Cấp cứu:0901793122
English
Bệnh Viện Đa Khoa Quốc Tế Thu Cúc | TCI Hospital
Chăm sóc sức khoẻ trọn đời cho bạn
Tổng đài1900558892
Bệnh cơ xương khớp

Bệnh cơ xương khớp

Trang chủ/Sống khỏe/Bệnh cơ xương khớp
Dinh dưỡng cho người mắc bệnh xương khớp

Dinh dưỡng cho người mắc bệnh xương khớp

Khi mắc các bệnh lý ở xương khớp, ngoài việc tuân thủ theo đúng phương pháp điều trị của bác sĩ thì người bệnh cũng cần có chế độ dinh dưỡng phù hợp. Dưới đây là những lưu ý về dinh dưỡng cho người mắc bệnh xương khớp. Theo các chuyên gia y tế, việc […]
Phòng ngừa thoái hóa khớp hiệu quả

Phòng ngừa thoái hóa khớp hiệu quả

Thoái hóa khớp đang có xu hướng gia tăng không chỉ gặp ở người trung niên, cao tuổi mà còn xuất hiện ở người trẻ tuổi. Vì thế việc phòng ngừa thoái hóa khớp đúng cách sẽ giúp ngăn chặn nguy cơ mắc bệnh, tránh các biến chứng không tốt cho xương khớp sau này. […]
Tiết lộ những nguyên nhân gây viêm khớp cổ chân

Tiết lộ những nguyên nhân gây viêm khớp cổ chân

Viêm khớp cổ chân là tình trạng hư hỏng phần sụn đệm giữa hai đầu xương do giảm sút lượng dịch nhầy bôi trơn, khiến khớp mắt cá chân bị đau nhức. Có nhiều nguyên nhân gây viêm khớp cổ chân mà chúng ta ít biết. Nguyên nhân gây bệnh Do lão hóa của tuổi […]
Yếu tố làm tăng khả năng mắc thoái hóa khớp

Yếu tố làm tăng khả năng mắc thoái hóa khớp

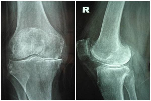
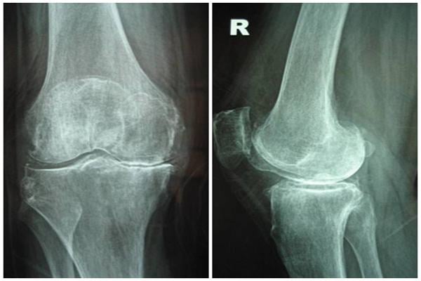
Thoái hóa khớp là hiện tượng thoái hóa loạn dưỡng của khớp với biểu hiện là sự biến đổi ở bề mặt sụn khớp, hình thành các gai xương. Khi không được phát hiện và điều trị sớm, thoái hóa khớp có thể gây biến dạng khớp. Dưới đây là các yếu tố làm tăng […]
Cách chữa đau khớp bằng nọc ong hiệu quả Triệt Để nhất

Cách chữa đau khớp bằng nọc ong hiệu quả Triệt Để nhất

Nọc ong được xem là một loại độc dược bởi chứa nhiều thành phần axit formic. Tuy nhiên, có nhiều trường hợp mật ong lại là “thần dược” chữa bệnh khá hiệu quả. Theo các nhà khoa học Hàn Quốc, thành phần chính của nọc ong chứa chất melittin có thể giúp trị bệnh viêm […]
5 Ngành nghề gây hại nặng nề cho xương khớp bạn nên biết

5 Ngành nghề gây hại nặng nề cho xương khớp bạn nên biết

Các bệnh lý về xương khớp có thể xảy ra ở bất kỳ ngành nghề nào với mức độ khác nhau tùy thuộc vào sức đề kháng của mỗi người. Theo các chuyên gia y tế, có 5 ngành nghề gây hại nặng nề cho xương khớp mà không phải ai cũng biết. Nhân viên […]
Cách phòng ngừa đau khớp sau khi quan hệ hiệu quả nhất

Cách phòng ngừa đau khớp sau khi quan hệ hiệu quả nhất

Đau khớp sau khi quan hệ là tình trạng thường gặp của các cặp đôi. Chỉ cần biết cách điều hòa, khắc phục thì hiện tượng này sẽ được đẩy lùi. Hãy tham khảo ngay bài viết dưới đây để biết cách không bị đau khớp sau khi ân ái nhé! Trong quá trình quan […]
Chớ chủ quan khi bị rạn xương chậu để tránh biến chứng nguy hiểm

Chớ chủ quan khi bị rạn xương chậu để tránh biến chứng nguy hiểm

Rạn xương chậu là một dạng của gãy xương chậu tức là gãy xương kín, không bị di lệch (xương chưa tách ra khỏi chiều dọc, chiều ngang hoặc chưa lòi ra ngoài da). Rạn xương chậu nếu không được phát hiện kịp thời và điều trị đúng cách có thể để lại di chứng […]
Hỏi đáp về tình trạng giãn dây chằng lưng

Hỏi đáp về tình trạng giãn dây chằng lưng

Giãn dây chằng lưng là một chấn thương khá thường gặp, ảnh hưởng nhiều tới sức khỏe, khả năng vận động và có thể gây liệt nếu không được xử trí kịp thời. Vì thế, việc hiểu đúng về tình trạng giãn dây chằng lưng sẽ giúp chúng ta phát hiện và có biện pháp […]
Khám cơ xương khớp ở bệnh viện Thu Cúc có tốt không?

Khám cơ xương khớp ở bệnh viện Thu Cúc có tốt không?

Chào chuyên mục tư vấn, tôi thường xuyên thấy đau khi vận động, khi thay đổi tư thế, có cảm giác khớp bị lỏng lẻo, nghe tiếng lạo xạo ở khớp. Tôi rất lo lắng và đã đi khám ở bệnh viện Bạch Mai Hà Nội, các bác sĩ ở đó bảo tôi bị bệnh […]
Chữa bệnh thấp khớp ở đâu tốt và uy tín tại Hà Nội?

Chữa bệnh thấp khớp ở đâu tốt và uy tín tại Hà Nội?

Thấp khớp là tình trạng xuất hiện phổ biến, không chỉ gây đau đớn mà còn tiềm ẩn nhiều biến chứng nguy hiểm cho sức khỏe. Vậy nguyên nhân gây tình trạng thấp khớp do đâu? Triệu chứng và cách điều trị của bệnh lý này được thực hiện như thế nào? Để trả lời […]
Nguyên nhân gây tình trạng đau vai gáy, cách khắc phục

Nguyên nhân gây tình trạng đau vai gáy, cách khắc phục

Đau vai gáy là tình trạng khá nhiều người gặp phải và gây ảnh hưởng nhiều đến chất lượng cuộc sống. Vậy nguyên nhân nào gây nên tình trạng này, cách khắc phục như thế nào là tối ưu nhất hãy cùng tham khảo trong bài viết dưới đây! Đau vai gáy là gì, nguyên […]
Đau xương chậu bên phải khi mang thai

Đau xương chậu bên phải khi mang thai

Đau xương chậu bên phải khi mang thai là triệu chứng mà chị em rất hay gặp phải. Thế nhưng, tùy vào cơ địa từng người mà mức độ đau khác nhau. Đau xương chậu khi mang thai không ảnh hưởng tới thai nhi. Theo các chuyên gia y tế, khi mang thai cơ thể […]
Sai lầm khi xử trí trật khớp nên biết để tránh ảnh hưởng về sau

Sai lầm khi xử trí trật khớp nên biết để tránh ảnh hưởng về sau

Trật khớp thường gặp trong tai nạn giao thông, tai nạn lao động hoặc chấn thương khi chơi thể thao. Tuy nhiên nhiều người có quan niệm sai lầm khi xử trí trật khớp dẫn tới bệnh tiến triển nặng, để lại hậu quả hết sức nặng nề. Trật khớp là sự di chuyển bất […]
Các vị trí thường bị giãn dây chằng mà bạn có thể gặp phải

Các vị trí thường bị giãn dây chằng mà bạn có thể gặp phải

Giãn dây chằng là một chấn thương thường gặp khi dây chằng bị căng, kéo quá mức nhưng không đứt hẳn mà gây đau đớn khó chịu. Dưới đây là các vị trí thường bị giãn dây chằng trên cơ thể hay gặp. Các vị trí thường bị giãn dây chằng Các vị trí thường […]
Bệnh nhân mắc bệnh gout có thể bị sỏi thận acid uric

Bệnh nhân mắc bệnh gout có thể bị sỏi thận acid uric

Sỏi thận và gout là 2 bệnh lý đang ngày càng trở nên phổ biến, mà nguyên nhân chủ yếu gây ra các bệnh lý trên chủ yếu là do tăng acid uric trong máu. Có khoảng 20% bệnh nhân mắc bệnh gout có thể bị sỏi thận, đặc biệt là sỏi acid uric. Hãy […]
1900558892
zaloChat