Viêm teo niêm mạc dạ dày C2 là gì và mức độ nguy hiểm
Nhiều người sau khi nội soi nhận kết quả viêm teo niêm mạc dạ dày C2 nhưng chưa hiểu rõ ý nghĩa của mức phân loại này. Vậy viêm teo niêm mạc dạ dày C2 là gì, có nguy hiểm không và cần theo dõi thế nào? Đây là tình trạng cần được đánh giá đúng vì có liên quan đến nguy cơ tiền ung thư dạ dày.
1. Viêm teo niêm mạc dạ dày C2 là gì?
Viêm teo niêm mạc dạ dày là tình trạng niêm mạc dạ dày bị viêm kéo dài khiến lớp niêm mạc mỏng dần, suy giảm khả năng tiết chất nhầy bảo vệ và dễ tổn thương hơn trước các tác nhân gây hại.
Để đánh giá tổn thương, bác sĩ thường sử dụng hệ thống phân loại Kimura – Takemoto dựa trên hình ảnh nội soi. Theo đó, viêm teo niêm mạc dạ dày C2 là gì? Đây là ký hiệu dùng để mô tả tình trạng teo niêm mạc lan từ vùng hang vị lên đến một phần thân dạ dày.
Trên thực tế, viêm teo niêm mạc dạ dày C2, viêm teo niêm mạc dạ dày Kimura C2, teo niêm mạc dạ dày C2, teo niêm mạc dạ dày mức C2 hay teo niêm mạc dạ dày Kimura C2 đều là những cách gọi liên quan đến cùng một tình trạng được ghi nhận khi nội soi.
Trong một số trường hợp, kết quả có thể ghi thêm chuyển sản viêm teo niêm mạc dạ dày Kimura C2 nếu niêm mạc teo xuất hiện biến đổi dạng chuyển sản ruột kèm theo. Vì vậy, khi được chẩn đoán bệnh viêm teo niêm mạc dạ dày C2, người bệnh nên tái khám và theo dõi theo hướng dẫn của bác sĩ.

2. Viêm teo dạ dày C2 là nặng hay nhẹ? Triệu chứng thường gặp
Theo phân loại Kimura – Takemoto, tình trạng teo niêm mạc dạ dày được chia thành 6 mức gồm C1, C2, C3, O1, O2 và O3. Trong đó, viêm teo niêm mạc dạ dày C2 thuộc nhóm mức độ nhẹ, nhưng đã tiến triển hơn C1 và cần theo dõi để tránh lan rộng sang các giai đoạn nặng hơn.
Ở teo niêm mạc dạ dày C2, vùng teo thường bắt đầu từ hang vị và lan dần lên thân vị, nhưng chưa vượt quá phần dưới của thân dạ dày. Điều này cho thấy tổn thương đã có sự mở rộng nhất định, dù chưa phải mức nặng.
Người mắc bệnh viêm teo niêm mạc dạ dày C2 có thể không có triệu chứng rõ ràng, hoặc chỉ xuất hiện các biểu hiện dễ nhầm với viêm dạ dày thông thường như:
- Đầy bụng, khó tiêu sau ăn
- Đau âm ỉ hoặc nóng rát vùng thượng vị
- Ăn nhanh no, chán ăn
- Ợ hơi, ợ chua
- Buồn nôn nhẹ
- Mệt mỏi kéo dài nếu hấp thu kém
Do triệu chứng thường không điển hình, nhiều trường hợp viêm teo niêm mạc dạ dày C2 chỉ được phát hiện khi nội soi kiểm tra định kỳ hoặc thăm khám vì rối loạn tiêu hóa kéo dài.
3. Viêm teo dạ dày C2 có đi kèm chuyển sản ruột không? Có nguy cơ ung thư không?
Viêm teo niêm mạc dạ dày C2 có thể đi kèm chuyển sản ruột, tức tình trạng tế bào niêm mạc dạ dày bị thay thế bởi tế bào có đặc điểm giống niêm mạc ruột. Đây là biến đổi thường gặp trong quá trình viêm teo kéo dài và được xem là yếu tố nguy cơ tiền ung thư.
Ngoài chuyển sản ruột, một số trường hợp còn có thể xuất hiện loạn sản tế bào – Mức độ biến đổi bất thường cao hơn của niêm mạc dạ dày.
Vì vậy, teo niêm mạc dạ dày C2 có thể làm tăng nguy cơ ung thư dạ dày so với người bình thường, đặc biệt khi kèm nhiễm HP kéo dài, hút thuốc lá, tiền sử gia đình ung thư dạ dày hoặc có chuyển sản ruột rõ rệt.
Tuy nhiên, không phải mọi trường hợp viêm teo niêm mạc dạ dày C2 đều tiến triển thành ung thư. Đây là lý do người bệnh được khuyến nghị điều trị nguyên nhân và nội soi tái khám định kỳ để theo dõi, tầm soát sớm các biến đổi bất thường nếu có.

4. Chẩn đoán viêm teo dạ dày C2 như thế nào?
Để chẩn đoán chính xác viêm teo niêm mạc dạ dày C2, bác sĩ có thể chỉ định kết hợp nhiều phương pháp thăm khám và xét nghiệm. Trong đó, nội soi dạ dày là bước quan trọng nhất.
- Nội soi dạ dày: Giúp quan sát trực tiếp niêm mạc dạ dày, xác định phạm vi teo và phân loại theo hệ thống Kimura – Takemoto. Đây là phương pháp chính để nhận biết viêm teo niêm mạc dạ dày C2.
- Xét nghiệm máu: Định lượng pepsinogen I hoặc tỷ lệ PG I/II có thể hỗ trợ phát hiện teo niêm mạc từ giai đoạn sớm, kể cả khi triệu chứng chưa rõ ràng.
- Xét nghiệm phân: Giúp tìm kháng nguyên H. pylori, hỗ trợ chẩn đoán nhiễm khuẩn HP đang hoạt động – Một nguyên nhân thường gặp gây viêm teo dạ dày.
- Sinh thiết mô bệnh học: Lấy mẫu niêm mạc trong lúc nội soi để đánh giá mức độ viêm, teo tuyến, chuyển sản ruột hoặc tế bào tiền ung thư.
Trong các phương pháp trên, nội soi kết hợp sinh thiết có giá trị cao nhất trong chẩn đoán và theo dõi teo niêm mạc dạ dày C2.
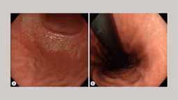
5. Hình ảnh nội soi điển hình của viêm teo niêm mạc dạ dày C2
Trên nội soi, viêm teo niêm mạc dạ dày C2 thuộc nhóm teo dạng kín (Closed type) theo phân loại Kimura – Takemoto, nghĩa là ranh giới teo vẫn nằm chủ yếu ở bờ cong nhỏ của dạ dày.
Ở thể này, tổn thương thường bắt đầu từ vùng hang vị, sau đó lan dần lên phía trước dạ dày và kéo sang bờ cong nhỏ, tạo thành một đường teo khép kín tương đối đối xứng. Đường ranh giới teo niêm mạc thường cong dạng parabol ở góc bờ cong nhỏ.
Một số dấu hiệu nội soi thường gặp của teo niêm mạc dạ dày Kimura C2 gồm:
- Niêm mạc mỏng hơn bình thường
- Màu niêm mạc nhợt hoặc vàng nhạt
- Mạch máu dưới niêm mạc nhìn rõ hơn
- Giảm hoặc mờ nếp niêm mạc
- Vùng teo lan đến thân vị nhưng chưa vượt quá 1/2 dưới thân vị dạ dày
So với C1, teo niêm mạc dạ dày C2 đã có mức độ lan rộng hơn, tuy vẫn thuộc nhóm nhẹ và cần được theo dõi định kỳ để hạn chế tiến triển nặng hơn.

Viêm teo niêm mạc dạ dày C2 cần được theo dõi định kỳ vì có thể đi kèm chuyển sản ruột và tăng nguy cơ tiến triển nặng hơn theo thời gian. Trong các phương pháp chẩn đoán, nội soi là phương pháp quan trọng giúp phát hiện sớm các biến đổi bất thường trong ống tiêu hóa, trong đó có viêm teo niêm mạc dạ dày.
Tuy nhiên, thực tế, tình trạng “bỏ sót ung thư ống tiêu hóa” vẫn có thể xảy ra, tức lần nội soi trước chưa phát hiện tổn thương nhưng trong 3 năm sau lại chẩn đoán ung thư. Tỷ lệ bỏ sót ung thư tiêu hóa trên được ghi nhận khoảng 6 – 11,3%, còn polyp đại trực tràng có thể tới 20 – 47%, trong đó nguyên nhân hàng đầu là tổn thương quá nhỏ, khó nhận biết. Tại Thu Cúc TCI, công nghệ nội soi siêu phóng đại cấp độ tế bào – Endocyto 520x, lần đầu tiên có mặt tại Việt Nam và duy nhất bởi TCI, cho phép phóng đại hình ảnh tới 520 lần, hỗ trợ quan sát bất thường ngay ở cấp độ tế bào. Nhờ đó, bác sĩ có thể tăng khả năng phát hiện sớm tổn thương nhỏ, nâng cao độ chính xác chẩn đoán, định hướng sinh thiết tốt hơn và giảm sinh thiết không cần thiết. Chủ động kiểm tra sớm với công nghệ hiện đại là cách hiệu quả để bảo vệ sức khỏe dạ dày lâu dài.






















