Trồng răng sứ giá rẻ nhất là bao nhiêu?
Trồng răng sứ là một dạng kỹ thuật nha khoa thẩm mỹ với tác dụng phục hình cho răng. Chi phí trồng răng luôn là một trong những yếu tố được quan tâm hàng đâu. Vậy trồng răng sứ giá rẻ nhất là bao nhiêu, cùng tìm hiểu nhé!
1. Trồng răng sứ được áp dụng với những trường hợp nào?
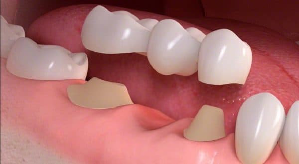
Trồng răng sứ có thể hiểu đơn giản là phương pháp phục hình hiệu quả đối với những trường hợp bị mất răng, thậm chí có thể là mất răng ở toàn hàm.
Thông thường, phương pháp trồng răng sứ sẽ được các trường hợp mất răng nhưng trụ răng thật xung quanh vẫn phải đảm bảo còn khỏe mạnh, tình trạng xương hàm chưa bị tiêu và răng cũng chưa bị xô đẩy nhau. Vì đây là phương pháp trồng răng giả cố định, không thể tự tháo lắp ra giống như hàm giả tháo lắp.
Theo các chuyên gia nha khoa, những trường hợp dưới đây nên thực hiện trồng răng sứ bao gồm:
– Người bị mất hay gãy một hoặc nhiều răng do tai nạn, chấn thương hoặc các bệnh lý về răng miệng
– Người có hàm răng thưa thớt dẫn đến chức năng ăn nhai của răng bị kém đi
– Người có hàm răng sứt mẻ, gãy một phần hoặc răng bị ố vàng khó có thể khắc phục
– Răng sâu quá nặng, phải tiến hành nhổ bỏ, chữa tủy sau đó có thể cần trồng răng mới để thay thế
Tuy nhiên, một số đối tượng khuyến cáo không nên thực hiện biện pháp trồng răng bao gồm:
– Trẻ em độ tuổi dưới 16 tuổi
– Những trường hợp bị mắc các bệnh lý bẩm sinh như máu khó đông, người đang điều trị hoặc bị bệnh tim bẩm sinh, những người bị rối loạn thần kinh
– Phụ nữ đang mang thai hoặc đang cho con bú từ giai đoạn khoảng 6 tháng đến 1 năm
– Người nghiện thuốc lá cũng được khuyến cáo không nên trồng răng giả bởi điều này có thể dẫn tới những biến chứng nếu như răng không được chăm sóc đúng cách.
Trồng răng sứ là phương pháp phục hình hiệu quả đối với những trường hợp bị mất răng
2. “Điểm mặt” những ưu, nhược điểm của kỹ thuật trồng răng sứ
Trồng răng sứ có tốt hay không là thắc mắc của rất nhiều khách hàng. Tốt hơn hết, để có được lời giải đáp, bạn nên “nằm lòng” những ưu, nhược điểm của trồng răng sứ dưới đây để có thể đưa ra đánh giá chính xác nhất.
2.1. Những ưu điểm của trồng răng sứ
– Thẩm mỹ cao
Răng sứ thay thế cho những chiếc răng đã bị mất hoặc bị sứt mẻ do đó nên đảm bảo về mặt thẩm mỹ. Ngoài ra thì răng sứ cũng có hình dáng tương tự như răng tự nhiên. Với những trường hợp răng bị ố vàng hoặc xỉn màu mà không thể khắc phục bằng các phương pháp tẩy trắng răng thì trồng răng sứ cũng sẽ là một giải pháp tối ưu
– An toàn tuyệt đối, độ bền cao
Răng sứ được biết đến là loại răng nhân tạo có độ bền cũng như tuổi thọ cao nhất so với các loại răng thông thường. Đặc biệt, nếu như được chăm sóc đúng cách thì có thể sử dụng từ 10 đến 20 năm.
Bên cạnh đó, chất liệu làm răng sứ đã được nghiên cứu và kiểm định một cách kỹ lưỡng để đảm bảo an toàn với sức khỏe của con người. Răng sứ mới phải đảm bảo có đầy đủ các tiêu chuẩn như là không bị bào mòn ở trong môi trường axit, không làm gây kích ứng niêm mạc miệng, có độ cứng và độ bền cao.
– Chức năng ăn nhai tốt
Một trong những ưu điểm nổi bật của trồng răng sứ thẩm mỹ phải kể đến đó là đảm bảo tốt chức năng ăn nhai. Nhiều người cho rằng, răng sứ được trồng không thể mang lại hiệu quả trong ăn nhai, tuy nhiên thực tế hoàn toàn ngược lại, răng sứ được làm từ chất liệu đảm bảo độ cứng chắc không bị mài mòn, hay không bị oxy hóa. Do đó, răng sứ có thể đảm nhiệm vai trò ăn nhai không thua kém gì so với răng thật.
2.2. Những nhược điểm cần chú ý của trồng răng sứ
Bất cứ phương pháp nào cũng sẽ không thể tránh khỏi có những hạn chế, dưới đây là một số nhược điểm bạn cần lưu ý khi lựa chọn trồng răng sứ
– Có thể gây ảnh hưởng đến răng thật
Đây cũng là một trong những nhược điểm mà bạn cần cân nhắc khi quyết định thực hiện trồng răng sứ thẩm mỹ. Bởi khi trồng răng thì cho dù sử dụng phương pháp nào cũng sẽ có thể gây áp lực đáng kể lên răng thật. Ngoài ra, ở một số phương pháp trồng răng sứ sẽ phải cần tiến hành mài mòn men răng để có thể chụp mão sứ lên tên. Về lâu dài, điều này có thể gây ra tác hại không mong muốn ảnh hưởng đến răng miệng. Do đó bạn nên tham khảo ý kiến của các bác sĩ trước khi thực hiện!
– Răng yếu đi, trở nên nhạy cảm
Đây cũng là hậu quả phục hình răng sứ thẩm mỹ mà bạn nên cân nhắc, bởi việc can thiệp vào răng sẽ làm răng có thể bị yếu đi và trở nên nhạy cảm hơn.
– Tiêu xương hàm
Trồng răng sứ cũng là yếu tố dẫn đến tình trạng tiêu xương hàm, nếu xương hàm không được ngăn chặn sẽ bị tiêu đi dẫn đến việc lộ chân răng, tạo điều kiện cho vi khuẩn xâm nhập và dễ dẫn đến các bệnh lý.
Trồng răng sứ giá rẻ nhất dao động trong mức khoảng hơn 2 triệu/răng
3. Trồng răng sứ giá rẻ nhất bao nhiêu?
Với thắc mắc trồng răng sứ giá rẻ nhất là bao nhiêu, mức chi phí sẽ do nhiều yếu tố quyết định như là phương pháp thực hiện, sức khỏe răng miệng, chất liệu răng sứ.
Nhìn chung, chi phí trồng răng sứ tối thiểu sẽ rơi vào khoảng 2 triệu, mức giá có thể lên đến 10 triệu hoặc thậm chí cao hơn đối với những chất liệu cao cấp.
Với phương pháp làm răng sứ hàm giả thì có mức chi phí thấp nhất khoảng trên dưới 10 triệu. Trong khi đó, công nghệ Implant thì chi phí sẽ cao hơn. Ngoài ra, trong một số trường hợp, khách hàng cũng cần lưu ý, nếu tình trạng răng miệng không đáp ứng được thì cấy trụ thì các bác sĩ sẽ thực hiện thêm bước như nâng xoang hay ghép xương. Do đó, chi phí cũng sẽ phát sinh và sẽ tăng thêm.
Đừng quên lựa chọn cơ sở tin cậy, chất lượng để quá trình trồng răng diễn ra an toàn, hiệu quả
Hi vọng rằng qua bài viết trên đã giúp bạn đọc giải đáp thắc mắc trồng răng sứ giá rẻ nhất bao nhiêu. Bên cạnh yếu tố chi phí, bạn đừng quên quan tâm đến cơ sở vật chất cũng như đội ngũ bác sĩ thực hiện có đảm bảo trình độ, chuyên môn hay không bởi đây cũng là những yếu tố vô cùng quan trọng quyết định trực tiếp đến kết quả niềng răng.


















