Mòn cổ răng là gì? Làm gì khi bị mòn cổ răng?
Mòn cổ răng là tình trạng khá phổ biến nhưng thường bị bỏ qua do tiến triển âm thầm. Nhiều người chỉ nhận ra khi xuất hiện ê buốt hoặc thấy phần chân răng bị khuyết. Vậy mòn cổ răng là gì và cần làm gì khi gặp tình trạng này? Hiểu đúng sẽ giúp bảo vệ răng miệng hiệu quả hơn.
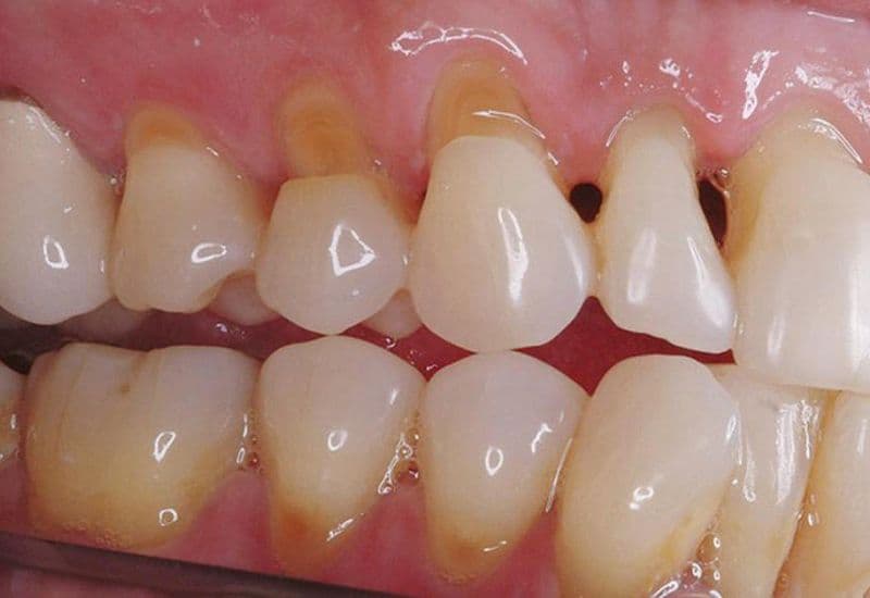
1. Mòn cổ chân răng là gì?
Mòn cổ chân răng là tình trạng phần mô răng ở vùng cổ răng – nơi tiếp giáp giữa thân răng và nướu – bị mất dần theo thời gian. Đây là khu vực có lớp men răng mỏng, nên dễ bị tác động bởi lực chải răng mạnh hoặc yếu tố hóa học, dẫn đến hình thành các rãnh lõm trên bề mặt răng.
Đặc điểm của mòn cổ chân răng:
- Xuất hiện rãnh lõm hình chữ V hoặc chữ U ở sát viền nướu
- Giai đoạn đầu thường không đau, khó nhận biết
- Khi tiến triển có thể gây lộ ngà, dẫn đến ê buốt khi ăn uống
Nếu không được can thiệp kịp thời, vùng tổn thương có thể mở rộng dần, làm suy yếu cấu trúc răng và làm tăng khả năng phát sinh các biến chứng phức tạp hơn.

2. Hậu quả của tình trạng mòn cổ răng là gì?
Mòn cổ răng nếu không được phát hiện và xử lý sớm có thể gây ra nhiều hậu quả nghiêm trọng, ảnh hưởng cả thẩm mỹ lẫn chức năng ăn nhai. Tình trạng này thường tiến triển âm thầm nhưng ngày càng nặng theo thời gian, đặc biệt khi lớp men răng tiếp tục bị bào mòn và lộ ngà.
- Ảnh hưởng thẩm mỹ: Vùng cổ răng bị lõm khiến răng trông xỉn màu, lộ ngà vàng và dễ xuất hiện tụt nướu, làm răng có cảm giác dài hơn bình thường. Các khoảng hở giữa răng cũng có thể tạo thành “khe đen”, gây mất tự tin khi giao tiếp.
- Ê buốt, suy giảm chức năng ăn nhai: Khi ngà răng lộ ra, răng trở nên nhạy cảm với đồ ăn nóng, lạnh, chua hoặc ngọt. Người bệnh thường có xu hướng tránh nhai ở bên bị ê buốt, lâu dài có thể gây mất cân bằng lực nhai và ảnh hưởng đến tiêu hóa.
- Nguy cơ viêm tủy và nhiễm trùng: Nếu vùng mòn tiến triển sâu, vi khuẩn có thể xâm nhập vào bên trong răng, gây viêm tủy, hoại tử tủy hoặc hình thành ổ viêm quanh chóp. Tình trạng này có thể dẫn đến đau nhức kéo dài và ảnh hưởng đến xương hàm.
- Gãy răng và mất răng: Khi cổ răng bị mòn quá mức, cấu trúc răng trở nên yếu và dễ gãy, đặc biệt khi ăn nhai thức ăn cứng. Trong nhiều trường hợp, răng bị tổn thương nặng có thể phải nhổ bỏ.
Vì vậy, mòn cổ răng không chỉ là vấn đề thẩm mỹ mà còn tiềm ẩn nhiều biến chứng, cần được can thiệp kịp thời để bảo vệ sức khỏe răng miệng lâu dài.
3. Cần làm gì khi bị mòn cổ răng?
Khi gặp tình trạng răng bị ăn mòn chân răng, người bệnh cần thăm khám sớm để xác định mức độ tổn thương và lựa chọn phương pháp điều trị phù hợp. Việc can thiệp kịp thời không chỉ giúp giảm ê buốt mà còn ngăn ngừa các biến chứng sâu hơn như viêm tủy hay gãy răng.
Tùy theo mức độ, hướng xử trí có thể khác nhau:
3.1. Trường hợp nhẹ (chưa ảnh hưởng tủy)
Bác sĩ thường chỉ định trám cổ răng bằng vật liệu composite để lấp đầy vùng mòn. Từ đó giúp bảo vệ ngà răng, giảm ê buốt và phục hồi hình dạng răng. Phương pháp này được đánh giá là đơn giản, thẩm mỹ tốt, chi phí hợp lý
3.2. Trường hợp nặng (mòn sâu, có thể ảnh hưởng tủy hoặc tụt nướu)
- Điều trị tủy nếu có viêm hoặc tổn thương bên trong răng
- Phục hình bằng dán sứ veneer hoặc bọc răng sứ để bảo vệ răng
- Can thiệp mô mềm như ghép nướu trong trường hợp tụt lợi
- Điều chỉnh khớp cắn hoặc đeo máng nhai nếu có thói quen nghiến răng
Bên cạnh điều trị, người bệnh cũng cần thay đổi thói quen chăm sóc răng miệng như chải răng đúng cách, dùng bàn chải lông mềm và hạn chế các yếu tố gây mòn. Việc kết hợp điều trị và chăm sóc đúng cách sẽ giúp kiểm soát tình trạng mòn cổ răng hiệu quả và bảo vệ răng lâu dài.

Mòn cổ răng là tình trạng tưởng chừng đơn giản nhưng có thể gây ra nhiều ảnh hưởng lâu dài nếu không được phát hiện và xử lý đúng cách. Chủ động thăm khám sớm, điều trị đúng phương pháp và điều chỉnh thói quen chăm sóc răng miệng hằng ngày là yếu tố quan trọng giúp kiểm soát tình trạng này. Đừng đợi đến khi đau nhức rõ rệt mới đi khám, bởi khi đó việc điều trị sẽ phức tạp và tốn kém hơn.

















