Biểu hiện của viêm amidan
Viêm amidan là bệnh lý thường gặp ở cả người lớn và trẻ em. Bệnh tiến triển thành từng đợt, có thể tự khỏi, có thể đưa đến biến chứng tại chỗ hoặc toàn thân, rất nguy hiểm. Thông qua những biểu hiện của viêm amidan dưới đây sẽ giúp độc giả phát hiện sớm bệnh. Từ đó có hướng điều trị kịp thời, hiệu quả.
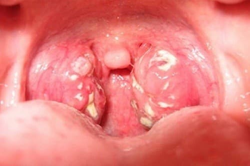
Biểu hiện của viêm amidan
Thông thường, tùy vào tình trạng bệnh cụ thể mà có các biểu hiện khác nhau:
– Viêm amidan cấp: Là tình trạng viêm sung huyết hoặc làm mủ của amidan khẩu cái. Đa số do virut (70%), hay gặp ở trẻ em và lứa tuổi thiếu niên, chiếm 10-15% nhiễm khuẩn hô hấp trên.
Viêm amidan là tình trạng viêm sung huyết hoặc làm mủ của amidan khẩu cái
Biểu hiện của viêm amidan cấp tính thường là sốt cao, hơi thở hôi, đau mỏi mình mẩy, cảm giác đau nhói tại chỗ, đau lan lên tai, đau tăng khi nuốt, ho từng cơn do kích thích và xuất tiết, ở trẻ em thường khò khè, ngủ ngáy.
– Viêm amidan mạn tính: Là tình trạng viêm quá phát hoặc xơ teo amidan khẩu cái sau nhiều đợt viêm bán cấp.
Khi bị viêm amidan mạn tính, người bệnh sẽ có biểu hiện vướng họng, đôi khi đau nhói trong họng, thỉnh thoảng ho khan, khàn tiếng, hơi thở hôi.
Đối với thể viêm amidan quá phát, bệnh nhân ngủ ngáy thường xuyên hoặc tăng lên trong đợt viêm amidan, một số trường hợp còn phát hiện cơn ngừng thở khi ngủ thể bệnh này hay gặp ở trẻ em.
Viêm amidan có nguy hiểm không?
Viêm amidan là bệnh lý thường gặp, có thể tự khỏi nhưng có trường hợp gây biến chứng tại chỗ, kế cận hoặc toàn thân.
Khi bị viêm amidan, người bệnh thường có biểu hiện đau họng, sốt cao, hơi thở hôi
Biến chứng tại chỗ: Viêm tấy và áp-xe quanh amidan: Thường xảy ra với viêm amidan cấp không được điều trị, nhiễm khuẩn lan dần và thành mủ giữa amidan và bao amidan, bệnh nhân thường đau tăng, đau lan lên tai, nuốt đau, không nuốt được, nước bọt chảy ra, miệng há khó khăn.
Biến chứng kế cận: Viêm tai giữa, viêm mũi xoang, viêm thanh quản, viêm phế quản…
Biến chứng toàn thân: Nhiễm khuẩn huyết, viêm cầu thận cấp, thấp khớp cấp, thấp tim hay gặp do liên cầu tan huyết nhóm A.
Bệnh viêm amidan có thể gây ra các biến chứng nguy hiểm, ảnh hưởng tới sức khỏe, do đó người bệnh cần đi khám và điều trị sớm.
Cách xử trí viêm amidan
Để điều trị viêm amidan cần dựa vào nguyên nhân gây bệnh.
– Viêm amidan do virut: Chủ yếu điều trị triệu chứng: nằm nghỉ ngơi, ăn nhẹ, uống đủ nước; dùng thuốc hạ sốt, giảm đau; vệ sinh mũi họng bằng dung dịch sát khuẩn hoặc nước muối sinh lý; kiêng rượu, bia, chất kích thích.
– Viêm amidan do vi khuẩn: Dùng kháng sinh đường toàn thân: tùy mức độ có thể dùng thuốc đường uống hoặc đường tiêm, điều trị triệu chứng giống như viêm amidan do virut.
Để có phương pháp điều trị viêm amidan phù hợp, người bệnh cần đi khám để được chỉ định cụ thể
Trong trường hợp viêm amidan nặng thì có thể được chỉ định cắt amidan để giảm dần các biểu hiện của bệnh.
Amidan được chỉ định cắt trong các trường hợp: viêm amidan quá phát gây tắc nghẽn đường hô hấp, ngừng thở khi ngủ; viêm amidan tái phát nhiều lần (7 lần/năm; 5 lần/năm trong 2 năm; 3 lần/năm trong 3 năm); viêm amidan mạn tính, gây thở hôi kéo dài; amidan to một bên, nghi ngờ ác tính ; viêm amidan gây biến chứng: áp-xe, viêm tấy quanh amidan, viêm mũi xoang, viêm thanh quản, viêm tai giữa, viêm cầu thận, viêm khớp, viêm màng tim.
Lưu ý: Không được cắt amidan khi: amidan đang viêm cấp hoặc có biến chứng tại chỗ; bệnh nhân đang có bệnh toàn thân, bệnh mạn tính chưa điều trị ổn định; bệnh nhân đang trong vùng dịch; phụ nữ trong thời kỳ mang thai, kinh nguyệt.
Để có biện pháp điều trị viêm amidan phù hợp, người bệnh cần đi khám để có hướng xử trí đúng, kịp thời. Căn cứ vào các biểu hiện của viêm amidan cũng như mức độ bệnh cụ thể, bác sĩ sẽ tư vấn phương pháp chữa trị phù hợp.




















