Viêm khớp thái dương hàm là gì? Nguyên nhân và dấu hiệu
Viêm khớp thái dương hàm khiến người bệnh đau vùng hàm và khó há miệng, nhai hay nói chuyện. Bệnh có thể liên quan đến nhiều nguyên nhân như nghiến răng, chấn thương hoặc rối loạn cấu trúc khớp. Hiểu rõ viêm khớp thái dương hàm là gì, các dấu hiệu và cách điều trị sẽ giúp bạn có hướng chăm sóc phù hợp để bảo vệ sức khỏe khớp hàm.
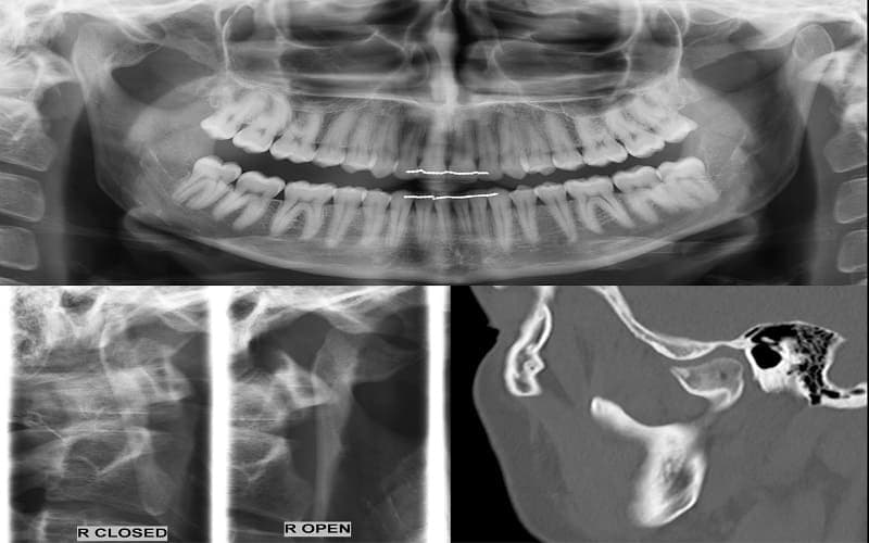
1. Viêm khớp thái dương hàm là gì?
Viêm khớp thái dương hàm là tình trạng khớp nối giữa xương hàm dưới và xương thái dương (nằm ngay trước tai) bị viêm, thoái hóa hoặc rối loạn vận động. Khi khớp này bị tổn thương, người bệnh có thể bị đau vùng hàm và gặp khó khăn khi há miệng, nhai hoặc nói chuyện. Ngoài ra, viêm khớp thái dương hàm cũng có thể gây đau ở các cơ tham gia vận động hàm.

2. Viêm khớp thái dương hàm xảy ra như thế nào?
Cơ chế viêm khớp thái dương hàm là gì? Nó thường liên quan đến tình trạng khớp hàm bị quá tải trong thời gian dài, gây vi chấn thương lặp lại rồi dẫn đến viêm hoặc thoái hóa. Ngoài ra, bệnh cũng có thể xảy ra do chấn thương hoặc một số bệnh lý khớp toàn thân. Có thể hiểu cơ chế này qua một số nguyên nhân chính sau:
- Quá tải khớp do thói quen sinh hoạt: Nghiến răng, siết chặt răng, nhai kẹo cao su nhiều hoặc nhai một bên trong thời gian dài có thể làm cơ hàm và khớp hàm bị quá tải. Lâu dần, tình trạng này gây đau cơ nhai, đau khớp và khó vận động hàm.
- Rối loạn bên trong khớp: Trong khớp thái dương hàm có một đĩa khớp giúp hàm vận động trơn tru. Khi đĩa khớp bị lệch hoặc vận động không đồng bộ với xương hàm, người bệnh có thể nghe tiếng lục cục, há miệng bị lệch hoặc đôi khi bị kẹt hàm.
- Viêm, thoái hóa khớp hoặc chấn thương: Một số trường hợp viêm khớp thái dương hàm còn liên quan đến chấn thương vùng hàm, viêm khớp hoặc thoái hóa khớp. Những tình trạng này có thể làm tổn thương cấu trúc khớp và gây đau khi cử động hàm.
Ngoài ra, ở nhiều người bệnh, viêm khớp thái dương hàm có thể xuất hiện do sự kết hợp của nhiều yếu tố như stress, thói quen nghiến răng hoặc đặc điểm cơ địa của từng người.

3. Nguyên nhân viêm khớp thái dương hàm
Vậy nguyên nhân viêm khớp thái dương hàm là gì? Điều này có thể liên quan đến nhiều yếu tố khác nhau. Khớp thái dương hàm là khớp giúp hàm vừa đóng – mở như bản lề, vừa trượt nhẹ để thực hiện các động tác nhai và nói. Khi các cấu trúc trong khớp bị tổn thương hoặc hoạt động không bình thường, tình trạng viêm và đau có thể xảy ra.
Một số nguyên nhân viêm khớp thái dương hàm thường gặp bao gồm:
- Đĩa khớp bị lệch hoặc bị mòn: Đĩa khớp nằm giữa hai đầu xương giúp giảm lực và giúp khớp vận động trơn tru. Khi đĩa này bị lệch hoặc thoái hóa, khớp hàm có thể đau và phát ra tiếng kêu khi cử động.
- Căng hoặc tổn thương dây chằng, mô mềm quanh khớp: Các dây chằng và mô mềm giúp giữ ổn định khớp hàm. Nếu bị căng, giãn hoặc tổn thương, khớp có thể bị viêm và gây đau.
- Viêm khớp hoặc thoái hóa khớp: Một số bệnh lý khớp như viêm khớp dạng thấp hoặc thoái hóa khớp có thể làm hỏng lớp sụn của khớp thái dương hàm.
- Chấn thương vùng hàm: Va đập mạnh, tai nạn hoặc trật khớp hàm có thể làm tổn thương cấu trúc khớp và gây viêm.
- Co thắt cơ hàm: Cơ hàm bị căng hoặc co thắt kéo dài cũng có thể liên quan đến rối loạn khớp thái dương hàm.
Trong nhiều trường hợp, viêm khớp thái dương hàm không chỉ do một nguyên nhân duy nhất mà thường là sự kết hợp của nhiều yếu tố khác nhau.
4. Dấu hiệu viêm khớp thái dương hàm
Nếu khớp hàm chỉ phát ra tiếng lách cách hoặc tiếng “tách” nhỏ khi cử động nhưng không gây đau, đây thường là hiện tượng khá phổ biến. Trong nhiều trường hợp, tình trạng này không nguy hiểm và chưa cần điều trị.
Dấu hiệu viêm khớp thái dương hàm thường gặp bao gồm:
- Đau vùng hàm và khu vực xung quanh: Một trong những dấu hiệu viêm khớp thái dương hàm dễ nhận thấy là đau ở vùng khớp hàm. Viêm khớp thái dương hàm biểu hiện bằng cơn đau hoặc cảm giác nhạy cảm ở khớp, đôi khi lan ra toàn bộ vùng mặt.
- Viêm khớp thái dương hàm đau tai: Cảm giác đau trong tai hoặc quanh tai dù không bị viêm tai. Một số trường hợp còn kèm theo đau vùng mắt.

- Đau răng, đau đầu hoặc đau cổ: Cơn đau có thể lan sang răng, đầu hoặc cổ. Người bệnh có thể bị đau đầu thường xuyên hoặc cảm thấy đau nhức vùng cổ – vai.
- Khó vận động hàm: Viêm khớp thái dương hàm biểu hiện rõ khi ăn uống hoặc nói chuyện, như: Đau hoặc khó nhai thức ăn, kẹt hàm; khó mở hoặc đóng miệng; cứng hàm, nhất là sau khi ngủ dậy hoặc sau khi nhai thức ăn dai
- Tiếng kêu và thay đổi khớp cắn: Có tiếng lục cục, lách cách hoặc cảm giác cọ xát trong khớp khi há miệng hoặc nhai. Cảm giác hai hàm răng không còn khớp tự nhiên như trước.
5. Viêm khớp thái dương hàm có nguy hiểm không?
Thông thường, viêm khớp thái dương hàm không nguy hiểm đến tính mạng. Đây chủ yếu là vấn đề liên quan đến cơ và khớp vùng hàm mặt, gây đau hoặc ảnh hưởng đến vận động hàm. Nhiều trường hợp có thể cải thiện khi để hàm nghỉ ngơi, hạn chế nhai thức ăn cứng, tập vật lý trị liệu hoặc sử dụng máng nhai theo hướng dẫn của bác sĩ.
Tuy nhiên, nếu tình trạng kéo dài hoặc không được điều trị đúng cách, viêm khớp thái dương hàm vẫn có thể gây ra một số ảnh hưởng lâu dài như:
- Đau mạn tính vùng hàm – mặt – đầu cổ: Cơn đau có thể kéo dài, gây khó chịu và làm giảm chất lượng cuộc sống.
- Khó ăn nhai, hạn chế há miệng: Người bệnh có thể gặp tình trạng há miệng khó, kẹt hàm hoặc giảm tầm vận động của khớp.
- Rối loạn chức năng nhai: Nghiến răng hoặc siết răng kéo dài có thể làm tổn thương răng và khớp hàm.
Vì vậy, dù không phải bệnh quá nguy hiểm, người có dấu hiệu viêm khớp thái dương hàm vẫn nên theo dõi và đi khám khi triệu chứng kéo dài để tránh biến chứng.
6. Điều trị viêm khớp thái dương như thế nào?

6.1. Điều trị tại nhà
Khi bắt đầu cảm thấy khó chịu, bạn nên thực hiện các bước đơn giản sau:
- Chế độ ăn: Ưu tiên thực phẩm mềm, tránh nhai kẹo cao su hoặc cắn vật cứng.
- Vật lý trị liệu tại chỗ: Chườm nóng hoặc lạnh kết hợp các bài tập kéo giãn cơ hàm nhẹ nhàng.
- Thay đổi thói quen: Kiểm soát việc nghiến răng và siết chặt hàm.
- Thuốc không kê đơn: Sử dụng thuốc giảm đau, kháng viêm thông thường (như Ibuprofen).
6.2. Các liệu pháp chuyên sâu hơn
Nếu các bước trên không hiệu quả, bác sĩ có thể chỉ định:
- Vật lý trị liệu chuyên nghiệp: Trị liệu bằng tay để phục hồi khả năng vận động của mô mềm xung quanh khớp.
- Sức khỏe hành vi: Liệu pháp nhận thức hành vi (CBT) và phản hồi sinh học (Biofeedback) giúp kiểm soát căng thẳng, thói quen siết hàm.
- Thiết bị hỗ trợ: Máng bảo vệ ban đêm hoặc nẹp răng (lưu ý không dùng loại làm thay đổi khớp cắn vĩnh viễn).
- Thuốc kê đơn: Thuốc giãn cơ, chống lo âu hoặc giảm đau mạnh hơn dưới sự giám sát y tế.
6.3. Các thủ thuật và can thiệp y khoa
Chỉ cân nhắc khi các phương pháp trên thất bại:
- Tiêm và chọc hút: Tiêm tăng sinh (Prolotherapy), chọc hút dịch khớp hoặc tiêm Botulinum để giảm đau và viêm (hiệu quả tùy trường hợp).
- Nội soi khớp: Kỹ thuật xâm lấn tối thiểu giúp chẩn đoán, loại bỏ mô dính hoặc định vị lại đĩa đệm.
- Phẫu thuật và cấy ghép: Đây là lựa chọn cuối cùng khi khớp bị tổn thương vĩnh viễn hoặc biến dạng bẩm sinh.
Bài viết trên đã giúp bạn hiểu rõ hơn viêm khớp thái dương hàm là gì. Tình trạng này có thể gây đau vùng hàm – thái dương, xuất hiện tiếng kêu ở khớp, mỏi cơ nhai và khó há miệng. Trong nhiều trường hợp, triệu chứng có thể cải thiện khi nghỉ ngơi, điều chỉnh thói quen nhai và chăm sóc đúng cách. Tuy nhiên, bạn nên đi khám Răng – Hàm – Mặt nếu cơn đau kéo dài, đau tăng khi nhai hoặc thấy hàm bị lệch rõ rệt. Điều trị sớm sẽ giúp giảm đau, cải thiện chức năng nhai và hạn chế biến chứng lâu dài.













