Ưu và nhược điểm của phương pháp niềng răng mặt trong
Trong các phương pháp niềng răng, niềng răng mặt trong được ưa chuộng hơn cả vì có tính thẩm mỹ và mang đến hiệu quả cao. Trong bài viết hôm nay, hãy cùng tìm hiểu về phương pháp này để có thêm những kiến thức để chăm sóc sức khoẻ răng miệng nhé.
1. Tổng quan về niềng răng mặt trong
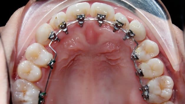
Niềng răng mặt trong (niềng răng mặt lưỡi) là phương pháp vẫn sử dụng những khí cụ quen thuộc trong chỉnh nha là mắc cài kim loại, dây cung, dây chun nhưng điểm cải tiến chính là vị trí gắn mắc cài. Mắc cài được gắn vào mặt trong của răng giúp đảm bảo tính thẩm mỹ, người dùng không bị lộ đang niềng răng khi cười hay giao tiếp. Sau khi đeo niềng răng, người dùng sẽ cải thiện được những khuyết điểm như: hô, móm, sai lệch khớp cắn, răng mọc chen chúc…
Niềng răng mặt lưỡi có điểm nổi bật là mắc cài được gắn vào mặt trong của răng, giúp mang đến tỉnh thẩm mỹ cao cho hàm răng
2. Ưu và nhược điểm của niềng răng mặt trong
2.1 Ưu điểm
– Có tính thẩm mỹ cao, người dùng tự tin khi cười hay giao tiếp.
– Hiệu quả lâu dài.
– Bề mặt bên ngoài răng sẽ không bị tác động.
2.2 Nhược điểm
– Đòi hỏi phải được thực hiện bởi bác sĩ có tay nghề chuyên môn cao, có kinh nghiệm niềng răng mặt lưỡi.
– Khó vệ sinh răng miệng vì nằm ở vị trí khuất.
3. Quy trình niềng răng mặt trong
3.1 Thăm khám, chụp X-quang
Ở bước đầu tiên, bác sĩ sẽ tiến hành thăm khám để kiểm tra xem mức độ khuyết điểm răng của bệnh nhân. Bên cạnh đó, bệnh nhân cũng được bác sĩ kiểm tra tình trạng răng miệng tổng quan để xem có bệnh lý răng miệng nào cần điều trị trước khi niềng răng hay không.
Bác sĩ thăm khám răng miệng tổng quát để xác định mức độ khuyết điểm của răng
3.2 Tiến hành lấy dấu hàm & lên phác đồ điều trị cụ thể
Bác sĩ tiến hành lấy dấu hàm cho bệnh nhân và gửi dấu hàm đến đơn vị sản xuất mắc cài. Phác đồ điều trị răng của bệnh nhân sẽ được bác sĩ lên cụ thể và chi tiết từng khoảng thời gian cho đến khi hoàn thiện.
3.3 Gắn khí cụ chỉnh nha
Sau khi niềng răng sản xuất xong, bác sĩ sẽ hẹn bệnh nhân đến phòng khám. Đầu tiên, bệnh nhân sẽ được làm sạch khoang miệng, đặc biệt là mặt trong của răng. Sau đó, bề mặt răng sẽ được làm khô và tiến hành gắn mắc cài lên bằng keo chuyên dụng dưới ánh sáng tác động đèn quang trùng hợp. Đây là bước cần được thực hiện tỉ mỉ và chi tiết vì mắc cài được gắn ở vị trí khuất tầm nhìn, chính vì vậy đòi hỏi bác sĩ thực hiện phải có chuyên môn cao.
3.4 Tái khám định kỳ
Sau khi niềng răng xong, bệnh nhân sẽ được bác sĩ hướng dẫn cẩn thận chế độ ăn uống và chế độ chăm sóc tại nhà. Tuỳ vào tình trạng răng của từng người, bác sĩ sẽ đưa ra một lịch tái khám cụ thể. Thông thường, thời gian đầu khi mới niềng răng thì tần suất tái khám sẽ dày hơn, thường từ 2 – 3 tuần/lần. Sau này khi răng đã dịch chuyển ổn định thì tần suất tái khám sẽ giảm xuống, thông thường từ 4 – 6 tuần/lần.
Thăm khám răng miệng định kỳ sau khi niềng răng giúp bác sĩ kiểm tra sự dịch chuyển của răng và kịp thời xử lý nếu có bất thường
4. Những lưu ý khi niềng răng mặt lưỡi
Sau khi thực hiện niềng răng mặt lưỡi, bạn cần lưu ý những điều sau:
– Trong khoảng thời gian niềng răng, sẽ có một số thời điểm bạn cảm thấy hơi ê tức, đau âm ỉ như lúc tách kẽ răng, siết răng, một vài tuần đầu sau khi niềng răng…nhưng cảm giác này sẽ giảm dần và chấm dứt khi bạn đã quen với niềng răng. Bên cạnh đó, bác sĩ cũng sẽ kê thêm một số loại thuốc giúp hỗ trợ giảm đau, hãy uống theo đúng đơn thuốc đã được bác sĩ kê nhé.
– Vệ sinh răng miệng thật kỹ lưỡng như: đánh răng thường xuyên và đúng cách, sử dụng thêm một số phương pháp khác như súc miệng nước muối, dùng chỉ nha khoa, dùng tăm nước….
– Nên ăn những đồ ăn mềm, lỏng, dễ nuốt hoặc cắt thành miếng nhỏ vào thời gian đầu khi mới niềng răng. Trong giai đoạn niềng răng, tránh ăn những đồ ăn quá cứng, quá dai vì có răng đang trong giai đoạn dịch chuyển vẫn còn yếu và chưa ổn định.
– Tránh uống đồ có ga, nước ngọt, những đồ uống nhiều đường và có tính axit vì dễ dẫn đến các bệnh lý răng miệng và gây mòn răng.
– Kiểm tra răng miệng định kỳ để bác sĩ có thể kiểm tra được sự dịch chuyển của răng và kịp thời xử lý khi có bất thường.
Tăm nước là một phương pháp vệ sinh răng miệng hiện đại, giúp vệ sinh răng miệng hiệu quả
Bài viết trên của chúng tôi đã cung cấp những thông tin hữu ích về phương pháp niềng răng mặt trong. Cần lưu ý, đây là phương pháp có kỹ thuật phức tạp, vì vậy cần chọn những cơ sở nha khoa uy tín để thực hiện để giúp mang lại hiệu quả cao và không gây ảnh hưởng đến sức khoẻ răng miệng.


















