Cấp cứu:0901793122
English
Bệnh Viện Đa Khoa Quốc Tế Thu Cúc | TCI Hospital
Chăm sóc sức khoẻ trọn đời cho bạn
Tổng đài1900558892
Răng hàm mặt

Răng hàm mặt

Trang chủ/Sống khỏe/Răng hàm mặt
Giải pháp chăm sóc răng miệng hiệu quả khi có răng sâu

Giải pháp chăm sóc răng miệng hiệu quả khi có răng sâu

Có răng sâu là vấn đề phổ biến ảnh hưởng đến sức khỏe răng miệng của nhiều người. Việc có răng sâu không chỉ gây đau nhức mà còn có thể dẫn đến những biến chứng nghiêm trọng nếu không được điều trị kịp thời. Bài viết này sẽ cung cấp những giải pháp chăm […]
Hôi miệng làm sao hết: Cách đánh bay mùi hôi miệng tận gốc

Hôi miệng làm sao hết: Cách đánh bay mùi hôi miệng tận gốc

Hôi miệng làm sao hết là nỗi băn khoăn của không ít người, gây ra rào cản tâm lý, khiến bạn mất tự tin trong giao tiếp hàng ngày. Tình trạng hơi thở có mùi khó chịu không chỉ ảnh hưởng đến các mối quan hệ xã hội mà còn có thể là dấu hiệu […]
Phục hình răng thưa: Làm sao để duy trì kết quả lâu dài?

Phục hình răng thưa: Làm sao để duy trì kết quả lâu dài?

Một hàm răng thưa không chỉ gây mất thẩm mỹ, khiến nhiều người e ngại khi giao tiếp mà còn ảnh hưởng đến chức năng ăn nhai và dễ gây ra các bệnh lý răng miệng. Do đó, việc tìm kiếm giải pháp phục hình răng thưa đang trở thành nhu cầu của rất nhiều […]
Bật mí chăm sóc răng miệng cho trẻ dưới 3 tuổi đúng cách

Bật mí chăm sóc răng miệng cho trẻ dưới 3 tuổi đúng cách

Việc chăm sóc răng miệng cho trẻ dưới 3 tuổi là một trong những nhiệm vụ quan trọng nhất của các bậc phụ huynh, đặt nền móng vững chắc cho sức khỏe răng miệng lâu dài của bé. Giai đoạn từ 0 đến 3 tuổi là thời kỳ “vàng” để hình thành thói quen vệ […]
Hôi miệng viêm xoang: Nguyên nhân và hướng xử lý hiệu quả

Hôi miệng viêm xoang: Nguyên nhân và hướng xử lý hiệu quả

Hôi miệng viêm xoang là tình trạng phổ biến khiến nhiều người gặp khó khăn trong giao tiếp hàng ngày. Tình trạng hôi miệng viêm xoang không chỉ ảnh hưởng đến sự tự tin mà còn có thể là dấu hiệu của những vấn đề sức khỏe nghiêm trọng hơn. Bài viết này sẽ giúp […]
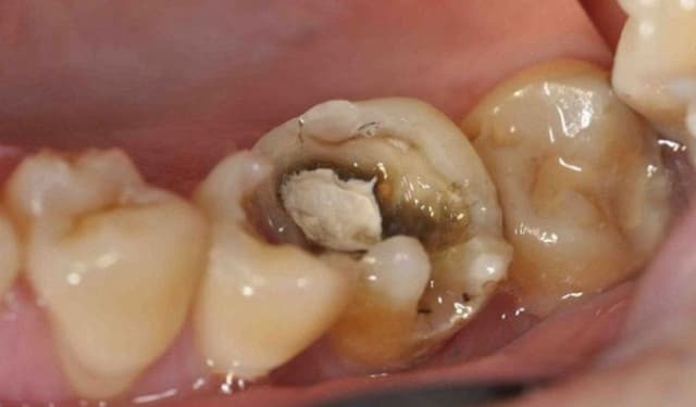
Răng bị sâu ăn: Dấu hiệu nhận biết và hướng xử lý kịp thời

Răng bị sâu ăn: Dấu hiệu nhận biết và hướng xử lý kịp thời

Răng bị sâu ăn không chỉ gây đau nhức, khó chịu mà còn ảnh hưởng trực tiếp đến sức khỏe răng miệng và chất lượng cuộc sống. Nếu không được phát hiện và điều trị kịp thời, tình trạng này có thể dẫn đến viêm tủy, áp-xe răng hoặc thậm chí mất răng. Bài viết […]
Cách khắc phục sâu răng hiệu quả giúp hạn chế biến chứng

Cách khắc phục sâu răng hiệu quả giúp hạn chế biến chứng

Cách khắc phục sâu răng là giải pháp quan trọng giúp bảo vệ sức khỏe răng miệng và hạn chế tối đa các biến chứng nguy hiểm như viêm tủy hay áp xe răng. Sâu răng vốn là một trong những vấn đề răng miệng phổ biến nhất hiện nay, ảnh hưởng nghiêm trọng đến […]
Nguyên nhân phổ biến dẫn đến đau răng do sâu răng

Nguyên nhân phổ biến dẫn đến đau răng do sâu răng

Đau răng do sâu răng là tình trạng rất hay gặp khi lỗ sâu tiến gần đến ngà hoặc tủy răng, khiến bạn đau nhói khi ăn đồ ngọt, chua, nóng lạnh hoặc đau âm ỉ cả ngày. Bài viết dưới đây giúp bạn hiểu rõ nguyên nhân phổ biến dẫn đến đau răng do […]
Sự thật về sâu răng gây viêm xoang và cách điều trị tận gốc

Sự thật về sâu răng gây viêm xoang và cách điều trị tận gốc

Bạn đã bao giờ trải qua những cơn đau đầu, nghẹt mũi dai dẳng mà không thể tìm ra nguyên nhân? Ít ai ngờ rằng, “thủ phạm” có thể đang ẩn mình ngay trong khoang miệng. Sâu răng gây viêm xoang là một bệnh ý hiếm gặp nên thường bị bỏ qua, dẫn đến việc […]
Giải đáp bọc răng sứ có phải diệt tủy không và lưu ý quan trọng

Giải đáp bọc răng sứ có phải diệt tủy không và lưu ý quan trọng

Bọc răng sứ phải diệt tủy là một trong những nỗi lo lớn nhất của nhiều người khi quyết định làm răng sứ. Liệu có phải mọi chiếc răng được bọc sứ đều phải trải qua quá trình lấy tủy đau đớn? Bọc răng sứ có phải diệt tủy không là một câu hỏi mà […]
Dấu hiệu điển hình của bệnh nấm quanh miệng cần lưu ý

Dấu hiệu điển hình của bệnh nấm quanh miệng cần lưu ý

Cảm giác đau rát, nứt nẻ khóe miệng dai dẳng không chỉ gây khó chịu mà còn là “tín hiệu đỏ” cảnh báo một vấn đề sức khỏe tiềm ẩn. Rất có thể bạn đang phải đối mặt với bệnh nấm quanh miệng – một tình trạng phổ biến nhưng thường bị nhầm lẫn và […]
Phục hình cầu răng: Liệu có “thần kỳ” như lời đồn

Phục hình cầu răng: Liệu có “thần kỳ” như lời đồn

Một chiếc răng đã mất không chỉ để lại khoảng trống trên cung hàm mà còn gây ra những hệ lụy nghiêm trọng như xô lệch răng, tiêu xương hàm, và ảnh hưởng đến khả năng ăn nhai. Tuy nhiên, đừng quá lo lắng! Hiện tại đã có phương pháp “cứu tinh” hiệu quả, đó […]
Sâu răng là gì: Nguyên nhân, triệu chứng và cách phòng tránh

Sâu răng là gì: Nguyên nhân, triệu chứng và cách phòng tránh

Sâu răng là gì là câu hỏi nhiều người thắc mắc khi gặp ê buốt, đau nhức hay xuất hiện lỗ đen trên răng. Thực chất, sâu răng là một bệnh lý răng miệng phổ biến nhưng hoàn toàn có thể phòng tránh nếu bạn hiểu đúng nguyên nhân, nhận diện sớm triệu chứng và […]
Hướng dẫn vệ sinh răng sâu đúng cách mà bạn không nên bỏ lỡ

Hướng dẫn vệ sinh răng sâu đúng cách mà bạn không nên bỏ lỡ

Cách vệ sinh răng sâu đúng phương pháp không chỉ giúp giảm đau hiệu quả mà còn ngăn ngừa tình trạng tiến triển nghiêm trọng hơn. Răng sâu là một vấn đề phổ biến, gây đau nhức và khó chịu cho nhiều người. Trong bài viết này, chúng ta sẽ cùng tìm hiểu những phương […]
Điều trị răng bị sâu nhiều: Những điều bạn cần biết

Điều trị răng bị sâu nhiều: Những điều bạn cần biết

Răng bị sâu nhiều là tình trạng phổ biến gây ảnh hưởng nghiêm trọng đến sức khỏe răng miệng và chất lượng cuộc sống. Khi không được xử lý kịp thời, sâu răng có thể dẫn đến đau nhức, viêm nhiễm và mất răng. Vì vậy, hiểu rõ nguyên nhân và biết cách phòng ngừa […]
Mùi hôi ở miệng – Nguyên nhân và giải pháp khắc phục hiệu quả

Mùi hôi ở miệng – Nguyên nhân và giải pháp khắc phục hiệu quả

Mùi hôi ở miệng là vấn đề khiến nhiều người mất tự tin trong giao tiếp hàng ngày. Tình trạng hôi miệng không chỉ ảnh hưởng đến cuộc sống xã hội mà còn có thể là dấu hiệu cảnh báo các vấn đề sức khỏe nghiêm trọng. Bài viết này sẽ giúp bạn hiểu rõ […]
1900558892
zaloChat