Xét nghiệm gout là gì?
Bệnh gout, nếu không được điều trị, có thể gây biến dạng khớp, dẫn tới tàn phế. Do đó khi phát hiện có các triệu chứng nghi ngờ, cần nhanh chóng tới bệnh viện để kiểm tra, thực hiện xét nghiệm gout và chẩn đoán, bắt đầu việc điều trị.
Khi phát hiện có các triệu chứng nghi ngờ, cần nhanh chóng tới bệnh viện để kiểm tra, thực hiện xét nghiệm gout và chẩn đoán, bắt đầu việc điều trị.
Bệnh gout là một trong những dạng viêm khớp gây đau đớn nhất, bệnh khá phổ biến trong cộng đồng với số lượng người mắc bệnh đang ngày càng gia tăng. Bệnh này xảy ra khi có quá nhiều acit uric tích tụ trong cơ thể. Thông thường thì acid uric bị phân hủy trong máu và được thải ra ngoài qua thận để ra nước tiểu. Nhưng đôi khi cơ thể tạo ra quá nhiều acid uric hoặc thải acid này ra nước tiểu quá ít. Acid uric sẽ tích lũy dần dần và lắng đọng thành những tinh thể sắc nhọn hình kim (tinh thể urate) tại các khớp hoặc bao quanh khớp gây nên triệu chứng đau đớn, viêm sưng khớp, tinh thể. Căn cứ vào tình trạng thực tế của người bệnh và các triệu chứng quan sát được, bác sĩ sẽ chỉ định thực hiện một số xét nghiệm để giúp chẩn đoán bệnh.
Các xét nghiệm bệnh gout được sử dụng trong chẩn đoán bao gồm:
– Chọc hút dịch khớp: trong xét nghiệm này bác sĩ sẽ dùng một cây kim để chọc hút dịch ở vùng khớp bị ảnh hưởng. Khi quan sát dịch khớp dưới kính hiển vi có thể phát hiện thấy các tinh thể muối urate.
Trong xét nghiệm chọc hút dịch khớp bác sĩ sẽ dùng một cây kim để chọc hút dịch ở vùng khớp bị ảnh hưởng.
– Xét nghiệm máu: người bệnh có thể được chỉ định thực hiện xét nghiệm máu để đo nồng độ acid uric và creatinin trong máu. Tuy nhiên kết quả xét nghiệm máu có thể gây nhầm lẫn. Một số người có nồng độ acit uric cao nhưng không mắc bệnh gout. Và một số người có các dấu hiệu và triệu chứng của bệnh gout nhưng nồng độ acid uric trong máu vẫn bình thường.
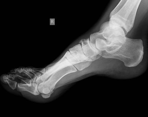
– Chụp X – quang: giúp phát hiện được hình ảnh lắng đọng tinh thể urate tại sụn khớp ở những cơn gút cấp đầu tiên hoặc ngay cả khi chưa có triệu chứng lâm sàng. Siêu âm có thể phát hiện sớm các biến đổi ở phần mềm, sụn khớp và xương do bệnh gút gây ra như hạt tôphi, hình ảnh khuyết xương, lắng đọng tinh thể urat trên bề mặt sụn khớp, tràn dịch khớp.
Chụp X – quang giúp phát hiện được hình ảnh lắng đọng tinh thể urate tại sụn khớp ở những cơn gút cấp đầu tiên hoặc ngay cả khi chưa có triệu chứng lâm sàng.
– Chụp CT: giúp phát hiện hình ảnh của tinh thể urate ở khớp. Mặc dù vậy xét nghiệm bệnh gout này không được sử dụng thường xuyên do chi phí.
Trên cơ sở kết quả các xét nghiệm bệnh gout, bác sĩ sẽ tiến hành tư vấn điều trị phù hợp với tình trạng của người bệnh. Mục tiêu trong điều trị bệnh gout là giúp bệnh nhân giảm bớt đau đớn do triệu chứng bệnh gây ra đồng thời làm giảm mức độ phá hủy về lâu dài của những khớp xương bị gút.
Những thông tin về xét nghiệm bệnh gout trên đây chỉ mang tính chất tham khảo. Để biết chính xác Bệnh viện Thu Cúc áp dụng phương pháp nào vui lòng liên hệ 1900 55 88 92 hoặc 0936 388 288 để được tư vấn cụ thể.
















