Cấp cứu:0901793122
English
Bệnh Viện Đa Khoa Quốc Tế Thu Cúc | TCI Hospital
Chăm sóc sức khoẻ trọn đời cho bạn
Tổng đài1900558892
Bệnh tai mũi họng

Bệnh tai mũi họng

Trang chủ/Sống khỏe/Bệnh tai mũi họng
Tìm hiểu về phương pháp cắt amidan bằng laser

Tìm hiểu về phương pháp cắt amidan bằng laser

Cắt amidan bằng laser là phương pháp cắt amidan hiện đang được sử dụng khá phổ biến. Vậy những ai nên thực hiện phương pháp này, ưu nhược điểm của nó ra sao. Hãy cùng tìm hiểu rõ hơn qua bài viết dưới đây. 1. Các trường hợp được chỉ định cắt amidan bằng tia […]
Hướng dẫn cách chăm sóc trẻ bị viêm amidan sốt cao

Hướng dẫn cách chăm sóc trẻ bị viêm amidan sốt cao

Trong các vấn đề bệnh tai, mũi, họng, viêm amidan sốt cao là tình trạng rất thường gặp, đặc biệt là với trẻ em. Viêm amidan không thể tự khỏi trong vòng chỉ một vài ngày mà nó còn tái diễn nhiều lần gây ảnh hưởng tới sức khỏe của trẻ. Vậy khi trẻ gặp […]
Viêm Amidan mạn: Nguyên nhân, triệu chứng và cách điều trị

Viêm Amidan mạn: Nguyên nhân, triệu chứng và cách điều trị

Viêm Amidan mạn tính là một tình trạng thường gặp và dễ biến chứng thành các bệnh lý nguy hiểm như viêm phổi, nhiễm khuẩn huyết, viêm cầu thận. Vậy làm sao để điều trị được bệnh lý này? 1. Tổng quan về Amidan mạn tính 1.1 Thông tin về viêm Amidan Amidan là tổ […]
Phẫu thuật cắt amidan bằng phương pháp nào tốt?

Phẫu thuật cắt amidan bằng phương pháp nào tốt?

Viêm Amidan là một bệnh lý phổ biến của đường hô hấp trên, nếu chuyển sang giai đoạn nặng thì cần phải phẫu thuật cắt Amidan để điều trị triệt để. Vậy phương pháp cắt Amidan tân tiến và được sử dụng phổ biến hiện nay là phương pháp gì? 1. Thông tin về Amidan […]
Hiểu rõ về bệnh viêm amidan để tránh gặp biến chứng

Hiểu rõ về bệnh viêm amidan để tránh gặp biến chứng

Bệnh viêm amidan là bệnh lý có thể gặp ở bất cứ độ tuổi nào, trong đó đối tượng thường gặp nhất ở trẻ em. Amidan gây nên nhiều triệu chứng khó chịu tới vùng họng của bệnh nhân. Mặc dù đây là bệnh lành tính nhưng nếu không được điều trị kịp thời thì […]
Các triệu chứng cho biết bạn đang bị viêm mũi dị ứng

Các triệu chứng cho biết bạn đang bị viêm mũi dị ứng

Tại Việt Nam, bệnh viêm mũi dị ứng là bệnh về mũi có số lượng người mắc phải chiếm tỉ lệ rất cao. Tuy nhiên, hầu hết người bệnh thường không nhận ra bản thân bị viêm mũi dị ứng cho tới khi các triệu chứng rất nặng và rõ ràng. Vậy bệnh viêm mũi […]
Điều trị viêm Amidan hốc mủ đúng cách

Điều trị viêm Amidan hốc mủ đúng cách

Khi viêm Amidan chuyển sang giai đoạn mạn tính sẽ xuất hiện hốc mủ. Nếu không được điều trị sớm, bệnh sẽ chuyển sang giai đoạn nguy hiểm với các biến chứng khác nhau. Vậy làm sao để điều trị viêm Amidan hốc mủ? 1. Viêm Amidan hốc mủ là tình trạng gì? Viêm Amidan […]
Bé nạo va xong vẫn bị sổ mũi có đáng lo ngại không?

Bé nạo va xong vẫn bị sổ mũi có đáng lo ngại không?

Sốt, ngạt mũi, chảy mũi,… là những biểu hiện của trẻ khi bị viêm va. Tuy nhiên, trường hợp bé nạo va xong vẫn bị sổ mũi thì cha mẹ phải làm gì? 1. Những vấn đề thường gặp sau khi trẻ nạo va Sau khi hoàn tất phẫu thuật nạo va, cơ thể bé […]
Bị viêm amidan gây ra các biến chứng nguy hiểm gì?

Bị viêm amidan gây ra các biến chứng nguy hiểm gì?

Bị viêm amidan là bệnh lý thường mắc phải đối với cả người lớn và trẻ em. Căn bệnh này thường tiến triển thành từng đợt, nó có thể tự khỏi nhưng cũng có thể dẫn tới các biến chứng nguy hiểm tại chỗ hoặc toàn thân. Hãy cùng tìm hiểu rõ hơn về những […]
Cách xử trí nhanh cơn co thắt thanh quản

Cách xử trí nhanh cơn co thắt thanh quản

Co thắt thanh quản là tình trạng hiếm gặp, không quá nguy hiểm nhưng khiến nhiều người hoảng sợ cũng như ảnh hưởng tới cuộc sống thường nhật. 1. Hiểu đúng về co thắt dây thanh Cùng tìm hiểu về vấn đề này để không bị nhầm lẫn với ngạt thở hay những bất thường […]
Cắt amidan cho trẻ nên thực hiện khi nào và như thế nào?

Cắt amidan cho trẻ nên thực hiện khi nào và như thế nào?

Khi cắt amidan cho trẻ nhỏ, cả cha mẹ cùng bác sĩ đều cần phải cẩn thận và lưu tâm hơn để đảm bảo an toàn, sức khỏe của bé. 1. Vai trò của việc cắt amidan với trẻ nhỏ Trường hợp nào bác sĩ sẽ chỉ định phẫu thuật amidan cho bé, và tác […]
Viêm amidan quá phát có phải cắt Amidan không?

Viêm amidan quá phát có phải cắt Amidan không?

Viêm Amidan quá phát là tình trạng viêm lâu ngày, gây ảnh hưởng lớn đến sức khỏe cũng như chất lượng sống của người bệnh. Vậy khi bị viêm Amidan quá phát thì bệnh nhân sẽ được điều trị như thế nào? 1. Viêm Amidan quá phát là tình trạng gì? Viêm Amidan là tình […]
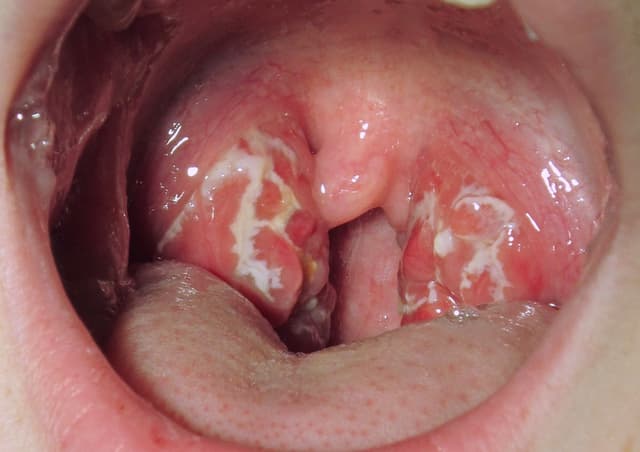
Viêm amidan mủ: Biến chứng của viêm amidan mạn tính

Viêm amidan mủ: Biến chứng của viêm amidan mạn tính

Viêm amidan tái phát nhiều lần có thể dẫn tới hình thành mủ trắng xung quanh amidan, gọi là viêm amidan mủ. Thực chất, đây là một biến chứng của viêm amidan mạn tính. Nếu không điều trị kịp thời, bệnh có thể gây ra nhiều biến chứng nguy hiểm cho sức khoẻ của người […]
Chữa viêm họng hạt đúng cách, không phải ai cũng biết

Chữa viêm họng hạt đúng cách, không phải ai cũng biết

Viêm họng hạt nếu không điều trị dứt điểm thì khi chuyển sang giai đoạn nặng hơn sẽ có nguy cơ tái phát cao và khó điều trị được. Để sớm nhận biết được bệnh lý này, cần phải phát hiện và có biện pháp điều trị kịp thời. Vậy chữa viêm họng hạt bằng […]
Amidan quá phát là gì? Nguyên nhân và cách phòng tránh

Amidan quá phát là gì? Nguyên nhân và cách phòng tránh

Amidan quá phát là một bệnh lý liên quan đến hệ hô hấp và có thể xảy ra với mọi đối tượng. Bệnh gây nên cảm giác đau rát, thấy vướng víu ở cổ, chán ăn, mệt mỏi,… từ đó làm suy giảm chất lượng cuộc sống của bệnh nhân. Nếu không được thăm khám […]
1900558892
zaloChat