Sự ưu việt của hình ảnh chụp MRI trong thăm khám bệnh
Trong y học hiện đại, chụp cộng hưởng từ (MRI) đóng vai trò quan trọng trong việc phát hiện và chẩn đoán nhiều bệnh lý phức tạp. Nhờ vào khả năng tạo ra hình ảnh chi tiết của các mô mềm, sụn, dây chằng và mạch máu mà không sử dụng tia X, MRI trở thành phương pháp chẩn đoán ưu việt, đặc biệt trong lĩnh vực cơ xương khớp. Vậy hình ảnh chụp MRI có những ưu việt gì để giúp bác sĩ phát hiện bệnh? Hãy cùng TCI tìm hiểu rõ hơn qua bài viết sau.
1. Chụp cộng hưởng từ – Kỹ thuật chẩn đoán hình ảnh tiên tiến
Chụp cộng hưởng từ là kỹ thuật tiên tiến sử dụng từ trường mạnh, sóng radio và máy tính để tạo ra hình ảnh chi tiết bên trong cơ thể. Nhờ đó, bác sĩ có thể đánh giá chính xác tình trạng sức khỏe hoặc theo dõi hiệu quả điều trị của người bệnh. Khác với X-quang và chụp cắt lớp vi tính, MRI không sử dụng bức xạ ion hóa, đảm bảo an toàn hơn cho cơ thể.
Máy MRI hoạt động bằng cách tạo ra từ trường mạnh, sau đó thu nhận tín hiệu phản hồi để dựng thành loạt hình ảnh lát cắt chi tiết. Phương pháp này được ứng dụng rộng rãi trong chẩn đoán nhiều bộ phận cơ thể như não, tim, phổi, đầu gối… và đặc biệt có giá trị trong việc quan sát mô mềm và hệ thần kinh.
Máy MRI hoạt động bằng cách tạo ra từ trường mạnh, sau đó thu nhận tín hiệu phản hồi để dựng thành loạt hình ảnh lát cắt chi tiết
2. Ưu điểm của hình ảnh chụp MRI trong chẩn đoán bệnh
Chụp MRI là một phương pháp chẩn đoán chuyên sâu với nhiều ưu điểm vượt trội, giúp bác sĩ đánh giá tình trạng sức khỏe một cách chính xác và an toàn.
Một trong những lợi ích nổi bật của MRI là khả năng quan sát chi tiết cấu trúc bên trong cơ thể mà không cần can thiệp xâm lấn. Quá trình quét MRI không gây hại hay ảnh hưởng tiêu cực đến cơ thể, đảm bảo an toàn cho bệnh nhân.
Điểm mạnh thứ hai của MRI là khả năng tạo ra hình ảnh đa góc độ chỉ trong một lần chụp mà không cần di chuyển bệnh nhân. Hệ thống có thể thu nhận hình ảnh theo ba mặt phẳng chính trong y khoa: mặt phẳng trục, mặt phẳng đứng dọc và mặt phẳng vành. Đây là ưu thế vượt trội so với các phương pháp khác như CT scan, vốn chỉ giới hạn trong một mặt phẳng duy nhất.
Cuối cùng, MRI tạo ra hình ảnh sắc nét, rõ ràng với độ tương phản cao. Nhờ đó, bác sĩ dễ dàng phân tích kết quả, phát hiện tổn thương và đề xuất hướng điều trị chính xác cho bệnh nhân.
3. Chụp cộng hưởng từ phát hiện được những bệnh gì?
Chụp cộng hưởng từ là phương pháp chẩn đoán hình ảnh tiên tiến, có thể áp dụng để đánh giá hầu hết các cơ quan trong cơ thể. Tuy nhiên, MRI đặc biệt hữu ích trong việc cung cấp hình ảnh chi tiết về não bộ, hệ cơ xương khớp, tim mạch và hỗ trợ phát hiện một số bệnh ung thư.
3.1. Hình ảnh chụp MRI giúp phát hiện các bệnh lý về não
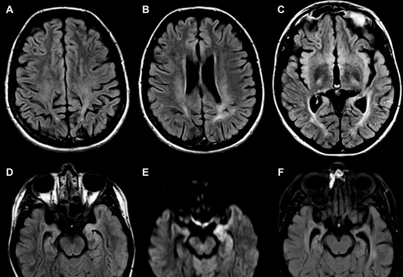
MRI đóng vai trò quan trọng trong việc phát hiện các bệnh lý não bộ như u nang, khối u, xuất huyết, phù nề và các cấu trúc bất thường khác. Ngoài ra, phương pháp này còn giúp chẩn đoán các tổn thương do chấn thương sọ não, đột quỵ hoặc các bất thường về mạch máu như thông động tĩnh mạch. Những kỹ thuật tiên tiến như MRI tưới máu, MRI phổ và MRI đánh giá sợi trục thần kinh giúp phân tích chuyên sâu, hỗ trợ phát hiện sớm và chính xác các bệnh lý thần kinh.
Đặc biệt, MRI mang lại hình ảnh nhu mô não rõ nét, giúp phát hiện các bệnh lý mãn tính của hệ thần kinh mà các phương pháp như X-quang, CT hay siêu âm khó có thể quan sát được. Phương pháp này cũng có độ chính xác cao trong chẩn đoán các bệnh lý liên quan đến tuyến yên và thân não, giảm thiểu nguy cơ bỏ sót tổn thương quan trọng.
MRI đóng vai trò quan trọng trong việc phát hiện các bệnh lý não bộ
3.2. Hình ảnh chụp MRI giúp phát hiện các bệnh cơ xương khớp
Chụp cộng hưởng từ là phương pháp hình ảnh tối ưu để đánh giá toàn diện hệ cơ xương khớp. Kỹ thuật này cung cấp hình ảnh chi tiết về xương, cơ, gân, sụn và dây chằng, giúp phát hiện sớm các tổn thương hoặc bất thường trong cấu trúc cơ quan vận động.
Hiện nay, MRI cơ xương khớp thường được chỉ định trong chẩn đoán và điều trị các bệnh lý sau:
– Viêm xương khớp và các tổn thương liên quan đến mô mềm như cơ, gân, dây chằng.
– Thoái hóa khớp, đứt dây chằng chéo, chấn thương khớp (rách sụn chêm, gãy xương…).
– Nhiễm trùng, viêm tủy xương.
– Phát hiện khối u và di căn xương khớp.
– Đánh giá tình trạng đau, sưng, phù nề vùng khớp tứ chi.
Với khả năng tái tạo hình ảnh sắc nét, MRI giúp bác sĩ xác định chính xác tình trạng bệnh lý và đưa ra phác đồ điều trị hiệu quả.
3.3. Ứng dụng chụp MRI trong chẩn đoán bệnh tim mạch
Chụp cộng hưởng từ giúp đánh giá chi tiết về hình ảnh giải phẫu và chức năng của buồng tim, van tim, cơ tim, cũng như khả năng tưới máu cơ tim. Trong lĩnh vực bệnh lý mạch máu, MRI đóng vai trò quan trọng trong việc tạo hình hệ thống động mạch, bao gồm mạch não, mạch cảnh, mạch chi và mạch thận, hỗ trợ phát hiện sớm các tổn thương và nguy cơ bệnh lý tim mạch.
3.4. Phát hiện các bệnh ung thư
Chụp cộng hưởng từ vùng bụng – chậu là phương pháp chẩn đoán hình ảnh hiện đại, giúp phát hiện chính xác nhiều bệnh lý quan trọng. Kỹ thuật này hỗ trợ đánh giá các cơ quan như gan, đường mật (phát hiện u gan, u đường mật, sỏi mật), tuyến tụy, lá lách, thận và tuyến thượng thận.
Ngoài ra, MRI vùng tiểu khung giúp phát hiện các bệnh lý như ung thư đại trực tràng, ung thư tiền liệt tuyến, u tử cung, sa âm đạo và khối u buồng trứng. Đặc biệt, phương pháp này có khả năng đánh giá chính xác giai đoạn của ung thư nội mạc tử cung, ung thư cổ tử cung và ung thư tiền liệt tuyến, hỗ trợ hiệu quả trong việc lập kế hoạch điều trị.
Bên cạnh đó, chụp MRI tuyến vú mang lại giá trị cao trong việc chẩn đoán sớm các tổn thương ở vú, giúp phân biệt u lành tính, ác tính cũng như các tình trạng viêm nhiễm, từ đó nâng cao hiệu quả điều trị và tiên lượng bệnh.
Hình ảnh chụp cộng hưởng từ hỗ trợ bác sĩ trong việc phát hiện các bệnh lý ung thư
Chụp cộng hưởng từ là một phương pháp chẩn đoán hình ảnh tiên tiến, an toàn và không xâm lấn, giúp phát hiện sớm và chính xác nhiều bệnh lý trên cơ thể. Nhờ khả năng tái tạo hình ảnh chi tiết, MRI đóng vai trò quan trọng trong việc hỗ trợ bác sĩ đưa ra chẩn đoán chính xác, lập kế hoạch điều trị hiệu quả và theo dõi tiến triển của bệnh. Nếu bạn có các dấu hiệu bất thường về sức khỏe hoặc cần tầm soát bệnh lý chuyên sâu, chụp MRI là lựa chọn đáng tin cậy giúp bảo vệ sức khỏe một cách toàn diện. Hãy tham khảo ý kiến bác sĩ để được hướng dẫn thực hiện phương pháp này khi cần thiết!































