Những cách nẹp răng thưa hiệu quả nhất
Răng thưa là một trong những khuyết điểm của răng khiến cho người bệnh không những mất tự tin mà còn tiềm ẩn nhiều bệnh lý răng miệng. Một trong những phương pháp hiệu quả để điều trị tình trạng này là nẹp răng thưa.
1. Răng thưa là như thế nào? Tác hại của răng thưa là gì?
Răng thưa là tình trạng các răng trên cung hàm mọc xa nhau và có những kẽ hở hoặc có thể là tình trạng răng mọc không đầy đủ và thiếu đồng đều. Răng thưa khiến cho khớp cắn bị lệch dẫn đến quá trình ăn uống gặp khó khăn và làm cho khuôn miệng bị mất thẩm mỹ, khiến cho người bệnh cảm thấy tự tin khi giao tiếp hay cười. Ngoài ra, những khe hở ở vị trí các răng thưa sẽ tạo điều kiện cho vi khuẩn xâm nhập và gây ra các bệnh lý về răng miệng. Để khắc phục tình trạng này có rất nhiều cách khác nhau như trám răng, bọc sứ, dán sứ và nẹp răng. Trong đó, nẹp răng là phương pháp được ưa chuộng hơn cả vì an toàn và có tính hiệu quả lâu dài.
Răng thưa không chỉ gây khó khăn trong ăn uống, tiềm ẩn nhiều bệnh lý răng miệng mà còn khiến cho người bệnh cảm thấy tự ti
2. Các phương pháp nẹp răng thưa
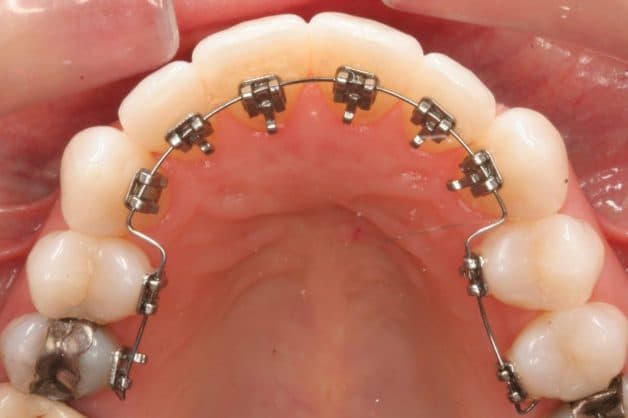
2.1 Nẹp răng bằng mắc cài kim loại
Đây là phương pháp ra đời đầu tiên trong các phương pháp nẹp răng. Bác sĩ sẽ tiến hành gắn mắc cài lên mặt ngoài của răng, sau đó cài dây cung lên và dùng dây chun để cố định dây cung vào các mối mắc cài. Tuy hiệu quả cao và chi phí thấp nhưng phương pháp này lại không có tính thẩm mỹ cao, dễ lộ ra màu sắc kim loại khi cười hay giao tiếp.
2.2 Nẹp răng bằng mắc cài sứ
Cải tiến hơn phương pháp đầu tiên, nha khoa hiện đại đã sản xuất ra loại mắc cài bằng sứ. Chất liệu này có màu sắc tương tự như răng thật, do đó mang đến tính thẩm mỹ cao. Bên cạnh đó, cũng có nhiều loại dây cung cho khách hàng lựa chọn như thép không gỉ, niken, titan…
2.3 Nẹp răng bằng mắc cài tự động
Phương pháp này có ưu điểm là loại bỏ được dây chun trong bộ khí cụ chỉnh nha. Khi đưa dây cung vào, dây sẽ trượt vào rãnh và cố định chắc chắn tại các mối mắc cài tự động. Chính vì vậy, loại nẹp này sẽ hạn chế được những tác hại do dây chun gây ra như tuột chun, nuốt phải dây chun, dây chun bật vào lợi….
2.4 Nẹp răng bằng mắc cài mặt trong
Niềng răng mắc cài mặt trong được đánh giá cao về thẩm mỹ nhưng đòi hỏi phải được thực hiện bởi bác sỹ có tay nghề cao
Để mang đến tính thẩm mỹ cao hơn, nẹp răng bằng mắc cài mặt trong ra đời. Phương pháp này đã cải tiến bằng cách gắn mắc cài vào mặt trong của răng, nhờ đó khi cười hay khi giao tiếp sẽ không bị lộ. Tuy nhiên, để gắn được mắc cài như vậy đòi hỏi nha sĩ phải có tay nghề cao và người bệnh phải thực vệ sinh răng miệng thật kỹ.
2.5 Nẹp răng trong suốt Invisalign
Đây là phương pháp mới nhất, thay thế hoàn toàn những khí cụ truyền thống bằng khay nhựa trong suốt có thể tháo lắp dễ dàng. Một lộ trình niềng cần đeo từ 20 – 45 khay và đeo ít nhất 22h một ngày. Có hiệu quả cao và tính thẩm mỹ cao nhưng chi phí của phương pháp này khá cao nên bạn cần cân nhắc kỹ lưỡng khi lựa chọn nhé.
3. Nẹp răng thưa ở đâu?
Hiện nay có rất nhiều cơ sở nha khoa uy tín thực hiện nẹp răng thưa, trong đó khoa Răng Hàm Mặt của Hệ thống Y Tế Thu Cúc TCI là một trong số đó. Khách hàng luôn an tâm khi trải nghiệm dịch vụ tại Thu Cúc với những điểm nổi bật như:
– Sử dụng các máy móc thiết bị cao cấp được nhập khẩu như CAD/CAM được phát triển từ hệ thống Sirona (Đức), đèn hàn quang trùng hợp Litex (Mỹ), máy X-quang kỹ thuật số RSV (Pháp), máy nội soi răng (Hàn Quốc)…..
– Đội ngũ y bác sĩ giàu kinh nghiệm, có mắt thẩm mỹ cao và từng tu nghiệp tại nước ngoài.
– Áp dụng những phương pháp niềng răng hiện đại và có hiệu quả nhất.
– Quy trình nẹp răng được thực hiện theo đúng chuẩn.
– Thái độ phục vụ tận tình, chu đáo và tận tâm với khách hàng.
Công nghệ quét dấu răng iTero 5D tân tiến được sử dụng tại Thu Cúc TCI
Hy vọng rằng bài viết trên của chúng tôi đã cung cấp những thông tin hữu ích về “nẹp răng thưa“. Để nẹp răng hiệu quả và tiết kiệm được thời gian cũng như công sức, hãy xem xét kỹ lưỡng và lựa chọn cơ sở nha khoa uy tín nhé.

















