Các phương pháp siêu âm tim thông liên nhĩ phổ biến
Thông liên nhĩ là một dị tật bẩm sinh ở tim. Để chẩn đoán chính xác bệnh, các bác sĩ phải tiến hành nhiều xét nghiệm, trong đó có các phương pháp siêu âm tim thông liên nhĩ. Hiện nay, siêu âm tim xác định thông liên nhĩ bẩm sinh bao gồm các kỹ thuật như siêu âm Doppler tim, siêu âm qua thực quản và siêu âm cản âm.
1. Các phương pháp siêu âm tim thông liên nhĩ chẩn đoán bệnh
Thông liên nhĩ là một dị tật bẩm sinh của tim, trong đó có một lỗ trên vách (vách ngăn) phân chia các buồng trên (tâm nhĩ) của tim. Những lỗ thông kích thước nhỏ có thể tự đóng lại theo thời gian. Tuy nhiên lỗ thông lớn thường không tự đóng mà gây quá tải thể tích cho thất phải và nhĩ phải, làm tăng áp lực động mạch phổi, tăng sức cản động mạch phổi, phì đại thất phải; làm nhịp tim nhanh, cuồng nhĩ, rung nhĩ…Thông liên nhĩ có thể cho phép huyết khối đi từ tĩnh mạch sang động mạch hệ thống (thuyên tắc ngược) gây tắc động mạch (ví dụ như đột quỵ).
1.1. Siêu âm tim thông liên nhĩ bằng phương pháp Doppler tim
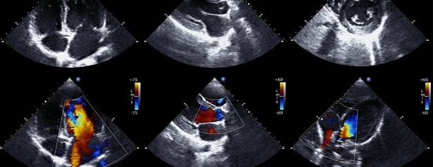
Siêu âm tim Doppler là một kỹ thuật hình ảnh dùng để đánh giá kích thước lỗ thông liên nhĩ cũng như định hướng phương pháp điều trị thích hợp.
Kỹ thuật cũng được dùng để phác thảo các cấu trúc của tim, các buồng, van của tim và các mạch máu chính lân cận. Nó cũng giúp bác sĩ có thể hình dung và phân tích các chuyển động của mô tim và lưu lượng máu. Nhờ siêu âm tim Doppler, lượng máu chảy, tốc độ, hướng đi và những bất thường có thể xảy ra ở trái tim được phát hiện.
Thông thường, siêu âm tim Doppler được thực hiện bằng cách sử dụng một đầu dò đi qua ngực. Nó không gây đau đớn và vô hại cho cơ thể. Kỹ thuật này có thể được thực hiện ở mọi lứa tuổi.
Trên siêu âm tim Doppler, bác sĩ có thể xác định được vị trí, kích thước lỗ thông liên nhĩ, chiều shunt, áp lực động mạch phổi, sự liên quan giữa lỗ thông và các bộ phận xung quanh. Từ đó đánh giá mức độ thông liên nhĩ của người bệnh và có hướng điều trị phù hợp.
Ngoài dùng để chẩn đoán thông liên nhĩ, siêu âm Doppler còn được dùng trong một số căn bệnh như bệnh van tim, suy tim, huyết áp cao, dị tật tim, các bệnh về cơ tim và màng ngoài tim, đau thắt ngực hoặc phổi. tăng huyết áp động mạch. Siêu âm tim Doppler cũng được sử dụng để theo dõi y tế sau một số điều trị: lắp van giả, dùng thuốc gây độc cho tim…
Siêu âm tim xác định thông liên nhĩ bẩm sinh bao gồm các kỹ thuật Doppler tim, siêu âm qua thực quản và siêu âm cản âm
1.2. Siêu âm tim thông liên nhĩ qua thực quản
Siêu âm tim thông liên nhĩ qua thực quản được áp dụng cho các trường hợp thông liên nhĩ mà siêu âm qua thành ngực còn chưa rõ. Hoặc khi bác sĩ muốn đánh giá chính xác các gờ của lỗ thông, để xem xét liệu có thể can thiệp bít lỗ thông được hay không.
Siêu âm tim qua thực quản là một cuộc kiểm tra xâm lấn, được lựa chọn để đánh giá giải phẫu của van hai lá và để hướng dẫn một số thủ thuật được thực hiện trên van.
Thực quản nằm ngay sau tim, tiếp xúc trực tiếp với tâm nhĩ trái. Cách tiếp cận này cho phép hình dung rất chi tiết các cấu trúc sau tim, đặc biệt là các van tim.
Khi thực hiện siêu âm tim thông liên nhĩ qua thực quản, bệnh nhân sẽ được gây mê toàn thân. Việc tiến hành được thực hiện bởi bác sĩ chuyên khoa tim mạch với sự hỗ trợ của y tá chuyên khoa. Tổng thời lượng cuộc kiểm tra khoảng 60 phút, trong đó 15 đến 20 phút dành riêng cho việc thu nhận hình ảnh.
Sau khi kiểm tra xong, bệnh nhân vẫn được theo dõi cho đến khi hết tác dụng của thuốc mê. Ngay sau khi nước bọt có thể được nuốt trở lại, người bệnh có thể uống nước và ăn uống. Do ảnh hưởng thuốc an thần, bệnh nhân không được phép lái xe trong 24 giờ sau khi khám.
Thông liên nhĩ có thể cho phép huyết khối đi từ tĩnh mạch sang động mạch hệ thống (thuyên tắc ngược) gây tắc động mạch (ví dụ như đột quỵ).
Ngoài đánh giá tình trạng thông liên nhĩ, siêu âm tim qua thực quản còn dùng trong các trường hợp:
– Đánh giá tình trạng hẹp hoặc suy van hai lá
– Đánh giá hẹp eo động mạch chủ để thay van động mạch chủ hoặc đánh giá tình trạng suy động mạch chủ
– Kiểm tra nhiễm trùng van tim (viêm nội tâm mạc)
– Kiểm tra cục máu đông trong tim
– Đánh giá dị tật trong tim
– Đánh giá động mạch chủ ngực (tìm túi phình hoặc bóc tách động mạch chủ)
1.3. Siêu âm tim cản âm
Siêu âm tim cản âm rất hữu ích cho việc chẩn đoán xác định và loại trừ các bất thường bẩm sinh phối hợp khác.
Bác sĩ sẽ đưa vào mạch máu chất làm cản âm, bản chất là các hạt bọt khí mang kích thước vô cùng nhỏ từ 2 đến 6μm (nhỏ hơn hồng cầu) dễ lưu thông trong mạch máu. Từ đó làm nên độ tương phản trong hình ảnh siêu âm. Giúp bác sĩ dễ dàng phát hiện cấu trúc trái tim, cùng dòng chảy thăm dò việc siêu âm cho tim (qua thực quản, thành ngực) tăng sự chính xác trong siêu âm.
Hiện tại siêu âm tim cản âm được chỉ định trong các trường hợp:
– Bệnh tim bẩm sinh: Thông liên nhĩ, thông liên thất, truy tìm shunt trong buồng tim,mạch máu…
– Xác định cấu trúc của tim, hoạt động thành tim
– Kiểm tra tình trạng việc tưới máu lên cơ tim
Bác sĩ có thể phối hợp với các phương pháp khác để đánh giá mức độ lỗ thông như: chụp X-quang, điện tâm dồ
2. Các phương pháp điều trị thông liên nhĩ
Một lỗ thông liên nhĩ nhỏ không gây phì đại buồng tim phải thì không cần điều trị. Nếu có triệu chứng hoặc giãn các buồng tim phải thì nên đóng thông liên nhĩ. Các lựa chọn điều trị cho trẻ em có lỗ thông liên nhĩ lớn có thể bao gồm:
– Thông tim: Đối với thủ thuật này, một thiết bị hình chiếc ô đóng vai trò như một miếng dán được đưa vào tim qua tĩnh mạch chân bằng một ống thông, sau đó thiết bị này được mở ra để đóng lỗ thông. Bằng cách này, lỗ thông được đóng lại mà không cần phẫu thuật.
– Phẫu thuật: Nếu lỗ thông liên nhĩ quá lớn ở khu vực mà việc đặt ống thông không có kết quả, hoặc nếu trẻ mắc các dị tật tim khác, có thể phải phẫu thuật để đóng lỗ thông. Bệnh viện chuyên môn về tim mạch có thể sử dụng phương pháp xâm lấn tối thiểu để phẫu thuật đóng lỗ thông liên nhĩ, do đó vết sẹo nhỏ hơn và nhanh lành hơn. Việc phẫu thuật có thể được thực hiện ở xương ức hoặc ở mặt trước và mặt bên với một lỗ nhỏ giữa các xương sườn.
Ngoài siêu âm tim thông liên nhĩ bằng 2 phương pháp nói trên, bác sĩ có thể phối hợp với các phương pháp khác để đánh giá mức độ lỗ thông như:
– Chụp X-quang ngực: Để xác nhận một số dấu hiệu gián tiếp như giãn nhĩ phải, giãn thất phải và động mạch phổi
– Điện tâm đồ: Bác sĩ sẽ thấy dấu hiệu tăng gánh thất phải, block nhánh phải













