Nẹp răng mặt trong và những điều bạn cần biết
Nẹp răng mắc cài truyền thống mặc dù mang lại hiệu quả cao nhưng lại không được đánh giá cao về tính thẩm mỹ. Chính vì vậy nẹp răng mặt trong đã ra đời.
1. Tổng quan về nẹp răng mặt trong
1.1 Nẹp răng là gì?
Nẹp răng (niềng răng) là phương pháp sử dụng những khí cụ nha khoa để khắc phục những nhược điểm như hô, móm. lệch lạc, mọc chen chúc…..Hiện nay tại các cơ sở nha khoa có rất nhiều phương pháp nẹp răng để khách hàng lựa chọn như:
– Nẹp răng mặt ngoài với mắc cài kim loại.
– Nẹp răng mặt trong với mắc cài kim loại.
– Nẹp răng mặt ngoài với mắc cài sứ.
– Nẹp răng mặt ngoài với mắc cài tự động.
– Nẹp răng trong suốt Invisalign.
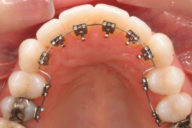
1.2 Nẹp răng mặt trong là như thế nào?
Nẹp răng mặt trong là phương pháp sử dụng mắc cài kim loại, dây cung và dây thun như phương pháp mắc cài truyền thống nhưng điểm đặc biệt chính là mắc cài được gắn lên mặt trong của răng giúp mang đến tính thẩm mỹ cao cho hàm răng và sự tự tin cho người dùng.
Niềng răng mặt trong có mắc cài được gắn lên mặt trong của răng giúp mang đến tính thẩm mỹ cao cho hàm răng và sự tự tin cho người dùng
2. Ưu & nhược điểm của niềng răng mặt trong
2.1 Ưu điểm
– Có tính thẩm mỹ cao.
– Mặt ngoài của răng không bị tổn thương khi tháo mắc cài.
– Thiết kế nhỏ gọn, bề mặt trơn láng nên sẽ không gây tổn thương cho các cơ quan bên trong như nướu, lưỡi, má….
2.2 Nhược điểm
– Vì được gắn bên trong nên thời gian đầu sẽ cảm thấy vướng víu, thậm chí nói ngọng trong khoảng 1 – 4 tuần.
– Vệ sinh răng miệng khó khăn hơn vì vậy phải dùng bàn chải chuyên dụng để tránh mắc các bệnh răng miệng.
– Đòi hỏi phải được thực hiện bởi bác sĩ nha khoa có tay nghề cao.
Niềng răng mặt trong đòi hỏi phải được thực hiện ở các cơ sở nha khoa uy tín với đội ngũ y bác sĩ tay nghề cao
3. Quy trình niềng răng mặt trong
3.1 Thăm khám răng miệng tổng quát
Để đánh giá được tổng quát tình trạng răng miệng của người bệnh, bác sĩ sẽ thăm khám răng miệng tổng quát cho bệnh nhân. Nếu có bệnh lý, bác sĩ sẽ tư vấn cho bệnh nhân việc điều trị dứt điểm để không ảnh hưởng đến việc nẹp răng. Bên cạnh đó, việc thăm khám cũng giúp cho bác sĩ xác định xem bệnh nhân có cần phải nhổ răng hay không.
3.2 Gắn khí cụ
Trước khi tiến hành gắn mắc cài vào mặt trong của răng, bác sĩ sẽ tiến hành gắn các khí cụ hỗ trợ để giúp tách kẽ, lấy dấu có khâu, gắn khâu…
3.3 Gắn mắc cài kim loại
Đầu tiên, bác sĩ sẽ tiến hành đánh bóng nhẹ bề mặt răng. Sau đó sẽ tiến hành dùng banh miệng nhựa để kéo má sang hai bên, làm khô răng và gắn keo nha khoa chuyên dụng lên bề mặt răng với mục đích giữ mắc cài. Mắc cài và keo sẽ được cứng lại dưới tác dụng của đèn quang trùng hợp. Cuối cùng, dây cung được đặt lên rãnh mắc cài và cố định bằng dây chun chuyên dụng.
3.4 Tái khám định kỳ
Sau khi được gắn đủ bộ nẹp răng, bạn sẽ được bác sĩ tái khám định kỳ khoảng 3 – 6 tuần/lần. Việc tái khám giúp bác sĩ kiểm tra sự dịch chuyển của răng và kịp thời điều chỉnh nếu có bất cứ bất thường nào. Đồng thời tình trạng sức khoẻ răng miệng của bạn cũng được đảm bảo.
Bệnh nhân tái khám răng định kỳ để kiểm tra sự dịch chuyển của răng và điều chỉnh nếu có bất thường
3.5 Hoàn thiện quá trình
Sau khi kết thúc liệu trình, hàm răng đã được hoàn thiện thì bác sĩ sẽ tiến hành tháo niềng răng và đeo hàm duy trì. Tuy nhiên bạn vẫn cần tái khám định kỳ để kiểm tra độ ổn định của răng.
4. Niềng răng mặt trong mất bao lâu?
Niềng răng mặt trong sẽ mất khoảng 10 – 24 tháng tuỳ vào tình trạng khuyết điểm răng của từng bệnh nhân. Đối với trường hợp phức tạp, thời gian nẹp răng có thể lâu hơn một chút. Người bệnh cần phải kiên trì chỉnh nha để sở hữu một hàm răng khoẻ đẹp. Ngoài ra, để việc nẹp răng hiệu quả và không mất nhiều thời gian, bạn cần lựa chọn các cơ sở nha khoa uy tín, nơi có đội ngũ bác sĩ tay nghề cao và hệ thống trang thiết bị máy móc hiện đại để phục vụ tốt cho bệnh nhân.
Mong rằng bài viết trên của chúng tôi đã giúp các bạn có thêm những thông tin hữu ích về niềng răng mặt trong. Nếu có bất kỳ thắc mắc gì, bạn có thể liên hệ với bác sĩ tại các cơ sở nha khoa uy tín để được tư vấn chi tiết nhé.
































