Loạn dưỡng giác mạc: Dấu hiệu, nguyên nhân, cách điều trị
Loạn dưỡng giác mạc là nhóm rối loạn đặc biệt ở giác mạc, mặc dù tỷ lệ người mắc không cao nhưng đây lại là bệnh có thể gây hại cho sức khỏe thị lực. Tìm hiểu ngay!
1. Tìm hiểu về bệnh loạn dưỡng giác mạc
1.1. Khái niệm
Loạn dưỡng giác mạc (Corneal Dystrophy) là tình trạng giác mạc bị lắng đọng một chất màu trắng đục, dẫn tới mất đi tính trong suốt. Loạn dưỡng ở giác mạc hiện nay được phân thành hơn 20 loại, và thường mang đặc điểm chung là gây suy giảm thị lực. Độ tuổi mắc bệnh chủ yếu là từ 10 cho tới 40, tùy thuộc vào đặc điểm ảnh hưởng tới thị lực của từng loại loạn dưỡng ở mắt.
Có hơn 20 loại loạn dưỡng giác mạc khác nhau. Chúng thường được nhóm thành ba loại:
– Loạn dưỡng biểu mô và dưới biểu mô. Những bệnh này ảnh hưởng đến các lớp ngoài cùng của giác mạc (biểu mô và màng Bowman).
– Bệnh loạn dưỡng giác mạc ở mô nhu mô ảnh hưởng đến nhu mô, là lớp giữa và dày nhất của giác mạc.
– Loạn dưỡng nội mô: ảnh hưởng đến các phần trong cùng của giác mạc (nội mô và màng Descemet). Thoái hóa giác mạc sau phổ biến nhất là thoái hóa Fuchs
Đây là bệnh di truyền, tiến triển từ từ và ảnh hưởng tới sức khỏe thị lực của cả hai mắt. Đặc trưng của bệnh là không gây viêm, không liên quan tới yếu tố môi trường hoặc toàn thân. Tuy vậy, nếu phát hiện muộn, thị lực sẽ suy giảm nghiêm trọng và có thể dẫn tới mù lòa.
Loạn dưỡng giác mạc (Corneal Dystrophy) là tình trạng giác mạc bị lắng đọng một chất màu trắng đục
1.2. Triệu chứng
Hầu hết người mắc loạn dưỡng giác mạc đều gặp phải tình trạng xói mòn giác mạc tái phát. Đây là tình trạng lớp biểu mô ngoài cùng của giác mạc không dính liền vào mắt, khiến người bệnh cảm thấy đau dữ dội và có cảm giác cộm ở mắt.
Ngoài ra, nhạy cảm với ánh sáng, nhìn mờ, thường xuyên nhức mỏi mắt… Lâu dần, người bệnh sẽ thấy thị lực giảm sút nghiêm trọng và có thể mất thị lực khi bệnh ở giai đoạn nặng mà không được điều trị đúng cách.
1.3. Nguyên nhân
Nguyên nhân chính gây nên tình trạng này là do các yếu tố liên quan tới vấn đề di truyền. Hay nói cách khác, loạn dưỡng ở giác mạc có xu hướng gia đình, những người sinh ra trong gia đình có cha mẹ, người thân mắc bệnh thì sẽ có nguy cơ mắc bệnh cao hơn.
Phần lớn, các dạng của bệnh thường di truyền trội trên nhiễm sắc thể thường. Một số trường hợp đặc biệt có thể di truyền lặn trên nhiễm sắc thể thường.
Tỷ lệ người mắc bệnh ở các giới tính như nhau, trừ trường hợp loạn dưỡng nội mô Fuchs ảnh hưởng nhiều tới phụ nữ hơn so với nam giới.
2. Phân loại loạn dưỡng giác mạc
2.1. Loạn dưỡng biểu mô & dưới biểu mô
Loạn dưỡng màng đáy biểu mô
Hay còn được gọi là loạn dưỡng bản đồ, chấm, vân tay, là loại loạn dưỡng phía trước biểu mô thường gặp. Bệnh biểu hiện thành những mảng xám tỏa lan (bản đồ), nang trắng (chấm), hoặc đường mảnh óng ánh (vân tay) ở trên biểu mô giác mạc. Tình trạng này biểu hiện rõ nhất khi chiếu hậu hoặc chiếu một chùm sáng rộng chếch từ phía bên. Người bệnh có thể xuất hiện cảm giác đau do bong tróc giác mạc, thị lực giảm, song thị, nhìn mờ…
Loạn dưỡng màng đáy biểu mô xuất hiện những mảng xám tỏa lan (bản đồ), nang trắng (chấm), hoặc đường mảnh óng ánh (vân tay) ở trên biểu mô giác mạc
Loạn dưỡng Messmann
Tình trạng này khá hiếm gặp, khởi phát ở những năm đầu đời của trẻ nhỏ nhưng biểu hiện rõ nhất khi mọi người tới tuổi trung niên. Khi chiếu hậu sẽ phát hiện thấy các bọng nước biểu mô nhỏ, tách rời, kích thước đồng nhất, hình tròn hoặc bầu dục trong biểu mô giác mạc. Khi tiến triển nặng, bọng nước dịch chuyển dần lên bề mặt giác mạc và gây trợt biểu mô giác mạc khiến người bệnh cảm thấy đau nhức mắt, có cộm và nhạy cảm với ánh sáng.
Loạn dưỡng lớp Bowman
Bệnh di truyền trội ở nhiễm sắc thể thường và xuất hiện từ rất sớm. Các vết đục xuất hiện dưới biểu mô có dạng lưới màu xám, chủ yếu tập trung ở giác mạc trung tâm. Các tổn thương bố trí thành vòng tròn, liên kết với nhau như một cái tổ ong hoặc lưới đánh cá. Khi biểu mô bong tróc, người bệnh sẽ cảm thấy đau nhức, khó chịu ở mắt.
2.2. Các loạn dưỡng nhu mô
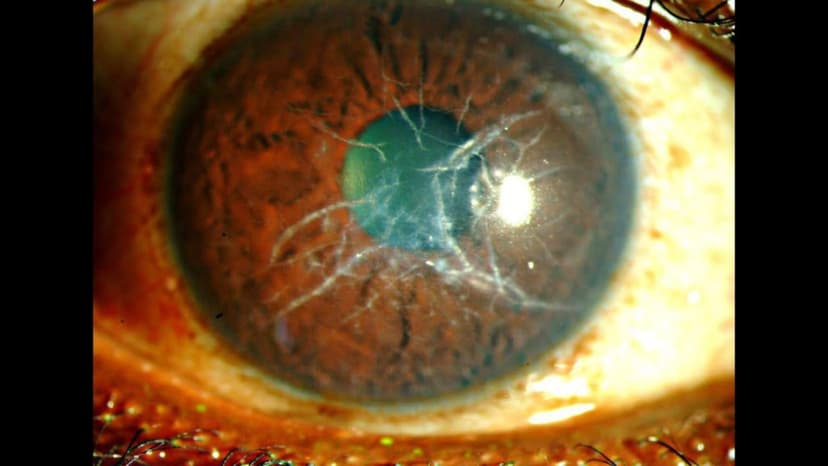
Loạn dưỡng dạng lưới
Bệnh di truyền trội ở nhiễm sắc thể thường, là tình trạng lắng đọng các chất bất thường dạng sợi đan xen vào nhau như lưới, chủ yếu tập trung ở vùng trung tâm giác mạc mắt. Tổn thương thường có xu hướng tiến triển ra trước, đục dần nhu mô giác mạc giữa các tổn thương.
Loạn dưỡng dạng hạt
Bệnh thường xuất hiện ở trẻ nhỏ dưới 10 tuổi nhưng chủ yếu biểu hiện rõ rệt khi trẻ ở độ tuổi trưởng thành. Biểu hiện thành sự lắng đọng chất màu trắng ở nhu mô giác mạc trung tâm, kích thước khác nhau và phân tách rõ, cách nhau bởi những khoảng trong suốt như vụn bánh mì xen kẽ.
Loạn dưỡng dạng vết
Những vết đục màu trắng xám ở nhu mô giác mạc có bờ không rõ đi từ rìa bên này sang rìa bên kia, khoảng gian cách ở giữa mờ đục. Tình trạng đục cũng có thể xảy ra ở toàn bộ chiều dày của nhu mô và nông hơn ở trung tâm, sâu hơn ở chu vi. Bệnh gây suy giảm thị lực muộn, bong tróc biểu mô gây đau.
Loạn dưỡng Schnyder
Bệnh có những tinh thể nhỏ màu trắng vàng ở nhu mô trước, nằm tại giác mạc trung tâm. Sau đó, bệnh xuất hiện đục ở toàn bộ chiều dày trung tâm và một vòng mỡ tuổi già. Bệnh không ảnh hưởng quá lớn tới thị lực nên không cần phải điều trị ngoại khoa.
Loạn dưỡng Schnyder có những tinh thể nhỏ màu trắng vàng ở nhu mô trước, nằm tại giác mạc trung tâm
2.3. Loạn dưỡng màng Descemet và nội mô
Loạn dưỡng nội mô Fuchs
Bệnh di truyền trội ở nhiễm sắc thể thường, xuất hiện khi mọi người ở độ tuổi ngoài 50 với các biểu hiện nhìn mờ, chói mắt. Dấu hiệu điển hình của bệnh là khi khám phát hiện các tổn thương hạt Guttata ở giác mạc với phù nhu mô. Ngoài ra có thể quan sát thấy bụi sắc tố mịn trên nội mô, phù ở biểu mô trung tâm và các bọng nước, nếp gấp ở màng Descemet…
Loạn dưỡng mặt sau đa hình
Biểu hiện với các bọng nước hình đường thẳng hoặc vỏ sò màu xám, không đều nhau. Ngoài ra, còn phát hiện các vấn đề bất thường ở mống mắt, kèm theo phù giác mạc, lệch đồng tử…
Loạn dưỡng nội mô bẩm sinh
Hình thái hiếm gặp, di truyền lặn ở nhiễm sắc thể thường với biểu hiện phù giác mạc hai mắt. Bệnh hình thành từ khi sinh ra, tiến triển chậm và khiến người bệnh thường xuyên gặp phải tình trạng đau, nhạy cảm với ánh sáng.
3. Phương pháp điều trị
Chỉ định điều trị phụ thuộc vào loại bệnh và triệu chứng, mức độ của từng người. Cụ thể:
– Điều trị nội khoa: Điều trị những dấu hiệu hình thành trong quá trình tiến triển hoặc khi có bội nhiễm. Những thuốc thường được dùng là kháng sinh, kháng viêm, bổ sung chất dinh dưỡng giác mạc như Keratin và vitacic và các loại vitamin nhóm A,B,C.
– Điều trị ngoại khoa: Phẫu thuật ghép giác mạc là phương án tối ưu nhất trong việc điều trị các hình thái loạn dưỡng di truyền. Tùy vào tình trạng của người bệnh mà bác sĩ sẽ chỉ định ghép giác mạc xuyên, ghép giác mạc lớp sâu hay là ghép nội mô giác mạc.
– Điều trị bằng gen: Phương pháp này đang trong giai đoạn nghiên cứu với mục đích thay thế gen bệnh bằng các gen lành để cải thiện tình trạng loạn dưỡng ở giác mạc mắt.
– Ngoài ra, người bệnh cũng sẽ phải sinh hoạt với một lối sống lành mạnh và kiểm tra nhãn khoa thường xuyên để đánh giá tình trạng đáp ứng điều trị.
Chỉ định điều trị loạn dưỡng giác mạc phụ thuộc vào loại bệnh và triệu chứng, mức độ của từng người
Có thể thấy rằng, loạn dưỡng giác mạc là một bệnh lý nguy hiểm và ảnh hưởng lớn tới thị lực của người bệnh. Mặc dù tỷ lệ người mắc hiện nay không quá lớn nhưng nếu phát hiện các dấu hiệu bất thường ở mắt, mọi người cần tới ngay các cơ sở y tế để kiểm tra kịp thời.















