Cấp cứu:0901793122
English
Bệnh Viện Đa Khoa Quốc Tế Thu Cúc | TCI Hospital
Chăm sóc sức khoẻ trọn đời cho bạn
Tổng đài1900558892
bệnh viêm ruột thừa

bệnh viêm ruột thừa

Trang chủ/bệnh viêm ruột thừa
Viêm ruột thừa và những điều liên quan bạn cần biết

Viêm ruột thừa và những điều liên quan bạn cần biết

Ruột thừa là một đoạn ruột nhỏ, dạng túi cùng, hẹp và dài vài centimet dính vào manh tràng. Ruột thừa nằm ở phần bụng dưới bên phải, nơi nối tiếp giữa ruột non và ruột già. Chức năng ruột thừa trong cơ thể chưa được xác định. 1. Viêm ruột thừa là gì? Viêm […]
Chi phí mổ ruột thừa giá bao nhiêu?

Chi phí mổ ruột thừa giá bao nhiêu?

Viêm ruột thừa là bệnh lý đường tiêu hóa rất phổ biến, có thể gặp ở mọi độ tuổi và không phân biệt giới tính. Mổ là phương án điều trị an toàn và hiệu quả nhất với viêm ruột thừa. Vậy, mổ ruột thừa hết bao nhiêu tiền, mổ ruột thừa ở đâu tốt? […]
Ruột thừa nằm ở vị trí nào? Các triệu chứng cảnh báo

Ruột thừa nằm ở vị trí nào? Các triệu chứng cảnh báo

Ruột thừa nằm ở vị trí nào, triệu chứng nào cảnh báo viêm ruột thừa và khi bị đau ruột thừa cần phải làm gì là vấn đề mọi người cần nắm rõ. Mục đích là để kịp thời cấp cứu trong tình huống khẩn cấp, tránh biến chứng nguy hiểm đe dọa tính mạng. […]
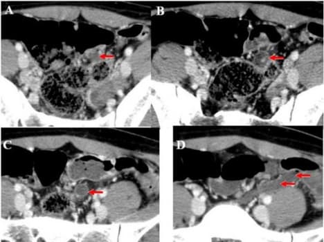
Hình ảnh CT viêm ruột thừa

Hình ảnh CT viêm ruột thừa

Ruột thừa là một bộ phận nhỏ như ngón tay cái nằm ở bên phải của bụng. Do một nguyên nhân nào đó như: sỏi thận, dị vật… bộ phận này rất dễ bị viêm, sưng, nhiễm trùng,… Một trong những phương pháp chẩn đoán chính xác nhất căn bệnh này đó là chụp MSCT. […]
Điều trị viêm ruột thừa bằng kháng sinh khi nào?

Điều trị viêm ruột thừa bằng kháng sinh khi nào?

Trong trường hợp không bị ruột thừa canxi hóa, viêm ruột thừa cấp tính không biến chứng có thể điều trị viêm ruột thừa bằng kháng sinh. Viêm ruột thừa là bệnh lý cấp tính, cần được cấp cứu kịp thời Viêm ruột thừa uống kháng sinh có hiệu quả? Theo một nghiên cứu được […]
Hiện tượng viêm ruột thừa ở trẻ em phụ huynh cần nắm rõ

Hiện tượng viêm ruột thừa ở trẻ em phụ huynh cần nắm rõ

Viêm ruột thừa là bệnh phổ biến, có thể xảy ra ở mọi lứa tuổi, thậm chí cả trẻ 3-4 tuổi. Viêm ruột thừa ở trẻ tiến triển rất nhanh, chỉ 6-8 giờ là có thể vỡ. Do đó, nắm được hiện tượng viêm ruột thừa ở trẻ em sẽ giúp phát hiện sớm và […]
Điều trị viêm ruột thừa trẻ em như thế nào?

Điều trị viêm ruột thừa trẻ em như thế nào?

Viêm ruột thừa có thể xảy ra ở mọi lứa tuổi, thậm chí trẻ 3 – 4 tuổi cũng có thể mắc bệnh. Tuy nhiên những trường hợp này rất khó chẩn đoán vì trẻ chưa biết diễn đạt rõ ràng. Hơn nữa đau ruột thừa có triệu chứng đau bụng tương tự như dấu […]
6 dấu hiệu cảnh báo viêm ruột thừa không thể bỏ qua

6 dấu hiệu cảnh báo viêm ruột thừa không thể bỏ qua

Viêm ruột thừa nếu không được chữa trị kịp thời có thể dẫn đến viêm ruột, tắc ruột thậm chí thủng ruột rất nguy hiểm đến tính mạng người bệnh. Dưới đây là 6 dấu hiệu cảnh báo viêm ruột thừa không thể bỏ qua. 6 dấu hiệu cảnh báo viêm ruột thừa không thể bỏ […]
Nguyên nhân và cách chăm sóc sau mổ viêm ruột thừa

Nguyên nhân và cách chăm sóc sau mổ viêm ruột thừa

Bệnh viêm ruột thừa (đau ruột thừa) là hiện tượng phần ruột thừa bị viêm và lên mủ, khiến người bệnh đau, khó chịu. Khi người bệnh đau ruột thừa phương pháp điều trị duy nhất đó là phẫu thuật cắt ruột thừa. Bệnh viêm ruột thừa (đau ruột thừa) là hiện tượng phần ruột […]
Đông y chữa viêm ruột thừa

Đông y chữa viêm ruột thừa

Chào bác sĩ. Tôi nghe nói dùng thuốc đông y chữa viêm ruột thừa rất  hiệu quả, không biết có đúng không? Bác họ tôi bị viêm ruột thừa và thấy nhiều người bảo có thể uống thuốc đông y chữa bệnh. Mong bác sĩ tư vấn giúp. Tôi cảm ơn! Vũ Thái Nguyên (Hoài […]
Hình ảnh viêm ruột thừa trên siêu âm

Hình ảnh viêm ruột thừa trên siêu âm

Viêm ruột thừa là bệnh cấp cứu ngoại khoa thường gặp, có thể xuất hiện ở mọi lứa tuổi. Người bệnh chỉ có thể thấy hình ảnh viêm ruột thừa trên siêu âm. Viêm ruột thừa nếu không phát hiện và điều trị kịp thời sẽ rất nguy hiểm. Dấu hiệu cảnh báo viêm ruột thừa […]
Vỡ ruột thừa gây nguy hiểm như thế nào

Vỡ ruột thừa gây nguy hiểm như thế nào

Viêm ruột thừa là bệnh thường gặp ở khoảng 6% dân số ở bất kỳ lứa tuổi nào. Viêm ruột thừa không được cấp cứu kịp thời có thể dẫn đến tình trạng vỡ ruột thừa rất nguy hiểm, gây đe dọa tính mạng nếu không cấp cứu kịp thời. 1. Vỡ ruột thừa – […]
Áp xe ruột thừa là gì?không phải ai cũng biết

Áp xe ruột thừa là gì?không phải ai cũng biết

Hầu hết mọi người đều biết đến bệnh viêm ruột thừa còn áp xe ruột thừa là gì thì không phải ai cũng có thông tin cụ thể. Bài viết dưới đây cung cấp một số thông tin hữu ích bạn đọc có thể tham khảo. 1.  Áp xe ruột thừa là gì? Áp xe […]
Nguyên nhân và triệu chứng bệnh viêm ruột thừa

Nguyên nhân và triệu chứng bệnh viêm ruột thừa

Viêm ruột thừa là tình trạng sưng và nhiễm trùng của ruột thừa. Nếu không phát hiện và điều trị sớm, bệnh viêm ruột thừa có thể bị vỡ ra, tràn mủ khắp ổ bụng gây nguy hiểm tới tính mạng. Thông qua nguyên nhân và triệu chứng bệnh viêm ruột thừa dưới đây, chúng […]
Mổ ruột thừa mất bao nhiêu thời gian? Có mấy phương pháp?

Mổ ruột thừa mất bao nhiêu thời gian? Có mấy phương pháp?

Mổ ruột thừa mất bao nhiêu thời gian là vấn đề nhiều người băn khoăn. Các bác sĩ cho biết thời gian phẫu thuật ruột thừa phụ thuộc vào mức độ nghiêm trọng của bệnh và phương pháp phẫu thuật. 1. Các phương pháp mổ ruột thừa Có hai phương pháp mổ viêm ruột thừa […]
Phẫu thuật viêm ruột thừa là gì? Cần lưu ý

Phẫu thuật viêm ruột thừa là gì? Cần lưu ý

Phẫu thuật viêm ruột thừa là phương pháp điều trị tiêu chuẩn của tình trạng này. Nếu không được phát hiện sớm và xử lý kịp thời, viêm ruột thừa có thể gây đe dọa tính mạng. Bệnh viện Đa khoa Quốc tế Thu Cúc với đội ngũ bác sĩ giỏi cùng hệ thống trang […]
Siêu âm ổ bụng phát hiện được bệnh gì?

Siêu âm ổ bụng phát hiện được bệnh gì?

Siêu âm ổ bụng là một trong những phương pháp cận lâm sàng được áp dụng phổ biến. Tuy nhiên siêu âm phát hiện được bệnh gì lại là câu hỏi nhiều người chưa biết. Bài viết này sẽ cung cấp những thông tin hữu ích, mời bạn đọc cùng tham khảo. 1. Siêu âm […]
Giải đáp: Ruột thừa có tác dụng gì? Khi nào nên cắt bỏ?

Giải đáp: Ruột thừa có tác dụng gì? Khi nào nên cắt bỏ?

Nhiều người khi nhắc đến ruột thừa, thường liên tưởng ngay đến những cơn đau ruột thừa “quằn quại, toát mồ hôi” vô cùng sợ hãi, nên không ít người cho rằng ruột thừa vô cùng đáng sợ và là bộ phận “vô tích sự” vậy nên cắt khỏi cơ thể bạn ngay trước khi […]
Nguyên nhân gây buồn nôn và tiêu chảy

Nguyên nhân gây buồn nôn và tiêu chảy

Buồn nôn, ói mửa hay đi kèm với các triệu chứng tiêu hóa khác như tiêu chảy. Hai triệu chứng này tương đối phổ biến  đối với hầu hết mọi người và thường không quá nghiêm trọng, sẽ tự biến mất trong vòng vài ngày. Tuy nhiên, trong một số trường hợp, nguyên nhân dẫn […]
Cần tránh ăn gì sau phẫu thuật viêm ruột thừa?

Cần tránh ăn gì sau phẫu thuật viêm ruột thừa?

Viêm ruột thừa, tình trạng viêm ở ruột thừa, là một trong những bệnh lý cấp cứu ngoại khoa phổ biến nhất. Điều trị viêm ruột thừa thường là phẫu thuật để loại bỏ phần ruột thừa bị viêm. Ruột thừa không có vai trò quan trọng trong tiêu hóa do đó chế độ ăn […]
1900558892
zaloChat