Viêm màng não tự miễn là gì?
Viêm màng não tự miễn là gì? Đây là một nguyên nhân hiếm gặp nhưng ngày càng được ghi nhận nhiều trong các bệnh lý viêm não, xảy ra khi hệ miễn dịch rối loạn và tự tấn công các tế bào não khỏe mạnh. Bệnh có thể gặp ở mọi lứa tuổi, thường khó chẩn đoán, nguy cơ để lại di chứng cao và có xu hướng gia tăng trong những năm gần đây. Bài viết dưới đây sẽ đề cập rõ ràng hơn về thông tin bệnh, nguyên nhân và hướng điều trị.
1. Viêm màng não tự miễn là bệnh gì?
Viêm màng não tự miễn là gì ngày càng được quan tâm trong nhóm bệnh lý viêm hệ thần kinh trung ương. Viêm não tự miễn là khái niệm tương đối mới, dùng để chỉ các bệnh viêm não khởi phát do phản ứng miễn dịch bất thường của cơ thể, trong đó hệ miễn dịch tấn công nhầm vào mô não khỏe mạnh. Bệnh có thể liên quan hoặc không liên quan đến khối u.
Trong các thể bệnh, viêm não tự miễn do kháng thể kháng thụ thể N-methyl-D-aspartate (NMDA) là dạng điển hình và được nghiên cứu nhiều nhất. Cơ chế bệnh sinh liên quan đến các tự kháng thể tấn công tiểu đơn vị GluN1 của thụ thể NMDA trong hệ thần kinh trung ương, dẫn đến rối loạn chức năng não.

2. Nguyên nhân và triệu chứng của viêm màng não tự miễn
2.1. Nguyên nhân viêm màng não tự miễn là gì?
Bệnh viêm não tự miễn là gì? Đây là bệnh khởi phát do rối loạn đáp ứng miễn dịch, khi hệ miễn dịch của cơ thể hoạt động sai lệch và tấn công nhầm các cấu trúc bình thường của não và tủy sống, dẫn đến phản ứng viêm. Cụ thể, các nguyên nhân viêm màng não tự miễn thường gặp bao gồm:
- Rối loạn miễn dịch sau nhiễm trùng: viêm màng não tự miễn có thể xuất hiện sau các đợt nhiễm trùng do vi khuẩn hoặc virus, khi đáp ứng miễn dịch bị kích hoạt quá mức và trở nên mất kiểm soát.
- Liên quan đến khối u: một số trường hợp bệnh xuất hiện trong bối cảnh có u tiềm ẩn như u buồng trứng, u tinh hoàn hoặc các khối u khác, gây rối loạn điều hòa miễn dịch.
- Hình thành tự kháng thể: hệ miễn dịch nhầm lẫn kháng nguyên bình thường trên tế bào thần kinh là “tác nhân lạ” và tạo ra các tự kháng thể tấn công não – tủy sống, điển hình như anti-NMDA, anti-LGI1, anti-CASPR2…
2.2. Triệu chứng của viêm màng não tự miễn là gì?
Triệu chứng viêm màng não tự miễn là gì? Bệnh thường khởi phát cấp hoặc bán cấp, tiến triển nhanh trong vài ngày đến vài tuần, với biểu hiện đa dạng, bao gồm cả triệu chứng thần kinh và rối loạn tâm thần. Đặc điểm này khiến viêm màng não tự miễn dễ bị nhầm lẫn với các bệnh lý tâm thần ở giai đoạn sớm.
- Triệu chứng thần kinh: suy giảm ý thức, rối loạn nhận thức, giảm khả năng học tập và làm việc, rối loạn ngôn ngữ, giảm trí nhớ; yếu hoặc liệt vận động tay chân; các cử động bất thường; nhiều thể co giật khác nhau; giảm hoặc mất thị lực.
- Triệu chứng tâm thần: rối loạn giấc ngủ, lo âu, thay đổi khí sắc, kích động, hành vi bất thường; các biểu hiện loạn thần như hoang tưởng, ảo giác (ảo thanh, ảo thị), hội chứng căng trương lực. Trong 1–2 tuần đầu, nhóm triệu chứng này thường chiếm ưu thế, khiến người bệnh dễ được điều trị tại chuyên khoa tâm thần.
- Triệu chứng tiến triển theo thời gian: từ tuần thứ ba trở đi, bệnh nhân có thể xuất hiện lơ mơ, giảm hoặc mất tiếp xúc, co giật tái diễn, nhai miệng không tự chủ gây tổn thương môi – lưỡi, gồng cứng tay chân và các vận động bất thường liên tục. Những dấu hiệu này gợi ý rõ rệt tổn thương thực thể của não.
- Biến chứng nặng: hôn mê, phù não do co giật kéo dài, suy hô hấp cần hỗ trợ thở máy, nguy cơ chết não; tiêu cơ vân dẫn đến suy thận cấp; liệt kéo dài kèm teo cơ và cứng khớp về sau.
Nhìn chung, triệu chứng viêm màng não tự miễn có xu hướng tiến triển nhanh, đôi khi chỉ trong vài ngày. Khi bệnh nặng, người bệnh có thể mất ý thức hoặc rơi vào hôn mê. Do đó, cần phân biệt bệnh với các rối loạn tâm thần mãn tính đã tồn tại nhiều tháng hoặc nhiều năm để chẩn đoán sớm và điều trị kịp thời.

3. Bệnh viêm não tự miễn có nguy hiểm không?
Bệnh viêm não tự miễn có nguy hiểm không? Câu trả lời là có. Đây là một bệnh lý nghiêm trọng của hệ thần kinh trung ương, có khả năng tiến triển nhanh và để lại hậu quả nặng nề nếu không được chẩn đoán và điều trị kịp thời. Về biến chứng, viêm não tự miễn có thể gây ra nhiều hậu quả nguy hiểm, bao gồm:
- Hôn mê do rối loạn ý thức và tổn thương não lan rộng.
- Tổn thương não vĩnh viễn, để lại di chứng thần kinh lâu dài như suy giảm trí nhớ, rối loạn vận động, rối loạn nhận thức.
- Co giật kéo dài dẫn đến phù não, suy hô hấp và rối loạn chức năng đa cơ quan.
- Trong một số ít trường hợp hiếm gặp, bệnh có thể tiến triển nặng và đe dọa tính mạng, thậm chí dẫn đến tử vong.
4. Cách chẩn đoán, điều trị viêm não tự miễn thế nào?
4.1. Cách chẩn đoán viêm màng não tự miễn
Chẩn đoán viêm màng não tự miễn là gì? Việc chẩn đoán bệnh đòi hỏi sự phối hợp giữa lâm sàng và các phương tiện cận lâm sàng chuyên sâu, do biểu hiện bệnh đa dạng và dễ nhầm lẫn với các nguyên nhân viêm não – viêm màng não khác.
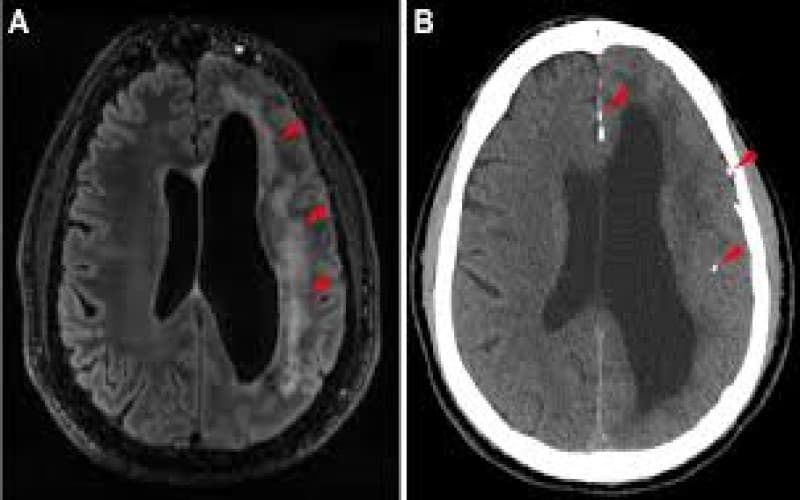
- Chụp cộng hưởng từ (MRI) não: đa số trường hợp có hình ảnh bình thường; tuy nhiên, một số bệnh nhân có thể ghi nhận tổn thương tại thùy thái dương, hải mã, thùy trán, thùy chẩm, nhân xám trung ương hoặc tổn thương vỏ và dưới vỏ não hai bên.
- Điện não đồ (EEG): thường phát hiện các bất thường gợi ý viêm não tự miễn như sóng chậm lan tỏa, sóng dạng động kinh hoặc hình ảnh đặc trưng kiểu sóng delta “điềm bàn chải”.
- Xét nghiệm dịch não tủy: có thể thấy tăng bạch cầu lympho, tăng protein, xuất hiện dải oligoclonal band. Đặc biệt, phát hiện kháng thể kháng thụ thể NMDA trong dịch não tủy hoặc huyết thanh là tiêu chuẩn quan trọng giúp chẩn đoán xác định bệnh.
- Tầm soát khối u tiềm ẩn: do viêm màng não tự miễn có thể liên quan đến u, người bệnh cần được sàng lọc bằng các phương tiện hình ảnh học như cắt lớp vi tính (CT), cộng hưởng từ (MRI) hoặc PET-CT để phát hiện và xử trí nguyên nhân nền.
4.2. Viêm não tự miễn có chữa được không?
Trong điều trị viêm màng não, bác sĩ sẽ dựa trên nguyên tắc điều trị như điều trị cấp tính và ức chế miễn dịch, ngoài ra việc chữa trị lâu dài cũng cần tuân thủ một số lưu ý sau đây:
- Nguyên tắc chung: điều trị cần được triển khai sớm và toàn diện, bao gồm kiểm soát quá trình viêm đang tiến triển, dự phòng tái phát, điều trị triệu chứng và phục hồi chức năng sau giai đoạn cấp.
- Điều trị miễn dịch giai đoạn cấp tính: ưu tiên sử dụng steroid liều cao, trao đổi huyết tương (PLEX) hoặc globulin miễn dịch truyền tĩnh mạch (IVIG) nhằm nhanh chóng ức chế đáp ứng miễn dịch bất thường của hệ thần kinh trung ương.
- Điều trị ức chế miễn dịch tăng cường: trong trường hợp bệnh diễn tiến nặng hoặc đáp ứng kém với phác đồ ban đầu, có thể cân nhắc các thuốc ức chế miễn dịch khác như Rituximab, Cyclophosphamide…
- Điều trị triệu chứng và hỗ trợ: tùy tình trạng lâm sàng, bệnh nhân có thể cần dùng thuốc an thần, thuốc chống động kinh, các biện pháp dự phòng nhiễm trùng và chăm sóc hồi sức nhằm giảm mức độ biểu hiện của bệnh.
- Theo dõi và điều trị lâu dài: sau giai đoạn cấp, việc theo dõi định kỳ, duy trì điều trị miễn dịch khi cần và phục hồi chức năng đóng vai trò quan trọng trong cải thiện tiên lượng, từ đó cho thấy viêm não tự miễn có chữa được không phụ thuộc lớn vào chẩn đoán sớm và điều trị đúng phác đồ.

Như vậy, việc hiểu rõ viêm màng não tự miễn là gì giúp người bệnh và gia đình nhận biết sớm các triệu chứng, từ đó chủ động thăm khám và điều trị kịp thời. Nhờ vậy, quá trình kiểm soát bệnh hiệu quả hơn, giảm nguy cơ biến chứng nghiêm trọng và cải thiện chất lượng cuộc sống cho người bệnh.













