Cấp cứu:0901793122
English
Bệnh Viện Đa Khoa Quốc Tế Thu Cúc | TCI Hospital
Chăm sóc sức khoẻ trọn đời cho bạn
Tổng đài1900558892
Răng hàm mặt

Răng hàm mặt

Trang chủ/Sống khỏe/Răng hàm mặt
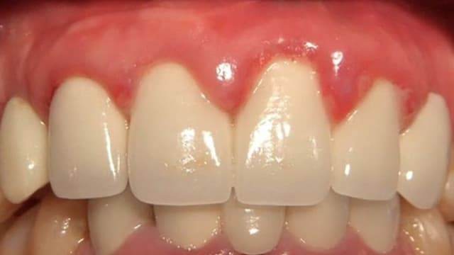
Các giai đoạn của tình trạng tụt lợi răng lung lay

Các giai đoạn của tình trạng tụt lợi răng lung lay

Hiện nay, tình trạng bị tụt lợi răng lung lay xảy ra ở khá nhiều người. Đây không chỉ là một vấn đề về thẩm mỹ mà còn ảnh hưởng đến sức khỏe và tự tin của cá nhân. Sau đây, hãy cùng điểm qua các giai đoạn của tình trạng tụt lợi răng lung […]
Sự thật đằng sau nhiều quảng cáo trồng răng sứ giá rẻ

Sự thật đằng sau nhiều quảng cáo trồng răng sứ giá rẻ

Trên thị trường hiện nay có rất nhiều những quảng cáo “sáng chói” về trồng răng sứ giá rẻ rất hấp dẫn. Cùng với đó là nhiều hứa hẹn về hiệu quả đem lại. Tuy nhiên, sự thật đằng sau đó lại đầy phức tạp và tiềm ẩn nhiều nguy cơ.  1. Những trường hợp […]
Những lưu ý không phải ai cũng biết dành cho răng bọc sứ

Những lưu ý không phải ai cũng biết dành cho răng bọc sứ

Việc bọc sứ răng đang ngày càng trở nên phổ biến trong lĩnh vực thẩm mỹ nha khoa. Tuy nhiên, không phải ai cũng nắm rõ những lưu ý quan trọng để duy trì sức khỏe và vẻ đẹp của răng bọc sứ. Trong bài viết này, chúng ta sẽ khám phá những điều cần […]
Đừng chủ quan khi bé sâu răng sữa

Đừng chủ quan khi bé sâu răng sữa

Nhiều cha mẹ chủ quan khi trẻ bị sâu răng sữa, bởi cho rằng răng sữa chỉ là tạm thời, chúng sẽ được thay bằng răng vĩnh viễn. Tuy nhiên, bé sâu răng sữa nếu không được xử lý kịp thời  không chỉ ảnh hưởng đến sức khỏe răng miệng của trẻ trong tương lai, […]
Những lưu ý sau khi thực hiện hàn cổ răng

Những lưu ý sau khi thực hiện hàn cổ răng

không chỉ đóng vai trò quan trọng trong việc khôi phục chức năng cũng như vẻ ngoài của răng bị tổn thương mà điều trị nha khoa còn có ảnh hưởng sâu rộng đến sức khỏe toàn bộ hàm răng. Trong đó, thực hiện hàn cổ răng là phương pháp điều trị phổ biến cho […]
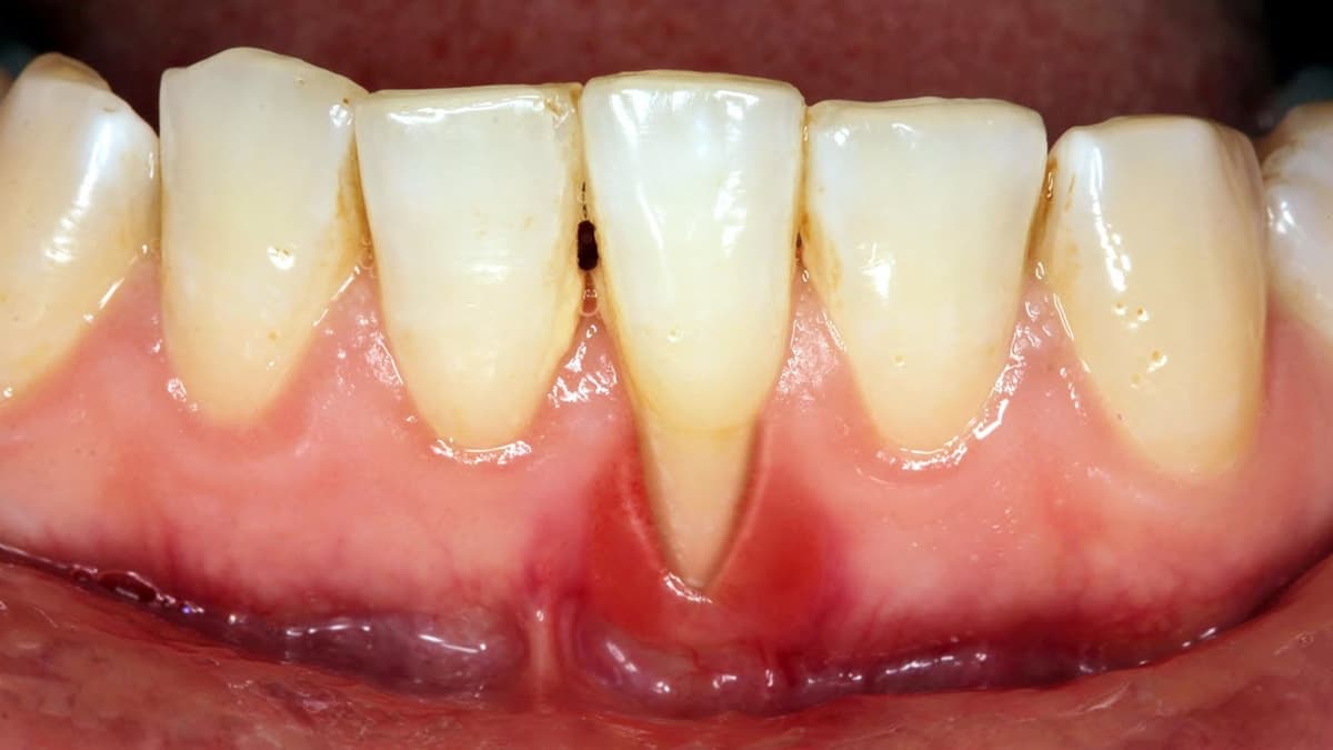
Cảnh báo biến chứng từ viêm chân răng hàm dưới

Cảnh báo biến chứng từ viêm chân răng hàm dưới

Viêm chân răng là một vấn đề nha khoa thường gặp. Tuy nhiên, nếu không được xử lý kịp thời, đúng cách, bệnh có thể biến chứng thành nhiều vấn đề nguy hiểm. Cả sức khỏe, tinh thần và sinh hoạt hàng ngày đều có thể bị ảnh hưởng. Sau đây, chúng ta hãy cùng […]
Tìm hiểu quá trình sâu răng phát triển

Tìm hiểu quá trình sâu răng phát triển

Những vết sâu răng ban đầu thường bắt đầu nhỏ, có thể không gây ra cảm giác đau. Khi đó, chúng ta khó có thể nhận biết ngay. Tuy nhiên, nếu không được chăm sóc kịp thời, chúng có thể tiến triển sâu vào lớp men răng, tác động đến mô răng và thậm chí […]
Những lưu ý khi bọc răng sứ lần 2

Những lưu ý khi bọc răng sứ lần 2

Bọc răng sứ là một phương pháp phục hình răng phổ biến và hiệu quả. Thế nhưng để đảm bảo kết quả tốt và sự thoải mái dài lâu, việc tuân thủ các lưu ý cơ bản và cách chăm sóc là rất quan trọng. Đặc biệt là khi chúng ta thực hiện bọc răng […]
Biến chứng bọc răng sứ bị lệch khớp cắn

Biến chứng bọc răng sứ bị lệch khớp cắn

Bọc răng sứ là phương pháp cải thiện không chỉ vẻ ngoài mà còn chức năng của răng miệng. Tuy nhiên, như mọi thủ thuật y tế, quá trình này có thể xuất hiện các biến chứng. Điển hình chính là tình trạng bọc răng sứ bị lệch khớp cắn. Trong bài viết này, chúng […]
Lưu ý trước và sau khi sử dụng mặt dán sứ Veneer

Lưu ý trước và sau khi sử dụng mặt dán sứ Veneer

Việc sử dụng mặt dán sứ Veneer là một phương pháp phổ biến trong nha khoa để cải thiện vẻ đẹp của răng miệng. Tuy nhiên, để đảm bảo kết quả như mong muốn và bền vững, việc tuân thủ các lưu ý trước và sau khi sử dụng là vô cùng quan trọng. 1. […]
Những lời khuyên về bọc răng sứ nguyên hàm

Những lời khuyên về bọc răng sứ nguyên hàm

Bọc răng sứ nguyên hàm là một trong những phương pháp phổ biến và hiệu quả. Tuy nhiên, trước khi quyết định thực hiện quy trình này, có một số vấn đề mà bạn nên cân nhắc. Dưới đây là những lời khuyên dưới đây sẽ giúp bạn có quyết định đúng đắn và một […]
Nguy hại khôn lường từ những mảng bám răng lâu ngày

Nguy hại khôn lường từ những mảng bám răng lâu ngày

Mảng bám răng dù nhìn nhỏ bé và vô hại nhưng lại là mối họa khôn lường. Đây không chỉ là vấn đề thẩm mỹ, mà còn là nguyên nhân gây ra nhiều vấn đề sức khỏe đáng lo ngại. Hãy cùng tìm hiểu kỹ hơn về những nguy hại mà mảng bám răng gây […]
Cách xử lý tình trạng hàn răng bị vỡ

Cách xử lý tình trạng hàn răng bị vỡ

Mối hàn răng bị vỡ gây ra rất nhiều bất tiện về cả mặt thẩm mỹ, chức năng ăn uống và cả sức khỏe răng miệng. Việc xử lý tình trạng này đòi hỏi sự can thiệp kịp thời, đúng cách để đảm bảo răng vẫn được bảo vệ và khôi phục chức năng. Sau […]
Cách điều trị khi bị viêm nướu răng trong cùng

Cách điều trị khi bị viêm nướu răng trong cùng

Viêm nướu là một tình trạng phổ biến và gây ra những cảm giác khó chịu, ảnh hưởng chất lượng sống. Trên thực tế, đây không phải vấn đề quá nguy hiểm nếu điều trị phù hợp. Tuy nhiên cũng không ít trường hợp chủ quan đã dẫn tới những biến chứng. Sau đây, chúng […]
Mức độ nguy hiểm khi bị viêm lợi trùm răng cửa

Mức độ nguy hiểm khi bị viêm lợi trùm răng cửa

Viêm lợi trùm răng cửa tưởng chừng là một vấn đề nhỏ nhưng cũng có thể gây ra nhiều tác động xấu. Điều này có thể ảnh hưởng tới sức khỏe, sinh hoạt hàng ngày, công việc, … Thậm chí là nguy hiểm hơn nếu không được điều trị kịp thời. Sau đây, chúng ta […]
Những lưu ý khi bị sâu răng giai đoạn đầu

Những lưu ý khi bị sâu răng giai đoạn đầu

Khi cảm nhận những dấu hiệu đau nhức hoặc nhạy cảm ở răng thì có thể bạn đang phải đối mặt với sâu răng giai đoạn đầu. Đây là một tình trạng phổ biến và có thể gây ra nhiều phiền toái nếu không được điều trị kịp thời, đúng cách. Sau đây, hãy cùng […]
1900558892
zaloChat