Tắc ruột cao: Khái niệm, phân loại, nguyên nhân và chẩn đoán
Tắc ruột cao chiếm khoảng 70% các trường hợp tắc ruột, rất thường gặp trong cấp cứu ngoại khoa. Nó là một hội chứng chứ không đơn thuần là một bệnh lý. Mức độ nghiêm trọng của bệnh phụ thuộc nhiều yếu tố trong đó có nguyên nhân gây tắc nghẽn và thời gian tắc nghẽn.
1. Tắc ruột cao là gì?
Tắc ruột là một hội chứng mà sự lưu thông của các chất trong lòng ruột bị bế tắc. Tắc ruột nói chung có thể xảy ra ở một hoặc nhiều vị trí khác nhau. Trong đó, tắc ruột cao nói đến vị trí tắc nằm ở phần phía trên của ống tiêu hóa (tính từ môn vị đến hậu môn) là các quai đầu tiên của hỗng tràng.
Đoạn từ dạ dày đến ruột non của hệ tiêu hóa
Các điểm tắc gây ra sự ứ trệ của khí, dịch, thức ăn…bên trên vị trí đó. Trường hợp tắc lâu, kéo dài có thể gây tăng áp lực lòng ruột, để lại biến chứng thậm chí nguy hiểm đến tính mạng.
2. Phân loại tắc ruột theo các cách khác nhau
Có nhiều cách để phân loại tắc ruột:
- Theo vị trí: Tắc ruột cao hay tắc ruột thấp; tắc ở một vị trí hay hai hay nhiều vị trí (tắc ruột quai kín).
- Tắc ruột cơ học: Bệnh nhân có tổn thương thực thể gây tắc ruột.
- Tắc ruột cơ năng hay còn gọi là liệt ruột: vận động của thành ruột bị ức chế.
- Tắc ruột đơn thuần: Chỉ có sự bế tắc lưu thông các chất trong lòng ruột.
- Tắc ruột do thắt nghẹt (nghẹt ruột): sự lưu thông của mạch máu nuôi thành ruột có thể bị ngưng trệ, gây hoại tử ruột.
3. Những nguyên nhân gây tắc ruột thường gặp
Việc xác định nguyên nhân gây bệnh là rất khó khăn, phức tạp. Tuy nhiên nó lại đóng vai trò hết sức quan trọng giúp cứu sống bệnh nhân khỏi những biến chứng nặng nề.
Nguyên nhân gây tắc bệnh nói chung được chia làm ba phân nhóm chính:
3.1. Nguyên nhân từ bên ngoài thành ruột
- Dây dính là nguyên nhân tắc ruột cao thường gặp nhất. Hầu hết các dây dính gây tắc ruột là dây dính sau mổ.
- Thoát vị gây tắc ruột là do ruột bị nghẹt ở lỗ thoát vị.
- Xoắn ruột.
- Các khối chèn ép từ bên ngoài: Có thể do các khối u, ổ áp xe, hoặc cục máu tụ trong xoang bụng gây chèn ép.
3.2. Nguyên nhân từ thành ruột
- Chấn thương khu trú như khối u hoặc khối máu tụ tại thành ruột.
- Các bệnh lý khác gây viêm nhiễm ở thành ruột cũng có thể làm xơ hóa thành ruột gây tắc, hoặc các tổn thương thành ruột khác gây chít hẹp đường tiêu hóa…
3.3. Nguyên nhân từ bên trong lòng ruột
Tắc từ bên trong lòng ruột được gọi là tắc ruột do bít. Một vài nguyên nhân thường gặp có thể kể đến như vật lạ, bã thức ăn, búi giun,…
Khi xác định được nguyên nhân, các bác sĩ sẽ đưa ra phác đồ điều trị đối với từng bệnh nhân.
4. Hậu quả của tắc ruột cao
Tùy thuộc vào mức độ tắc, thời gian tắc và nguyên nhân tắc mà hội chứng để lại những hậu quả tại chỗ hoặc toàn thân.
Ngay trên vị trí bị tắc dịch và hơi ứ trệ lại, làm căng thành ruột. Những làn sóng nhu động ruột tăng dần nhằm thắng sự cản trở tại đó. Việc tăng cường co thắt gây những cơn đau cho bệnh nhân và xuất hiện dấu hiệu rắn bò. Nhu động giảm dần theo thời gian, đồng nghĩa với thành ruột bị đơ, không còn hoạt động.
Bên cạnh vận động cơ học theo cơ chế thần kinh, tắc ruột còn ảnh hưởng bởi lưu lượng máu đến ruột bị thay đổi. Đặc biệt trong nghẹt ruột, tuần hoàn tĩnh mạch mạc treo ruột bị cản trở, áp lực máu ở các mao mạch, tĩnh mạch ở thành ruột tăng gây ra các hậu quả nghiêm trọng như hoại tử ruột, vỡ mạch máu gây xuất huyết vào trong lòng ruột…
Mất nước, rối loạn cân bằng điện giải, rối loạn cân bằng kiềm toan, hay rối loạn chuyển hóa cũng là hậu quả rất nghiêm trọng khi tắc ruột không được xử lý kịp thời.
5. Các triệu chứng điển hình
5.1. Bệnh nhân bị đau quặn bụng
Đây là một trong những biểu hiện thường gặp nhất. Cơn đau có thể xuất hiện đột ngột hay từ từ, đau thành từng cơn. Đối với tắc ruột cao, cơn đau thường xuất hiện sau bữa ăn, đặc biệt là bữa ăn có nhiều chất xơ.
5.2. Nôn mửa
Nôn là phản xạ do áp lực thành ruột phía trên vị trí tắc tăng cao. Bệnh nhân nôn cùng với những cơn đau. Nôn nhiều, nôn sớm từ thức ăn chưa tiêu, dịch mật hoặc dịch có mùi hôi thối giống như phân.
Biểu hiện của tắc ruột cao thường gặp là đau quặn bụng, nôn mửa, bí trung/đại tiện…
5.3. Bí trung hoặc đại tiện
- Bệnh nhân tắc ruột non có thể vẫn còn trung hoặc đại tiện một vài lần sau cơn đau đầu tiên. Sau 12 – 24 giờ, bệnh nhân thường bí trung hoặc đại tiện hoàn toàn.
- Đối với bệnh nhân xoắn ruột non, thường bí trung và đại tiện ngay sau khi xuất hiện cơn đau đầu tiên.
5.4. Triệu chứng toàn thân của tắc ruột cao
Ở hội chứng này, bệnh nhân nôn nhanh, nôn nhiều nên xuất hiện các biểu hiện sau:
- Mất nước biểu hiện hầu hết ở các bệnh nhân.
- Rối loạn cân bằng điện giải: Cùng với nước, các ion Na+, Cl- bị nôn ra ngoài.
- Rối loạn cân bằng acid – bazơ: hay gặp kiềm chuyển hóa do nôn dịch dạ dày chứa ion H+ đồng thời mất ion HCO3-.
6. Các phương pháp chẩn đoán hình ảnh
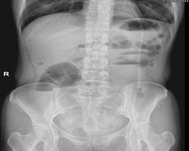
6.1. Chụp X-quang bụng không chuẩn bị
Để đưa ra kết luận về mặt chẩn đoán, trong đa phần các trường hợp người bệnh chỉ cần thực hiện X-quang bụng đứng. Dựa vào mức nước – hơi, bác sĩ có thể xác định được vị trí tắc.
X quang ổ bụng không sửa soạn trong chẩn đoán tắc ruột
Hình ảnh nhận biết: Ruột non chướng hơi và không có hơi trong đại tràng, nhiều mức nước hơi ruột non xếp theo hình bậc thang theo chiều từ hạ sườn trái đến hố chậu phải.
6.2. Chụp X-quang với thuốc cản quang
Trường hợp chỉ định chụp X-quang với thuốc cản quang dùng trong chẩn đoán xác định tắc ruột cao hoặc chẩn đoán phân biệt giữa tắc và bán tắc ruột non. Bệnh nhân được cho uống thuốc cản quang trước khi chụp.
Chẩn đoán xác định: Hình ảnh điển hình là tá tràng, các quai đầu tiên của hỗng tràng dãn to, khung tá tràng bung rộng, thuốc không thoát khỏi được chỗ tắc.
Chẩn đoán phân biệt tắc và bán tắc ruột non: Đánh giá thời gian tiêu thoát của thuốc cản quang. Thời gian kéo dài chứng tỏ có bán tắc ruột.
6.3. Biện pháp chẩn đoán hình ảnh khác trong tắc ruột cao
- Siêu âm: Không ưu tiên dùng vì một phần do hiện tượng chướng hơi, một phần do chủ quan của người đọc. Phương pháp này thường sử dụng cho bệnh nhân là phụ nữ mang thai, chống chỉ định với X-quang.
- Nội soi ống tiêu hóa: Thường để chẩn đoán tắc đại tràng.
- CTscan: Thường chỉ định khi nghi ngờ nguyên nhân tắc ruột là có khối u hoặc ổ viêm trong xoang bụng.
Trên đây là những thông tin giúp bạn đọc có một vài hình dung về tắc ruột nói chung cũng như tắc ruột cao nói riêng. Chúng ta không nên chủ quan trước những dấu hiệu thường gặp như đau bụng, nôn mửa…Khi có biểu hiện, bạn cần đến ngay cơ sở y tế gần nhất để được khám, chẩn đoán và điều trị kịp thời, ngăn chặn các biến chứng nguy hiểm hơn.


























