Siêu âm lạc nội mạc tử cung có thấy rõ tình trạng bệnh không?
Lạc nội mạc tử cung là dạng bệnh lý thường được chẩn đoán ở những người phụ nữ trong giai đoạn từ 30-40 tuổi. Mặc dù bệnh lý này không nguy hiểm đến tính mạng, nhưng nếu như phát hiện muộn và không được can thiệp điều trị sẽ dẫn đến nhiều biến chứng nguy hiểm, trong đó là ảnh hưởng xấu đến khả năng sinh sản của người phụ nữ. Vậy trong bài viết hôm nay, chúng ta sẽ cùng nhau tìm hiểu xem bệnh lý này là gì và nếu như sử dụng phương pháp siêu âm lạc nội mạc tử cung thì có thể chẩn đoán được chính xác hay không?
1. Tìm hiểu về bệnh lý lạc nội mạc tử cung là gì?
Thông thường, trong cơ quan sinh sản của người phụ nữ sẽ có lớp nội mạc tử cung nằm phủ bên trong lòng tử cung. Nếu như thấy có xuất hiện lớp nội mạc tử cung xuất hiện sai lệch vị trí thì đây sẽ là một dạng bệnh lý và người ta gọi đó là “lạc nội mạc tử cung”. Những mô lạc, tuyến nội mạc tử cung này cũng như là mô đệm đi theo cũng có những chức năng y hệt với nội mạc tử cung. Cho nên, mỗi lần chị em phụ nữ đến kỳ kinh nguyệt thì tại những vị trí có lạc nội mạc tử cung cũng sẽ dày lên theo. Có 4 thể của lạc nội mạc tử cung như sau:
– Thể thứ nhất đó là lớp lạc nội mạc tử cung nằm ngay tại màng lót bên trong của ổ bụng, người ta còn gọi là đây thể lạc nội mạc tử cung ở trên phúc mạc.
– Thể thứ hai là lớp lạc nội mạc tử cung này ghép trên buồng trứng và nó hình thành thêm những bọc máu kinh ở trong buồng trứng và còn được gọi là “nang lạc tuyến nội mạc tử cung”.
– Thể thứ 3 là thể lạc nội mạc tử cung trong vách của trực tràng và âm đạo, tức là giữa ống âm đạo và ống hậu môn trực tràng sẽ có một cái vách rất là dày và lạc nội mạc tử cung nó nằm vào trong cái vách đó khiến cho mỗi khi tới kỳ kinh nguyệt sẽ khiến cho chảy máu và lâu dần sẽ hình thành nên sẹo xơ và gây nên cảm giác rất đau khi có quan hệ tình dục.
– Thể thứ 4 gọi là lạc nội mạc vào cơ tử cung. Đây là một dạng bệnh lý mà thay vì trong cơ tử cung có xuất hiện ổ lạc nội mạc tử cung. Trong y khoa người ta còn gọi đây là bệnh tuyến cơ tử cung. Và cơ chế hình thành nên những lạc tuyến trong cơ tử cung và những biến chứng đi kèm theo nó sẽ khác với những lạc nội mạc tử cung ở các vị trí khác.
Chính vì vậy lạc nội mạc tử cung thường được phân ra làm hai nhóm: Một nhóm chỉ lạc nội mạc tử cung xuất hiện trong lớp vách trực tràng âm đạo, lạc nội mạc tử cung vào buồng trứng và lạc nội mạc tử cung vào phúc mạc. Nhóm tử hai để chỉ lạc nội mạc vào cơ tử cung.
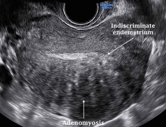
Hình ảnh siêu âm lạc nội mạc tử cung trong cơ tử cung
2. Nguyên nhân và triệu chứng của lạc nội mạc tử cung là gì?
2.1 Nguyên nhân
Mặc dù cho đến nay vẫn có rất nhiều giả thuyết được đưa ra về nguyên nhân chính xác hình thành nên lạc nội mạc tử cung nhưng vẫn chưa thể khẳng định được chắc chắn. Những giả thuyết được đưa ra như sau:
– Do kinh nguyệt chảy ngược: Tình trạng xảy khi máu kinh có chứa các tế bào nội mạc tử cung chảy ngược lại vào hai ống dẫn trứng và vào khoang chậu thay vì cần thoát ra khỏi cơ thể. Lúc này, các tế bào nội mạc tử cung sẽ bám dính vào thành chậu cũng như bề mặt của các cơ quan trong vùng chậu, nơi chúng sẽ tiếp tục phát triển và tiếp tục dày lên theo ngày, sau đó sẽ bong tróc và chảy máu trong suốt mỗi chu kỳ kinh nguyệt tiếp theo
– Do biến đổi tế bào phúc mạc: Các nghiên cứu đề xuất cho rằng các hormone hoặc các yếu tố miễn dịch thúc đẩy sự biến đổi của các tế bào phúc mạc tạo thành các tế bào giống như nội mạc tử cung.
– Do biến đổi tế bào phôi: Các hormone như estrogen có thể biến đổi các tế bào phôi thai – những tế bào trong giai đoạn phát triển sớm nhất trở thành tế bào giống như nội mạc tử cung trong giai đoạn dậy thì.
– Phẫu thuật tạo sẹo: Sau khi tiến hành phẫu thuật, chẳng hạn như cắt thành tử cung trong quá trình mổ lấy thai, bóc tách nhân xơ thì các tế bào nội mạc tử cung có thể gắn vào vết mổ và dây dính ra bên ngoài.
– Do vận chuyển tế bào nội mạc tử cung: Các mạch máu hoặc là hệ thống bạch huyết có thể sẽ vận chuyển các tế bào nội mạc tử cung đến các bộ phận khác của cơ thể gây nên tình trạng tế bào nội mạc tử cung phát triển lệch vị trí.
– Bị rối loạn hệ thống miễn dịch: Những bất thường trong hệ miễn dịch có thể sẽ khiến cơ thể không thể nhận ra và phá hủy các mô giống với nội mạc tử cung và cho phép chúng phát triển bên ngoài tử cung.
Kinh nguyệt chảy ngược là một trong những nguyên nhân gây nên tình trạng lạc nội mạc tử cung
2.3 Triệu chứng
Do lạc nội mạc tử cung có thể sẽ có những vị trí khác nhau cho nên triệu chứng mà bệnh lý này thể hiện ra cũng sẽ khác nhau. Thường gặp nhất là do dòng máu kinh trào qua ổ bụng và đi vào vùng thấp nhất của người phụ nữ, thành ra chúng ta có lạc nội mạc tử cung trong vùng chậu. Nhưng cũng có những tình huống là tế bào nội mạc tử cung nó theo dòng bạch huyết và đi lên cao hơn.
– Nếu như lớp lạc nội mạc tử cùng ở vị trí như ở phổi, trong dạ dày thì mỗi tháng vào đúng thời kỳ kinh nguyệt, người bệnh sẽ có hiện tượng ói ra máu hoặc ho ra máu. Hay đôi khi lạc nội mạc tử cung còn lên trên vùng não và cho đến thời kỳ kinh nguyệt sẽ có dấu hiệu bị choáng do có sự chảy máu. Nhưng trên thực tế thì rất hiếm xảy ra những trường hợp ở vị trí quá bất thường như vậy.
– Triệu chứng chính thường gặp nhất đó là cảm giác đau theo kỳ kinh. Theo thời gian thì những cơn đau này không còn diễn biến theo kỳ kinh nữa mà có thể đau bất kể khi nào, bạn sẽ thấy có cảm giác như đau bụng đến tháng nhưng âm ỉ, không xác định đúng vị trí. Triệu chứng đau chiếm đến 90% những bệnh nhân mắc phải lạc nội mạc tử cung.
– Trong quá trình quan hệ có cảm giác đau: Những khối lạc nội mạc tử cung nằm trong vách trực tràng âm đạo khiến cho người phụ nữ khi giao hợp có cảm giác rất đau. Triệu chứng này chiếm khoảng 70% các trường hợp mắc bệnh.
– Đi tiểu tiện và đại tiện khó khăn: Triệu chứng này xuất phát từ nguyên nhân là do những khối bướu lạc nội mạc tử cung nằm trên buồng trứng.Những khối bướu này có thể chèn ép vào bàng quang gây nên hiện tượng đi tiểu lắt nhắt nhiều lần hoặc là chèn ép vào trong trực tràng gây ra hiện tượng đi cầu khó khăn. Nguy hiểm nhất đó chính là dấu hiệu đi tiểu ra máu.
Do đó, khi chị em phụ nữ có triệu chứng đau vùng chậu hoặc kèm những triệu chứng kể trên lặp đi lặp lại theo tính chu kỳ thì việc đầu tiên bạn cần làm đó là tìm kiếm các bác sĩ Phụ khoa để tìm rõ nguyên nhân càng sớm càng tốt.
Khi lạc nội mạc tử cung chèn ép lên bàng quang hay trực tràng sẽ khiến cho người bệnh gặp khó khăn khi đi vệ sinh
3. Siêu âm lạc nội mạc tử cung có chẩn đoán được không?
Câu trả lời là có. Hiện nay, có hai phương pháp chính để giúp bác sĩ chẩn đoán được bệnh lý này đó là thông qua chụp cộng hưởng từ hoặc siêu âm lạc nội mạc tử cung.
Bằng cách xâm nhập sâu thông qua siêu âm lạc nội mạc tử cung bằng đầu dò âm đạo đã thu về được nhiều ưu điểm nổi bật so với các công cụ hình ảnh học dùng để chẩn đoán khác. Theo đó, siêu âm có thể phát hiện được lạc nội mạc tử cung với độ chính xác cao. Lương mô càng lớn thì vị trí càng dễ quan sát. Mặc dù tổn thương càng lớn sẽ càng dễ nhìn thấy trên siêu âm thì với sự phát triển trong kỹ thuật siêu âm ngày nay và với các chuyên gia chẩn đoán hình ảnh có nhiều kinh nghiệm, chỉ cần có vài milimet mô lạc nội mạc tử cung trong cơ thể là đã có thể được chẩn đoán được. Tổn thương lạc nội mạc tử cung thể hiện trên màn hình siêu âm sẽ trông tối hơn (được xem là đen hơn) với các mô bình thường xung quanh.
Bên cạnh siêu âm thì chụp cộng hưởng từ bằng cách sử dụng từ trường và sóng vô tuyến nhằm tạo ra hình ảnh chi tiết của các cơ quan và mô trong cơ thể cũng sẽ giúp bác sĩ tìm kiếm được sự hiện diện của mô lạc nội mạc tử cung, nhất là tại các vị trí nằm sâu, khuất sau các tạng hay gây nên tình trạng viêm, dây dính. Ngoài ra, việc can thiệp bằng nội soi ổ bụng cùng chậu cũng có thể được chỉ định, giúp bác sĩ chẩn đoán và điều trị tại chỗ.
Siêu âm đầu dò âm đạo là phương pháp thường được sử dụng phổ biến giúp bác sĩ chẩn đoán tình trạng mắc phải bệnh lý lạc nội mạc tử cung
Có thể thấy rằng, siêu âm lạc nội mạc tử cung là một phương pháp chẩn đoán cận lâm sàng đang được sử dụng phổ biến hiện nay giúp bác sĩ dễ dàng phát hiện ra các tế bào nội mạc tử cung nằm sai vị trí chỉ từ vài milimet. Tuy nhiên, bạn cần tìm hiểu và lựa chọn bác sĩ Sản phụ khoa thật kỹ bởi quá trình này yêu cầu rất cao ở trình độ chuyên môn của bác sĩ để xác định chính xác tình trạng bệnh cũng như phác đồ điều trị hiệu quả giúp hạn chế tối đa khả năng tái phát. Hiện nay, Bệnh viện ĐKQT Thu Cúc đang quy tụ các bác sĩ Sản khoa đầu ngành đến từ những bệnh viện chất lượng cao tuyến đầu như là bệnh viện Phụ Sản Trung Ương, bệnh viện Phụ sản Hà Nội… với hơn 30 năm kinh nghiệm sẽ giúp bạn đạt được kết quả điều trị hiệu quả nhất.






















