Tìm hiểu về bệnh phình đại tràng
Bệnh phình đại tràng là bệnh bẩm sinh thường gặp ở trẻ. Đây là một trong những nguyên nhân gây tắc ruột ở trẻ sơ sinh. Nếu không phát hiện và điều trị sớm sẽ rất nguy hiểm. Vì thế bài viết dưới đây sẽ giúp độc giả tìm hiểu về bệnh phình đại tràng.
1. Khái niệm bệnh phình đại tràng
Bệnh phình đại tràng là hiện tượng đại tràng bị giãn ra do thiếu các tế bào thần kinh trong cơ ruột già. Dẫn tới tình trạng giảm nhu động, tắc nghẽn ruột già. Phần ruột sau chỗ tắc nghẽn bị phình lên, gây căng trướng bụng. Ruột có nhiều thời gian tái hấp thu nước nên phân khô, đại tiện bất thường và dễ táo bón kinh niên.
Phình đại tràng cần được phát hiện sớm để theo dõi và điều trị kịp thời. Đây là bệnh bẩm sinh gặp ở một số trẻ sơ sinh, với tỷ lệ bé trai nhiều hơn bé gái.
Bệnh phình đại tràng hay gặp ở trẻ sơ sinh
2. Phân loại phình đại tràng
Dựa vào chiều dài đoạn ruột bị phòng bất thường mà người ta chia bệnh thành 4 loại:
– Loại ngắn: Chỉ ảnh hưởng đến trực tràng
– Loại trung bình: Ảnh hưởng đến cả trực tràng và đại tràng xích ma (chiếm khoảng 80% các trường hợp)
– Loại dài: Ảnh hưởng từ trực tràng đến ruột nằm phía trên đại tràng xích ma.
– Loại toàn bộ: Ảnh hưởng toàn bộ đại tràng.
2. Nguyên nhân gây phình đại tràng
Có rất nhiều nguyên nhân khác nhau gây ra bệnh phình đại tràng bẩm sinh:
– Do di truyền: Bệnh phình đại tràng bẩm sinh có thể do di truyền. Nếu trong gia đình có một người con bị bệnh thì trong tương lai, một người con khác cũng có nguy cơ cao bị bệnh.
– Do thuốc: Morphin, Codein, Risperidone (thuốc điều trị bệnh tâm thần)
– Do nhiễm độc: Chủ yếu gặp trong bệnh viêm loét đại tràng, viêm đại tràng màng giả. Đ
– Do các nguyên nhân khác: Tổn thương thần kinh nặng (teo não, chấn thương tủy sống), phù niêm do suy giáp, xơ cứng da, thoái hóa tinh bột và táo bón mạn tính.
3. Dấu hiệu nhận biết bệnh phình đại tràng
Thông thường khi mắc phình đại tràng, trẻ sẽ có các triệu chứng như:
– Ở trẻ mới sinh, bụng trướng căng, không đi phân su sau hơn 24 giờ hoặc chỉ đại tiện khi dùng ống thông đưa vào hậu môn kích thích.
– Trẻ nôn nhiều do bụng trướng, có dấu hiệu mất nước. Khi được kích thích hậu môn bằng ống thông, trẻ đi phân nhiều như tháo nút tắc ở cống nước.
– Ở trẻ lớn trên 1 tuổi có biểu hiện táo bón kéo dài nhiều và bụng trướng. Trẻ không tự đại tiện được mà phải tháo thụt, kích thích.
– Phân không thành khuôn, có mùi rất thối và màu đen (do vi khuẩn tích tụ lại lên men).
– Trẻ gầy sút, thường xuyên đau bụng, kém ăn, suy dinh dưỡng.
– Trẻ sốt cao, đi ngoài phân có máu, nhịp tim đập nhanh.
Tuy nhiên, không phải bất cứ trẻ nào sau khi sinh 24 giờ không đại tiện được đều là bị phình đại tràng bẩm sinh vì có thể trẻ đó bị dị dạng hậu môn bẩm sinh cũng không đại tiện được.
Trẻ khó đại tiện khi bị phình đại tràng
4. Cách chẩn đoán phình đại tràng
Đặc trưng của phình đại tràng là tình trạng đại tiện khó ngay cả khi phân mềm. Bệnh gây nhiều hậu quả như trẻ biếng ăn, chậm lớn, nhiều trường hợp gặp những biến chứng nguy hiểm như viêm ruột, tắc ruột, khiến việc chăm sóc khó khăn hơn.
Do đó khi thấy trẻ có những dấu hiệu cảnh báo bệnh, cha mẹ cần cho bé đi khám ngay. Qua thăm khám bác sĩ sẽ giúp chẩn đoán chính xác tình trạng bệnh, từ đó đưa ra phương pháp điều trị phù hợp.
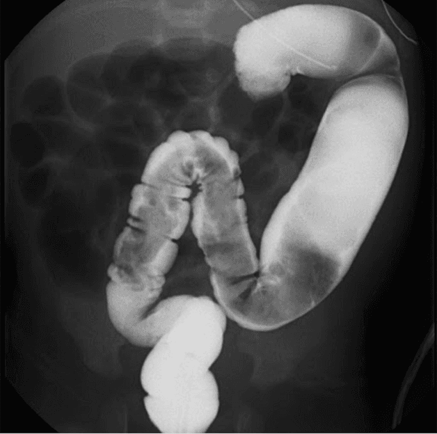
4.1 Chụp X-quang chẩn đoán phình đại tràng
Chụp X-quang là phương pháp hiệu quả giúp chẩn đoán phình đại tràng ở trẻ nhỏ. Kỹ thuật chụp X-quang có sử dụng chất cản quang sẽ cho thấy đoạn ruột hẹp và đoạn ruột giãn.
4.2 Sinh thiết mẫu, sinh thiết hút chẩn đoán phình đại tràng
Lấy sinh thiết mẫu, sinh thiết hút là tiêu chuẩn vàng chẩn đoán bệnh phình đại tràng. Tuy nhiên, bác sĩ lấy mẫu và đọc kết quả cần phải có kinh nghiệm.
Ngoài ra, bác sĩ cũng có thể áp dụng kỹ thuật đo khả năng kiểm soát của cơ xung quanh trực tràng, nhưng phương pháp này ít phổ biến hơn các phương pháp trên.
Chụp X-quang chẩn đoán phình đại tràng
5. Phương pháp điều trị bệnh phình đại tràng
Tùy vào tình trạng và mức độ của bệnh mà các bác sĩ sẽ có hướng điều trị cụ thể. Cha mẹ cần đưa bé đi khám để các bác sĩ chẩn đoán chính xác tình trạng sức khỏe, từ đó có biện pháp điều trị phù hợp
Nếu ở mức độ nhẹ, các bác sĩ có thể chỉ định dùng thuốc kết hợp với chế độ nuôi dưỡng. khoa học, đúng cách.
Trường hợp nặng cần tiến hành phẫu thuật cắt bỏ đoạn đại – trực tràng vô hạch, nối đầu đại tràng lành với ống hậu môn. Thời điểm phẫu thuật tùy thuộc vào lúc phát hiện và mức độ nặng nhẹ của bệnh, có hay chưa có biến chứng, tình trạng chung của trẻ…
6. Thay đổi sinh hoạt khi điều trị phình đại tràng
Để việc điều trị đạt kết quả hơn, các bậc cha mẹ nên kết hợp tạo cho con thói quen ăn nhiều chất xơ, uống nhiều nước, tập thói quen đi cầu đúng giờ hằng ngày.
Phình đại tràng bẩm sinh không điều trị sớm sẽ ảnh hưởng lớn tới sức khỏe thể chất và tinh thần của trẻ. Điều đáng báo động là rất ít trẻ được phát hiện bệnh và điều trị sớm. Bởi vì người lớn chỉ nghĩ tình trạng đại tiện bất thường, khó đại tiện là do táo bón, do chế độ ăn… mà không nghĩ tới là bệnh bẩm sinh. Khi thấy con mắc các dấu hiệu bất thường khi đại tiện, phụ huynh nên đưa trẻ đi khám tiêu hóa càng sớm càng tốt.
Để biết thêm về bệnh phình đại tràng cũng như để được đặt lịch khám tại Bệnh viện Đa khoa Quốc tế Thu Cúc, vui lòng liên hệ tổng đài 1900 558892 hoặc hotline 0936 388 288 để được tư vấn kỹ lưỡng.



























