Phát hiện nhiều bệnh lý từ hình ảnh chụp cộng hưởng từ
Khi nhắc đến các phương pháp chẩn đoán hình ảnh hiện đại, chụp cộng hưởng từ luôn được xem là một bước tiến vượt bậc trong y học. Nhờ hình ảnh chụp cộng hưởng từ sắc nét, các bác sĩ có thể phát hiện sớm và chẩn đoán chính xác nhiều bệnh lý. Hãy cùng tìm hiểu kỹ hơn về công nghệ chụp cộng hưởng từ và vai trò quan trọng của nó trong y khoa hiện đại!
1. Khái quát về kỹ thuật chụp MRI
Chụp cộng hưởng từ là phương pháp chẩn đoán hình ảnh hiện đại, không xâm lấn, giúp tái tạo hình ảnh 3D chi tiết của mô và cơ quan bên trong cơ thể. Nhờ tính an toàn và độ chính xác cao, MRI được ứng dụng rộng rãi trên toàn thế giới.
Công nghệ này hoạt động dựa trên nguyên lý sử dụng từ trường mạnh kết hợp với sóng vô tuyến để tác động lên các hạt proton trong cơ thể. Khi từ trường được tạo ra, các proton sắp xếp theo hướng của nó. Sóng vô tuyến sau đó kích thích các proton dịch chuyển khỏi vị trí cân bằng. Khi ngừng phát sóng, các proton trở về trạng thái ban đầu và giải phóng năng lượng. Máy MRI thu nhận tín hiệu này, xử lý dữ liệu và tái tạo hình ảnh chi tiết của các mô và cơ quan nội tạng.
MRI đặc biệt vượt trội trong việc hiển thị rõ nét mô mềm, cơ, dây chằng, gân, não, tủy sống và hệ thần kinh (những chi tiết mà X-quang hay CT scan khó có thể quan sát được). Đặc biệt, phương pháp này không sử dụng bức xạ ion hóa, giúp hạn chế tối đa nguy cơ ảnh hưởng đến sức khỏe. Nhờ những ưu điểm vượt trội, MRI đóng vai trò quan trọng trong chẩn đoán và theo dõi nhiều bệnh lý, đặc biệt là chấn thương khớp như đầu gối, vai cũng như các vấn đề về thần kinh.
Chụp cộng hưởng từ đặc biệt phù hợp để thu được hình ảnh các mô mềm của cơ thể hoặc các bộ phận không phải xương
2. Hình ảnh chụp cộng hưởng từ giúp hỗ trợ phát hiện được những bệnh gì?
2.1. Hình ảnh chụp cộng hưởng từ giúp phát hiện bệnh về não
Các bệnh lý về não thường phức tạp và khó phát hiện nếu chỉ dựa vào các phương pháp chẩn đoán thông thường. Để kịp thời phát hiện tổn thương trong não bộ, việc áp dụng các kỹ thuật chẩn đoán hình ảnh hiện đại, đặc biệt là chụp MRI, là vô cùng cần thiết.
Chụp cộng hưởng từ (MRI) não mang lại hình ảnh sắc nét và chính xác hơn so với các phương pháp như X-quang hay CT scan. Nhờ đó, bác sĩ có thể phát hiện sớm các bệnh lý mãn tính của hệ thần kinh, u não hoặc những bất thường trong cấu trúc não bộ.
Đặc biệt, nếu bệnh nhân có dấu hiệu nghi ngờ đột quỵ, MRI não giúp xác định chính xác vị trí và mức độ tổn thương, từ đó hỗ trợ bác sĩ đưa ra phác đồ điều trị hiệu quả, tăng cơ hội phục hồi cho người bệnh.
2.2. Hình ảnh chụp cộng hưởng từ giúp phát hiện bệnh ung thư
Ung thư là một trong những bệnh lý nguy hiểm, đe dọa trực tiếp đến sức khỏe con người. Căn bệnh này xảy ra khi các tế bào phát triển mất kiểm soát, thậm chí có thể xâm lấn sang các mô và cơ quan khác trong cơ thể.
Nếu bạn thắc mắc chụp cộng hưởng từ (MRI) có thể phát hiện những bệnh gì, thì câu trả lời là ung thư. Thông qua MRI, bác sĩ có thể đánh giá mức độ tổn thương của các cơ quan và sự thay đổi trong chức năng của chúng.
Đặc biệt, hình ảnh từ MRI giúp xác định đặc điểm của khối u, phân biệt giữa u lành tính và ác tính, đồng thời kiểm tra xem liệu khối u đã di căn đến các cơ quan khác hay chưa. Dựa trên kết quả này, bác sĩ sẽ xây dựng phác đồ điều trị phù hợp, giúp kiểm soát bệnh hiệu quả.
Ngoài ra, MRI còn là công cụ hỗ trợ quan trọng trong việc phát hiện và theo dõi các bệnh lý về cột sống, khớp gối, cũng như các khối u, ổ viêm tại mắt, tai – mũi – họng, giúp chẩn đoán chính xác và kịp thời.
Chụp MRI giúp bác sĩ chẩn đoán được nhiều bệnh lý một cách chính xác hơn
2.3. Phát hiện những bệnh lý về cơ xương khớp
Chụp cộng hưởng từ (MRI) là phương pháp tạo ảnh tiên tiến, giúp đánh giá chi tiết toàn bộ cấu trúc của hệ cơ xương khớp. Nhờ khả năng hiển thị rõ nét, MRI giúp phát hiện nhanh chóng các tổn thương liên quan đến xương, cơ, gân, sụn, dây chằng,… Hiện nay, chụp MRI cơ xương khớp thường được chỉ định để chẩn đoán và hỗ trợ điều trị nhiều bệnh lý, bao gồm:
– Viêm xương khớp và viêm mô mềm như cơ, gân, dây chằng.
– Thoái hóa khớp, đứt dây chằng chéo, chấn thương khớp như rách sụn chêm, gãy xương.
– Nhiễm trùng xương khớp.
– Viêm tủy xương.
– Các khối u và tình trạng di căn xương khớp.
– Đau, sưng, phù nề khớp và tứ chi.
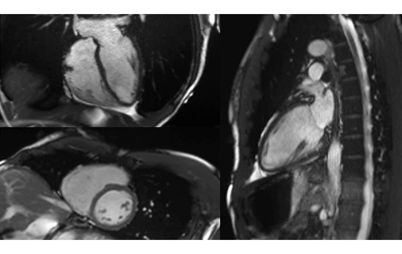
2.4. Ứng dụng chụp MRI trong tim mạch
Chụp cộng hưởng từ (MRI) giúp đánh giá chi tiết về mặt giải phẫu và chức năng của các buồng tim, van tim, cơ tim, cũng như khả năng tưới máu cơ tim. Đối với các bệnh lý mạch máu, MRI đóng vai trò quan trọng trong việc tái tạo hình ảnh hệ thống động mạch, bao gồm động mạch não, động mạch cảnh, động mạch chi, động mạch thận và nhiều mạch máu khác.
Chụp MRI giúp phát hiện nhiều bệnh lý tim mạch
Có thể thấy, chụp cộng hưởng từ (MRI) không chỉ là một bước tiến trong công nghệ y học mà còn là công cụ hỗ trợ đắc lực giúp bác sĩ chẩn đoán chính xác và kịp thời nhiều bệnh lý. Với độ an toàn cao, không xâm lấn và khả năng cung cấp hình ảnh chi tiết về các cơ quan trong cơ thể, MRI ngày càng khẳng định vai trò quan trọng trong việc tầm soát và điều trị bệnh.
Hiện nay, Hệ thống Y tế Thu Cúc TCI là một địa chỉ uy tín trong lĩnh vực chẩn đoán hình ảnh, đặc biệt là chụp cộng hưởng từ (MRI). Với hệ thống máy MRI hiện đại, công nghệ tiên tiến, Thu Cúc TCI giúp mang đến hình ảnh sắc nét, hỗ trợ bác sĩ phát hiện chính xác các bất thường trong cơ thể. Không chỉ có trang thiết bị tối tân, Thu Cúc TCI còn sở hữu đội ngũ bác sĩ giàu kinh nghiệm, tận tâm, giúp khách hàng yên tâm trong suốt quá trình thăm khám. Dịch vụ chuyên nghiệp, thủ tục nhanh gọn, không phải chờ đợi lâu cũng là điểm cộng lớn giúp khách hàng có trải nghiệm thoải mái khi chụp MRI tại đây. Nếu bạn đang tìm kiếm một địa chỉ chụp MRI an toàn, hiệu quả, hãy đến với Thu Cúc TCI để được thăm khám và chăm sóc sức khỏe một cách toàn diện!































