Cấp cứu:0901793122
English
Bệnh Viện Đa Khoa Quốc Tế Thu Cúc | TCI Hospital
Chăm sóc sức khoẻ trọn đời cho bạn
Tổng đài1900558892
Răng hàm mặt

Răng hàm mặt

Trang chủ/Sống khỏe/Răng hàm mặt
Dấu hiệu nhận biết khi bị viêm nha chu không nên bỏ qua

Dấu hiệu nhận biết khi bị viêm nha chu không nên bỏ qua

Viêm nha chu là một trong những bệnh lý răng miệng phổ biến và nguy hiểm, có thể dẫn đến mất răng nếu không được điều trị kịp thời. Tuy nhiên, rất nhiều người bị viêm nha chu mà không hề hay biết do các dấu hiệu ban đầu thường bị bỏ qua hoặc nhầm […]
Sưng nướu răng khôn: Nguyên nhân và hướng điều trị hiệu quả

Sưng nướu răng khôn: Nguyên nhân và hướng điều trị hiệu quả

Sưng nướu răng khôn là một trong những vấn đề răng miệng phổ biến, gây đau nhức, khó chịu và ảnh hưởng không nhỏ đến sinh hoạt hàng ngày. Hiện tượng này không chỉ xảy ra trong giai đoạn mọc răng khôn mà còn có thể kéo dài dai dẳng nếu không được xử lý […]
Giải pháp hiệu quả cho tình trạng đau răng bị sâu kéo dài

Giải pháp hiệu quả cho tình trạng đau răng bị sâu kéo dài

Đau răng bị sâu là nỗi ám ảnh âm ỉ với nhiều người – không chỉ gây khó chịu, ảnh hưởng đến việc ăn uống, giao tiếp, mà còn tiềm ẩn nhiều biến chứng nguy hiểm nếu không được điều trị kịp thời. Vậy làm sao để thoát khỏi tình trạng đau răng do sâu […]
Top 5 sai lầm khiến em bé hôi miệng mà nhiều ba mẹ mắc phải

Top 5 sai lầm khiến em bé hôi miệng mà nhiều ba mẹ mắc phải

Em bé hôi miệng không phải là tình trạng hiếm gặp như nhiều ba mẹ vẫn nghĩ. Thực tế, mùi hôi từ khoang miệng của trẻ nhỏ có thể khiến ba mẹ hoang mang, lo lắng, thậm chí gây ảnh hưởng đến tâm lý trong quá trình chăm sóc con. Điều đáng nói là nguyên […]
Chăm sóc răng bị sâu: Những sai lầm phổ biến bạn nên tránh

Chăm sóc răng bị sâu: Những sai lầm phổ biến bạn nên tránh

Chăm sóc răng bị sâu không đúng cách có thể khiến tình trạng đau nhức, khó chịu kéo dài và gây ảnh hưởng nghiêm trọng đến sức khỏe răng miệng về lâu dài. Tuy nhiên, nhiều người vẫn mắc phải những sai lầm phổ biến trong quá trình này, khiến răng sâu ngày càng trầm […]
Sâu răng viêm tủy: Nguyên nhân, dấu hiệu và cách xử lý hiệu quả

Sâu răng viêm tủy: Nguyên nhân, dấu hiệu và cách xử lý hiệu quả

Sâu răng viêm tủy là một trong những tình trạng nha khoa phổ biến nhưng lại thường bị người bệnh chủ quan, dẫn đến nhiều biến chứng nghiêm trọng. Khi sâu răng phát triển đến giai đoạn viêm tủy, cơn đau sẽ trở nên dữ dội, dai dẳng và có thể ảnh hưởng tới sức […]
Lấy cao răng không đau: Bí quyết giảm ê buốt tối đa

Lấy cao răng không đau: Bí quyết giảm ê buốt tối đa

Cao răng, hay còn gọi là vôi răng, là “kẻ thù thầm lặng” đe dọa sức khỏe răng miệng của hàng triệu người. Chúng không chỉ gây mất thẩm mỹ, thậm chí hôi miệng mà còn là nguyên nhân chính dẫn đến các bệnh lý nguy hiểm như viêm nướu, viêm nha chu. Nhiều người […]
Bọc răng sứ Nacera phù hợp với những tình trạng răng nào?

Bọc răng sứ Nacera phù hợp với những tình trạng răng nào?

Bọc răng sứ Nacera được xem là một trong những lựa chọn hàng đầu cho phục hình thẩm mỹ, giúp khắc phục hiệu quả các khuyết điểm của răng. Với nguồn gốc từ Đức và chất lượng vượt trội, dòng sứ này không chỉ mang lại vẻ đẹp tự nhiên mà còn đảm bảo độ […]
Cảnh báo 5 biến chứng nguy hiểm khi bị đau sâu răng kéo dài

Cảnh báo 5 biến chứng nguy hiểm khi bị đau sâu răng kéo dài

Đau sâu răng là tình trạng phổ biến mà hầu như ai cũng từng trải qua ít nhất một lần trong đời. Tuy nhiên, không phải ai cũng nhận thức rõ mức độ nguy hiểm của việc bị đau sâu răng kéo dài mà không điều trị kịp thời. Trên thực tế, cơn đau nhức […]
Hậu quả tiềm ẩn khi người bị sâu răng chậm trễ điều trị

Hậu quả tiềm ẩn khi người bị sâu răng chậm trễ điều trị

Người bị sâu răng là đối tượng dễ gặp phải nhiều biến chứng nguy hiểm nếu không điều trị kịp thời. Sâu răng vốn là một trong những bệnh lý răng miệng phổ biến nhất hiện nay, nhưng không phải ai cũng nhận thức đúng mức về sự nghiêm trọng của nó. Việc chủ quan […]
Bọc răng sứ Implant: Trồng răng bền vững chuẩn y khoa

Bọc răng sứ Implant: Trồng răng bền vững chuẩn y khoa

Bạn đang tìm kiếm giải pháp phục hình răng đã mất, mong muốn sở hữu nụ cười tự tin với hàm răng chắc khỏe và thẩm mỹ? Bọc răng sứ Implant chính là sự lựa chọn tối ưu giữa việc kết hợp công nghệ cấy ghép hiện đại và vẻ đẹp tự nhiên của răng […]
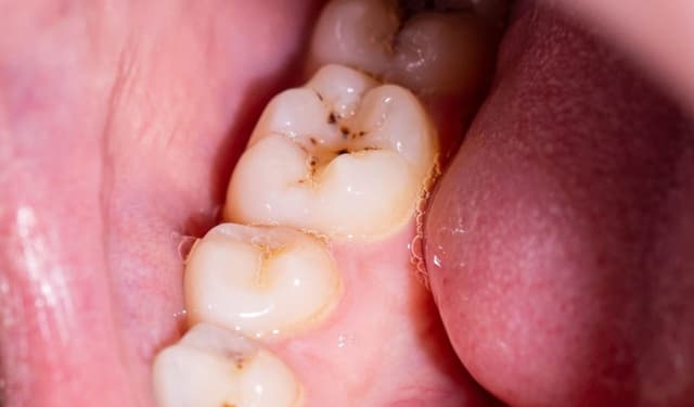
Sâu răng hàm nhẹ: Dấu hiệu ban đầu và cách xử lý đúng cách

Sâu răng hàm nhẹ: Dấu hiệu ban đầu và cách xử lý đúng cách

Sâu răng hàm nhẹ là tình trạng phổ biến nhưng thường bị bỏ qua do các dấu hiệu ban đầu không rõ ràng, hơn nữa vị trí răng hàm khó quan sát hơn. Tuy nhiên, nếu không được phát hiện và xử lý kịp thời, sâu răng nhẹ có thể tiến triển thành viêm tủy, […]
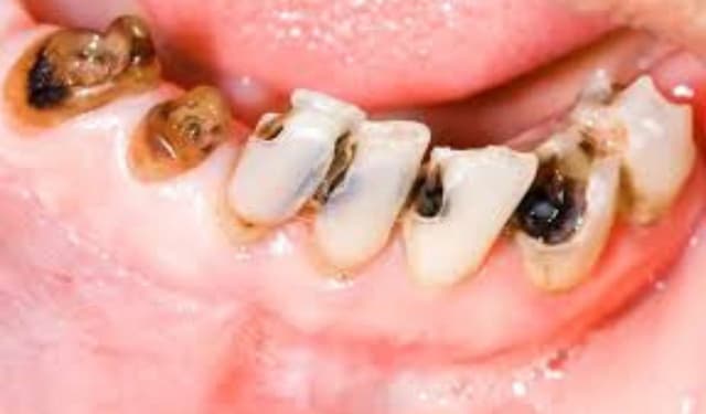
Sâu nhiều răng: Nguyên nhân và cách điều trị hiệu quả

Sâu nhiều răng: Nguyên nhân và cách điều trị hiệu quả

Sâu nhiều răng không chỉ ảnh hưởng đến thẩm mỹ nụ cười mà còn tiềm ẩn nguy cơ gây tổn hại toàn diện đến sức khỏe răng miệng nếu không được điều trị kịp thời. Tình trạng này ngày càng phổ biến ở cả trẻ nhỏ lẫn người trưởng thành, với nhiều nguyên nhân khác […]
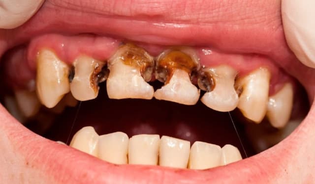
Nguyên nhân và dấu hiệu cảnh báo sớm bệnh sâu răng

Nguyên nhân và dấu hiệu cảnh báo sớm bệnh sâu răng

Bệnh sâu răng là một trong những tình trạng răng miệng phổ biến ở cả trẻ em lẫn người lớn. Dù không gây hậu quả nghiêm trọng ngay lập tức, nhưng nếu không được phát hiện và điều trị đúng lúc, sâu răng có thể tiến triển thành viêm tủy, gây đau nhức dữ dội, […]
Trẻ em sâu răng: Nguyên nhân, dấu hiệu và cách phòng ngừa

Trẻ em sâu răng: Nguyên nhân, dấu hiệu và cách phòng ngừa

Trẻ em sâu răng là tình trạng phổ biến hiện nay, ảnh hưởng nghiêm trọng đến sức khỏe răng miệng và sự phát triển toàn diện của trẻ. Nhiều bậc phụ huynh chưa thực sự hiểu rõ nguyên nhân khiến trẻ bị sâu răng cũng như cách nhận biết sớm để điều trị kịp thời. […]
Bị đau răng sâu và mức độ nguy hiểm không thể chủ quan

Bị đau răng sâu và mức độ nguy hiểm không thể chủ quan

Bị đau răng sâu không chỉ gây khó chịu, ảnh hưởng đến việc ăn uống, sinh hoạt hàng ngày mà còn tiềm ẩn nhiều nguy cơ sức khỏe nghiêm trọng nếu không được điều trị kịp thời. Vậy bị đau răng sâu có nguy hiểm không? Giải pháp phòng tránh và khắc phục tình trạng […]
1900558892
zaloChat