Gãy ngón chân: Nguyên nhân, triệu chứng và cách điều trị hiệu quả
Gãy ngón chân là một trong những bệnh thường gặp sau chấn thương phổ biến ở các bộ phận của bàn chân. Hiểu rõ về gãy ngón chân, nguyên nhân, triệu chứng cũng như cách điều trị sẽ giúp bạn bảo vệ tốt sức khỏe của mình, tránh được các hậu quả không mong muốn.
1. Nguyên nhân gây gãy ngón chân
Ngón chân có cấu trúc xương nhỏ, mỏng manh, dễ bị tổn thương nếu chịu tác động mạnh. Có nhiều nguyên nhân dẫn đến gãy ngón chân, trong đó chủ yếu là do các chấn thương trực tiếp và gián tiếp.
1.1 Chấn thương trực tiếp
Chấn thương trực tiếp thường là kết quả của các tác động mạnh vào ngón chân như:
– Va đập: Ngón chân bị va vào các vật cứng hoặc góc cạnh.
– Bị vật nặng rơi vào: Một đồ vật nặng vô tình rơi xuống chân, đặc biệt là ngón chân, gây áp lực lớn lên xương và dẫn đến gãy.
1.2 Chấn thương gián tiếp
Chấn thương gián tiếp xảy ra khi cơ thể chịu tác động nhưng lực được truyền đến ngón chân, gây gãy xương.
– Vấp ngã: Khi đi bộ hoặc chạy, nếu không để ý hoặc trượt chân, có thể dẫn đến gãy ngón chân.
– Chơi thể thao: Những môn thể thao yêu cầu phải hoạt động chân nhiều như đá bóng, bóng rổ, điền kinh, cầu lông, nhảy cao, nhảy xa,… đòi hỏi sự di chuyển nhanh và thay đổi hướng liên tục có thể gây ra áp lực không đều lên ngón chân, dễ dẫn đến gãy xương ngón chân.
1.3 Các yếu tố nguy cơ
Ngoài các nguyên nhân trực tiếp và gián tiếp, có một số yếu tố nguy cơ làm tăng khả năng bị gãy ngón chân:
– Tuổi tác: Người cao tuổi thường có xương giòn và dễ gãy hơn.
– Bệnh lý xương khớp: Các bệnh như loãng xương hoặc viêm khớp có thể làm giảm mật độ xương, khiến xương dễ gãy khi chịu tác động.
– Mật độ xương thấp: Người có mật độ xương thấp dễ gặp phải các vấn đề liên quan đến xương, bao gồm gãy xương khi va chạm nhẹ.
Ngã (té) cầu thang là một trong những nguyên nhân gây trật khớp, gãy xương.
2. Triệu chứng của gãy ngón chân
Khi bị gãy ngón chân, có nhiều dấu hiệu và triệu chứng mà bạn cần lưu ý:
2.1 Đau nhức dữ dội
Ngay sau khi bị chấn thương, ngón chân có thể đau nhức, đặc biệt là khi cố gắng di chuyển hoặc chạm vào.
2.2 Sưng tấy, bầm tím
Khu vực xung quanh ngón chân có thể sưng tấy và xuất hiện các vết bầm tím do tổn thương mô mềm xung quanh xương.
2.3 Biến dạng ngón chân
Trong một số trường hợp, ngón chân bị biến dạng rõ rệt, có thể bị uốn cong hoặc lệch khỏi vị trí bình thường.
2.4 Khó di chuyển
Người bị gãy ngón chân sẽ gặp khó khăn khi di chuyển hoặc bước đi. Việc đứng hoặc đi lại sẽ khiến đau đớn gia tăng.
2.5 Tê bì
Ngón chân có thể cảm thấy tê hoặc mất cảm giác do tổn thương thần kinh hoặc lưu thông máu bị cản trở.
Khi bị gãy ngón chân người bệnh thường cảm thấy đau đớn tại ngón chân bị gãy, khó cử động, sưng tấy, bầm tím và tê bì.
3. Chẩn đoán gãy ngón chân
Để xác định mức độ tổn thương, bạn cần đến bác sĩ để được thăm khám và chẩn đoán chính xác.
3.1 Khám lâm sàng
Bác sĩ sẽ tiến hành kiểm tra vùng bị tổn thương để đánh giá mức độ đau, sưng và biến dạng của ngón chân.
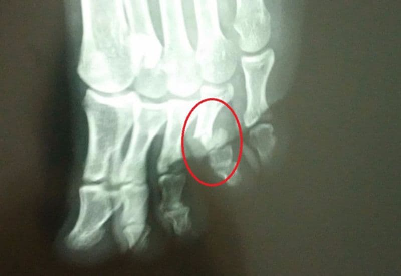
3.2 Chụp X-quang
Chụp X-quang là phương pháp chẩn đoán quan trọng nhất trong việc xác định gãy xương. Hình ảnh X-quang sẽ giúp bác sĩ nhận diện chính xác vị trí và mức độ gãy xương ngón chân của bạn.
3.3 Chẩn đoán chuyên sâu khác như chụp CT-scan, chụp MRI
Trong một số trường hợp nếu cần, bác sĩ có thể chỉ định chụp cắt lớp vi tính (CT-scan) hoặc chụp cộng hưởng từ (MRI) để đánh giá toàn diện hơn về chấn thương.
4. Cách điều trị gãy ngón chân
Tùy thuộc vào mức độ gãy xương và tình trạng sức khỏe của bệnh nhân, việc điều trị gãy ngón chân có thể bao gồm các phương pháp không phẫu thuật và phẫu thuật.
4.1 Điều trị không phẫu thuật
Hầu hết các trường hợp gãy ngón chân đều có thể điều trị mà không cần phẫu thuật.
Bó bột hoặc nẹp cố định
Bó bột hoặc sử dụng nẹp là phương pháp phổ biến để cố định ngón chân gãy, giúp xương liền lại đúng vị trí.
Dùng thuốc giảm đau, thuốc chống viêm
Bác sĩ có thể kê đơn thuốc giảm đau và thuốc chống viêm để giúp giảm sưng và đau nhức.
Nâng cao chân
Giữ chân ở vị trí nâng cao để giảm sưng và tăng cường lưu thông máu.
Đặt băng lạnh
Chườm lạnh vùng bị chấn thương có thể giúp giảm sưng và đau trong những giờ đầu sau khi bị gãy ngón chân.
4.2 Điều trị phẫu thuật khi bị gãy ngón chân
Trong một số trường hợp nghiêm trọng hơn, phẫu thuật là cần thiết để điều chỉnh lại xương hoặc chữa các tổn thương kèm theo.
Khi xương bị gãy bị di lệch nhiều
Nếu xương bị di lệch nhiều, bác sĩ có thể phải thực hiện phẫu thuật để đưa xương về đúng vị trí.
Trường hợp có các tổn thương kèm theo
Nếu ngón chân gãy kèm theo tổn thương mô mềm, dây thần kinh hoặc mạch máu, phẫu thuật có thể được thực hiện để xử lý những vấn đề này.
5. Biến chứng của gãy ngón chân
Nếu không được điều trị kịp thời, gãy ngón chân có thể gây ra nhiều biến chứng nghiêm trọng:
5.1 Viêm nhiễm
Vết thương có thể bị nhiễm trùng nếu không được chăm sóc đúng cách.
5.2 Xương không liền
Xương không liền lại như mong đợi, gây ra đau và hạn chế vận động.
5.3 Biến dạng ngón chân vĩnh viễn do gãy ngón chân không được điều trị hiệu quả.
Ngón chân có thể bị biến dạng vĩnh viễn nếu không điều trị kịp thời và hiệu quả.
5.4 Đau mãn tính
Việc không điều trị đúng cách có thể dẫn đến đau mãn tính, ảnh hưởng đến chất lượng cuộc sống.
Nếu không được phát hiện và điều trị kịp thời, gãy ngón chân kéo dài sẽ gây biến dạng ngón chân vĩnh viễn.
6. Phòng ngừa gãy xương ngón chân
Để tránh gãy ngón chân, bạn có thể thực hiện các biện pháp phòng ngừa sau:
6.1 Mang giày, dép phù hợp
Chọn giày, dép có kích thước và kiểu dáng phù hợp để bảo vệ ngón chân khỏi những tác động bên ngoài.
6.2 Cẩn thận khi đi lại trên bề mặt trơn trượt
Tránh đi lại hoặc chạy nhảy trên bề mặt trơn để giảm nguy cơ bị ngã và chấn thương ngón chân.
6.3 Tập thể dục đều đặn để tăng cường sức khỏe xương khớp
Tập luyện đều đặn giúp tăng cường độ chắc khỏe của xương và giảm nguy cơ chấn thương.
6.4 Làm ấm cơ thể trước khi hoạt động thể thao
Khởi động kỹ trước khi tham gia các hoạt động thể thao để tránh chấn thương bất ngờ.
Gãy ngón chân có thể gây ra nhiều hậu quả nghiêm trọng nếu không được phát hiện và điều trị đúng cách. Hiểu rõ nguyên nhân, triệu chứng và cách điều trị là yếu tố quan trọng để bảo vệ sức khỏe xương khớp của bạn. Đừng ngần ngại tham khảo ý kiến bác sĩ khi có dấu hiệu bất thường ở ngón chân để được tư vấn và điều trị kịp thời, tránh các biến chứng lâu dài.
















