Khám và điều trị u tế bào khổng lồ
NGUYÊN NHÂN U TẾ BÀO KHỔNG LỒ
U xương tế bào khổng lồ hay u đại bào là tình trạng có tính chất phản ứng. U xương được hình thành từ những khiếm khuyết về mạch máu xuất huyết tại chỗ trong xương. Kết hợp với sự tác động của một vài yếu tố khác khiến các tế bào bạch cầu đơn nhân biến đổi thành các tế bào khổng lồ và hủy cốt bào.
U tế bào khổng lồ là dạng u xương lành tính
Bệnh gặp nhiều hơn ở người trưởng thành tại các đầu xương lớn như đầu dưới xương đùi, đầu trên xương chày, xương cùng… U tế bào không lồ chiếm khoảng 5 – 10% u xương nguyên phát và gặp nhiều hơn ở nữ giới.
TRIỆU CHỨNG U TẾ BÀO KHỔNG LỒ
- Ở giai đoạn sớm khi khối u còn nhỏ, người bệnh hầu như chưa có triệu chứng rõ rệt.
- Khi tổn thương phá hủy vỏ xương và kích thích màng xương sẽ có thể gây gãy xương bệnh lý. Người bệnh cảm thấy đau từ từ, tăng dần về cường độ và có thể sờ tháy u xương hoặc u mềm tại vị trí thương tổn.
- U tế bào khổng lồ ở gần khớp sẽ khiến người bệnh cảm thấy đau, hạn chế vận động thậm chí tràn dịch khớp.
- U tế bào khổng lồ tại cột sống gây đau thắt lưng, đau cột sống cổ kèm triệu chứng kích thích rễ.
- Ngoài ra, một số trường hợp người bệnh bị u tế bào khổng lồ có triệu chứng ban đầu là gãy xương bệnh lý.
PHƯƠNG PHÁP CHẨN ĐOÁN U TẾ BÀO KHỔNG LỒ
Để chẩn đoán tình trạng u tế bào khổng lồ, bác sĩ có thể chỉ định:
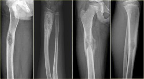
- Chụp X quang: Cho thấy hình ảnh phá hủy thân đốt sống hay xẹp lún đốt sống, hình ảnh u xương tại các vị trí nghi ngờ tổn thương.
- Chụp CT scanner cột sống: Cho thấy hình ảnh hủy thân và hủy của diện khớp bên, cuống sống và gai sau
- Chụp MRI: Đánh giá tình trạng xâm lấm của khối u đến đĩa đệm và hệ thống dây chằng…
Chụp CT scanner giúp phát hiện và chẩn đoán u tế bào khổng lồ
ĐIỀU TRỊ U TẾ BÀO KHỔNG LỒ
U tế bào khổng lồ chủ yếu cần điều trị bằng phẫu thuật. Đối với phương pháp điều trị nội khoa chỉ có thể giảm nhẹ triệu chứng và hỗ trợ điều trị. Cụ thể là:
- Điều trị nội khoa: Thuốc giảm đau paracetamol hoặc kết hợp cùng codein hoặc tramadol và thuốc kháng viêm không chứa steroid giúp người bệnh giảm đau, kháng viêm. Xem xét truyền tĩnh mạch bisphosphonate để giảm nhẹ triệu chứng và hạn chế tái phát.
- Phẫu thuật: Nạo vét khối u, cắt bỏ khối u và tạo hình xương
- Xạ trị: Nếu khối u nằm ở vị trí khó can thiệp được bằng phẫu thuật hoặc kết hợp nhiều bệnh lý nặng thì có thể xạ trị
ĐIỀU TRỊ U TẾ BÀO KHỔNG LỒ TẠI BỆNH VIỆN THU CÚC
Khi khám và điều trị u tế bào khổng lồ tại Bệnh viện Thu Cúc, người bệnh sẽ được:
- Thăm khám và điều trị bởi đội ngũ bác sĩ có trình độ chuyên môn cao, giàu kinh nghiệm
- Thực hiện khám và điều trị bằng hệ thống máy móc, trang thiết bị hiện đại, nhập khẩu nước ngoài
- Áp dụng mức giá khám chữa bệnh hợp lý cùng thanh toán BHYT, bảo hiểm phi nhân thọ theo đúng quy định.
- Hệ thống đặt lịch tiện lợi qua tổng đài 1900 55 88 92
Phẫu thuật u tế bào khổng lồ tại Bệnh viện Thu Cúc
Ý KIẾN NGƯỜI BỆNH
“Mẹ tôi bị u tế bào khổng lồ ở chân và được bác sĩ chỉ định phẫu thuật tại viện. Hiện tại, tình hình mẹ tôi đã ổn và đang tập luyện để sớm đi lại bình thường. Bệnh viện còn thanh toán bảo hiểm y tế nên gia đình cũng không phải lo quá nhiều tiền để chữa trị. Cảm ơn bệnh viện và các bác sĩ rất nhiều” Thu Trang – Mai Dịch, Cầu Giấy.















