Gãy xương đòn bao lâu thì lành?
Thông thường gãy xương đòn được chỉ định điều trị bảo tồn với một số trường hợp gãy xương di lệch nặng, gãy xương hở bác sĩ sẽ chỉ định phẫu thuật. Thời gian hồi phục phụ thuộc vào mức độ nghiêm trọng của người bệnh. Vậy gãy xương đòn bao lâu thì lành?
- Gãy xương đòn ở trẻ em
- Gãy xương đòn kiêng ăn gì?
Gãy xương đòn là gì?
Xương đòn gãy khi bị đánh mạnh vào vai hoặc bị té trong tư thế cánh tay dạng ra. Gãy xương đòn cũng có thể xảy ra sau khi bị chấn thương xương đòn trực tiếp trong một tai nạn giao thông hoặc tai nạn khác.
Thời gian hồi phục gãy xương đòn tùy thuộc vào mức độ nghiêm trọng của bệnh
Người bệnh bị gãy xương đòn thường có những triệu chứng như sau:
- Sưng, đau và xuất hiện vết bầm dọc theo xương đòn.
- Cơn đau tăng mạnh và cảm nhận được tiếng “rắc” khi cố cử động vai hay cánh tay.
- Biến dạng ở xương gãy.
- Vai bị sụp hoặc chùng xuống về phía trước hay phía dưới.
- Trẻ sơ sinh thường không thể cử động cánh tay.
Làm sao để chẩn đoán gãy xương đòn?
Để chẩn đoán bị gãy xương đòn, bác sĩ sẽ hỏi về các triệu chứng và tình huống chấn thương xảy ra. Họ có thể kiểm tra cảm giác và sức cơ cánh tay, bàn tay và ngón tay để xem có tổn thương thần kinh hay không.
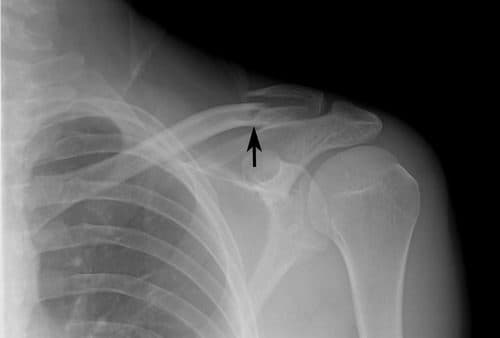
Nếu có nghi ngờ rằng xương đòn của bạn bị gãy, các bác sĩ sẽ khuyên bạn nên chụp X-quang vai để chẩn đoán thêm. X-quang có thể hiển thị hình ảnh của xương đòn bị gãy và mức độ nghiêm trọng của nó hoặc xương khác có bị gãy hay không. Trong một số trường hợp, nếu các bác sĩ cần phải xem xét các vết nứt một cách chi tiết hơn, họ sẽ áp dụng chụp cắt lớp vi tính (CT scan).
Gãy xương đòn bao lâu thì lành?
Chỉ định phẫu thuật gãy xương đòn cần được thực hiện tại bệnh viện uy tín
– Điều trị gãy xương đòn không cần phẫu thuật khi xương đòn bị gãy không di lệch, bằng các phương pháp như: đeo đai xương đòn, sử dụng thuốc giảm đau kết hợp vật lý trị liệu.
– Điều trị gãy xương đòn bằng phẫu thuật khi xương đòn bị gãy có di lệch bằng nẹp vít hoặc đinh. Phẫu thuật sẽ giúp nắn chỉnh xương gãy ngay ngắn và cố định xương gãy ở vị trí tốt nhất trong khi chờ xương lành.
Với trường hợp của bạn gãy xương đòn trái kèm di lệch và đã phẫu thuật bằng nẹp vít thì sẽ mọi hoạt động sẽ trở lại bình thường sau khoảng 3-4 tháng. Hầu hết những bệnh nhân gãy xương đòn sẽ vận động tốt trong vòng 3 tháng sau đó tùy vị trí gãy, mức độ ra sao và có đáp ứng tốt với cách chữa trị không,… Trong thời gian đó bạn cần thăm khám và theo dõi thường xuyên tình trạng của mình để được tư vấn thời điểm hoạt động phù hợp và lấy vít ra lúc thích hợp. Tuyệt đối không được vận động quá sớm vì có thể khiến gãy nẹp hoặc xương bị di lệch, phải phẫu thuật lại như ban đầu.
Với những thông tin trên đây nếu bạn đọc còn băn khoăn cần được giải đáp cụ thể vui lòng liên hệ bệnh viện Thu Cúc theo số 1900 558892 để được tư vấn hỗ trợ.













