7 phương pháp chụp X quang răng hiện nay
Có thể nói, răng là một trong những bộ phận quan trọng của con người, giúp nghiền nhỏ thức ăn để dễ dàng tiêu hóa. Do đó, khi răng gặp các tình trạng bệnh lý sẽ ảnh hưởng rất nhiều đến đời sống sinh hoạt hằng ngày. Phương pháp chụp X quang răng sẽ giúp phát hiện sớm ra những vấn đề đó.
1. Định nghĩa hoạt động chẩn đoán hình ảnh răng: Phương pháp chụp X quang
Chụp X quang răng là phương pháp chẩn đoán hình ảnh giúp ghi lại những hình ảnh bên trong khoang miệng của người khám. Hình ảnh thu được sau khi chụp sẽ bao gồm răng, chân răng, tủy, mô mềm, xương hàm,… Nhờ đó, bác sĩ có thể dễ dàng phát hiện các vấn đề về răng miệng như sâu răng, xem xét răng khôn có đang mọc hay không,… cũng như theo dõi tình trạng sức khỏe răng miệng sau khi thực hiện điều trị nha khoa.
2. Khi nào nên thực hiện chẩn đoán hình ảnh răng?
Như đã nói ở trên, chẩn đoán hình ảnh răng miệng có thể giúp phát hiện sớm các vấn đề răng miệng đang gặp phải. Do đó, những người có tiền sử mắc các vấn đề liên quan đến răng miệng nên thực hiện chụp răng thường xuyên để phát hiện sớm cũng như dự phòng những vấn đề ảnh hưởng đến răng.
Ngoài ra, trẻ em ở độ tuổi từ 5-6 tuổi, đang trong thời gian thay răng vĩnh viễn cũng cần thực hiện chẩn đoán hình ảnh răng để kiểm tra tổng quát răng miệng của bé. Chụp răng còn giúp phát hiện những dị tật về răng để kịp thời can thiệp một số biện pháp chỉnh nha phù hợp.
Một số trường hợp bác sĩ sẽ chỉ định chụp X quang răng bao gồm:
– Trước khi thực hiện các biện pháp phẫu thuật răng, cấy ghép răng, nhỏ răng,…
– Trước khi chỉnh nha.
– Khi xuất hiện những cơn đau dai dẳng ở răng.
– Người bệnh được chẩn đoán viêm chân răng, viêm tủy hoặc sâu răng,…
– Các trường hợp bị tổn thương răng miệng như gãy răng, vỡ răng, tổn thương ở xương hàm,…
– Trường hợp người có tình trạng răng mọc lệch, mọc xuyên vào nướu răng,…
– Xuất hiện những bất thường trong khoang miệng: u, mụn nhọt,…
Chẩn đoán hình ảnh răng có thể giúp phát hiện ra tình trạng răng khôn đang mọc
3. Các phương pháp chụp X quang răng
Tùy vào tình trạng bệnh lý cũng như nhu cầu chẩn đoán bệnh lý mà bác sĩ sẽ đưa ra các phương pháp chẩn đoán hình ảnh răng bằng X quang là khác nhau:
3.1. Phương pháp chụp X quang 1 răng
Kỹ thuật chụp X quang 1 răng là một phương pháp chụp răng phổ biến, giúp phát hiện được vị trí chính xác chiếc răng bị tổn thương cũng như tình trạng của các răng xung quanh. Do đó phương pháp này thường được sử dụng trong trường hợp phát hiện răng sâu, lấy tủy răng, trám răng,…
3.2. Chụp X quang vòng quanh răng
Ở phương pháp này, máy chụp sẽ tự động quay xung quanh người khám để chụp được những hình ảnh bên trong khoang miệng. Ưu điểm của chụp X quang vòng quanh răng là bác sĩ có thể đánh giá được những hình ảnh tổng quát về hàm trên và hàm dưới của người chụp. Từ đó, Những bệnh lý răng miệng không thể phát hiện bằng mắt thường hoặc các loại phim nhỏ khác, có thể dễ dàng nhận biết trước máy chụp X quang.
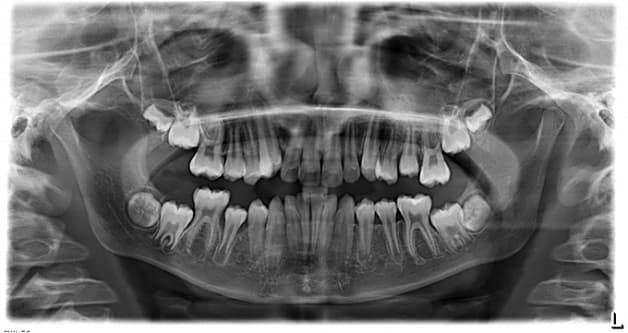
3.3. Chụp X quang răng: Panorama
Bác sĩ sẽ chỉ định thực hiện chụp Panorama hay chụp toàn cảnh răng khi cần kiểm tra toàn bộ khoang miệng. Phương pháp này cho ra hình ảnh chụp sắc nét và độ phân giải cao.
Chụp X quang toàn răng được thực hiện theo các bước:
B1: Một số trường hợp người khám sẽ được yêu cầu mặc áo chì bảo vệ.
B2: Sau khi đã được mặc trang phục chuyên dụng, người khám sẽ đứng trước máy chụp X quang, cắn vào một tấm nhựa được gắn vào máy và đứng yên trong thời gian chụp.
B3: Nhân viên y tế sẽ thực hiện điều chỉnh và cho máy chụp hoạt động.
B4: Máy chụp X quang sẽ di chuyển quanh một vòng xương hàm của người khám trong khoảng 12 – 15 giây.
B5: Người khám sẽ nhận được phim chụp và bác sĩ sẽ thực hiện đọc kết quả.
Ưu điểm của phương pháp chẩn đoán hình ảnh răng này chính là có thể nhìn thấy 2 hàm trên và dưới trong cùng 1 phim, hình ảnh có độ phân giải cao và phù hợp với mọi đối tượng. Ngoài ra, Chụp toàn cảnh răng có thể phát hiện và chẩn đoán nhiều bệnh lý răng miệng khác nhau như răng mọc lệch, áp xe, tổn thương xương hàm,…
Chụp X quang răng cho phép bác sĩ đánh giá được cả hàm trên và hàm dưới trên cùng 1 phim chụp
3.4. Chụp X quang răng 3 chiều
Với sự phát triển của y học như hiện nay, bác nhà nghiên cứu đã thực hiện kết hợp giữa thiết bị X quang quay và thiết bị kỹ thuật số hiện đại để tạo ra phương pháp chụp X quang răng 3 chiều. Công nghệ này có thể giúp bác sĩ đánh giá được những mô mềm, xương hàm, cơ, dây thần kinh và mạch máu,… những cấu trúc mà không thể phát hiện bằng mắt thường hoặc những ảnh chụp X quang nhỏ.
3.5. Chụp X quang cận chóp
Phương pháp chụp X quang quanh chóp hay Periapical được chỉ định khi bác sĩ nghi ngờ người khám mắc các vấn đề răng miệng dưới nướu hoặc trong hàm như khối u, u nang, mụn nhọt,… Phương pháp này giúp cung cấp hình ảnh của toàn bộ hàm răng, từ răng cửa đến gốc răng, xương hỗ trợ của răng,…
3.6. Chụp X quang cánh cắn
Phương pháp chụp X quang cánh cắn giúp bác sĩ đánh giá được hàm trên và hàm dưới nằm cạnh nhau như thế nào, các răng hàm trên và hàm dưới có đang thẳng hàng hay không, khớp cắn có bị lệch hay không.
Ngoài ra phương pháp chụp răng này còn giúp phát hiện tình trạng mất xương ở người bị nhiễm trùng hoặc viêm nướu thể nặng.
3.7. Chụp X quang phim cắn
Chụp X quang cắn hay chụp Occlusal cho ra hình ảnh sàn miệng hoặc vòm miệng, giúp phát hiện được những răng bổ sung, các răng chưa gãy ở nướu, sự phát triển mô bất thường, u nang, tình trạng hở hàm ếch,… Ngoài ra, phương pháp này còn được chỉ định để tìm ra những vật thể lạ trong khoang miệng.
Kỹ thuật chẩn đoán hình ảnh răng không quá phức tạp, tuy nhiên để xử lý những tình huống bệnh lý thì cần phải có đội ngũ bác sĩ giàu kinh nghiệm thực hiện. Vậy nên lựa chọn cơ sở y tế nào giữa rất nhiều cơ sở nha khoa đang mở cửa hiện nay? Hệ thống Y tế Thu Cúc TCI là một trong những địa chỉ y tế uy tín cho bạn lựa chọn. TCI sở hữu các y bác sĩ giỏi, có chuyên môn với nhiều năm kinh nghiệm thăm khám răng hàm mặt. Bên cạnh đó, Thu Cúc TCI còn sở hữu trang thiết bị hiện đại, luôn cập nhật những máy móc tiên tiến, hỗ trợ phát hiện và chẩn đoán những vấn đề răng miệng nhanh chóng và chính xác nhất.
Thu Cúc TCI sở hữu đội ngũ y bác sĩ giàu kinh nghiệm trong việc đọc kết quả và chẩn đoán các vấn đề bệnh lý
Trên đây là những thông tin về 7 phương pháp chụp X quang răng đang được sử dụng phổ biến hiện nay. Hy vọng người đọc sẽ có thêm những kiến thức cũng như lựa chọn được những phương pháp phù hợp với bản thân mình.





















