U nang hố lưỡi thanh nhiệt tái phát vì trào ngược dạ dày
Bệnh viện ĐKQT Thu Cúc TCI mới tiếp nhận trường hợp bệnh nhân bị tái phát u nang hố lưỡi thanh nhiệt sau 2 năm cắt bỏ. Đặc biệt lần này u nang lại phát triển với kích cỡ lớn hơn hẳn so với trước đây và cần phẫu thuật loại bỏ sớm. Những bệnh nhân có tiền sử bệnh cũng cần lưu ý vì khả năng tái phát của bệnh lý này là rất cao.
1. U nang hố lưỡi thanh nhiệt tái phát sau 2 năm
Bệnh nhân nữ 33 tuổi chủ động đến khám tại TCI do gặp tình trạng nuốt vướng trong nhiều ngày và tiện thể kiểm tra lại tình trạng u nang hố lưỡi thanh nhiệt đã từng cắt bỏ 2 năm trước. Qua thăm khám, nội soi họng, bác sĩ Nguyễn Chí Trung – Chuyên khoa Tai Mũi Họng phát hiện bệnh nhân mọc thêm một u nang khác, kích thước to hơn u cũ trước đây từng cắt. Đây chính là nguyên nhân gây bên tình trạng nuốt vướng mà bệnh nhân đang gặp phải trong thời gian gần đây.

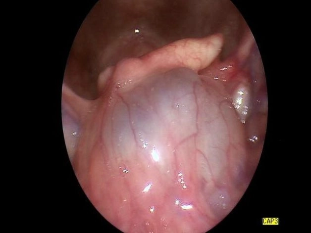
Hình ảnh nội soi cho thấy u nang hố lưỡi – thanh nhiệt có kích thước khá lớn!
U nang hố lưỡi thanh thiệt là khối u dạng nang lành tính, xuất hiện tại niêm mạc hố lưỡi thanh thiệt. Bệnh lý này được biết đến dưới nhiều tên gọi như: u nang hố lưỡi – thanh thiệt, u nang sụn nắp thanh thiệt, u nang đáy lưỡi,…
U có dạng túi dịch chứa các chất nhầy tiết ra, bị tắc nghẽn do không có lối thoát. Khi u nang còn bé thường không gây ảnh hưởng nhiều, người bệnh không thể cảm nhận có khối u này trong cổ họng cho đến khi kích thước của u đủ lớn để gây chèn ép, ảnh hưởng đến ăn, nuốt.
Bệnh lý này không có triệu chứng lâm sàng đặc hiệu và khá nghèo nàn, bao gồm:
– Nuốt vướng, đau.
– Giọng nói bị thay đổi.
– Khó thở, thở rít (thường ở trẻ em).
Do các biểu hiện không quá rõ ràng nên để có thể phát hiện sớm, người bệnh nên đi khám ngay khi có dấu hiệu bất thường, nhất là những trường hợp đã có tiền sử từng bị bệnh.
2. Chẩn đoán và điều trị bệnh
2.1 Chẩn đoán u nang hố lưỡi thanh nhiệt như thế nào?
U nang hố lưỡi thanh nhiệt khá ít gặp nhưng nếu mắc bệnh mà không được phát hiện và điều trị sớm sẽ ảnh hưởng rất nhiều đến chức năng nói, thở của người bệnh hay điển hình nhất là ảnh hưởng đến chức năng ăn, nuốt như của bệnh nhân nữ đã nêu.
Việc chẩn đoán bệnh chủ yếu sẽ dựa vào lâm sàng và nội soi thanh quản. Một số trường hợp u nang có kích thước lớn, vỏ dày, lẩn sâu phía trong đáy lưỡi cần thực hiện thêm chẩn đoán phân biệt vì có thể tương đồng với một số bệnh như tuyến giáp lạc chỗ, u nang giáp móng thể lưỡi…
Trong quá trình thăm khám và khai thác bệnh sử, bác sĩ Trung được biết rằng bệnh nhân thường xuyên có những đợt trào ngược họng – thanh quản. Đây là nguyên nhân khiến u nang có cơ hội tái phát dù trước đó đã phẫu thuật loại bỏ hoàn toàn.
Hầu hết các trường hợp u nang hố lưỡi thanh nhiệt nói chung và ở bệnh nhân nữ này nói riêng, bên trong u nang thường có chứa dịch trong, màu vàng nhạt, vô khuẩn, được bao bọc bởi lớp vỏ dai xơ.

Bên trong nang thường có dịch trong hoặc vàng nhạt, có lớp vỏ dai, xơ.
Vậy u nang hố lưỡi thanh nhiệt có nguy hiểm không? Câu trả lời chính xác là không, tuy nhiên ảnh hưởng nó gây nên có thể khiến người bệnh khó chịu như mất giọng, khàn tiếng, khó nuốt…
2.2 Điều trị u nang hố lưỡi thanh nhiệt
Phương pháp điều trị bệnh lý này chủ yếu là phẫu thuật. Thông thường sau khi thăm khám bác sĩ sẽ quyết định xem tình trạng bệnh nhân có cần thiết phải thực hiện phẫu thuật hay không. Đa số u nang hố lưỡi thanh nhiệt là lành tính nên nếu không có kích thước quá lớn và gây ra triệu chứng khó chịu thì thường không cần chỉ định phẫu thuật.
U nang hố lưỡi thanh nhiệt phẫu thuật không khó và có nhiều cách thức như: chọc hút dịch nang, mở thông nang hoặc cắt bỏ hoàn toàn nang. Tuy nhiên, sau phẫu thuật, bệnh nhân cần lưu ý theo dõi vì u nang có nguy cơ tái phát cao nếu không chăm sóc sức khỏe đúng cách hoặc người bệnh mắc các bệnh lý về đường tiêu hóa như trào ngược dạ dày.
Đối với những trường hợp tái phát u nang do trào ngược dạ dày, điển hình như bệnh nhân nữ trên, ngoài phẫu thuật loại bỏ u còn cần kết hợp điều trị ngăn ngừa phản xạ trào ngược dạ dày để tránh tình trạng dịch dạ dày gây nhiễm khuẩn vết mổ làm cho vết mổ lâu lành.
3. Phẫu thuật loại bỏ u nang
Trường hợp bệnh nhân nữ 33 tuổi bị tái phát u nang với kích thước to gây chèn ép họng, khó ăn uống, khó nuốt, bác sĩ Trung chỉ định cần phẫu thuật cắt bỏ để trả lại đường họng, thanh quản thông thoáng một cách triệt để. Phương pháp các bác sĩ TCI áp dụng để loại bỏ khối u nang cho bệnh nhân là phẫu thuật nội soi. Với hệ thống thiết bị phẫu thuật nội soi mũi xoang của Karl Storz (Đức) – Thương hiệu sản xuất thiết bị nội soi hàng đầu thế giới, việc phẫu thuật sẽ được đảm bảo chính xác và hạn chế tối đa những tổn thương đến khu vực lân cận.
Điều trị u nang hố lưỡi thanh nhiệt không khó, nhưng để điều trị triệt để không tái phát thì lại phụ thuộc rất nhiều vào chế độ chăm sóc của bệnh nhân. Để bảo vệ sức khỏe của bản thân đúng cách, bất kỳ ai, đặc biệt là những người có tiền sử bị bệnh đi kèm bệnh lý trào ngược dạ dày cần phải thăm khám sức khỏe định kỳ đều đặn để có thể phát hiện sớm, điều trị kịp thời bệnh lý.