Chụp cắt lớp vi tính lồng ngực (CT lồng ngực) giảm liều
Chụp cắt lớp vi tính lồng ngực (CT lồng ngực) giảm liều là một công cụ chẩn đoán hình ảnh tiên tiến, hỗ trợ “đắc lực” cho các bác sĩ trong công tác thăm khám và sàng lọc bệnh lý. Chụp CT lồng ngực có thể tiêm thuốc cản quang hoặc không. Cùng tìm hiểu chụp CT lồng ngực là gì, chỉ định khi nào, các kỹ thuật và ý nghĩa trong tầm soát ung thư phổi.
1. Chụp CT lồng ngực là gì? Được chỉ định khi nào?
1.1 Chụp cắt lớp vi tính lồng ngực là gì?
Chụp cắt lớp vi tính (CLVT) lồng ngực là kỹ thuật chẩn đoán hình ảnh có sử dụng tia X-quang để chiếu lên lòng ngực của cơ thể theo các lát cắt ngang, kết hợp với máy vi tính để thu được hình ảnh hai hoặc ba chiều của lồng ngực.
Chụp cắt lớp vi tính (CLVT) phổi và lồng ngực giúp đánh giá được tình trạng bệnh lý của xương sườn, màng phổi, nhu mô phổi, phế quản, tim, mạch máu, trung thất…. Dựa vào kết quả hình ảnh chụp cắt lớp vi tính có thể nhìn thấy những bất thường mà không thể phát hiện dễ trên phim chụp X quang tiêu chuẩn thẳng hoặc nghiêng, bởi vì khi chụp X-quang có thể bị các tạng khác chồng lên che khuất. Chính vì vậy, để có thể chẩn đoán chính xác bệnh, bác sĩ cần kết quả giải phẫu trên các lát cắt do chụp CT lồng ngực cung cấp.
Bao gồm phim chụp thẳng và nghiêng, cung cấp hình ảnh trong không gian hai chiều của lồng ngực.
Các kỹ thuật chụp cắt lớp vi tính gồm các loại như:
– Chụp cắt lớp vi tính không tiêm thuốc cản quang
– Chụp cắt lớp vi tính có tiêm thuốc cản quang
– Chụp cắt lớp vi tính độ phân giải cao
– Chụp cắt lớp vi tính đa dãy

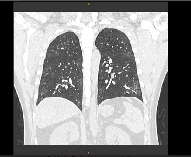
HÌnh ảnh chụp cắt lớp phổi phát hiện tổn thường dạng kính mờ và xơ hóa phổi trên phim chụp CT.
1.2 Chụp cắt lớp vi tính lồng ngực được chỉ định khi nào?
– Chẩn đoán, đánh giá các bệnh lý trung thất: chụp cắt lớp vi tính có vai trò quan trọng trong chẩn đoán, xác định chính xác vị trí, tính chất cấu trúc các tổn thương ở trung thất .
– Định hướng chẩn đoán bệnh và xác định giai đoạn ung thư phổi. Chẩn đoán u thành ngực, u màng phổi .
– Chẩn đoán xác định giãn phế quản, chẩn đoán mức độ và thể của giãn phế quản .
– Chẩn đoán và đánh giá mức độ khí thũng phổi .
– Định hướng chẩn đoán các bệnh nhiễm trùng nhu mô phổi, màng phổi (Các loại viêm phổi, lao phổi, mủ màng phổi .v.v.) .
– Định hướng chẩn đoán bệnh phổi kẽ (Chụp cắt lớp vi tính độ phân giải cao) .
– Chẩn đoán các bệnh mạch máu: phình động mạch chủ, động mạch phổi; nghẽn động mạch phổi .
Chỉ định chụp phim phổi thẳng thường được áp dụng trong trường hợp:
– Chẩn đoán ung thư và các nốt đông đặc của phổi
– Đánh giá quá trình điều trị tích cực
– Phát hiện và chẩn đoán cá bệnh lý phổi và thành ngực
Còn chụp CT lồng ngực phim nghiêng thường chỉ định tổn thường bên nào thì chụp bên đó (đa số là chụp nghiêng bên trái).

Hình ảnh chụp cắt lớp vi tính phổi của BN đến khám hậu COVID-19 tại Thu Cúc TCI.
2. Chụp cắt lớp vi tính lồng ngực giảm liều
Chụp CT lồng ngực giảm liều hay còn gọi là chụp cắt lớp vi tính lồng ngực liều thấp (CT lồng ngực liều thấp) là phương pháp được khuyến cáo sử dụng rộng rãi. Phương pháp này có phần mềm vi tính hỗ trợ diễn giải hình ảnh chụp chính xác và giảm chi phí. Liều chụp thường được đặt ở mức 1mSv/một lần hoặc 2mSv/một lần (so với tiêu chuẩn là 7mSv), giúp làm giảm nguy cơ tiếp xúc tia xạ so với chụp cắt lớp vi tính lồng ngực thông thường.
Chụp CT liều thấp nhưng cho kết quả chẩn đoán chính xác, có giá trị chẩn đoán cao hơn nhiều so với chụp X quang thường quy. Đặc biệt có ý nghĩa trong việc sàng lọc, phát hiện và theo dõi bệnh, nhất là bệnh về phổi như viêm phổi, khối u ở phổi, ung thư phổi và những thay đổi nhỏ nhất ở phổi. Chụp CT liều thấp phổi vẫn có thể xác định chính xác vị trí khối u, kích thước và đánh giá được mức độ xâm lấn của khối u.
Ngoài ra, chụp CT lồng ngực liều thấp cũng được sử đụng dể theo dõi các tổn thương đã có trước đó, vừa để so sánh và đánh giá kết quả điều trị, vừa hạn chế nhiễm xạ cho người bệnh khi phải chụp kiểm tra lại nhiều lần.

Hệ thống Y tế Thu Cúc ứng dụng công nghệ chụp căt lớp vi tính giảm liều, tiên tiến hiện nay.
3. Tầm soát ung thư phổi nhờ chụp cắt lớp vi tính lồng ngực giảm liều
Theo các chuyên gia nhận định, ung thư phổi nếu được phát hiện sớm ở giai đoạn I thì có đến 60-90% bệnh nhân sống được trên 5 năm. Nếu bệnh phát hiện ở giai đoạn muộn thường thời gian sống của người bệnh kéo dài không quá 1 năm.
Hiện nay, tỷ lệ người bệnh tử vong do ung thư phổi ở nước ta vẫn cao là bởi đa số (khoảng 60-70%) bệnh nhân ung thư phổi được phát hiện khi bệnh đã ở giai đoạn muộn, chính vì thế nên thời gian sống của người bệnh sẽ bị rút ngắn lại.
Tầm soát ung thư phổi là phương pháp giúp phát hiện bệnh ở giai đoạn sớm, khi chưa có hoặc chưa rõ các dấu hiệu lâm sàng. Có một số phương pháp chẩn đoán hình ảnh được ứng dụng, nhằm tầm soát phát hiện sớm ung thư phổi như: chụp X quang phổi, xét nghiệm máu tìm dấu ấn ung thư, chụp cắt lớp vi tính lồng ngực liều thấp. Trong đó, chụp cắt lớp vi tính (CT) lồng ngực liều thấp là phương pháp hiệu quả, được khuyến cáo sử dụng rộng rãi để sàng lọc, phát hiện sớm ung thư phổi.
Tuy nhiên, các dấu hiệu trên lâm sàng cũng như hình ảnh tổn thương trên phim chụp chỉ có giá trị gợi ý, để có kết luận chính xác rằng người bệnh có bị ung thư phổi hay không, thì cần làm thêm một số xét nghiệm chuyên sâu hơn như nội soi phế quản sinh thiết, sinh thiết u xuyên thành ngực,… tùy thuộc vào thể trạng và tình trạng bệnh lý của người bệnh.