5 Điều bạn cần biết về viêm phổi kẽ
Viêm phổi kẽ là một căn bệnh hô hấp nguy hiểm nhưng lại thường bị nhầm lẫn với các bệnh lý phổ biến khác như viêm phổi hay hen suyễn. Nếu không được phát hiện và điều trị kịp thời, bệnh có thể dẫn đến suy hô hấp và ảnh hưởng nghiêm trọng đến chất lượng cuộc sống. Trong bài viết này, chúng tôi sẽ chia sẻ 5 điều bạn cần biết về bệnh phổi kẽ – từ nguyên nhân, triệu chứng đến cách chẩn đoán hiệu quả.
1. Tìm hiểu về viêm phổi kẽ
1.1. Viêm phổi kẽ là gì?
Bệnh phổi kẽ (Interstitial Lung Disease – ILD) là thuật ngữ chung dùng để chỉ một nhóm bệnh lý ảnh hưởng đến các mô kẽ của phổi, bao gồm:
– Vách phế nang
– Khoang kẽ liên phế nang
– Mạch máu nhỏ trong phổi
Sự tổn thương kéo dài tại mô kẽ có thể dẫn đến xơ hóa phổi, làm giảm khả năng đàn hồi của phổi, gây ra khó thở, giảm trao đổi oxy và nếu không điều trị kịp thời, có thể gây suy hô hấp mạn tính.
Bệnh phổi kẽ (Interstitial Lung Disease – ILD) là thuật ngữ chung dùng để chỉ một nhóm bệnh lý ảnh hưởng đến các mô kẽ của phổi
1.2. Các tên gọi khác của viêm phổi kẽ
Viêm phổi kẽ có thể được biết đến với nhiều tên gọi khác nhau tùy theo nguyên nhân và dạng bệnh, bao gồm:
– Phế nang viêm xơ hóa vô căn (Idiopathic Pulmonary Fibrosis – IPF).
– Viêm phế nang mạn tính.
– Bệnh nhu mô phổi lan tỏa.
1.3. Đối tượng dễ mắc viêm phổi kẽ
– Bệnh thường gặp nhiều hơn ở nữ giới.
– Một số bệnh phổi kẽ có tính di truyền, thường khởi phát ở người trẻ từ 20 – 40 tuổi.
– Các trường hợp xơ phổi vô căn lại phổ biến hơn ở nhóm tuổi từ 50 trở lên.
1.4. Nguyên nhân viêm phổi kẽ
Bệnh phổi kẽ có thể do nhiều nguyên nhân khác nhau, được chia thành các nhóm chính:
Do hít phải các chất độc hại
– Bụi silic (bệnh bụi phổi silic)
– Bụi amiăng (Asbestosis)
– Kim loại độc hại như Beryllium (Berylliosis)
– Tiếp xúc lâu dài với khói hóa chất, khí độc, lông thú, mốc…
Do sử dụng thuốc
– Thuốc điều trị ung thư (hóa trị)
– Thuốc kháng sinh
– Thuốc điều trị thấp khớp
– Statin (thuốc hạ mỡ máu)
Do nhiễm trùng
– Viêm phổi không điển hình
– Lao phổi
– Viêm phổi do nấm, đặc biệt là Pneumocystis jirovecii ở người suy giảm miễn dịch
Bệnh hệ thống (bệnh tự miễn, tổ chức liên kết)
– Viêm đa rễ thần kinh
– Viêm cơ bì
– Viêm bì thần kinh
– Xơ cứng bì (xơ hệ thống)
– Lupus ban đỏ hệ thống (SLE)
– Viêm khớp dạng thấp (RA)
– Những bệnh này thường có đặc điểm viêm mạn tính, gây tổn thương mô liên kết trong toàn cơ thể, trong đó có phổi.
Bệnh ác tính
– Một số bệnh ung thư có thể gây viêm mô kẽ phổi, điển hình như:
– Viêm bạch mạch ung thư (Lymphangitic carcinomatosis): tình trạng các tế bào ung thư lan theo hệ bạch huyết trong phổi, gây phù nề và xơ hóa mô kẽ.
Nguyên nhân vô căn
– Trong nhiều trường hợp, nguyên nhân gây bệnh phổi kẽ không thể xác định được, được gọi là bệnh phổi kẽ vô căn. Một số thể bệnh tiêu biểu bao gồm:
– Xơ phổi vô căn (Idiopathic Pulmonary Fibrosis – IPF): là dạng phổ biến nhất và có tiên lượng nặng nề.
– Sarcoidosis: bệnh viêm hệ thống đặc trưng bởi sự hình thành các hạt u hạt không bã đậu ở nhiều cơ quan, bao gồm phổi.
– Hội chứng Hamman – Rich: còn gọi là viêm phổi mô kẽ lan tỏa cấp tính vô căn – một thể bệnh hiếm, tiến triển nhanh và nguy hiểm.
Bệnh phổi kẽ thường diễn tiến âm thầm, triệu chứng không đặc hiệu và dễ bị nhầm lẫn với hen suyễn, viêm phế quản, COPD
2. Triệu chứng lâm sàng của bệnh lý phổi kẽ
Bệnh phổi kẽ thường tiến triển âm thầm, với các triệu chứng không đặc hiệu, dễ bị bỏ qua hoặc nhầm lẫn với các bệnh lý hô hấp mạn tính khác như bệnh phổi tắc nghẽn mạn tính (COPD). Tuy nhiên, vẫn có một số dấu hiệu đặc trưng cần lưu ý:
2.1. Triệu chứng hô hấp
– Khó thở khi gắng sức: là triệu chứng sớm và phổ biến nhất, dần tiến triển thành khó thở ngay cả khi nghỉ ngơi nếu không điều trị.
– Nặng ngực hoặc cảm giác căng tức vùng ngực.
– Ho khan kéo dài: thường không có đờm hoặc rất ít đờm.
– Ho ra máu: có thể gặp trong một số thể bệnh, đặc biệt khi có biến chứng nhiễm trùng hoặc bệnh ác tính phối hợp.
– Ngón tay dùi trống: là biểu hiện ở giai đoạn muộn do thiếu oxy kéo dài, làm đầu ngón tay to và tròn.
2.2. Triệu chứng ngoài phổi
Tùy theo nguyên nhân gây bệnh phổi kẽ (đặc biệt là các bệnh hệ thống), bệnh nhân có thể xuất hiện các biểu hiện ngoài lồng ngực như:
– Đau và sưng khớp.
– Hạch ngoại vi sưng to.
– Hội chứng Raynaud: đầu ngón tay/ chân đổi màu khi tiếp xúc lạnh (trắng – tím – đỏ).
– Sụt cân không rõ nguyên căn.
– Sốt nhẹ kéo dài hoặc mệt mỏi mạn tính.
3. Các phương pháp chẩn đoán bệnh phổi kẽ
Chẩn đoán viêm phổi kẽ đòi hỏi kết hợp nhiều kỹ thuật hình ảnh, xét nghiệm và thủ thuật xâm lấn nhằm xác định chính xác nguyên nhân và mức độ tổn thương phổi. Một số phương pháp được chỉ định gồm:
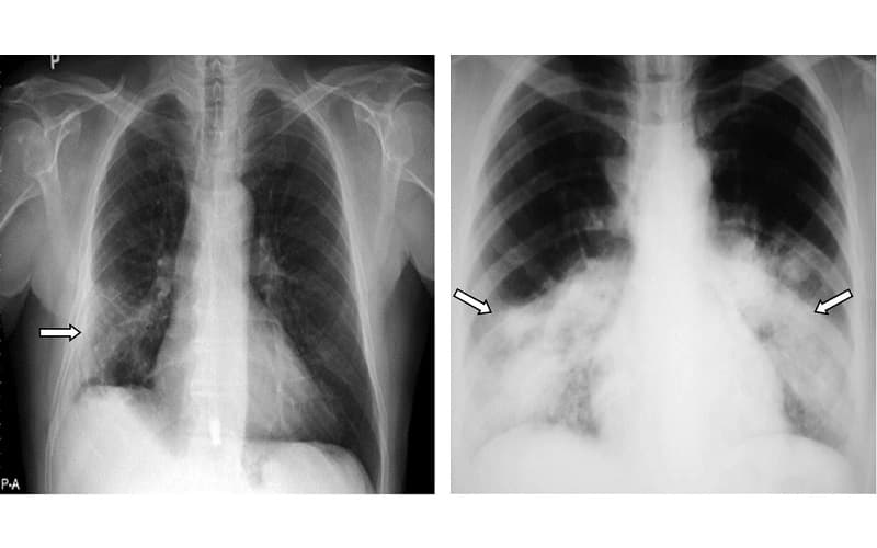
3.1. Chụp X quang ngực
Chụp X quang là bước đầu tiên trong quy trình chẩn đoán. Hình ảnh X quang có thể cho thấy các tổn thương mô kẽ như dày mô kẽ, lưới mờ, hình ảnh tổ ong… Tuy nhiên, X quang có thể bỏ sót các tổn thương nhỏ, nên thường cần kết hợp với các phương pháp khác.
3.2. Xét nghiệm máu
Giúp đánh giá tình trạng viêm, nhiễm trùng, các dấu hiệu bệnh tự miễn (như kháng thể ANA, anti – CCP…), hỗ trợ phân biệt bệnh phổi kẽ do nguyên nhân miễn dịch với các thể khác.
3.3. Đo khí máu
Kiểm tra mức độ oxy và carbon dioxide trong máu, giúp đánh giá chức năng hô hấp và tình trạng thiếu oxy do tổn thương phổi gây ra.
3.4. Soi phế quản ống mềm kết hợp rửa phế quản – phế nang
Phương pháp này giúp thu thập dịch từ phổi để phân tích tế bào, vi sinh vật và các chất chỉ điểm viêm. Thường được chỉ định khi nghi ngờ bệnh phổi kẽ do nhiễm trùng hoặc cần loại trừ ung thư, lao…
3.5. Sinh thiết
Sử dụng kim sinh thiết lấy mẫu mô phổi qua phế quản dưới hướng dẫn của hình ảnh. Thường áp dụng khi tổn thương ở gần phế quản lớn.
3.6. Sinh thiết phổi ngoại khoa
Được xem là phương pháp “tiêu chuẩn vàng” trong chẩn đoán mô học bệnh phổi kẽ. Có hai hình thức:
Sinh thiết qua nội soi lồng ngực (VATS): Ít xâm lấn hơn, phục hồi nhanh, được áp dụng phổ biến hiện nay.
Sinh thiết phổi mở: Chỉ thực hiện trong các trường hợp khó tiếp cận bằng nội soi.
Chụp X quang là một trong những phương pháp chẩn đoán quan trọng cho viêm phổi kẽ
Tổng kết lại, viêm phổi kẽ tuy không phổ biến như các bệnh hô hấp khác nhưng lại tiềm ẩn nhiều rủi ro nếu không được quan tâm đúng mức. Việc hiểu rõ các dấu hiệu, nguyên nhân và phương pháp điều trị sẽ giúp bạn chủ động bảo vệ sức khỏe của bản thân và người thân. Nếu có bất kỳ triệu chứng bất thường nào về hô hấp, đừng ngần ngại đến cơ sở y tế để được kiểm tra và tư vấn kịp thời.











