Cấp cứu:0901793122
English
Bệnh Viện Đa Khoa Quốc Tế Thu Cúc | TCI Hospital
Chăm sóc sức khoẻ trọn đời cho bạn
Tổng đài1900558892
Bệnh cơ xương khớp

Bệnh cơ xương khớp

Trang chủ/Sống khỏe/Bệnh cơ xương khớp
Gãy xương là gì? Biểu hiện và cách làm xương mau lành nhất

Gãy xương là gì? Biểu hiện và cách làm xương mau lành nhất

Gãy xương là gì? Nó có biểu hiện như thế nào và làm sao để làm xương mau lành nhất? Cùng tham khảo ngay thông tin chi tiết về bệnh gãy xương và giải pháp điều trị cũng như cách làm xương mau lành nhất qua bài viết dưới đây. 1. Gãy xương là gì? […]
Đứt dây chằng chéo trước rách sụn chêm chữa thế nào?

Đứt dây chằng chéo trước rách sụn chêm chữa thế nào?

Tổn thương đứt dây chằng chéo trước rách sụn chêm đầu gối xảy ra khá nhiều trong cuộc sống thường ngày. Đó có thể là chấn thương không may khi chơi thể thao, ngã, do tai nạn giao thông hay tai nạn lao động… Vậy tình trạng này nghiêm trọng đến đâu và cách chữa […]
Trẹo chân chườm nóng hay chườm lạnh?

Trẹo chân chườm nóng hay chườm lạnh?

Trong lao động, vui chơi, tập thể dục thể thao thường ngày đôi lúc không tránh khỏi những chấn thương như trẹo chân, sai khớp, gãy xương,… Để đảm bảo chấn thương không nặng thêm thì việc cấp cứu tại chỗ như băng bó, cầm máu, cố định, vận chuyển,… vô cùng quan trọng. Tuy […]
Bị trẹo chân nên ăn gì và kiêng ăn gì?

Bị trẹo chân nên ăn gì và kiêng ăn gì?

Trẹo chân rất dễ dẫn đến hiện tượng bong gân, trật khớp gây đau đớn, hạn chế khả năng vận động của người bệnh. Để giúp những chấn thương này mau lành thì chế độ ăn uống và sinh hoạt vô cùng quan trọng. Vậy bị trẹo chân nên ăn gì và trẹo chân kiêng […]
Trẹo chân có nên bôi dầu?

Trẹo chân có nên bôi dầu?

Chồng tôi thường xuyên đi đá bóng, 1 tuần 2-3 buổi, thỉnh thoảng bị trật khớp, trẹo chân. Vì thế tôi muốn tìm hiểu kĩ các phương pháp xử trí sao cho hợp lý. Nhiều người khuyên nên bôi dầu nóng nhiều người lại khuyên không nên, làm tôi rất băn khoăn. Vậy bác sĩ […]
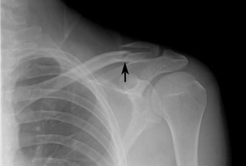
Gãy xương đòn bao lâu chạy xe lại được?

Gãy xương đòn bao lâu chạy xe lại được?

Chào bác sĩ! Em bị gãy 1/3 xương đòn vai phải và mổ phẫu thuật được hai tuần rồi ạ. Vai của em vẫn còn đau nên muốn hỏi gãy xương đòn bao lâu thì hồi phục hoàn toàn và gãy xương đòn bao lâu chạy xe máy lại được ạ? Cần lưu ý gì để […]
Những biến chứng thường gặp của gãy xương đòn

Những biến chứng thường gặp của gãy xương đòn

Xương đòn hay còn được gọi là xương quai xanh rất dễ gãy, nó chiếm khoảng 5% các trường hợp gãy xương ở người lớn. Biến chứng gãy xương đòn ảnh hưởng khá nhiều tới sức khỏe và sinh hoạt của người bệnh. Các trường hợp gãy xương đòn xảy ra do bị té ngã […]
13 MẸO chữa chuột rút ở bắp chân ban đêm khi ngủ NHANH NHẤT

13 MẸO chữa chuột rút ở bắp chân ban đêm khi ngủ NHANH NHẤT

Chuột rút bắp chân là hiện tượng mà nhiều người gặp phải ngay cả ban đêm khi ngủ cũng bị chuột rút, các bà bầu khi mang thai cũng rất hay bị chuột rút bắp chân vào ban đêm. Ngoài ra nó còn biểu hiện một số bệnh lý liên quan tới sức khỏe của […]
Viêm cơ thang là gì?

Viêm cơ thang là gì?

Viêm cơ thang là tình trạng mà nhiều người gặp phải. Bệnh không chỉ gây đau đớn tại bó cơ mà còn ảnh hưởng tới các vùng lân cận và gây khó chịu cho phần thân quanh cổ của mọi người. Dưới đây là những thông tin tương đối đầy đủ về viêm cơ thang. […]
Viêm xương tủy có nguy hiểm không?

Viêm xương tủy có nguy hiểm không?

Chào bác sĩ. Tôi đang băn khoăn không biết bệnh viêm xương tủy có nguy hiểm không? Cách đây 1 tháng tôi có đi khám thì được chẩn đoán mắc bệnh này và hiện tại đang dùng thuốc chữa trị. Tôi rất lo lắng mong bác sĩ tư vấn giúp. Tôi cảm ơn! Duy Tùng […]
Gãy chân bao lâu đi được & Cách tập đi cho người gãy chân?

Gãy chân bao lâu đi được & Cách tập đi cho người gãy chân?

Gãy chân bao lâu đi được, tập luyện như thế nào đúng cách là thắc mắc của nhiều người bị gãy xương chân muốn hồi phục nhanh. Theo đó, phải mất vài tuần thậm chí hàng tháng, xương chân mới có thể liền lại sau gãy chân ảnh hưởng nhiều đến hoạt động đi lại. […]
Nguyên nhân đau lưng cơ năng

Nguyên nhân đau lưng cơ năng

Đau lưng cơ năng là một trong những bệnh phổ biến gặp ở những người ngồi nhiều như những người làm việc văn phòng. Đau lưng cơ năng là bệnh lý không dễ điều trị dứt khoát mà đòi hỏi người bệnh cần kiên trì tập vật lý trị liệu. Vậy nguyên nhân gây đau […]
Đau lưng cơ năng là gì?

Đau lưng cơ năng là gì?

Đau lưng là hiện tượng nhiều người gặp phải. Tuy nhiên đau lưng cơ năng lại là tên gọi khá lạ lẫm với nhiều người. Vậy đau lưng cơ năng là gì? Nguyên nhân nào dẫn đến đau lưng cơ năng? Bạn có thể tham khảo những thông tin dưới đây để hiểu rõ hơn […]
Cách chữa trẹo chân nhanh khỏi

Cách chữa trẹo chân nhanh khỏi

Trẹo chân thường gặp ở cổ chân, khiến người bệnh đau đớn, hạn chế khả năng vận động. Trong trường hợp nặng trẹo chân cần được thăm khám và xử trí kịp thời, tránh những biến chứng nguy hiểm. Tham khảo ngay những cách chữa trẹo chân nhanh khỏi nhất tại nhà. Trẹo chân là […]
Gãy xương đòn kiêng ăn gì?

Gãy xương đòn kiêng ăn gì?

Gãy xương đòn là một tình trạng chấn thương xương khớp rất phổ biến trong đời sống hằng ngày. Ngoài việc sử dụng thuốc và các phương pháp điều trị gãy xương, một chế độ dinh dưỡng hợp lý cho người bị gãy xương đòn. Vậy gãy xương đòn kiêng ăn gì? và nên ăn […]
Tìm hiểu về mổ đứt dây chằng đầu gối

Tìm hiểu về mổ đứt dây chằng đầu gối

Nhiều bệnh nhân được chỉ định mổ đứt dây chằng đầu gối sau khi không may gặp tai nạn hoặc do chơi thể thao… Tổn thương này không hiếm gặp trong cuộc sống thường ngày và cần được điều trị sớm, kịp thời. Có các phương pháp phẫu thuật dây chằng khác nhau. Vậy phương […]
1900558892
zaloChat