa ra các nguyên nhân bao gồm:
– Do sự tích tụ của một loại protein trong não và dẫn đến tình trạng chết dần chết mòn tế bào não.
– Quá trình lão hóa phá hủy các myelin làm giảm quá trình dẫn truyền thần kinh, làm cho các tế bào thần kinh bị chết.
– Nguyên nhân do rối loạn quá trình sản xuất và hoạt động của các chất oxy hóa trong cơ thể.
2.2. Biến chứng của bệnh alzheimer là gì, có nguy hiểm không?
Khi mắc bệnh Alzheimer, bệnh nhân gặp phải rất nhiều hội chứng như mất trí nhớ, ngôn ngữ, suy giảm khả năng giao tiếp, đàm phán, hạn chế nhận thức. Ở giai đoạn nặng, bệnh nhân hầu như chỉ nằm bất động trên giường, phụ thuộc hoàn toàn vào sự chăm sóc của người khác.
Theo thống kê, bệnh Alzheimer là nguyên nhân tử vong đứng thứ 6 tại Mỹ. Trên thế giới có khoảng 50 triệu người đang sống chung với căn bệnh này. Alzheimer không trực tiếp gây tử vong mà bệnh nhân tử vong do mắc các bệnh lý cơ hội kèm theo.
– Viêm phổi: người bị bệnh alzheimer bị rối loạn chức năng nuốt. Điều này làm cho các chất nhầy từ dịch dạ dày hay thức ăn xâm nhập vào phổi hoặc đường hô hấp, gây ra tình trạng phù nề ở phổi, nhiễm trùng và dẫn đến tình trạng viêm phổi.
– Nhiễm trùng: người bệnh alzheimer không tự chủ trong việc tiểu tiện nên thường phải đặt ống thông tiểu. Việc này tăng nguy cơ nhiễm trùng tiết niệu, nếu không được xử lý kịp thời bệnh có thể biến chuyển nặng và đe dọa tới tính mạng.
– Chấn thương: bệnh nhân alzheimer thường khó xác định phương hướng thậm chí mất phương hướng nên nguy cơ té ngã, chấn thương khi đi lại thường xuyên xảy ra.
3. Các nguyên tắc và phương pháp điều trị Alzheimer
3.1. Nguyên tắc cần ghi nhớ khi điều trị bệnh alzheimer
Bệnh alzheimer hiện tại chưa có thuốc điều trị, mục tiêu điều trị chỉ là làm chậm quá trình tiến triển của bệnh và giúp cải thiện chất lượng cuộc sống, hạn chế các biến chứng nguy hiểm và ảnh hưởng tới cuộc sống của người bệnh.
Bệnh nhân alzheimer rất cần sự chăm sóc, trông nom và quan tâm từ người thân
3.2. Phương pháp điều trị bệnh Alzheimer bằng thuốc
Bệnh nhân sẽ được sử dụng các thuốc làm chậm tiến triển của bệnh và kết hợp các thuốc điều trị các triệu chứng đi kèm.
– Thuốc làm chậm tiến triển của bệnh bao gồm: thuốc kháng cholinesterase, Memantine – là chất kháng thụ thể N-methyl-D-aspartate có tác dụng tăng dẫn truyền synap.
– Các thuốc điều trị triệu chứng: điều trị mất ngủ, thuốc chống loạn thần, …
– Điều trị các bệnh lý kèm theo như bệnh tim mạch, đái tháo đường, tăng cholesterol, viêm phổi, chăm sóc hạn chế các vết loét do tì đè.
3.3. Chế độ chăm sóc người bệnh
Bệnh nhân Alzheimer gặp rất nhiều vấn đề cùng lúc nên thường xuyên không thể kiểm soát hành vi của mình. Một số trường hợp nặng không thể tự chăm sóc bản thân, nên người thân và gia đình cần đặc biệt chú ý trong thời gian chăm sóc.
– Luôn theo sát, tạo môi trường an toàn để tránh bệnh nhân bị ngã.
– Trò chuyện, chia sẻ với người bệnh thường xuyên để làm cho tinh thần thoải mái, vui vẻ.
– Kiên nhẫn với người bệnh, hỗ trợ trong tất cả các hoạt động thường ngày.
– Đối với bệnh nhân không thể di chuyển được cần thay đổi tư thế thường xuyên, tránh để bị tì loét.
Hi vọng qua bài viết, bạn đã có thông tin sơ bộ về bệnh, hiểu được Alzheimer là gì để có thể phòng tránh bệnh và biết cách chăm sóc người thân. Để phòng tránh, bạn nên ăn uống lành mạnh và đủ chất, tập luyện thể dục đều đặn và chủ động thăm khám tại khoa Nội thần kinh định kỳ.













