Hàn răng mẻ hết bao nhiêu tiền và những điều cần biết
Răng mẻ là một vấn đề phổ biến mà nhiều người gặp phải. Nó không chỉ ảnh hưởng đến thẩm mỹ mà còn có thể gây ra những khó chịu khi ăn uống. Hàn răng mẻ là phương pháp điều trị hiệu quả để khắc phục tình trạng này. Tuy nhiên, nhiều người vẫn còn băn khoăn về chi phí hàn răng mẻ. Bài viết này sẽ cung cấp cho bạn thông tin chi tiết về giá hàn răng mẻ hết bao nhiêu tiền cũng như những yếu tố ảnh hưởng đến chi phí này.
1. Hàn răng mẻ là gì?
Hàn răng, còn được gọi là trám răng, là một quy trình nha khoa nhằm phục hồi hình dáng và chức năng của răng bị hư hỏng. Khi một chiếc răng bị mẻ, nha sĩ sẽ sử dụng các vật liệu trám như composite, GIC,… để lấp đầy phần răng bị mất, đồng thời tái tạo lại hình dáng ban đầu của răng. Quy trình này không chỉ giúp cải thiện thẩm mỹ mà còn bảo vệ răng khỏi các tổn thương tiếp theo và ngăn ngừa sự phát triển của vi khuẩn gây sâu răng.
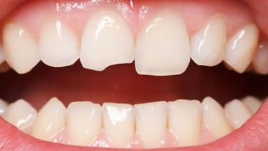
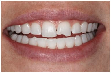
Răng bị mẻ có thể khiến răng bị hỏng, mất thẩm mỹ.
2. Các yếu tố ảnh hưởng đến chi phí hàn răng mẻ hết bao nhiêu tiền
2.1. Hàn răng mẻ hết bao nhiêu tiền phụ thuộc mức độ tổn thương của răng
Chi phí hàn răng mẻ phụ thuộc rất nhiều vào mức độ tổn thương của răng. Nếu răng chỉ bị mẻ nhẹ, việc hàn răng sẽ đơn giản hơn và chi phí sẽ thấp hơn. Ngược lại, nếu răng bị mẻ nặng hoặc tổn thương sâu, quy trình hàn răng sẽ phức tạp hơn và tốn kém hơn.
2.2. Hàn răng mẻ hết bao nhiêu tiền tùy vào loại vật liệu trám
Có nhiều loại vật liệu trám khác nhau được sử dụng trong quy trình hàn răng, mỗi loại đều có ưu và nhược điểm riêng. Vật liệu trám composite thường được sử dụng phổ biến vì có màu sắc tương đồng với răng tự nhiên và độ bền cao. Tuy nhiên, composite cũng có giá thành cao hơn so với GIC. Vật liệu trám đôi khi được cân nhắc sử dụng cho những trường hợp đòi hỏi độ thẩm mỹ cao, nhưng giá thành của nó cũng cao hơn nhiều so với các loại vật liệu khác.
2.3. Kỹ thuật và trang thiết bị
Kỹ thuật và trang thiết bị mà nha sĩ sử dụng cũng ảnh hưởng đáng kể đến chi phí hàn răng mẻ. Những phòng khám nha khoa sử dụng trang thiết bị hiện đại và kỹ thuật tiên tiến thường có giá dịch vụ cao hơn. Tuy nhiên, bạn cũng sẽ nhận được dịch vụ chất lượng cao và kết quả tốt hơn.
2.4. Vị trí của phòng khám nha khoa
Các phòng khám nằm ở trung tâm thành phố hoặc khu vực có mức sống cao thường có giá dịch vụ cao hơn so với những phòng khám ở ngoại ô hoặc khu vực nông thôn.
3. Quy trình hàn răng mẻ
Trước khi tiến hành hàn răng, nha sĩ sẽ tiến hành khám và tư vấn cho người bệnh. Quá trình này bao gồm kiểm tra mức độ tổn thương của răng, lựa chọn loại vật liệu trám phù hợp và giải thích chi tiết về quy trình cũng như chi phí hàn răng.
Khách hàng sẽ được tùy chọn chất liệu trám hàn theo nhu cầu của mình.
Sau khi tư vấn và thống nhất với khách hàng về quy trình hàn răng, nha sĩ sẽ tiến hành làm sạch răng và chuẩn bị bề mặt răng bị mẻ để đảm bảo vật liệu trám bám chắc vào răng.
Nha sĩ sẽ sử dụng vật liệu trám đã chọn để lấp đầy phần răng bị mẻ. Quy trình này có thể kéo dài từ 30 phút đến 1 giờ, tùy thuộc vào mức độ phức tạp của trường hợp.
Sau khi hàn răng xong, nha sĩ sẽ kiểm tra kỹ lưỡng và chỉnh sửa để đảm bảo rằng răng đã được phục hồi hoàn toàn và không gây ra bất kỳ cảm giác khó chịu nào cho khách hàng.
4. Chi phí cụ thể của hàn răng mẻ
Trên thị trường hiện nay, chi phí hàn răng mẻ có thể dao động từ 150.000 VND đến 3.000.000 VND cho mỗi chiếc răng, tùy thuộc vào các yếu tố đã đề cập ở trên. Mức giá này có thể thay đổi tùy thuộc vào từng phòng khám và khu vực cụ thể.
Bảng giá tham khảo tại thời điểm hiện tại với hàn răng:
– Hàn răng bằng composite: 370.000 VND – 550.000 VND
– Hàn răng bằng GIC: 285.000 VND
– Điều trị sâu, che tủy bằng MTA: 1.000.000 VNĐ
5. Chọn phòng nha cần lưu ý gì?
Trước khi quyết định hàn răng tại một phòng khám nào đó, bạn nên tìm hiểu kỹ về phòng khám đó, bao gồm kinh nghiệm của nha sĩ, trang thiết bị và các dịch vụ mà phòng khám cung cấp.
Đánh giá của các khách hàng trước đó là một nguồn thông tin quan trọng giúp bạn có cái nhìn tổng quan về chất lượng dịch vụ của phòng khám. Bạn có thể tìm kiếm đánh giá này trên các trang web đánh giá dịch vụ y tế hoặc mạng xã hội.
Mặc dù chi phí là một yếu tố quan trọng, bạn cũng nên cân nhắc đến chất lượng dịch vụ. Đôi khi, việc trả thêm một khoản chi phí để nhận được dịch vụ tốt hơn và đảm bảo sức khỏe răng miệng cũng là một lựa chọn đáng cân nhắc.
Các mức giá đưa ra chỉ mang tính tham khảo, đến phòng khám để có báo giá chính xác.
6. Những câu hỏi thường gặp về hàn răng mẻ
– Hàn răng mẻ có đau không?
Quy trình hàn răng mẻ thường không gây đau nhiều cho khách hàng. Trong quá trình hàn răng, nha sĩ sẽ sử dụng thuốc tê để giảm thiểu cảm giác đau và khó chịu. Sau khi hàn răng xong, bạn có thể cảm thấy hơi ê buốt nhưng cảm giác này sẽ dần biến mất sau vài ngày.
– Hàn răng mẻ có bền không?
Độ bền của việc hàn răng mẻ phụ thuộc vào nhiều yếu tố như loại vật liệu trám, kỹ thuật của nha sĩ và cách chăm sóc răng miệng của bạn sau khi hàn răng. Thông thường, răng được hàn bằng composite có thể bền từ 5-7 năm, trong khi răng bọc bằng sứ có thể bền từ 10-15 năm.
Hàn răng mẻ là một giải pháp hiệu quả để phục hồi hình dáng và chức năng của răng bị hư hỏng. Chi phí hàn răng mẻ có thể dao động tùy thuộc vào nhiều yếu tố như mức độ tổn thương, loại vật liệu trám, kỹ thuật và trang thiết bị của phòng khám. Để đảm bảo bạn nhận được dịch vụ chất lượng với chi phí hợp lý, hãy tìm hiểu kỹ về phòng khám nha khoa, so sánh giá cả và dịch vụ, cũng như kiểm tra đánh giá của các khách hàng trước đó. Bài viết trên đây đã cung cấp những thông tin về chi phí hàn răng mẻ hết bao nhiêu tiền và hy vọng sẽ giúp bạn có sự lựa chọn tốt cho sức khỏe răng miệng của mình.


















