U nang buồng trứng siêu âm có thấy không? Cách chẩn đoán
U nang buồng trứng là một bệnh lý phụ khoa rất phổ biến, nhưng thường diễn tiến âm thầm ở giai đoạn đầu. Rất nhiều chị em khi đi khám thường thắc mắc liệu u nang buồng trứng siêu âm có thấy không? Hãy cùng tìm hiểu chi tiết các đặc điểm và phương pháp chẩn đoán ngay trong bài viết dưới đây để có câu trả lời chuẩn xác nhất!
1. U nang buồng trứng siêu âm có thấy không?
Câu trả lời là chắc chắn là CÓ. Trong y khoa, siêu âm là kỹ thuật chẩn đoán hình ảnh hiện đại, thường được ưu tiên chỉ định đầu tiên để kiểm tra vùng chậu và đánh giá các tổn thương buồng trứng.
Phương pháp siêu âm u nang buồng trứng sử dụng sóng âm thanh có tần số cao để tái tạo lại hình ảnh cấu trúc bên trong tử cung và hai bên buồng trứng trên màn hình máy tính. Nhờ đó, bác sĩ có thể dễ dàng phát hiện sự tồn tại của khối u nang một cách nhanh chóng, an toàn.

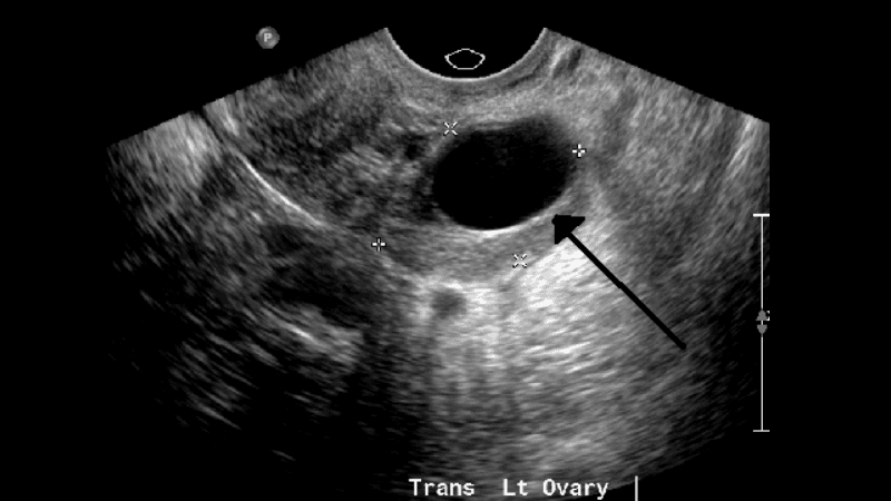
- Đặc điểm hình ảnh u nang buồng trứng trên siêu âm
Khi thực hiện kiểm tra, hình ảnh u nang buồng trứng trên siêu âm cung cấp rất nhiều dữ liệu quan trọng giúp đánh giá tình trạng bệnh. Cụ thể, thông qua siêu âm bác sĩ sẽ nhận diện được:
- Vị trí chính xác và số lượng khối u nang.
- Kích thước, hình dạng và cấu trúc hình thái học của khối u.
- Thành phần bên trong khối u là chứa đầy chất lỏng, chất rắn, hay dạng hỗn hợp cả hai.
- Các biến chứng tiềm ẩn cực kỳ nguy hiểm như xoắn, vỡ hoặc xuất huyết từ u nang.
3. Các phương pháp siêu âm sử dụng
Hiện nay, để chẩn đoán u nang buồng trứng, bác sĩ chủ yếu áp dụng hai phương pháp siêu âm là siêu âm đường bụng và siêu âm đầu dò âm đạo.
3.1. Siêu âm đường bụng
Với phương pháp này, đầu dò phát sóng âm sẽ được di chuyển trực tiếp trên vùng da bụng của người bệnh để thu lại hình ảnh.
Ưu điểm: An toàn, không xâm lấn, không sử dụng tia bức xạ nên không gây đau đớn hay ảnh hưởng đến sức khỏe. Phương pháp này thực hiện nhanh chóng, chỉ 10-20 phút.
Nhược điểm: Hình ảnh thường kém sắc nét và hạn chế trong việc đánh giá đầy đủ tình trạng khối u so với siêu âm ngã âm đạo.
Lưu ý: Bệnh nhân bắt buộc phải nhịn tiểu để làm căng đầy bàng quang trước khi thực hiện, giúp bác sĩ quan sát rõ hơn các bất thường trong tiểu khung.
3.2. Siêu âm đầu dò âm đạo
Bác sĩ sẽ sử dụng một đầu dò chuyên dụng có hình thuôn nhỏ, bọc bao cao su và bôi gel để đưa trực tiếp vào trong âm đạo.
Ưu điểm: Mang lại hình ảnh rõ ràng, chi tiết với độ chính xác vượt trội so với siêu âm qua đường bụng.
Nhược điểm: Chỉ áp dụng cho phụ nữ trưởng thành đã có quan hệ tình dục. Không thực hiện được trên trẻ em, phụ nữ đang trong kỳ kinh nguyệt hoặc đang bị viêm nhiễm âm đạo cấp tính.

Lưu ý: Ngược lại với siêu âm bụng, người bệnh cần đi tiểu sạch trước khi thực hiện để làm xẹp bàng quang, tránh đè đẩy các cấu trúc vùng chậu.
4. Khi nào cần thêm phương pháp chẩn đoán khác?
Nhiều người băn khoăn ngoài việc u nang buồng trứng siêu âm có thấy không, thì liệu siêu âm có xác định được khối u là ung thư hay không. Thực tế, mặc dù siêu âm phát hiện rất rõ các khối u, nhưng phương pháp này không thể khẳng định chắc chắn 100% bản chất khối u đó là lành tính hay ác tính (ung thư).
Do đó, nếu kết quả siêu âm cho thấy khối u có dạng đặc (rắn), cấu trúc phức tạp hoặc người bệnh có nguy cơ cao (đặc biệt là phụ nữ sau mãn kinh), bác sĩ bắt buộc phải chỉ định thêm các phương pháp chẩn đoán chuyên sâu khác.

5. Cách toàn diện để chẩn đoán u nang buồng trứng
Để có phác đồ điều trị chuẩn xác, chẩn đoán u nang buồng trứng cần sự kết hợp toàn diện giữa siêu âm và các kỹ thuật cận lâm sàng, bao gồm:
- Xét nghiệm máu CA-125: Giúp đo lường nồng độ protein kháng nguyên ung thư 125, chỉ số này thường tăng cao trong trường hợp ung thư buồng trứng.
- Xét nghiệm hormone nội tiết: Đánh giá sự rối loạn nội tiết tố liên quan đến khối u.
- Thử thai: Một kết quả dương tính giúp bác sĩ loại trừ hoặc xác định u nang hoàng thể – một dạng nang sinh lý bình thường trong thai kỳ.

- Chụp MRI (Cộng hưởng từ) hoặc Sinh thiết: Khảo sát cực kỳ chi tiết cấu trúc mô để xác định tế bào ung thư.
- Nội soi ổ bụng (Laparoscopy): Một ống nội soi nhỏ có gắn đèn chiếu sáng được đưa vào bụng, vừa giúp quan sát trực tiếp khối u vừa có thể kết hợp điều trị ngoại khoa ngay trong cùng một thủ thuật.
Tổng kết lại, u nang buồng trứng siêu âm có thấy không? Siêu âm chính là “chìa khóa” đầu tiên và hiệu quả nhất để phát hiện bệnh. Chị em phụ nữ nên chủ động thăm khám định kỳ hoặc đi khám ngay khi có dấu hiệu bất thường tại cơ sở y tế uy tín như hệ thống y tế Thu Cúc TCI để được chẩn đoán chính xác và bảo vệ toàn diện sức khỏe sinh sản.





















