U nang buồng trứng echo trống: Thông tin chị em cần biết
U nang buồng trứng echo trống là tình trạng nhiều chị em phát hiện được khi siêu âm. Chẩn đoán này có thể khiến nhiều phụ nữ lo lắng. Vậy tình trạng này có nguy hiểm hay không, điều trị như thế nào…? Tham khảo bài viết dưới đây để có những kiến thức hữu ích về bệnh lý phụ khoa này nhé.
1. U nang buồng trứng: 70% chị em từng mắc 1 lần trong đời
U nang buồng trứng là một bệnh lý phụ khoa phổ biến, ảnh hưởng đến 20-25% phụ nữ trong độ tuổi sinh sản.
Theo Tổ chức Y tế Thế giới (WHO): U nang buồng trứng là khối u lành tính thường gặp nhất ở phụ nữ. Ước tính có đến 70% phụ nữ sẽ có ít nhất một lần mắc u nang buồng trứng trong đời.
Viện Sức khỏe Quốc gia Hoa Kỳ (NIH) cũng cho biết: Khoảng 10% phụ nữ ở độ tuổi sinh sản có u nang buồng trứng có thể phát hiện được bằng siêu âm.
Số liệu từ Bệnh viện K năm 2022, u nang buồng trứng chiếm 3,6% các bệnh lý phụ khoa, là một trong những lý do phổ biến khiến phụ nữ đến khám phụ khoa.
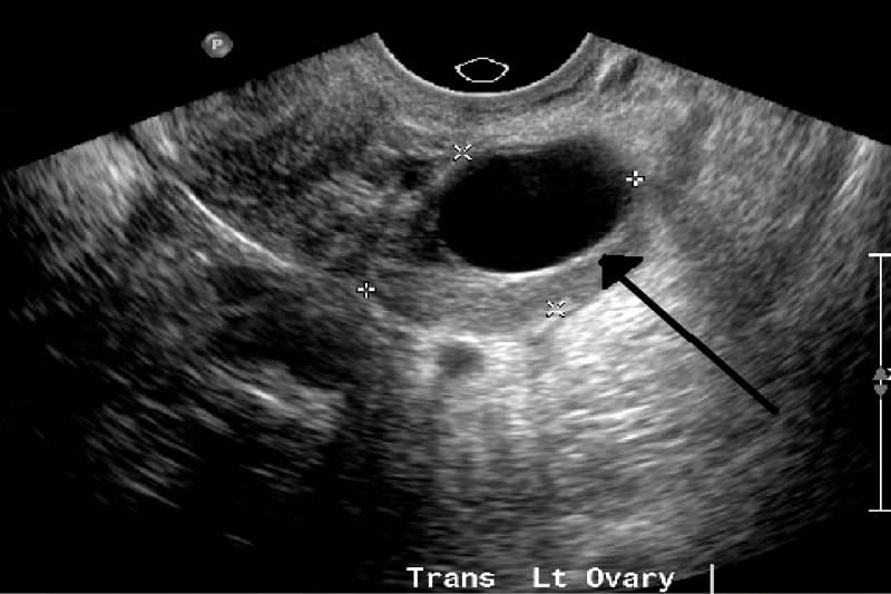
2. U nang buồng trứng echo trống là gì?

Nhiều chị em tình cờ phát hiện u nang buồng trứng qua siêu âm.
U nang buồng trứng echo trống là một dạng u nang lành tính thường gặp ở phụ nữ. Echo buồng trứng là âm thanh dội lại từ các khối hoặc vùng trong buồng trứng khi siêu âm. U nang echo trống, hay nang buồng trứng echo âm, là dạng nang đặc biệt không tạo tiếng vang khi siêu âm. Nó có thể là dấu hiệu của u nang buồng trứng như u nang cơ năng (hoàng thể, hoàng tuyến, noãn) hoặc u nang thực thể (u quái, u nang nước, u nang nhầy).
Đặc điểm của nang buồng trứng echo trống: Kích thước có thể dao động từ vài mm đến vài cm và vị trí thường nằm ở một trong hai buồng trứng.
2. Các loại nang buồng trứng echo trống
– U nang đơn giản: Đây là loại u nang phổ biến nhất, thường có kích thước nhỏ và tự biến mất sau một vài chu kỳ kinh nguyệt.
– U nang phức tạp: Loại u nang này có thể chứa nhiều vách ngăn, dịch hoặc mô rắn.
– U nang nội mạc tử cung: Loại u nang này phát triển từ mô nội mạc tử cung, có thể gây đau bụng dữ dội trong kỳ kinh nguyệt.
3. Nguyên nhân và những người có nguy cơ mắc bệnh
3.1. Yếu tố làm tăng nguy cơ mắc u nang buồng trứng echo trống
– Rối loạn nội tiết tố: Đây là nguyên nhân chính gây ra u nang buồng trứng.
– Di truyền: Nếu mẹ hoặc chị em gái có u nang buồng trứng, bạn có nguy cơ cao hơn mắc bệnh.
– Sử dụng thuốc tránh thai: Một số loại thuốc tránh thai có thể làm tăng nguy cơ mắc u nang buồng trứng.
– Mang thai: U nang buồng trứng có thể phát triển trong thai kỳ và thường tự biến mất sau khi sinh.
3.2. Những ai có nguy cơ cao mắc u nang buồng trứng echo trống?
– Phụ nữ trong độ tuổi sinh sản: Tình trạng này thường gặp nhất ở phụ nữ trong độ tuổi 20-40.
– Phụ nữ có rối loạn nội tiết tố: Rối loạn nội tiết tố, đặc biệt là sự mất cân bằng estrogen và progesterone, có thể làm tăng nguy cơ phát triển u nang buồng trứng.
– Phụ nữ có tiền sử gia đình mắc u nang buồng trứng: Nếu mẹ hoặc chị em gái có u nang buồng trứng, bạn có nguy cơ cao hơn mắc bệnh.
– Phụ nữ sử dụng thuốc tránh thai: Một số loại thuốc tránh thai có thể làm tăng nguy cơ mắc u nang buồng trứng, đặc biệt là những loại có chứa estrogen liều cao.
– Phụ nữ mang thai: U nang buồng trứng có thể phát triển trong thai kỳ và thường tự biến mất sau khi sinh. Tuy nhiên, phụ nữ mang thai có nguy cơ cao hơn mắc u nang buồng trứng so với phụ nữ không mang thai.
Ngoài ra, một số yếu tố khác cũng có thể làm tăng nguy cơ mắc u nang buồng trứng ở phụ nữ, bao gồm:
– Béo phì
– Chế độ ăn uống thiếu lành mạnh
– Lối sống ít vận động
– Uống rượu bia và có hút thuốc lá
– Nếu bạn có bất kỳ yếu tố nguy cơ nào kể trên, hãy đi khám phụ khoa định kỳ để phát hiện sớm và điều trị kịp thời.
4. Nang buồng trứng echo trống: Triệu chứng hiếm hoi
Hầu hết nang buồng trứng echo trống không gây ra triệu chứng bởi kích thước rất nhỏ. Tuy nhiên, ở 1 số phụ nữ, họ có thể nhận thấy 1 hay nhiều triệu chứng như:
– Đau bụng
– Chướng bụng
– Đi tiểu nhiều
– Đau khi quan hệ tình dục
– Táo bón
5. Chẩn đoán

Các chị em phát hiện ra nang buồng trứng echo trống chủ yếu qua siêu âm.
U nang buồng trứng khối echo trống thường được chẩn đoán bằng siêu âm. Trong một số trường hợp, bác sĩ có thể yêu cầu các xét nghiệm khác, chẳng hạn như xét nghiệm máu hoặc chụp CT.
6. U nang buồng trứng khối echo trống có nguy hiểm không?
Hầu hết nang buồng trứng echo trống là lành tính và không nguy hiểm. Tuy nhiên, một số ít trường hợp có thể biến chứng như:
– Vỡ u nang: Vỡ u nang có thể gây đau dữ dội, chảy máu trong và cần được phẫu thuật cấp cứu.
– Xoắn buồng trứng: Xoắn buồng trứng có thể gây đau dữ dội, buồn nôn và nôn.
– Khó mang thai: U nang buồng trứng có thể ảnh hưởng đến khả năng sinh sản của phụ nữ.
7. Điều trị nang buồng trứng echo trống như thế nào?

Đa số người bệnh không cần điều trị, mà chỉ theo dõi định kỳ.
Việc điều trị sẽ phụ thuộc vào kích thước, triệu chứng và tuổi tác của người bệnh. Nhìn chung, đa số người bệnh chỉ cần theo dõi nếu như nó không gây ra triệu chứng gì đặc biệt.
– Theo dõi định kỳ: U nang buồng trứng nhỏ thường tự biến mất sau một vài chu kỳ kinh nguyệt.
– Sử dụng thuốc tránh thai: Thuốc tránh thai có thể giúp ngăn ngừa u nang buồng trứng tái phát.
– Phẫu thuật: Phẫu thuật được áp dụng cho u nang buồng trứng lớn, gây triệu chứng hoặc có nguy cơ biến chứng.
Nhìn chung, u nang buồng trứng có khối echo trống là một bệnh lý phụ khoa phổ biến ở các chị em phụ nữ. Tuy không nguy hiểm, nhưng bạn nên đi khám bác sĩ để được chẩn đoán và điều trị kịp thời nếu có các triệu chứng nghi ngờ. Điều này đặc biệt quan trọng hơn đối với phụ nữ mang thai có u nang buồng trứng. Khám phụ khoa định kỳ là cách tốt nhất để phát hiện sớm u nang buồng trứng và điều trị hiệu quả.












