Cấp cứu:0901793122
English
Bệnh Viện Đa Khoa Quốc Tế Thu Cúc | TCI Hospital
Chăm sóc sức khoẻ trọn đời cho bạn
Tổng đài1900558892
Bệnh trẻ em

Bệnh trẻ em

Trang chủ/Sống khỏe/Bệnh trẻ em
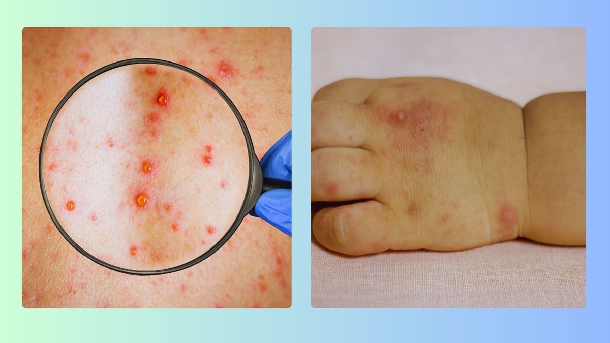
Các triệu chứng nhiễm trùng máu ở trẻ em

Các triệu chứng nhiễm trùng máu ở trẻ em

Nhiễm trùng máu là tình trạng nguy hiểm, đặc biệt ở trẻ nhỏ do hệ miễn dịch còn non yếu và bệnh có thể tiến triển rất nhanh. Việc nhận biết sớm triệu chứng nhiễm trùng máu ở trẻ em giúp cha mẹ kịp thời đưa trẻ đi cấp cứu, từ đó tăng cơ hội […]
Trẻ bị nhiễm trùng máu có nguy hiểm không?

Trẻ bị nhiễm trùng máu có nguy hiểm không?

Nhiễm trùng máu là tình trạng nghiêm trọng, có thể tiến triển nhanh và gây tổn thương nhiều cơ quan nếu không được phát hiện sớm. Hiểu đúng trẻ bị nhiễm trùng máu có nguy hiểm không, dấu hiệu cảnh báo và tầm quan trọng của điều trị kịp thời sẽ giúp cha mẹ chủ […]
Nhiễm trùng máu ở trẻ em có chữa được không?

Nhiễm trùng máu ở trẻ em có chữa được không?

Nhiễm trùng máu ở trẻ em là tình trạng nguy hiểm khiến nhiều cha mẹ lo lắng. Thực tế, bệnh hoàn toàn có khả năng điều trị nếu được phát hiện sớm, xử trí đúng và theo dõi sát sao tại cơ sở y tế chuyên khoa. Việc hiểu rõ nhiễm trùng máu ở trẻ […]
Có nên dùng thuốc tăng sức đề kháng đường hô hấp cho trẻ?

Có nên dùng thuốc tăng sức đề kháng đường hô hấp cho trẻ?

Thuốc tăng sức đề kháng đường hô hấp cho trẻ được nhiều phụ huynh quan tâm. Tuy nhiên, việc sử dụng các sản phẩm này cần hết sức thận trọng vì không phải loại nào cũng phù hợp với thể trạng của trẻ và dễ bị ảnh hưởng đến hệ miễn dịch nếu dùng không […]
Đặc điểm viêm đường hô hấp trên ở trẻ em

Đặc điểm viêm đường hô hấp trên ở trẻ em

Viêm đường hô hấp trên ở trẻ em là bệnh lý rất phổ biến, đặc biệt khi thời tiết thay đổi hoặc trẻ đi học, tiếp xúc nhiều. Nhận biết rõ các đặc điểm của bệnh sẽ giúp cha mẹ theo dõi đúng, chăm sóc kịp thời và phòng tránh biến chứng nguy hiểm cho […]
Nhiễm trùng phổi ở trẻ em có nguy hiểm không?

Nhiễm trùng phổi ở trẻ em có nguy hiểm không?

Theo thống kê của Unicef, cứ mỗi 43 giây lại có ít nhất một trẻ em tử vong vì nhiễm trùng phổi. Hầu hết các trường hợp tử vong này đều có thể phòng ngừa được. Vậy nhiễm trùng phổi ở trẻ em có nguy hiểm không? Những em bé bị nhiễm trùng phổi sẽ […]
Các kháng sinh viêm đường hô hấp trên cho trẻ

Các kháng sinh viêm đường hô hấp trên cho trẻ

Kháng sinh viêm đường hô hấp trên cho trẻ chỉ được sử dụng trong những trường hợp nhiễm khuẩn do vi khuẩn và cần có chỉ định của bác sĩ. Việc dùng đúng thuốc, đúng liều và đúng thời gian giúp điều trị hiệu quả, hạn chế biến chứng và ngăn ngừa kháng kháng sinh. […]
Trẻ uống vitamin D3 có bị táo bón không?

Trẻ uống vitamin D3 có bị táo bón không?

Vitamin D3 giữ vai trò quan trọng trong việc hỗ trợ hấp thu canxi, giúp trẻ phát triển hệ xương – răng chắc khỏe và nâng cao sức đề kháng. Chính vì vậy, việc bổ sung vitamin D3 cho trẻ nhỏ ngày càng được nhiều cha mẹ chú trọng. Tuy nhiên, không ít phụ huynh […]
Giải đáp: Trẻ uống kẽm có bị táo bón không?

Giải đáp: Trẻ uống kẽm có bị táo bón không?

Kẽm là vi chất thiết yếu giúp trẻ tăng trưởng, nâng cao miễn dịch và hỗ trợ tiêu hóa. Tuy nhiên, nhiều phụ huynh vẫn băn khoăn trẻ uống kẽm có bị táo bón không, đặc biệt khi trẻ xuất hiện các dấu hiệu rối loạn tiêu hóa sau bổ sung. Thực tế, tình trạng […]
Trẻ táo bón rặn không ra phải làm sao?

Trẻ táo bón rặn không ra phải làm sao?

Tình trạng trẻ đi ngoài khó khăn, mặt đỏ bừng và quấy khóc vì đau đớn là nỗi ám ảnh của nhiều bậc phụ huynh. Khi thấy con đau đớn, câu hỏi thường trực nhất của cha mẹ là trẻ táo bón rặn không ra phải làm sao để xử lý nhanh và an toàn? […]
Lý do nước tiểu có mùi khai nồng nặc ở trẻ em

Lý do nước tiểu có mùi khai nồng nặc ở trẻ em

Nước tiểu có mùi khai nồng nặc ở trẻ em là dấu hiệu khiến nhiều bậc phụ huynh lo lắng, bởi nó không chỉ phản ánh chế độ ăn uống hằng ngày mà còn có thể liên quan đến tình trạng mất nước, nhiễm trùng đường tiết niệu hoặc rối loạn chuyển hóa. Việc nhận […]
Các dấu hiệu dậy thì sớm ở bé trai

Các dấu hiệu dậy thì sớm ở bé trai

Dậy thì là một quá trình phát triển sinh lý đầy tự nhiên, trở thành dấu hiệu cho sự hoàn thiện về thể chất và chức năng về sinh sản. Tuy nhiên, quá trình này cũng cần được diễn ra theo đúng quy trình, nguyên tắc sinh học đối với từng giới tính. Đối với […]
Dấu hiệu bệnh Lupus ban đỏ ở trẻ em

Dấu hiệu bệnh Lupus ban đỏ ở trẻ em

Lupus ban đỏ ở trẻ em là bệnh tự miễn hiếm gặp nhưng có thể gây ảnh hưởng nghiêm trọng nếu không được phát hiện sớm. Dấu hiệu bệnh Lupus ban đỏ ở trẻ em thường không rõ ràng, dễ nhầm với nhiễm trùng hoặc rối loạn miễn dịch thông thường. Nhận biết sớm các […]
Trẻ sơ sinh bị táo bón phải làm sao?

Trẻ sơ sinh bị táo bón phải làm sao?

Trẻ quấy khóc, rặn đỏ mặt nhưng phân lại khô cứng khiến nhiều ba mẹ hoang mang không biết trẻ sơ sinh bị táo bón phải làm sao để bé dễ chịu hơn mà vẫn an toàn. Bài viết dưới đây sẽ giúp ba mẹ nhận diện nhanh nguyên nhân thường gặp, hướng xử trí […]
Các tác hại của dậy thì sớm ở trẻ

Các tác hại của dậy thì sớm ở trẻ

Dậy thì là một cột mốc sinh lý tự nhiên, nhưng khi quá trình này bắt đầu quá sớm so với lứa tuổi, trẻ có thể phải đối mặt với nhiều hệ lụy về thể chất lẫn tâm lý. Trên thực tế, các tài liệu y khoa ghi nhận dậy thì sớm có thể khiến […]
Trẻ dậy thì sớm khi nào cần điều trị?

Trẻ dậy thì sớm khi nào cần điều trị?

Không ít phụ huynh hoang mang khi con xuất hiện dấu hiệu dậy thì sớm và lập tức nghĩ đến việc “phải dùng thuốc ngay”. Thực tế, không phải mọi trường hợp dậy thì sớm đều cần điều trị. Quyết định can thiệp phụ thuộc vào loại dậy thì sớm, tốc độ tiến triển, mức […]
1900558892
zaloChat