Gãy Xương Đòn Vai: Triệu chứng, nguyên nhân & Cách điều trị
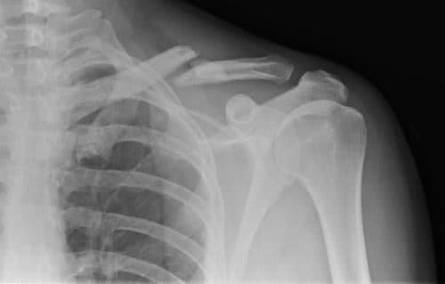
Xương đòn hay còn gọi là xương quai xanh là một xương dài tạo nên một phần bả vai, nó có hình chữ S, mỏng và dẹt nên rất dễ bị gãy. Vậy gãy xương đòn có triệu chứng như thế nào, cách điều trị ra sao? Cùng tìm hiểu về gãy xương đòn vai bằng các thông tin dưới đây.
- Gãy xương đòn có quan hệ được không
- Chi phí mổ gãy xương đòn
Nguyên nhân gãy xương đòn
Xương đòn hay còn gọi là xương quai xanh là một xương dài tạo nên một phần bả vai, nó có hình chữ S, mỏng và dẹt nên rất dễ bị gãy.
Xương đòn nằm ở vị trí một đầu đòn khớp với xương ức qua khớp đòn, đầu còn lại khới với xương bả vai qua khớp cùng đòn vai từ đó xương cánh tay được treo vào qua khớp vai, có tác dụng treo cánh tay vào thân mình giống như cánh máy bay gắn vào thân máy bay.
Xương đòn có cấu trúc là mỏng, dẹt, nằm ở ngay dưới da, phía trước dưới vùng nền cổ, khi ta mặc áo hở cổ có thể nhìn thấy rõ xương đòn. Xương đòn vai rất dễ bị gãy cả trong trấn thương trực tiếp và trấn thương gián tiếp.
Triệu chứng gãy xương đòn
Các triệu chứng thường gặp khi bị gãy xương đòn vai dễ nhận biết là:
Nếu tác động vào xương đòn bằng việc đánh mạnh vào vai hoặc bị ngã trong tư thế dang rộng tay hoặc do những tai nạn giao thông, tai nạn trong công việc sẽ làm cho xương đòn dễ bị gãy.
- Vùng xương đòn thường có vết bầm dọc, sưng, đau và bầm tím
- Vùng vai bị sụp hẳn xuống hoặc chùng xuống vì xương đòn bị gãy, không còn thực hiện được nhiệm vụ giữ và treo cánh tay với bả vai.
- Cơn đau tăng mạnh nếu như cố gắng cử động dang cánh tay.
- Cơn đau tăng lên khiến tay bị tê, có cảm giác châm chích.
- Người bệnh dùng thuốc giảm đau nhưng không có hiệu quả.
- Vùng vai bị biến dạng, xương đâm ra khỏi da. Cần phải nhanh chóng đưa người bệnh đến cơ sở y tế chuyên khoa để sớm khắc phục tình trạng bệnh.
Cách điều trị gãy xương đòn
Điều trị gãy xương đòn vai có thể bằng các phương pháp như đeo gai xương đòn, sử dụng thuốc giảm đau kết hợp vật lý trị liệu mà không cần phẫu thuật nếu xương đòn chỉ bị gãy mà không bị lệch khỏi vị trí của nó.
Với trường hợp nặng xương đòn vai bị gãy và bị di lệch khỏi vị trí ban đầu thì cần phải tiến hành phẫu thuật mổ và nẹp vít hoặc dùng đinh vít. Phẫu thuật này giúp nắn chỉnh xương gãy ngắn và cố định xương gãy ở vị trí tốt nhất, mọi hoạt động sinh hoạt của người bệnh sẽ trở lại bình thường sau khi nẹp xương khoảng 3 – 4 tháng.
Với trường hợp nặng xương đòn vai bị gãy và bị di lệch khỏi vị trí ban đầu thì cần phải tiến hành phẫu thuật mổ và nẹp vít hoặc dùng đinh vít.
Trong thời gian bó nẹp xương đòn người bệnh cần có chế độ nghỉ ngơi và bổ sung dinh dưỡng hợp lý để xương có thể nhanh chóng được liền lại. Không được vận động mạnh hoặc cử động nhiều trong thời gian bó nẹp xương bởi vận động mạnh có thể sẽ làm cho vị trí nẹp bị lệch và và làm cho xương đòn vai cũng bị di lệch vị trí. Lúc đó thời gian để bệnh hồi phục lại hoàn toàn sẽ rất lâu, nguy cơ bị đau nhức vùng vai sau phẫu thuật và có thể bị để lại di chứng.
Tuy nhiên trong quá trình điều trị bệnh thì người bệnh có những sự vận động là cần thiết. Tuy nhiên phải được thực hiện dưới sự hướng dẫn của bác sĩ. Các động tác luyện tập nhẹ nhàng ban đầu sẽ có tác dụng quan trọng trong phục hồi lại biên độ vận động của vùng vai và xương đòn.
Nếu cần tư vấn về Tìm hiểu về gãy xương đòn vai bạn nên đến trực tiếp Bệnh viện Đa khoa quốc tế Thu Cúc hoặc liên hệ theo số 0936 388 288 hoặc 1900 558892 để được tư vấn cụ thể.













