Tất cả những thông tin về trám cổ răng
Trám cổ răng là một phương pháp giúp khắc phục phần cổ chân răng đang gặp tổn thương và bảo vệ răng hiệu quả hơn. Vậy bạn có thắc mắc quy trình, ưu nhược điểm của trám cổ răng không? Cùng Thu Cúc TCI tìm hiểu tất cả những thông tin về trám cổ răng dưới bài viết này nhé.
1. Tìm hiểu về trám mòn cổ răng là gì?
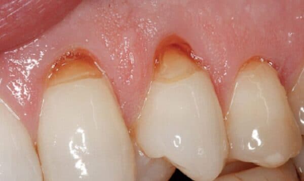
Hiện tượng mòn cổ chân răng là khi men răng ở vùng cổ bị xói mòn và dần dần mất đi. Theo thời gian, mòn răng lan ra sâu hơn, tạo ra một khe lõm hình chữ V ở bề ngoài của răng.
Tình trạng này có thể xảy ra ở bất kỳ răng nào và có thể làm mất màu cổ răng. Việc mất màu cổ răng sẽ ảnh hưởng đến vẻ đẹp tự nhiên của răng.
Hình ảnh cổ răng bị mòn và lộ ra bên ngoài (minh họa).
Trám cổ răng là một phương pháp nha khoa sử dụng vật liệu trám răng để khắc phục vùng cổ răng bị tổn thương. Từ đó, giúp ngăn chặn sự tiến triển, giảm đau và nhức ở vùng răng, và bảo vệ răng để duy trì sức khỏe.
2. Khi nào thì cần trám cổ răng?
Kỹ thuật trám cổ chân răng thường được sử dụng trong các trường hợp sau đây:
– Xuất hiện mòn ở vùng cổ chân răng.
– Rạn nứt hoặc có khoảng trống ở cổ chân răng.
– Men răng hoặc lớp men răng bị mòn, ố vàng hoặc yếu đi.
– Bị sâu nhẹ, có ê buốt ở cổ chân răng.
Cần trám lại cổ răng bị ăn mòn sớm để tránh hỏng răng vĩnh viễn (minh họa).
3. Những ưu- nhược điểm khi trám mòn cổ răng
Phương pháp trám vùng chân răng mang theo một loạt ưu và nhược điểm, như sau:
3.1 Ưu điểm
Ưu điểm:
– Đây là một phương pháp phục hình răng đơn giản và hiệu quả.
– Chi phí thực hiện thấp hơn so với các phương pháp phục hình phức tạp khác.
– Bảo vệ mô răng và tủy răng khỏi vi khuẩn xâm nhập sâu vào buồng tủy.
– Cho phép ăn nhai và duy trì hoạt động bình thường mà không gặp sự không thoải mái hoặc nhạy cảm ở răng.
– An toàn và tiện lợi, không cần can thiệp sâu vào răng tự nhiên.
– Nha sĩ thường sử dụng vật liệu trám Composite để trám cổ răng. Vì nó có khả năng chịu lực cao, lưu giữ tốt và phù hợp về màu sắc với răng thật, tạo nên kết quả thẩm mỹ cao.
3.2 Nhược điểm
Mặc dù có nhiều ưu điểm, phương pháp trám mòn cổ chân răng vẫn tồn tại một số nhược điểm:
– Độ bền của việc trám này chưa đạt mức cao như kỳ vọng. Đặc biệt nếu người dùng không tuân thủ quy trình chăm sóc và vệ sinh răng miệng đúng cách, có thể dẫn đến việc miếng trám bể hoặc bị rơi ra.
– Phương pháp này thích hợp cho các trường hợp mòn cổ chân răng nhẹ và chưa tác động đến tủy răng. Nó không phải lựa chọn tốt cho những vấn đề phức tạp hơn như phục hình mão răng sứ.
4. Quy trình trám cổ răng chuẩn y khoa
Kỹ thuật trám cổ chân răng là một phương pháp phục hình răng đơn giản và nhanh chóng. Thông thường trám cổ chân răng mất chỉ khoảng 10-15 phút là hoàn thành. Quá trình trám này sẽ diễn ra qua các bước sau:
Bệnh nhân đang được bác sĩ tiến hành trám chân răng (minh họa).
4.1 Bước 1: Khám và đánh giá
Trước hết, bác sĩ sẽ tiến hành kiểm tra răng miệng của khách hàng để xác định mức độ tổn thương ở cổ chân răng. Dựa trên thông tin này, bác sĩ sẽ đưa ra kế hoạch điều trị phù hợp. Trong trường hợp cổ chân răng bị mòn hoặc sâu đến tủy răng, bước điều trị tủy sẽ được thực hiện trước khi tiến hành trám răng.
4.2 Bước 2: Vệ sinh răng miệng trước khi trám
Phải tạo môi trường trám răng sạch sẽ, an toàn và đảm bảo hiệu suất tốt nhất cho quá trình phục hình. Lúc này bác sĩ sẽ thực hiện vệ sinh răng miệng cho người bệnh. Việc này bao gồm làm sạch mảng bám vi khuẩn và cao răng tích tụ trên bề mặt răng.
4.3 Bước 3: Trám vùng cổ răng
Bác sĩ sẽ sử dụng vật liệu trám răng để khôi phục vị trí bị khuyết thiếu ở cổ chân răng. Bác sĩ sẽ trám kín bao quanh cổ chân răng để bảo vệ ngà răng và tủy răng bên trong. Đồng thời tạo hình để đảm bảo rằng răng trông đẹp và hoàn thiện như lúc ban đầu.
Vật liệu trám sẽ được làm khô, cứng bằng đèn laser tiên tiến, giúp vết trám bám chặt vào bề mặt răng. Sau khi hoàn thành, khách hàng sẽ không còn cảm thấy ê buốt hoặc đau nhức khi ăn. Thậm chí tránh được tác động từ bên ngoài có thể gây tổn thương cho răng.
4.4 Bước 4: Hướng dẫn chăm sóc răng miệng sau khi trám
Cuối cùng, bác sĩ sẽ kiểm tra và đánh giá kết quả trám răng sau quá trình trên. Sau đó, bác sĩ sẽ hướng dẫn cách chăm sóc răng miệng tại nhà để duy trì vết trám lâu bền.
5. Chi phí cho trám cổ răng bị mòn là bao nhiêu?
Chi phí hàn trám cổ chân răng được xác định dựa trên nhiều yếu tố khách quan khác nhau. Cụ thể bao gồm loại vật liệu trám, cơ sở nha khoa và mức độ mòn ở răng của bạn. So sánh với việc bọc răng bằng sứ, phương pháp này thường có giá thành thấp hơn nhiều lần. Vậy nên, chi phí thấp sẽ khó đảm bảo chất lượng ăn nhai và thẩm mỹ tốt.
Tại một số nha khoa lớn, chi phí trám mòn cổ chân răng dao động từ 200.000 đến 300.000 VND cho mỗi răng. Ngoài ra tổng chi phí còn tùy thuộc vào những yếu tố cụ thể của bạn.
6. Cách để phòng ngừa mòn cổ chân răng hiệu quả
Dưới đây là một số gợi ý để bạn có thể thực hiện để tránh tình trạng này:
– Chải răng đúng cách:
Hãy chải răng theo chiều dọc hoặc theo đường tròn, tránh chải ngang. Sử dụng bàn chải lông mềm, kem đánh răng có độ mài mòn thấp và chỉ nha khoa để làm sạch răng miệng hàng ngày.
– Hạn chế thức ăn và đồ uống có chứa chất axit, đường và các chất kích thích:
Các thức ăn và đồ uống như đồ ngọt, đường, nước có ga và các thực phẩm chua có thể gây mòn cổ chân răng. Hạn chế tiêu thụ chúng để giảm nguy cơ mòn men răng.
– Súc miệng sau khi ăn:
Súc miệng bằng nước sạch ngay sau khi ăn giúp loại bỏ thức ăn thừa và ngăn vi khuẩn tấn công răng, giúp giảm nguy cơ mòn cổ chân răng.
– Lấy cao răng định kỳ:
Hãy đến nha khoa để lấy cao răng định kỳ, thường là mỗi 3-6 tháng một lần, để loại bỏ cặn bã những nơi bạn không thể làm sạch bằng cách tự chải răng.
Hy vọng những thông tin về trám cổ răng kể trên hữu ích với bạn đọc. Khi gặp phải tình trạng này, người bệnh nên đến nha khoa để điều trị trám càng sớm càng tốt. Hãy tuân theo hướng dẫn của nha sĩ để duy trì sức khỏe và vẻ đẹp của răng miệng của bạn.

















