Bệnh ap-xe amidan là gì? sức khỏe người bệnh.
Áp-xe amidan là một trong những bệnh lý về amidan nguy hiểm, cần được điều trị kịp thời. Bệnh cần được điều trị sớm để tránh gây ảnh hưởng xấu đến sức khỏe người bệnh.
Vì sao amidan lại bị áp-xe?
Nguyên nhân gây áp-xe amidan là do tình trạng viêm amidan cấp có mủ không được điều trị
Nguyên nhân gây áp-xe amidan là do tình trạng viêm amidan cấp có mủ không được điều trị hoặc do độc tố trong vi khuần cao đồng thời có dấu hiệu kháng thuốc người bệnh đang sử dụng.
Vi khuẩn gây áp-xe quanh amidan được xác định là do liên cầu, xoắn khuẩn, tụ cầu, vi khuẩn ái khí hoặc kị khí, đặc biệt thường gặp nhất là liên cầu khuẩn bê-ta tan huyết thuộc nhóm A.
Viêm amidan là bệnh thường gặp khi giao mùa, đây cũng là thời điểm gia tăng đột biến tình trạng áp-xe quanh amidan.
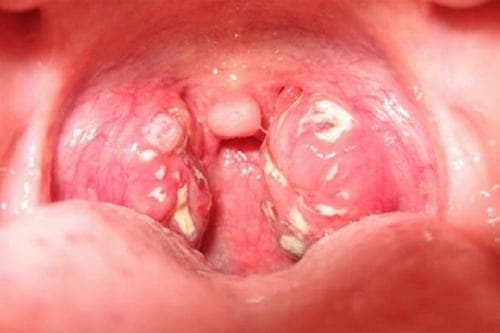
Cách nhận biết áp-xe quanh amidan?
Sốt cao là một trong những triệu chứng của áp xe amidan
Áp-xe quanh amidan thường xuất hiện sau một đợt viêm amidan cấp kéo dài 5-7 ngày. Bệnh nhân có thể nghi ngờ bị áp-xe amidan nếu thấy các cơn đau họng liên tục xuất hiện dù đã sử dụng kháng sinh.
– Đặc điểm đau họng do áp-xe amidan là đau nhức ở góc hàm, đau lan lên tai mỗi khi nuốt.
– Sốt cao từ 39-40 độ, người mệt mỏi, gai rét, môi khô, lưỡi dày xuất hiện nhiều giả mạc trắng đục ở phía trên bề mặt.
– Nước bọt chảy ra nhiều, người bệnh cảm thấy khó nuốt, hơi thở có mùi hôi, lưỡi bẩn, giọng nói thay đổi, khó nghe do phần eo họng bị thu hẹp.
Bạn cần đến cơ sở chuyên khoa để thăm khám khi bị áp xe amidan
– Giai đoạn muộn khi khối áp-xe amidan lan rộng ra vùng cơ xung quanh gây ra hiện tượng khít hàm. Người bệnh có thể bị khó thở nếu nếu khối áp-xe lấn kín phần họng và lan dần xuống thanh quản.
Người bệnh cần thăm khám trong trường hợp thấy amidan sưng to, đỏ một bên, bề mặt có lớp màn trắng, dùng tay có thể móc ra được. Phần trước amidan có dấu hiệu căng phồng, miêm mạc sưng phù, amidan có thể đẩy lệch sang một bên ra phía trước hoặc sau tùy vào thế áp-xe.
Cũng giống như viêm nhiễm thông thường, thông qua xét nghiệm máu nếu bị áp-xe bệnh nhân sẽ thấy số lượng bạch cầu đa nhân trung tính tăng cao.
Nếu cần tư vấn về bệnh áp-xe amidan, bạn có thể đến trực tiếp Bệnh viện Đa khoa quốc tế Thu Cúc hoặc liên hệ theo số 0936 388 288 hoặc 1900 55 88 92 để được tư vấn.




















